阿摩線上測驗
登入
首頁
>
放射線診斷原理與技術學
> 98年 - 98-1 專技高考_醫事放射師:放射線診斷原理與技術學#36891
98年 - 98-1 專技高考_醫事放射師:放射線診斷原理與技術學#36891
科目:
放射線診斷原理與技術學 |
年份:
98年 |
選擇題數:
80 |
申論題數:
0
試卷資訊
所屬科目:
放射線診斷原理與技術學
選擇題 (80)
1 對於瘦小身材病人,下列關於拍攝肩峰鎖骨關節(ACJ)之相關敘述,何者正確? (A)手握至少 5-8 磅沙袋以觀察其關節 (B)腕掛至少 5-8 磅沙袋以觀察其關節 (C)肩背至少 5-8 磅沙袋以觀察其關節 (D)抓舉過肩至少 5-8 磅沙袋以觀察其關節
2 下列何者不是乳房磁振造影之優點? (A)可涵蓋整個乳房 (B)可測出病灶的血管性 (C)可偵測顯微鈣化 (D)對曾作乳房美容者為較佳的檢查工具
3 下列關於膝關節側位攝影時應注意的事項中,何者正確? (A)對於骨盆窄但高的男病人其 X 光管應向頭打 5 度 (B)對於骨盆寬但矮的男病人其 X 光管應向腳打 5 度 (C)對於骨盆窄但高的女病人其 X 光管應向頭打 7-10 度 (D)對於骨盆寬且高的女病人其 X 光管應向腳打 7-10 度
4 將 IP 板於攝影後自片匣中取出,經自然光照射數分鐘後,放回片匣內讀取影像,將產生何項結果? (A)沒有影響 (B)對比度下降 (C)背景灰階值上升 (D)解析度提高
5 常規放射診斷胸部 X 光側面攝影時,下列敘述何者正確? (A)射源與影像接收器距離為 40 吋 (B)攝影時不可使用光柵(grid) (C)將病患左側靠近影像接收器 (D)病患應保持自然呼吸
6 欲診斷胸椎之椎間孔(intervertebral foramina)病變時,病人應採下列何種姿勢? (A)仰躺(supine) (B)側位(lateral) (C) 45°前斜位或後斜位(45° anterior or posterior oblique) (D) 70°前斜位或後斜位(70° anterior or posterior oblique)
7 採用下列何種姿勢進行前臂(forearm)一般放射攝影時,會使得尺骨(ulna)與橈骨(radius)交叉 重疊? (A) ulnar deviation (B) radial deviation (C) AP hand position (D) PA hand position
8 當病患疑似左側前面肋骨(left anterior ribs)骨折時,該採用何種攝影姿勢? (A) RAO (B) LAO (C) RPO (D) LPO
9 比較大腸和小腸,下列敘述何者錯誤? (A)大腸口徑較大 (B)小腸在鋇劑檢查時常為羽毛狀 (C)大腸有四條縱走的外層肌肉纖維 (D)大腸在腹腔周圍部分,而小腸則在中央
10 下列何種攝影對於尺骨(ulna)冠狀突(coronoid process)的呈現最佳? (A) Coyle method (B) Jones method (C) Gaynor-Hart method (D) Stecher method
11 下列關於 Merchant bilateral method 的敘述,何者正確? (A)片匣應置於胸部處離被照體約 30 公分 (B) SID 為 120 至 180 公分,其距離越短影像放大率越小 (C) X 光管向頭打 30 度 (D)片匣應距離被照體 30 公分 代號:4109 頁次:8-2
12 Gaynor-Hart method 為拍攝何處之攝影名稱? (A)胸腔 (B)手腕 (C)前臂 (D)肩部
13 下列那一條表面參考線最靠近顱頂? (A) GML(Glabellomeatal line) (B) OML(Orbitomeatal line) (C) AML(Acanthiomeatal line) (D) MML(Mentomeatal line)
14 Danelius-Miller method 是特別用來拍攝何處的檢查方法? (A)近端股骨及髖關節 (B) SI joint (C)髕骨 (D)膝關節
15 於檢查台上進行腹腔一般放射攝影時,其射源與影像接收器的距離應為多少吋? (A) 37 (B) 40 (C) 47 (D) 72
16 下列有關關節攝影(arthrography)的敘述,何者錯誤? (A)可診斷關節囊撕裂傷(tear of capsule) (B)顳顎關節(TMJ)檢查時需做閉口與開口之攝影 (C)由關節腔直接注入顯影劑 (D)通常不使用陰性顯影劑
17 下列何者並非靜脈注射尿路攝影時壓迫輸尿管的禁忌? (A)病人太瘦小 (B)嚴重腹痛 (C)疑腹部腫瘤 (D)疑腹部主動脈瘤
18 通常正常成人其腎門(renal hilum)的位置約在: (A) xiphoid process 與 symphysis pubis 之 1/2 處 (B) xiphoid process 與 iliac crest 之 1/2 處 (C) xiphoid process 與 umbilicus 之 1/2 處 (D) xiphoid process 與 anterior superior iliac spine 之 1/2 處
