阿摩線上測驗
登入
首頁
>
醫學六:80題 ( 包括麻醉科,眼科,耳鼻喉科,婦產科,復健科等科目及其及相關臨床實例與醫學倫理 )
> 98年 - 98-1 專技高考_醫學(二):醫學(六)(包括麻醉科、眼科、耳鼻喉科、婦產科、復健科等科目及其相關臨床實例與醫學倫理)#36897
98年 - 98-1 專技高考_醫學(二):醫學(六)(包括麻醉科、眼科、耳鼻喉科、婦產科、復健科等科目及其相關臨床實例與醫學倫理)#36897
科目:
醫學六:80題 ( 包括麻醉科,眼科,耳鼻喉科,婦產科,復健科等科目及其及相關臨床實例與醫學倫理 ) |
年份:
98年 |
選擇題數:
80 |
申論題數:
0
試卷資訊
所屬科目:
醫學六:80題 ( 包括麻醉科,眼科,耳鼻喉科,婦產科,復健科等科目及其及相關臨床實例與醫學倫理 )
選擇題 (80)
1 一位 60 歲男性患有肺腫瘤,必須接受右肺切除手術。在手術中實行左側單肺呼吸(one-lung ventilation)一段時間後,血中含氧量(PaO
2
)下降,下列敘述何者錯誤? (A)可調高呼吸速率,以增加肺部每分鐘換氣量 (B)可將吸入氧氣濃度 FiO
2
調成 100% (C)可使用 5-10 cm H
2
O 之呼氣末期正壓(PEEP)至換氣肺側 (D)應利用高度換氣(Hyperventilation),使血中二氧化碳濃度(PaCO
2
)小於 30 mmHg
2 生產時第一產程後期及第二產程的疼痛傳導是經由: (A) T10-L1 (B) T12-S2 (C) S2-S4 (D) L1-L5
3 那些情形不會影響 Pulse oximeter 的準確性? (A) Methemoglobinemia (B)周圍光線太強 (C)心跳每分鐘 120 次以下 (D)低血流灌注(Low perfusion)
4 在吸入性麻醉氣體的化學結構中,下列何者非醚鏈結構(ether linkage)? (A) Sevoflurane (B) Halothane (C) Isoflurane (D) Desflurane
5 Flumazenil 是下列何種麻醉藥物的拮抗劑(Antagonist)? (A) Ketamine (B) Midazolam (C) Propofol (D) Thiopental
6 有關非去極性肌肉鬆弛劑(Non-depolarizing muscle relaxants)的藥理特性,何者錯誤? (A)低體溫(Hypothermia)延長其作用時間 (B)呼吸性酸中毒(Respiratory acidosis)強化其阻斷效果 (C)低血鈣(Hypocalcemia)強化其阻斷效果 (D)病人合併使用吸入性麻醉劑將增加對該藥物之需求劑量
7 下列有關中央靜脈壓波形之描述,何者錯誤? (A) a 波表示心房的舒張 (B) c 波表示三尖瓣關閉 (C) x 波表示心室的收縮 (D) y 波表示心室的舒張
8 有關小兒麻醉之敘述,何者最正確? (A)喝牛奶後只要空腹 3 小時即可接受非緊急手術麻醉 (B)過敏性鼻炎合併流鼻水必須先控制 4-6 週,才可接受非緊急手術麻醉 (C)四歲兒童吃完漢堡後須空腹 8 小時才可接受非緊急手術麻醉 (D)有輕微發燒合併咳痰,仍可接受非緊急手術麻醉
9 下列何者是視網膜最前端的組織構造? (A)玻璃體基底部(vitreous base) (B)鋸齒緣(ora serrata) (C)皺摺部(pars plicata) (D)平坦部(pars plana)
10 下列何者是頸動脈海綿竇管(Carotid-cavernous fistula)的典型徵候? (A)眼壓降低 (B)結膜血管曲張 (C)眼球內陷 (D)水晶體混濁
11 使用濾紙紙條,放置於外三分之一的結膜穹窿處,測量病人的淚液分泌量。這種檢查稱為什麼? (A)淚液層裂解時間(tear film break-up time) (B) Sjögren test (C) Schirmer test (D) Amsler grid
12 (A)隅角開放性青光眼(open angle glaucoma) (B)急性隅角閉鎖性青光眼(acute angle closure glaucoma) (C)中心視網膜靜脈阻塞(central retinal vein occlusion) (D)裂孔性視網膜剝離(rhegmatogenous retinal detachment)
