阿摩線上測驗
登入
首頁
>
放射線診斷原理與技術學
> 99年 - 99-1 專技高考_醫事放射師:放射線診斷原理與技術學#36841
99年 - 99-1 專技高考_醫事放射師:放射線診斷原理與技術學#36841
科目:
放射線診斷原理與技術學 |
年份:
99年 |
選擇題數:
80 |
申論題數:
0
試卷資訊
所屬科目:
放射線診斷原理與技術學
選擇題 (80)
1 下列何種條件的 AP 影像可顯示出女性 L5-S1 椎間隙(intervertebral space)? (A)患者仰臥,中心射線向腳端打 30 度,射向 ASIS 沿線中點 (B)患者仰臥,中心射線向腳端打 35 度,射向 ASIS 沿線中點 (C)患者仰臥,中心射線向頭端打 35 度,射向 ASIS 沿線中點 (D)患者仰臥,中心射線垂直射向 ASIS 沿線中點
2 拍攝橫膈下肋骨時,下列敘述何者正確? (A)應採用高 kV、高 mAs 技術 (B)電壓值應比拍橫膈上肋骨高 10 kV 左右 (C) X 光中心線射入 T7 左右 (D)拍攝時應於患者吸完氣閉氣後照相
3 下列何種攝影可同時看到 foramen ovale 及 spinosum? (A) submentovertex projection (B) Towne method (C) Stenvers method (D) A-P projection
4 下列有關前後位內轉(AP projection with internal rotation)肩關節攝影影像的敘述何者正確? (A)可看見正側位肩胛骨(scapula) (B)可看見肱骨小節結(lesser tubercle)在肱骨中央 (C)可看見完整的鎖骨 (D)可看見正側位近端肱骨
5 下列何者是用來診斷頸椎穩定性之最佳攝影方式? (A)前後軸位(AP axial) (B)後前斜位(PA oblique) (C)前後位張口(AP "open mouth") (D)側位姿勢-過度彎曲及過度伸展(lateral position-hyperflexion and hyperextension)
6 右側薦髂關節(SI joint)攝影時,應採何種姿勢? (A) LPO (B) RPO (C) lateral (D) AP
7 下列何種檢查是以時間序列攝影進行動態功能性檢查? (A)尿路及腎臟功能檢查 (B) ERCP (C)逆行性子宮及輸卵管攝影 (D)大腸灌流攝影
8 下列何者不是特別針對乳突骨(mastoid)的攝影技術? (A) Schuller 攝影法 (B) Arcelin-reverse Stenvers 攝影法 (C) Caldwell 攝影法 (D) Mayer 攝影法
9 拍攝牙齒全口攝影(panogram)時,下列敘述何者正確? (A) OML 需與拍攝架底板(floor)平行 (B) IOML 需與拍攝架底板平行 (C) interpupillary line 需與拍攝架底板平行 (D) AML 需與拍攝架底板平行
10 下列何種攝影法可清楚顯現恥骨及坐骨影像? (A) pelvis frog-leg (B) Taylor method (C) Judet method (D) pelvis inlet 代號:4105 頁次:8-2
11 若要求患者擺“ball-catcher"的姿勢時,與拍攝下列何部位有關?(請選一個最適當的選項。) (A) TMJ (B) thumb (C) knee joint (D) hands
12 下列何者不是使用光柵(grid)的優點? (A)減少散射輻射 (B)減少所需之管電流時間(mAs) (C)提高影像的訊雜比 (D)提高影像解析度
13 下列有關一般後前位胸部 X 光攝影的敘述,何者錯誤? (A)射源至影像接收器距離為 180 公分 (B)中心射束直接垂直影像接收器 (C)中心射束應在脊突(vertebra prominens)下方七至八吋 (D)中心射束應該通過第五胸椎
14 使用下列何種技術進行膝關節一般放射診斷攝影時,在影像中可使脛骨與腓骨的重疊最少? (A) AP oblique medial projection (B) AP oblique lateral projection (C) AP projection (D) lateral projection
15 下列關於嬰幼兒胸部攝影之敘述,何者最正確? (A)使用高電壓(110 kV)、短時間曝露法以防止晃動 (B)使用低電壓(65 kV)、高 mAs 以得到影像之清晰度 (C)於躺姿時採用 Pigg-O-Stat 輔助架拍攝 (D)採立姿、低電壓及短時間曝露法
16 膝關節腔攝影(knee arthrography)之 meniscus X 光片上需有那些 markers? (A) right or left marker 和 medial or lateral marker (B) right or left marker (C) medial or lateral marker (D) patient ID marker, right or left marker 和 medial or lateral marker
17 對於膝蓋半月板破裂之評估,下列何項檢查最不適宜? (A)超音波檢查 (B)磁振造影 (C)膝關節攝影 (D)膝血管攝影