19 在靜脈注射泌尿道攝影(IVU)時,下列那一項為診斷游離腎(floating kidney)之最佳攝影姿勢? (A) Sims position (B) decubitus position (C) prone position (D) standing position
20 上消化道攝影時,採用雙重對比檢查,相較於單一對比檢查的主要優點為下列何者? (A)呈現口徑的變化 (B)呈現輪廓的變化 (C)表現是否有阻塞 (D)呈現黏膜的變化
21 有關醫療數位影像傳輸標準(Digital Imaging and Communications in Medicine, DICOM)之敘述, 下列何者錯誤? (A) DICOM 為影像格式之標準 (B) DICOM 為網路通訊協定之標準 (C) DICOM 為影像儲存之標準 (D) DICOM 與影像列印標準無關
22 在大腸攝影時,肛管(rectal tube)置入時,通常病人採何體位? (A) Sims position (B) lithotomy position (C) prone position (D) supine position
23 下列有關上腸胃道鋇劑檢查(upper GI series)之敘述,何者錯誤? (A)採用高電壓攝影(100 kVp 以上),提升鋇劑影像對比度 (B)使用之鋇劑密度較大腸鋇劑攝影高 (C)控制鋇劑流向與黏著時,請病患翻轉之方向,依病患舒適狀況決定 (D)使用發泡劑形成雙重造影(double contrast)
24 下列有關胸部主動脈血管攝影之敘述,何者錯誤? (A)主要檢查升主動脈、主動脈弓、胸部之降主動脈及其主要之分支 (B)適應症可包括動脈瘤、血管狹窄等 (C)注射對比劑量約 30-50 mL (D)攝影時不須閉氣
25 下列何者最不適宜使用硫酸鋇做對比檢查? (A)有滲漏至腹膜腔的可能時 (B)不能正常排便時 (C)吞嚥困難時 (D)疑有對碘過敏者
26 下列何種膽道攝影無需使用顯影劑? (A) percutaneous transhepatic cholangiography (B) endoscopic retrograde cholangiopancreatography (C) postoperative cholangiography (D) magnetic resonance cholangiopancreatography
27 在施行下腔靜脈攝影時,最常採用之 puncture site 為: (A)橈靜脈(radial vein) (B)肱靜脈(brachial vein) (C)下腔靜脈(inferior vena cava) (D)股靜脈(femoral vein)
28 在上消化道攝影時,下列何種體型之病患其胃較易橫置,十二指腸球位置較偏高偏右? (A)肥胖型 (B)健壯型 (C)標準型 (D)纖瘦型
29 大腸鋇劑灌腸檢查(barium enema)中,下列何者為診斷直腸病灶最佳攝影姿勢? (A) AP view (B) lateral view (C) RPO (D) LPO
30 Myelography 之頸部攝影側面像通常採取下列何者? (A) right lateral decubitus position (B) semierect lateral-horizontal beam (C) left lateral decubitus position (D) swimmer’s lateral-horizontal beam
31 多切面螺旋式電腦斷層攝影儀(multislice helical CT scanner),如以其偵測器排列模式而言,較接 近那一代的 CT scanner? (A)第一代 (B)第二代 (C)第三代 (D)第四代
32 下列關於子宮輸卵管攝影(hysterosalpingography)的敘述,何者錯誤? (A)不孕症為其最常見之適應症 (B)於月經過後第 7 至 10 日實施較佳 (C)病人接受檢查時,最好先排空膀胱 (D)使用的顯影劑以油性顯影劑為主,因其較易被吸收
33 某病人接受全身的 single-slice CT, 1-sec scan, pitch=1.5 時需要 95 秒(interscan delays 不列入計算), 若今改成 MSCT, 0.5-sec scan, slice pitch=6 時,掃描所需時間約為多少秒? (A) 8 (B) 12 (C) 21 (D) 32
34 下列何者為 CT collimation 最主要的目的? (A)改變切片厚度 (B)調整 FOV (C)增加影像清晰度 (D)提高射線能量
35 關於骨質密度之測定,下列敘述何者錯誤? (A) quantitative computed tomography 檢查通常選擇脊椎 T12 至 L5 之二、三節椎體 (B) quantitative ultrasound 一般選擇脊椎 L1 至 L4 (C) quantitative dual-energy X-ray absorptiometry 一般選擇脊椎 L1 至 L4 (D) quantitative dual-energy X-ray absorptiometry 亦可選擇股骨(femur)近端