13 承上題,此種病患最常用的治療方式為何? (A)小樑切除術(trabeculectomy) (B)雷射虹膜切開術(laser iridotomy) (C)玻璃體切除術(vitrectomy) (D)鞏膜扣壓術(scleral buckling procedure)
14 下列有關外眼肌(extraocular muscles)之敘述,何者錯誤? (A)四條直肌(rectus muscles)的起始點(origins)均在眼窩頂(apex)之 Zinn 氏環(annulus) (B)四條直肌的終止點(insertions)均在眼球赤道部(equator)之前 (C)兩條斜肌(oblique muscles)的終止點均在眼球赤道部之後 (D)上、下直肌使眼球看直上、直下;上、下斜肌則分別負責看斜上、斜下
15 下列何者是單側突眼症(unilateral exophthalmos)發生在小孩最常見的原因? (A)眼窩血管瘤 (B)眼窩蜂窩組織炎 (C)橫紋肌肉瘤 (D)甲狀腺眼疾(thyroid eye disease)
16 視網膜中心動脈阻塞時,視網膜會出現: (A)視網膜新生血管(neovascuarization) (B)視網膜出血(retinal hemorrhage) (C)視網膜滲出物(retinal exudation) (D)黃斑部呈櫻桃紅色(cherry-red spot)
17 (A)安排頭頸部 X 光片檢查 (B)繼續給予口腔潰瘍藥膏,以加速癒合 (C)進行口腔觸診以判定潰瘍特性 (D)安排頭頸部電腦斷層檢查
18 承上題,病患經完成各項檢查後證實為舌癌,腫瘤大小為 3×3×1.5 公分,頸部未發現有異常腫塊或淋 巴結,胸、腹、骨骼等處都無遠處轉移的跡象。下列何者是最佳的治療方式? (A)誘導性化學治療(induction chemotherapy)及口腔腫瘤放射線治療(radiotherapy) (B)口腔腫瘤手術切除合併頸部淋巴結清除後,放射或化學治療視病理檢查結果而定 (C)化學藥物治療(chemotherapy) (D)口腔腫瘤及頸部淋巴放射及化學合併治療(concurrent chemoradiotherapy)
19 一位中年婦女無高血壓、冠心症、高血脂症或糖尿病等病史,主訴兩天前眩暈發作。尤其與起床、躺 下與左側臥姿態等動作有關,反覆十幾次,每次約持續數秒鐘,沒有聽力障礙與耳鳴。下列何者為 最可能之診斷? (A)梅尼爾氏病(Meniere’s disease) (B)良性陣發性位置性眩暈(benign paroxysmal positional vertigo) (C)前庭神經炎(vestibular neuritis) (D)椎骨底動脈循環不全症(vertebro-basilar artery insufficiency)
20 對於鼻咽血管纖維瘤(Nasopharyngeal angiofibroma)的治療,下列何者正確? (A)以放射治療為主 (B)以化學治療為主 (C)以化學加放射治療為主 (D)以手術為主
21 慢性積液性中耳炎治療多久無效,且聽力損失大於 15 分貝,可考慮施行中耳導氣管置放術? (A) 2 週 (B) 1 個月 (C) 6 週 (D) 3 個月
22 18 歲女性至門診主訴頸部腫塊反覆發炎約一年,經診視發現頸部中線舌骨下方有一 2 公分囊腫隨吞 嚥動作上下移動,請問以下敘述何者錯誤? (A)此囊腫為最常見之先天性頸部囊腫 (B)手術治療多採用「Sistrunk」手術 (C)需排除異位甲狀腺之可能以免誤切唯一之甲狀腺 (D)常有惡性變化需儘早切除
23 下列何者不是鼻竇炎併發海綿靜脈竇栓塞時,會產生的症狀? (A)三叉神經症候 (B)怕光 (C)複視 (D)顏面神經麻痺
24 維持喉部氣道功能最重要之肌肉為何? (A)甲狀杓骨肌(Thyroarytenoid muscle) (B)後環杓肌(Posterior cricoarytenoid muscle) (C)外環杓肌(Lateral cricoarytenoid muscle) (D)環甲肌(Cricothyroid muscle)
25 (A)電腦斷層檢查 (B)婦科超音波檢查 (C)陰道鏡檢查 (D)再做一次抺片檢查