18 下列有關使用於子宮輸卵管攝影(HSG)之水溶性顯影劑和油溶性顯影劑相互比較之敘述,何者 正確? (A)水溶性顯影劑較易引起腹痛 (B)水溶性顯影劑留於體內之時間較長 (C)水溶性顯影劑較油溶性更 radiopaque (D)目前較多人使用油溶性顯影劑
19 淋巴攝影(lymphangiography)使用下列何種顯影劑? (A)二氧化碳氣體 (B)空氣 (C)水溶性含碘顯影劑 (D)油性含碘劑
20 下列何種血管攝影檢查,在攝影時,通常不需要求病人閉氣配合? (A) cerebral angiography (B) thoracic aortogram (C) pulmonary arteriography (D) abdominal angiography
21 大腦內側之供血動脈主要為何? (A)顏面動脈 (B)枕動脈 (C)前腦動脈 (D)中腦動脈
22 Postoperative cholangiography 之 T-tube 一般是置放於何處? (A)肝內膽管 (B)胰管 (C)膽囊管 (D)總膽管
23 小孩子疑有膀胱輸尿管逆流(vesicoureteral reflux),下列何種檢查並不常用? (A)電腦斷層 (B)靜脈注射泌尿道攝影 (C)排尿膀胱輸尿管攝影 (D)核子醫學
24 下列何種攝影姿勢,適合於男性排尿膀胱尿道攝影術(voiding cystourethrography)? (A) true lateral projection (B) AP projection (C) RPO (D) outlet projection 代號:4105 頁次:8-3
25 正常成人深吸氣時或站立時其腎臟的位置最多約可下降多少椎體高度,超過此範圍即被稱為腎下垂 (nephroptosis)? (A) 4 (B) 1 (C) 2 (D) 3
26 大腸攝影中呈局部不規則狹窄-“蘋果核"之影像特徵,則此病患最可能的診斷是: (A)大腸息肉(polyp) (B)大腸癌(cancer) (C)大腸憩室(diverticulum) (D)腸套疊(intussusception)
27 一般做雙重對比大腸攝影,其鋇劑之濃度(% weight-to-volume),下列何者為佳? (A) 15~25 (B) 30~45 (C) 50~65 (D) 75~95
28 針對肥胖的患者進行上消化道攝影時,下列有關其胃形狀或位置的敘述,何者較為正確? (A)低且垂直,約在 T11 至 L4 (B)幽門的位置在脊椎的左側,約在 L3 至 L4 (C)高且橫向,約在 T9 至 T12 (D)幽門的位置靠近中線約在 L2
29 下列何種檢查需將導管送至十二指腸-空腸交界(duodenojejunal junction)或更遠,然後灌鋇劑及空 氣或 methylcellulose,做雙重對比檢查? (A) hypotonic duodenography (B) upper gastrointestinal series (C) enteroclysis (D) lower gastrointestinal series
30 下列何種疾病不適合做小腸鋇劑攝影? (A)腸炎 (B)克隆氏病(Crohn’s disease) (C)大腸阻塞 (D)默克氏憩室(Meckel’s diverticulum)
31 通常病人作食道攝影時,是採下列何種姿勢? (A) supine position (B) prone position (C) standing position (D) Trendelenburg position
32 那一代的 CT,detector 無旋轉動作? (A)第一代 (B)第二代 (C)第三代 (D)第四代
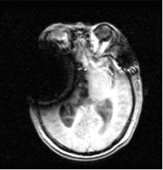
33 在下列 CT 品質控制測試中,何者非屬於每年僅需檢測一次的項目? (A) kVp waveform (B) radiation scatter and leakage (C) pitch and slice width (D) standard deviation of CT number in water
34 下列那一種裝置可使 CT gantry 內的 X 光管不斷地旋轉? (A) transformer (B) spiral groove bearing (C) slip ring (D) target ring
35 下列何者會影響 CT 的 dose profile? (A) data acquisition system (B) detector response time (C) post-patient collimator (D) pre-patient collimator
36 Single slice 的 spiral CT 的 X 光管在 40 秒內旋轉 20 周,病床一共前進 40 cm,若 pitch=1,切片與切 片之間緊密相鄰不重疊,則掃描數據共可得到多少個切片? (A) 80 (B) 40 (C) 20 (D) 10
