所屬科目:免疫科
1. 一位52歲女性患者為HBV帶原者有10年之久。主訴為最近二年來兩側手指的遠端指間關節有腫痛及僵硬(如圖)。抽血檢查發現ANA 1: 80(+),RF 24.7 IU/ml (normal<20 IU/ml),ESR 18 mm/1h,CRP 0.86 mg/dl (normal <0.8 mg/dl)。請問下列何種檢查對患者的鑑別診斷最有幫助? (A) Serum C3/C4 levels (B) Anti-citrullinated peptide antibodies (C) Anti-dsDNA (D) Gallium whole body inflammatory scan (E) MRI of bilateral hands
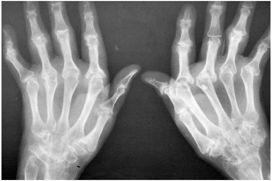
2. 一位43歲女性兩手近端指間關節、兩側的掌指關節(metacarpo-phalangeal joints)及兩側腕關節(wrist joints)疼痛腫脹有9個月之久(如圖 a)。服用消炎止痛劑會有短暫效果,但是上述關節逐漸發生變形 (X-光檢查如圖 b)。ESR>100 mm/1h,CPR 6.36 mg/dl、RF 384 IU/ml,ANA= 1:160 speckled pattern。請問這位患者的首選治療方式為下列何者? (A) Specific COX-2 inhibitor (B) Glucocorticoids (C) Methotrexate (D) Synovectomy (E) Wax thermotherapy
3. 28歲男性主訴為兩年來天冷時兩手手指會變白及變紫(如圖 a,b)。anti-Scl-70 574 IU/ml (normal<120 IU/ml),anti-CENP 228 IU/ml (normal< 120 IU/ml)而anti-U1RNP 314 IU/ml (normal<120 IU/ml),血清學檢查發現ANA 1:640 speckled+centromere patterns。另外,患者的手背及前臂皮膚逐漸硬化。甲褶鏡(nailfold capillaroscopy)檢查發現如圖 c (左上圖為正常對照,而其它的圖為患者的不同手指的微血管的形態學)。請問這位患者最須注意的併發症為何? (A) Renal artery stenosis (B) Esophageal dysmotility (C) Subcutaneous calcinosis (D) Pulmonary arterial hypertension (E) Congestive heart failure
5. 一位37歲的男性患者在2週前有腸胃道感染引起下痢,之後右腳踝關節劇烈腫痛(如圖)。抽血發現ESR 32 mm/1h,CRP 2.14 mg/dl。遺傳因子HLA -B27呈陽性。請問這位患者的最可能診斷為何? (A) 類風濕關節炎 (B) 柔軟組織風濕症 (C) 反應性關節炎 (D) 感染性關節炎 (E) 足底筋膜炎
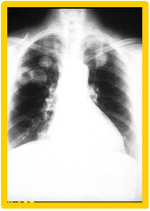
6. 一位68歲的男性患者最近半年來發現三次流鼻血,經耳鼻喉科醫師診斷為鼻竇炎及口鼻部黏膜潰瘍。因最近一個月久咳不癒且有血痰出現,X光檢查發現肺部有數個腫瘤陰影(如圖)。抽血檢查發現Hb 9.7 g/dl ,ANA 1:80 speckled,c-ANCA 33.6 IU/ml (normal <8 IU/ml),p-ANCA 1.4 IU/ml。VATS檢查並作病理切片發現並非惡性腫瘤。請問最有可能的診斷為下列何者? (A) Polyarteritis nodosa (B) Wegener's granulomatosis (C) Churg-Strauss syndrome (D) Microscopic polyangiitis (E) Behcet's disease