36 CT 中若 sensitivity profile 超過 dose profile 時,則下列何者正確? (A) patient dose 增加 (B) patient dose 減少 (C)空間解析度增加 (D)空間解析度減少
37 下列關於高解析度電腦斷層掃描(HRCT)的敘述,何者最為正確?(A) beam collimation 較寬(B) partial volume effect 明顯(C) high spatial frequency(D) noise 減少
38 在多層電腦斷層掃描時,給予顯影劑是很重要的工具,下列有關顯影劑的敘述,何者錯誤? (A)其量對動脈相(arterial phase)顯影有明顯的影響 (B)其量可造成無限制的動脈顯影增強(enhancement) (C)其量會影響實質相(parenchymal phase)和靜脈相(venous phase) (D)在電腦斷層掃描血管攝影(CTA)時不必給予大量顯影劑
39 為了減少骨頭與軟組織之間的對比,電腦斷層掃描會採取下列何種技術? (A) high-kV 值 (B) low-mA 值 (C)減少 collimation (D)增加 FOV
40 電腦斷層影像,空氣之 CT 值約為多少 HU(Hounsfield unit)? (A) 0 (B) 100 (C) 1000 (D) -1000
41 所謂盛開效應(Blooming effect)通常發生於下列何者? (A)有很高密度的鈣化斑塊 (B)有很多血管分支重疊處 (C)有腫瘤瀰漫浸潤時 (D)有剝離性動脈瘤時
42 在胸部 CT 檢查,如欲呈現肺實質(lung parenchyma),則 window width 及 level 之設定以下列 何者為佳?(單位:Hounsfield unit) (A) 400, 50 (B) 1300, -500 (C) 1700, 300 (D) 110, 30
43 在自旋廻訊(spin echo)波序中,180 度射頻波的目的為何? (A) in-phase (B) out-phase (C) dephase (D) rephase
44 醫療資訊系統或放射線資訊系統之病患文字性資料(demographic data),可經由下列何種 DICOM 功能,提供給數位檢查儀器,不須再由儀器端輸入病患資料? (A) DICOM Storage SCU (B) DICOM Query SCU (C) DICOM Work List SCU (D) DICOM Print SCU
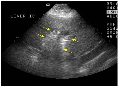
45 下列那一項可減少 CT 的散射假影? (A)使用 post-patient collimator (B)使用 bowtie filter (C)增加 slice thickness (D)減少 X 光能量
46 磁振造影要選取較薄切片影像時,下列何者正確? (A)縮小 FOV(field of view) (B)縮短 TE(echo time) (C)縮短 TR(repetition time) (D)縮小射頻頻寬(RF bandwidth)
47 病人因疑有腎臟腫瘤而安排 CT 時,下列敘述何者最正確? (A)不需注射顯影劑 (B) unenhanced scan 對於診斷腫瘤的鈣化或異常的脂肪組織有幫助 (C) collimation 設定為 10 mm 最適合 (D) nephrographic(pyelographic)phase 為 delay 7-10 minutes scan
48 CSF 與 brain parenchyma 相較,則下列何者正確? (A) CSF 之 T1,T2>brain parenchyma 之 T1,T2 (B) brain parenchyma 之 T1,T2>CSF 之 T1,T2 (C) CSF 之 T1,T2=brain parenchyma 之 T1,T2 (D)無法比較
49 下列何者不是相位陣列線圈(phased array coil)的優點? (A)可以有更高的訊雜比 (B)可以有更大的檢查範圍 (C)可以縮短 TR,TE (D)可以配合使用平行影像(parallel imaging)技術
50 關於腹部 CT 檢查時胃腸道顯影劑之使用,下列敘述何者錯誤? (A)為使腸道顯影良好,通常需服用 30-50%硫酸鋇做為陽性顯影劑(positive contrast agent) (B)水為一良好之腸道陰性顯影劑(negative contrast agent) (C)如欲檢查胃部可在上檢查台前服用 350 至 500 mL 之稀釋含碘顯影劑 (D)對於大腸 CT 檢查可以由肛門灌入空氣做為陰性顯影劑
51 下列何種檢查最適合用以偵測骨髓病變(bone marrow abnormality)? (A) CT (B) MRI (C) arthrography (D) myelography
52 下列何人與 Allan MacLeod Cormack 因發明 CT 儀共同獲得諾貝爾獎(Nobel Prize)? (A) Hounsfield (B) Robert Ledley (C) Tesla (D) Roentgen
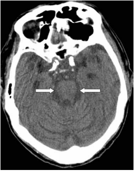
53 附圖中箭號所指的實質構造最可能為何?