37 配合身體構造不平均而使用濾板(filter)時,下列相關敘述何者正確? (A)使用補償濾板(compensating filters) (B)使用固有濾板(inherent filters) (C)使用附加濾板(added filters) (D)使用空氣間隙法(air-gap)
38 關於 CT virtual colonoscopy 檢查之敘述,下列何者錯誤? (A)檢查前一天應給與瀉劑 (B)檢查前需由肛門灌入大量空氣 (C)必須由靜脈注射含碘顯影劑 (D)為了避免部分腸腔塌陷,可採仰臥及俯臥兩次掃描
39 最常用以評估 CT spatial resolution 的方法是: (A) point spread function(PSF) (B) line spread function(LSF) (C) contrast transfer function(CTF) (D) modulation transfer function(MTF)
40 關於頭部 CT 檢查之敘述,下列何者錯誤? (A)對於顳骨中耳構造之檢查,可採 1 或 2 mm 切片厚度高解析度 CT (B)為了得到較佳之大腦灰白質之軟組織對比,一般採取 1 或 2 mm 之切片厚度 (C)對於後腦窩構造可採 3 至 5 mm 切片厚度 (D)對於腦下垂體之檢查,宜採取 1 或 2 mm 切片厚度
41 下列何種 CT 影像重組可以最有效的區別血管壁鈣化與血管內血栓(thrombus)? (A) multiplanar reconstruction(MPR) (B) maximum intensity projection(MIP) (C) shaded surface display(SSD) (D) volume rendering
42 為了避免直接掃描眼睛,頭部 CT 掃描時,應與 canthomeatal line 成何種角度? (A)-10 度 (B) 10 度 (C) 20 度 (D) 50 度
43 下列關於 CT 的 window width 及 window level 的敘述何者正確? (A) window width 控制影像的亮度(brightness) (B) window level 控制影像的對比(contrast) (C) window width 愈窄則影像的對比(contrast)愈高 (D) window level 愈高則影像的亮度(brightness)愈高
44 未注射對比劑的電腦斷層(computed tomography, CT),脂肪肝和肝臟血管的亮度有何差別? (A)脂肪肝較暗(darker) (B)一樣亮度 (C)脂肪肝亮度略高(slightly brighter) (D)脂肪肝非常顯著的亮(much brighter)
45 腹部電腦斷層,在左腎的前上內側方向有一倒 Y 字型構造為: (A)胰臟 (B)下腔靜脈 (C)脾臟 (D)腎上腺
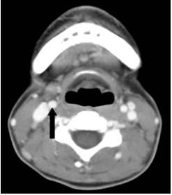
46 附圖中黑色箭號所指的構造為何?
(A)上腔靜脈 (B)右側頸動脈 (C)左側內頸靜脈 (D)右側內頸靜脈
47 於磁振造影中,proton density weighted image 是選用下列何種脈衝波序所得到之影像? (A) long TR,long TE (B) long TR,short TE (C) short TR,short TE (D) short TR,long TE
48 MRI 超導磁體中所填充的物質為何? (A)水 (B)二氧化碳 (C)液態氦 (D)液態氧
49 磁振造影時,下列那一類的波序對磁化率(magnetic susceptibility)最不敏感? (A)梯度回波(gradient echo) (B)自旋回波(spin echo) (C)平面回波(echo planar) (D)快速自旋回波(fast spin echo)
50 下列有關 spin echo(SE)與 fast spin echo(FSE)相互比較的敘述,何者錯誤? (A) spin echo 沒有 T2*效應,fast spin echo 則有 (B) fast spin echo 掃描時間較 spin echo 短 (C) spin echo 擁有比 fast spin echo 更好的對比度 (D) fast spin echo 可以減少 motion 所造成的假影
51 是: (A) T1WI(T1 weighted image) (B) T2WI(T2 weighted image) (C) FLAIR(fluid attenuation inversion recovery) (D) DWI(diffusion weighted image)
52 承上題,這張影像的 TR,TE 最可能是: (A) TR:4000 msec、TE:120 msec (B) TR:500 msec、TE:20 msec (C) TR:800 msec、TE:200 msec (D) TR:50 msec、TE:20 msec
53 磁振造影以 20 公分的 FOV 取像,影像的矩陣是 128×128。請問其像素尺寸為何? (A) 0.78 mm×0.78 mm (B) 1.56 mm×1.56 mm (C) 1.92 mm×1.92 mm (D) 2.56 mm×2.56 mm
54 根據所附影像,下列敘述何者正確?