26 承上題,經過一系列臨床檢查後,發現她患有子宮頸癌第 Ib 期,她住院檢查並接受根除性子宮切除 手術及骨盆腔淋巴結摘除手術。但是手術後病患自覺大腿無法內收,大腿內側感覺變差,且症狀並 沒有慢慢好轉。請問最有可能的原因為何? (A)手術後淋巴水腫,壓迫骨盆神經 (B)手術中傷到 pudendal nerve (C)手術中下肢使用彈性繃帶過久,導致神經壓迫損傷 (D)手術中傷到 obturator nerve
複選題
27 承上題,手術後病理報告為扁平鱗狀細胞癌(squamous cell carcinoma),腫瘤大小 3 公分,同時在 左側子宮旁附屬組織有癌細胞侵犯,雖然附屬組織外側切緣乾淨,但陰道壁切緣有癌細胞。淋巴結 及其他組織並沒有腫瘤侵犯,請問如何安排病患的後續治療? (A)觀察及定期門診追蹤 (B)手術後追加放射治療 (C)手術後追加化學治療 (D)手術後追加同步性(concurrent)放射及化學治療
28 Schiller-Duvall bodies 通常在下列何種生殖細胞腫瘤(germ-cell tumor)中發現? (A)惡性胚胎瘤(dysgerminoma) (B)絨毛膜癌(choriocarcinoma) (C)內胚層竇瘤(endodermal sinus tumor) (D)成熟性畸胎瘤(mature teratoma)
29 60 歲停經婦女問荷爾蒙療法(HT)的好處,除了緩解熱潮紅、骨質流失與陰道萎縮外,可以減少那 個疾病的發生? (A)大腸癌 (B)風濕性關節炎 (C)偏頭痛 (D)膽結石
30 子宮內膜癌的那一種組織類型預後最佳? (A) Clear cell carcinoma (B) Mucinous carcinoma (C) Papillary serous carcinoma (D) Endometrioid adenocarcinoma
31 一位子宮頸癌病人做了 intravenous pyelogram(IVP)後,發現左側腎臟完全不顯影,則此病人至少 為 FIGO staging 的第幾期? (A) Ib (B)Ⅱb (C)Ⅲb (D) IVb
32 14 歲少女,6 個月前來第一次月經。急性右下腹痛求診,懷疑:盲腸炎、排卵痛(Mittelschmerz)、 卵巢囊腫扭轉、骨盆腔炎或子宮內膜異位症。下列那項最優先檢查且有助於鑑別診斷? (A)腹腔鏡手術(Laparoscopy) (B)腹部電腦斷層檢查(CT) (C)骨盆超音波檢查(Sonography) (D)核磁共振檢查(MRI)
33 測量子宮內生長遲緩(intrauterine growth restriction)胎兒的臍帶動脈之杜卜勒血流時,出現下列何 種波形,表示胎兒血液循環有嚴重障礙,通常要儘快生產? (A) Reversed end-diastolic flow (B) S/D ratio<3.0 (C) S/D ratio<2.0 (D) S/D ratio<1.0
複選題
34 一位不孕而有規則月經的病人,她有雙相(biphasic)基礎體溫,於黃體期基礎體溫上升的期間為 9 天,請問下列何項測試用來評估縮短的黃體期(shortening of luteal phase)最適宜?(一律給分) (A)血清的黃體生成激素(LH) (B)血清的雌激素(estradiol) (C)血清的濾泡成熟激素(FSH) (D)血清的泌乳激素(Prolactin)
35 染色體為 45, X/46, XY 者,性腺容易長腫瘤,但下列何者除外? (A) Gonadoblastoma (B) Teratoma (C) Dysgerminoma (D) Yolk sac tumor
36 婦女尿失禁最常見的原因是下列那一項? (A) Detrusor dyssynergia (B) Unstable urethra (C) Unstable bladder (D) Urethral diverticulum
37 60 歲健康停經白人婦女考慮服用荷爾蒙補充療法(HT)0.625 mg Premarin(CEE)加 2.5 mg medroxyprogesterone(MPA)5 年,來預防骨質疏鬆,下列那項對她而言風險最高? (A)冠狀動脈疾病 (B)乳癌 (C)大腸癌 (D)靜脈栓塞
38 (A)為卵巢早期衰竭,需卵子捐贈 (B)為多囊性卵巢囊腫,需刺激排卵 (C)月經第 9 天安排 clomiphene citrate challenge test (D)需荷爾蒙療法