(A) medulla oblongata (B) pons (C) cerebral peduncle (D) cerebellar peduncle
54 K 空間(K-space)中,高空間頻率訊號主要位於下列何處? (A) K-space 的外圍 (B) K-space 的中心 (C) K-space 的上半部 (D)平均分布在整個 K-space
55 上腹部超音波檢查時,下列何種徵兆為膽囊急症,並有破裂之虞? (A)有膽結石,膽囊壁厚度較規則,其厚度約 2 mm (B)膽囊壁厚度不規則,膽囊內有高回音之空氣 (C)膽囊因慢性膽囊炎而呈現萎縮 (D)膽囊壁呈現多粒息肉狀突出物
56 下列何者為 T1 加權影像(T1WI)的影像參數? (A)短 TR 短 TE (B)短 TR 長 TE (C)長 TR 長 TE (D)長 TR 短 TE
57 磁振造影(MRI)檢查使用 Gd-DTPA 顯影劑,通常採用之脈衝波序(pulse sequence)為: (A) T1 weighted (B) T2 weighted (C)打藥前之各組檢查脈衝波序再做一次 (D) proton density
58 某病患之肝臟在 T1 加權影像和 T2 加權影像均為低訊號,其可能的診斷為何? (A)嚴重肝硬化 (B)瀰漫性肝癌 (C)血鐵沉積症 (D)先天性膽汁積留
59 磁振造影若降低接收訊號頻寬(bandwidth)時,下列敘述何者正確? (A)訊號擷取時間(sampling time)縮短 (B)切面厚度增加 (C)可取得之最大影像張數減少 (D)訊雜比會減少 代號:4109 頁次:8-6
60 附圖中箭號所指的部位為:
(A)總膽管 (B)肝動脈 (C)上腸繫靜脈 (D)門靜脈
61 有關顱內病變的磁振造影檢查使用時機,下列那一種病變使用磁振造影遠比電腦斷層攝影來得適切? (A)微小腦下垂體瘤 (B)鈣化的腦瘤 (C)急性硬腦膜外出血 (D)急性出血性中風
62 磁振造影化學位移(chemical shift)之對位錯誤假影會發生在下列那一方向上? (A)切面選擇方向 (B)相位編碼方向 (C)頻率編碼方向 (D)主磁場方向
63 中年女性有上腹部疼痛,其超音波檢查如附圖,箭號所指為病灶,則下列敘述何者錯誤?