(A)影像中有嚴重金屬假影(metal artifacts) (B)影像中有嚴重化學位移假影(chemical shift artifacts) (C)影像中有嚴重移動假影(motion artifacts) (D)影像中有嚴重血流假影(flow artifacts)
55 磁振造影取像時,下列何者決定 slice selection? (A) RF coil (B) magnet coil (C) shim coil (D) gradient coil
56 關於磁振造影中移動假影(motion artifact),下列何者錯誤? (A)移動假影常會出現在 phase-encoding 方向 (B)可以採用 fast spin echo 或是 gradient echo 來降低假影出現的機會 (C) cardiac gating、respiratory compensation 可以減少移動假影出現的機會 (D)使用 EPI 對於消除此假影無幫助
57 下列有關在磁振造影中令照野範圍(field of view)縮小之敘述,何者正確? (A)應使梯度磁場增強 (B)應使梯度磁場變小 (C)與梯度磁場無關 (D)可得到更高訊雜比
58 下列何種參數之改變可以提高訊雜比? (A)增加影像陣列(matrix)大小 (B)縮小照野(FOV) (C)縮小切片厚度 (D)縮小頻寬(bandwidth)
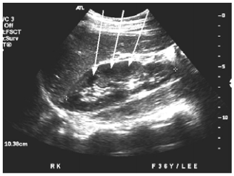
59 所附之超音波掃描圖為肚臍上方三公分處所做的縱切面掃描,箭號所指的構造最可能為:
(A)腎動脈 (B)腎靜脈 (C)上腸繫膜靜脈 (D)下腸繫膜動脈
60 附圖是一名 11 個月大嬰兒右上腹部之橫向掃描,箭號所指的病變最可能是:
(A)胃癌 (B)腸套疊 (C)結腸淋巴癌(lymphoma) (D)闌尾炎
61 關於胰臟癌的超音波徵象,下列何者錯誤? (A)胰臟頭部腫瘤常導致膽管或胰管擴張 (B)可造成下腔靜脈壓迫或上腸繫膜靜脈侵犯 (C)胰臟癌通常呈現高回音,邊緣不規則 (D)胰臟尾部發生胰臟癌的機率不如頭部多
62 一般使用的二維超音波圖像中,若顯示較亮(即較白),則表示該結構為: (A)無回音 (B)低回音 (C)等回音 (D)高回音
63 超音波影像,一般成人正常的腎臟長度(上下徑)為何? (A) 10-12 cm (B) 4-6 cm (C) 2-4 cm (D) 6-8 cm
64 附圖中箭號所指的構造為:
(A)胃後壁 (B)胰臟 (C)十二指腸 (D)腎臟
65 超音波掃描腎臟時,下列敘述何者錯誤? (A)病人仰睡,探頭置於前腋窩線上,請病人吐氣時可得到最佳之腎臟切面 (B)病人側躺時,可於肋間掃描右腎 (C)每個腎臟必須取得互相垂直之兩個切面 (D)病人稍微右側躺時,較易掃描左腎之兩個垂直切面
66 慢性輸尿管阻塞下,超音波檢查較不會出現下列何特徵? (A)腎盂擴張 (B)腎實質變厚 (C)擴張腎盞內有低回音之沉澱物 (D)腎臟萎縮
67 一般而言,在進行超音波檢查之前,通常操作者會在面板上調節或處理下列事項,但何者除外: (A)輸入病人的資料 (B)選擇探頭 (C)調節音能補償(time gain compensation,TGC) (D)調節濾波器(filter)
68 附圖中箭號所指的構造為:
(A)腎囊腫(cyst) (B)腎髓質或錐體(pyramids) (C)腎盞(calyces) (D)腎臟腫瘤(tumors)
69 附圖為下腹部橫向超音波掃描,箭號所指為:
(A)膀胱癌 (B)血塊 (C)結石 (D)導管
70 關於脾臟(spleen)的超音波檢查,下列敘述何者錯誤? (A)讓病人仰臥或右側臥的姿勢作檢查 (B)請病人吐氣之後閉氣 (C)平行左側肋間作掃描 (D)有時可以在脾門區發現副脾
71 有一個單相產生器(single-phase generator)可以在 100 ms 情況下產生最高 100 kVp 與 500 mA 的效 能,請問此 X 光產生器的 kilowatt rating 為多少? (A) 5 (B) 35 (C) 50 (D) 500