39 承上題,其先生之精液報告:精蟲量:5 萬/mL,活動力:15%,則下列何者最適當? (A)人工受精(IUI) (B)禮物嬰兒(GIFT) (C)睪丸切片取精(TESE) (D)顯微授孕(ICSI)
40 提肛肌(Levator ani muscle)包括下列那一肌肉? (A) Piriformis (B) Gluteus major (C) Sphincter ani externus (D) Pubococcygeus
41 習慣性流產的夫妻其最常見的染色體異常為何? (A) Balanced translocation (B) Inversion (C) Insertion (D) Mosaicism
42 42 歲女性,G5P4,妊娠 18 週,其胎兒腦部超音波檢查發現「香蕉徵」(banana sign),請問下列診 斷中何者最為可能? (A)唐氏症 (B)神經管缺損 (C)無腦兒 (D)透納氏徵候群(45, X)
43 何者不是安胎藥「硫酸鎂」之副作用? (A)肺部水腫(Pulmonary edema) (B)呼吸抑制(Respiratory depression) (C)低血壓(Hypotension) (D)血糖過高(Hyperglycemia)
44 某位 21 歲孕婦,G1P0,妊娠 31 週,半夜突然下腹劇痛與陰道大出血,被急送至院求診。理學檢查 發現血壓 90/50 mmHg,子宮強烈收縮,硬如木板。胎心率監視器呈現胎兒窘迫,於是緊急剖腹產。 手術中發現子宮肌層及漿膜層廣泛性滲血。則下列診斷何者為錯誤? (A)「子宮胎盤中風」(Uteroplacental apoplexy) (B)「庫爾萊爾式子宮」(Couvelaire uterus) (C)前置胎盤 (D)胎盤早期剝離
45 承上題,手術後發現胎盤後血塊占胎盤面積三分之二以上。此現象和下列何者最不相關? (A)孕婦抽菸 (B)孕婦吸毒 (C)妊娠高血壓 (D)妊娠糖尿病 代號:6101 頁次:8-5
46 22 歲女性,G2P1,妊娠 15 週,其血清、羊水與胎兒血清中「胎兒甲型蛋白」(alpha-fetoprotein, α-AFP)濃度高低排序,何者正確? (A)母血清>羊水>胎兒血清 (B)胎兒血清>羊水>母血清 (C)母血清>胎兒血清>羊水 (D)羊水>胎兒血清>母血清
47 對顏面位的胎兒而言,先露部(presenting part)是指: (A)前頂(Sinciput) (B)顴骨突起部(Malar eminence) (C)頦部(Mentum) (D)後頭部(Occiput)
48 根據美國食品與藥物管理局(FDA)的分類,藥物使用於妊娠期證明對動物無害,但對於人類則尚 無足夠之研究,此類藥物應歸類為: (A) Category A (B) Category B (C) Category C (D) Category D
49 下列那項不是妊娠第 1 期(first trimester)超音波檢查必須檢查之項目? (A) Fetal presentation (B) Gestational sac location (C) Crown-rump length (D) Fetal heart motion
50 一位 25 歲女士,生產史為 G3P2,目前懷孕 7 週,主訴陰道有出血現象,於是醫師安排陰道超音波 檢查,確定在子宮內有一胚囊同時發現胎兒心臟跳動的現象,但是左側子宮附屬組織有一 3 公分的 水囊,請問下列敘述何者最佳? (A)此病患可能同時有子宮內懷孕及子宮外孕 (B)此病患應該被告知即將無法繼續懷孕 (C)此水囊應該及早手術拿掉 (D)妊娠第一期(first trimester)陰道出血並非少見
51 33 歲女性 G1P0 妊娠 40 週,待產中胎心率發生「早期減速」(early deceleration),請問下列診斷中 何者最為可能? (A)胎頭壓迫 (B)臍繞頸 (C)臍帶壓迫 (D)胎盤功能不良
52 有關前置胎盤,最典型的症狀為何? (A)不正常的胎心速率監測圖形 (B)疼痛性陰道出血 (C)無痛性陰道出血 (D)凝血病變
53 下列何者不是高位頸髓(cervical cord)損傷急性期胸腔復健的重點? (A)通氣(ventilation) (B)氣道分泌物的清除 (C)預防肺部膨脹不全(atelectasis) (D)胸廓活動性的改善