(A)此為肝右葉之肋間掃描影像 (B)高回音性病灶可能為氣體所致 (C)病灶可能為肝膿瘍 (D)病灶為典型之肝癌
64 超音波影像,在強回音反射介面(例如肺臟)的後面,所出現與前面病灶相似的假影為何? (A)音波陰影(acoustic shadowing) (B)鏡像假影(mirror image artifact) (C)音束旁葉假影(side lobe artifact) (D)切面厚度假影(section thickness artifact)
65 附圖中箭號所指的最可能部位為:
(A)腎上腺 (B)肋膜 (C)橫膈膜 (D)大腰肌
66 急性闌尾炎時,超音波典型的表現為: (A)外圍有一高回音環及低回音中心 (B)為一低回音環具有高回音中心 (C)具有三層以上的壁,低回音及高回音交雜,層次常大於三層 (D)闌尾的壁層常介於 1-2 mm
67 下列有關測量 X 光之半值層的敘述,何者錯誤? (A)使用固定的管電壓(kVp) (B)使用各種不同的管電流(mAs) (C)使用固定的 X 光濾片 (D)使用同一種類的 X 光軟片
68 下列何者是增感屏-底片(screen-film)的乳房攝影所指之對比指標(contrast indicator)? (A) HD(high density) (B) DD(density difference) (C) LD(low density) (D) MD(medium density)
69 超音波假體內的兩個反射物相距 4 公分,但超音波讀出的距離是 3.8 公分。請問其百分誤差 (percentage error)為何? (A)小於 1% (B) 1.5% (C) 5.0% (D) 5.3%
70 超音波掃描腹膜後腔(retroperitoneum)結構時,如果發現腎臟上方有一略為均勻的高回音腫塊, 對腎臟上方造成壓迫,則首先應該懷疑是何病變? (A)腎臟的腎細胞癌(renal cell carcinoma) (B)腎臟的血管瘤(hemangioma) (C)腎上腺的皮質癌(cortical carcinoma) (D)腎上腺的髓脂肪瘤(myelolipoma)
71 目前的電腦斷層系統應具備的對比解析度,是至少能判別出與背景相差多少密度差異的 3 mm 物體? (A) 0.05% (B) 0.5% (C) 1.0% (D) 1.5%
72 聲波穿透人體內,行經下列何器官,其速度最快? (A)小腸內之氣體 (B)肝臟 (C)肌肉 (D)脊椎骨
73 超音波在下列那二種物質的音波阻抗(acoustic impedance)差距最小? (A)空氣與皮膚 (B)肌肉與骨骼 (C)水與肌肉 (D)空氣與骨骼
74 進行上腹部超音波掃描時,正常成人胰臟的超音波特性及位置為何? (A)胰臟呈低度均勻回音,位在脾靜脈的前側 (B)胰臟呈低度回音,位在脾靜脈的背側 (C)胰臟呈中高度回音,位在脾靜脈的前側 (D)胰臟呈中高度均勻之回音,位在脾靜脈的背側
75 美國 Mammography Quality Standard Act(MQSA)法案規定,增感屏–底片乳房攝影的平均乳腺 劑量不可以超過多少 mGy? (A) 1 (B) 3 (C) 5 (D) 7
76 附圖中箭號所示為何?
(A)血管瘤(hemangioma) (B)肝癌(hepatoma) (C)鈣化之肉芽腫(calcified granuloma) (D)鏡像假影(mirror image artifact)
77 下列有關疾病的超音波檢查,那一項最錯誤? (A)膽囊檢查應於餐前作 (B)正常膽囊壁厚度不應超過 4 mm (C)正常膽囊壁旁應可見到積液 (D)膽囊萎縮時,可能無法分辨息肉或結石
78 數位線性磁帶(DLT)為 PACS 系統中何種時效的儲存媒介? (A)暫時 (B)短期 (C)中期 (D)長期
79 影像存取與傳輸系統(PACS)無法做到下列那一項功能? (A)影像與資料的接收 (B)影像的儲存 (C)控制影像設備的操作以擷取病人影像 (D)影像的顯示
80 下列關於影像壓縮之敘述何者正確? (A) MSE 及 RMSE 常作為影像之主觀判定法 (B) PSNR 值越高表示影像之品質越差 (C)壓縮比越大,影像傳遞時間越長 (D) JPEG2000 為小波壓縮之現行常用醫療壓縮法
申論題 (0)
相關試卷
115年 - 115-1 專技高考_醫事放射師:放射線診斷原理與技術學#137344
115年 · #137344
114年 - 114-2 專技高考_醫事放射師:放射線診斷原理與技術學#128969
114年 · #128969
114年 - 114-1 專技高考_醫事放射師:放射線診斷原理與技術學#125124
114年 · #125124
113年 - 113-2 專技高考_醫事放射師:放射線診斷原理與技術學#121691
113年 · #121691
113年 - 113-1 專技高考_醫事放射師:放射線診斷原理與技術學#118731
113年 · #118731
112年 - 112-2 專技高考_醫事放射師:放射線診斷原理與技術學#115920
112年 · #115920
112年 - 112-1 專技高考_醫事放射師:放射線診斷原理與技術學#113162
112年 · #113162
111年 - 111-2 專技高考_醫事放射師:放射線診斷原理與技術學#109901
111年 · #109901
111年 - 111-1 專技高考_醫事放射師:放射線診斷原理與技術學#106212
111年 · #106212
110年 - 110-2 專技高考_醫事放射師:放射線診斷原理與技術學#99941
110年 · #99941