72 關於超音波的品保測試,下列那個項目不屬於常規基本測試項目? (A)均勻度(uniformity) (B)距離準確度(distance accuracy) (C)軸向解析度(axial resolution) (D)最大可見深度(maximum depth of visualization)
73 量測水與空氣的平均電腦斷層值,可以評估下列那一項目? (A)空間解析度(spatial resolution) (B)電腦斷層劑量指標(computed tomography dose index) (C)低對比解析度(low contrast resolution) (D)對比刻度(contrast scale)
74 在乳房攝影 X 光的胸壁側(chest wall edge),照野必須超過影像接受器(image receptor),但其超 過值不可高於多少%的 SID(source-to-image distance)? (A) 1% (B) 2% (C) 3% (D) 4%
75 下列那些項目是屬於磁振造影的品質保證項目?1. 影像的均勻度 2.共振頻率 3.能量解析度 4.空間解析度 (A)①③④ (B)②③④ (C)①②④ (D)①②③
76 下列何者並非 RAID 5(redundant array of inexpensive disks)的特性? (A) RAID 5 的一個磁碟發生損壞時,被損壞的數據仍然可以復原 (B) RAID 5 使用鏡像磁碟的方式增強容錯功能 (C) RAID 5 同時使用多台 SCSI 硬碟 (D) RAID 5 吞吐量(throughput)比 RAID 3 低
77 一張 512×512×8 bits 的影像,經失真(lossy)壓縮後得 524288 bits 的影像,其壓縮比為下列何者? (A) 2:1 (B) 3:1 (C) 4:1 (D) 5:1
78 快速乙太網路(fast Ethernet)的傳輸速度為何? (A) 1 Mbit/s (B) 10 Mbit/s (C) 100 Mbit/s (D) 1 Gbit/s
79 醫學資訊中,使用下列何者作為標準文字資料格式? (A) DICOM (B) HL7 (C) IHE (D) HIPPA
80 下列何者並非 CR(computed radiography)造影結構上之設備? (A) intensifying screen (B) A/D converter (C) imaging plate reader (D) QA monitor
申論題 (0)
相關試卷
115年 - 115-1 專技高考_醫事放射師:放射線診斷原理與技術學#137344
115年 · #137344
114年 - 114-2 專技高考_醫事放射師:放射線診斷原理與技術學#128969
114年 · #128969
114年 - 114-1 專技高考_醫事放射師:放射線診斷原理與技術學#125124
114年 · #125124
113年 - 113-2 專技高考_醫事放射師:放射線診斷原理與技術學#121691
113年 · #121691
113年 - 113-1 專技高考_醫事放射師:放射線診斷原理與技術學#118731
113年 · #118731
112年 - 112-2 專技高考_醫事放射師:放射線診斷原理與技術學#115920
112年 · #115920
112年 - 112-1 專技高考_醫事放射師:放射線診斷原理與技術學#113162
112年 · #113162
111年 - 111-2 專技高考_醫事放射師:放射線診斷原理與技術學#109901
111年 · #109901
111年 - 111-1 專技高考_醫事放射師:放射線診斷原理與技術學#106212
111年 · #106212
110年 - 110-2 專技高考_醫事放射師:放射線診斷原理與技術學#99941
110年 · #99941