54 下列有關腦性麻痺的敘述,何者有誤? (A)屬運動功能障礙 (B)為進行性神經病變 (C)發生於大腦未發展成熟時期 (D)可能合併智障、癲癇等問題
55 下列何者不是嬰兒斜頸(torticollis)的適當治療方法? (A)患側邊頸部肌肉的牽拉運動 (B)健側邊頸部肌肉的功能訓練 (C)嚴重者可以手術去除纖維化肌肉 (D)以石膏固定頸部
56 下列何者較適合用於心臟移植手術後病患的運動訓練強度? (A)無氧閾值 (B)最大心率的百分之八十五 (C)最大心率的百分之六十 (D)(運動耐受測試時的最大心率-休息時心率)×(40 - 60)%+休息時心率
57 下列何種截肢最常使用內側開窗戶式套筒(medial opening socket)? (A)賽姆氏(Syme’s amputation) (B)脛骨(transtibial amputation) (C)股骨(transfemoral amputation) (D)賽柏氏(Chopart amputation)
58 下列有關退化性關節炎(osteoarthritis)之敘述,何者最正確? (A)常發生在承重關節,如膝、髖關節等 (B)復健治療的目的是矯正變形 (C)首選治療方法是人工關節置換手術 (D)只可慢跑,不可游泳
59 有關膝下截肢(below knee amputation)病患手術後殘肢照護之敘述,下列何者最正確? (A)平躺時可在膝下墊枕頭,增加舒適性 (B)病患躺在柔軟的墊子上,預防壓瘡 (C)使用枴杖行走時,可將殘肢放在枴杖上 (D)病人應常俯臥,以預防髖關節攣縮 代號:6101 頁次:8-6
60 下列有關腦傷患者的吞嚥問題,何者錯誤? (A)腦傷患者發生吞嚥問題很常見 (B)腦傷患者吞嚥不良(dysphagia)和認知(cognition)及運動控制困難(motor control difficulties) 有很大關係 (C)腦傷患者發生流口水(drooling)的問題可用藥物或手術加以治療 (D)腦傷患者的吞嚥反射不會受損,故不易發生吸入性(aspiration)肺炎的問題
61 當病患坐在輪椅上髖部有內旋(internal rotation)的問題時,下列敘述何者正確? (A)須檢查是否有髖部脫位(dislocation)的問題 (B)輪椅椅座(seat)深度太長 (C)可能是因為髖關節過於屈曲(flexion),此時可將髖關節調整在較伸展(extension)的姿勢 (D)將有問題的一肢穿上踝足支架(ankle-foot orthosis)可改善此問題
62 一位右側膝下截肢的病人在給予義肢裝配及訓練後,現在病人可以自行走路,則此病人應屬世界衛 生組織定義之下列何種狀況? (A) impairment (B) disability (C) handicap (D) normal
63 一位 20 歲的年輕人發生車禍,造成肩胛骨翼狀外翻(scapular winging),下列敘述何者錯誤? (A)可能因背肩胛神經(dorsal scapular nerve)受損所致 (B)大多為前鋸肌(serratus anterior muscle)無力所致 (C)大多為肩胛下肌(subscapularis)無力所致 (D)大多為長胸神經(long thoracic nerve)受損所致
64 下列各種病患中,體溫調節障礙最明顯的是: (A)第六頸髓損傷患者 (B)第十胸髓損傷患者 (C)薦椎脊柱裂(spina bifida)患者 (D)胸髓空洞症(syringomyelia)患者
65 下列有關括約肌切開術(transurethral sphincterotomy)應用於神經性排尿障礙的敘述,何者最正確? (A)適用於女性 (B)適用於馬尾束病變排尿困難者 (C)手術方法是利用膀胱鏡將括約肌完全切除 (D)手術目的是降低尿道阻力,促進排尿
66 下列有關脊髓損傷患者自律神經反射異常(autonomic dysreflxia)的敘述,何者最正確? (A)在剛受傷的前三個月,最容易出現症狀 (B)胸髓損傷患者發生機率最高 (C)發作時頭痛、冒汗、血壓升高 (D)最常見的誘發原因是情緒激動、緊張
67 圖中病人在復健科被教導依 ABCD 順序穿上衣,病人最可能罹患下列何種疾病?
(A)左側大腦梗塞 (B)右側大腦出血 (C)左側腦幹出血 (D)右側小腦腫瘤
68 下列有關腸脛骨束摩擦症候群(iliotibial band friction syndrome)之敘述,何者有誤? (A)長期從事跑步運動者易罹患此疾病 (B)疼痛易發生於膝蓋外側 (C)疼痛易發生於髕骨肌腱 (D)常須伸展運動治療病人之疼痛
69 有關下列不同失語症(aphasia)患者之預後,何者最差? (A)說話流暢,但答非所問,併有保存(preservation)現象 (B)說話不流暢,可理解指令,但需費力(effort)說話 (C)說話流暢,理解正常,但命名(naming)困難 (D)說話不流暢,可理解指令,伹有電報式語言(telegraphic speech) 代號:6101 頁次:8-7
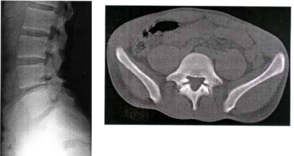
70 19 歲男性病人主訴下背痛。圖為本次就診之腰椎 X 光攝影及電腦斷層掃描。最可能的病變部位為何?
(A) Pedicle (B) Pars interarticularis (C) Facet joint (D) Lamina
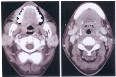
71 NPC 患者經過放射線治療六個月後,追蹤的 CT 如圖顯示 NPC 已消失,但意外發現雙側 parotid glands 及 submandibular glands 有不正 常超強的顯影劑 enhancement,這是:
(A)可能因 NPC invasion (B)可能是 metastatic lymphadenopathies (C) Infectious sialadenitis (D) Radiation sialadenitis
72 17 歲陳小姐,因罹患惡性淋巴瘤病(malignant lymphoma) 到醫院治療。醫師為她做腹部電腦斷層攝影檢查,發現卵 巢病灶如圖示。圖為注射對比劑後 CT,病灶 CT 值不變。 她的卵巢最可能罹患:
(A)子宮外孕(ectopic pregnancy) (B)卵巢囊腫(ovarian cyst) (C)卵巢癌(ovarian cancer) (D)惡性淋巴瘤病(malignant lymphoma)
73 65 歲男性病患,長期患有下足疼痛及腫脹,其足部之 X 光素片如圖,呈現軟組織腫大及鄰近骨骼變化,最 可能的臨床診斷為? (A)退化性關節炎(degenerative arthritis)併發囊膜積水 (B)感染性(infection)骨骼及軟組織病變 (C)痛風關節炎(gouty arthritis)及痛風石沉澱(tophi) (D)外傷性之骨骼軟組織病變
74 一位 29 歲女性半夜至急診,主訴為 20 分鐘前開始突發性腹痛,伴隨著少量陰道出血(vaginal spotting)。病人自述平時月經不規則。理學檢查發現血壓為 95/50 mmHg,心跳為 110/min,體溫為 36.5℃,右下腹部有壓痛(tenderness)以及反彈痛(rebounding pain)。你認為以下何者為下一步最 需要做的檢查? (A) C-reactive protein(CRP) (B)尿液β-hCG 檢查 (C)電腦斷層檢查 (D)腹部 X 光(KUB)
75 有關減壓病(decompression sickness;DCS)之描述,何者錯誤? (A)在海水中每下降 10 公尺,壓力增加 1 大氣壓 (B) DCS 之治療除高壓氧外,亦建議補充液體 (C)鼻出血是潛水下降時,所造成之氣壓創傷(barotrauma)的症狀 (D)正常人在 3,000 公尺高度時,大氣壓力為 565 mmHg,其血氧飽合度約為 95%
76 復甦後的照護,有關體溫部分之敘述,下列何者正確? (A)復甦後體溫於略低狀態(33-35℃),則要小心的回溫至正常 (B)復甦後將體溫控制於 32-34℃,維持 12-24 小時,於原始為 ventricular fibrillation(VF)心律者,為 classⅡb 位階 (C)復甦後將體溫控制於 32-34℃,維持 12-24 小時,於原始為 Asystole 心律者,為 classⅡa 位階 (D)復甦後體溫若高於正常,要積極降溫
77 有關電擊傷(electric injury)及閃電擊傷(lightning injury)之描述,下列何者正確? (A)閃電擊傷因伏特電壓極高,死亡率亦較高 (B)逆向檢傷(reverse triage)是閃電擊傷造成大量傷患現場處理的原則 (C)靜脈輸液補充之原則對於電擊傷及閃電擊傷之病患是相同的 (D)高伏特閃電休克常造成冠狀動脈痙攣(coronary artery spasm)產生心室顫動(VF)而死亡
78 26 歲懷孕 18 週病患,上腹痛、嘔吐、食慾不佳、口乾舌燥約 3 天,此次懷孕為第一胎,之前定期產 檢皆為正常;耳溫 37.8℃,血壓 100/60 mmHg,脈搏 130/min,呼吸 30/min,肺音正常,上腹部有輕 微壓痛但無反彈痛,全身皮膚乾燥,下列那一項診斷最有可能? (A)糖尿病性酮酸血症 (B)妊娠劇吐症(Hyperemesis gravidarum) (C)急性腸炎併脫水 (D)急性骨盆腔發炎
79 昨天邱醫師晚上值班的時候,因為要同時處理兩個病人的狀況,情況急迫,所以有一個病人使用了 口頭醫囑。第 2 天護理站一直打電話催他完成書面紀錄,邱醫師因為還是很忙,就回答說:不要再 催了,未完成的病歷不是病人出院 3 天之內完成就好了嗎?等出院再補也不遲。依據醫療法的規定, 口頭醫囑應該在幾小時內完成書面紀錄? (A) 1 小時 (B) 12 小時 (C) 24 小時 (D) 48 小時
80 我國於民國 91 年修正的醫師法中,增訂第 12 條之 1,規定:「醫師診治病人時,應向病人或其家屬 告知其病情、治療方針、處置、用藥、預後情形及可能之不良反應。」請問,此條規定與醫師倫理 守則中那一個原則相符合? (A)尊重病人自主原則 (B)隱私保密原則 (C)不傷害原則 (D)正義原則
申論題 (0)
相關試卷
115年 - 115-1 專技高考_醫師(二):醫學(六)(包括麻醉科、眼科、耳鼻喉科、婦產科、復健科等科目及其相關臨床實例與醫學倫理)#137334
115年 · #137334
114年 - 114-2 專技高考_醫師(二):醫學(六)(包括麻醉科、眼科、耳鼻喉科、婦產科、復健科等科目及其相關臨床實例與醫學倫理)#127922
114年 · #127922
114年 - 114-1 專技高考_醫師(二):醫學(六)(包括麻醉科、眼科、耳鼻喉科、婦產科、復健科等科目及其相關臨床實例與醫學倫理)#125090
114年 · #125090
113年 - 113-2 專技高考_醫師(二):醫學(六)(包括麻醉科、眼科、耳鼻喉科、婦產科、復健科等科目及其相關臨床實例與醫學倫理)#120656
113年 · #120656
113年 - 113-1 專技高考_醫師(二):醫學(六)(包括麻醉科、眼科、耳鼻喉科、婦產科、復健科等科目及其相關臨床實例與醫學倫理)#118715
113年 · #118715
112年 - 112-2 專技高考_醫師(二):醫學(六)(包括麻醉科、眼科、耳鼻喉科、婦產科、復健科等科目及其相關臨床實例與醫學倫理)#114980
112年 · #114980
112年 - 112-1 專技高考_醫師(二):醫學(六)(包括麻醉科、眼科、耳鼻喉科、婦產科、復健科等科目及其相關臨床實例與醫學倫理)#113157
112年 · #113157
111年 - 111-2 專技高考_醫師(二):醫學(六)(包括麻醉科、眼科、耳鼻喉科、婦產科、復健科等科目及其相關臨床實例與醫學倫理)#108743
111年 · #108743
111年 - 111-1 專技高考_醫師(二):醫學(六)(包括麻醉科、眼科、耳鼻喉科、婦產科、復健科等科目及其相關臨床實例與醫學倫理)#106188
111年 · #106188
110年 - 110-2 專技高考_醫學(二):醫學(六)(包括麻醉科、眼科、耳鼻喉科、婦產科、復健科等科目及其相關臨床實例與醫學倫理)#99915
110年 · #99915