阿摩線上測驗
登入
首頁
>
放射線診斷原理與技術學
>
105年 - 105-2 專技高考_醫事放射師:放射線診斷原理與技術學#54805
> 試題詳解
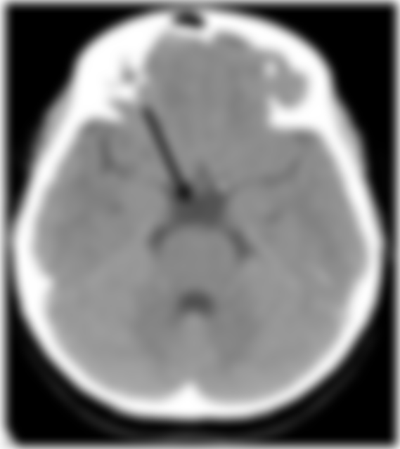
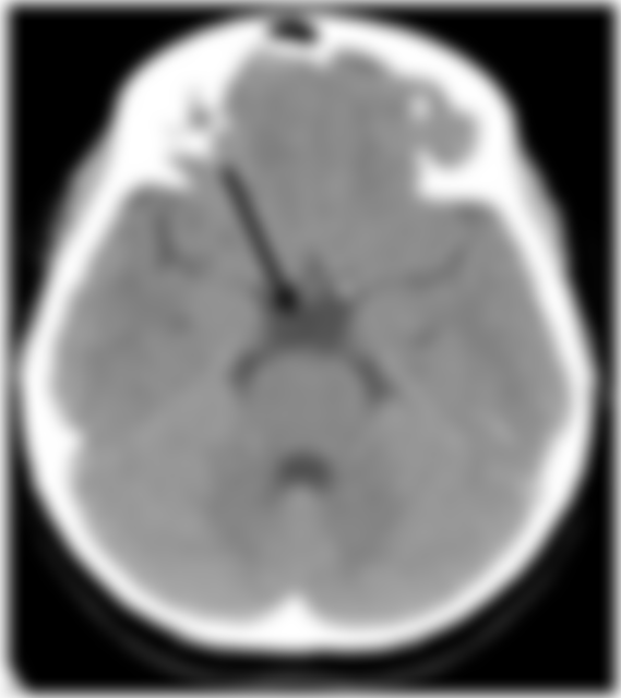
37.頭部電腦斷層攝影呈現如下圖,箭號所指何者最正確?
(A)側腦室
(B)第三腦室
(C)第四腦室
(D)第五腦室
答案:
登入後查看
統計:
A(184), B(1631), C(236), D(7), E(0) #1383903
詳解 (共 2 筆)
專技高考榜首
B2 · 2021/06/17
#4811387
(共 1 字,隱藏中)
前往觀看
10
0
貝克
B1 · 2020/01/29
#3753602
(A)第一腦室與第二腦室和稱(側腦室)位...
(共 402 字,隱藏中)
前往觀看
10
0
私人筆記 (共 1 筆)
國考歐趴喔!
2021/07/21
私人筆記#3373048
未解鎖
蝶鞍上腦池(suprasellar ...
(共 28 字,隱藏中)
前往觀看
0
1
相關試題
70.乳房超音波掃描發現無回音之管狀構造,懷疑為血管或擴張乳管,最適合進行下列何種檢查? (A)乳房攝影 (B)彈性超音波掃描 (C)彩色都卜勒超音波掃描 (D)超音波導引細針抽吸術
#1383936
71.在超音波影像,下列何者回音最高? (A)腎錐體 (B)腎盂 (C)腎皮質 (D)腎竇部
#1383937
72.超音波掃描中,膽結石後方的音波陰影主要是由下列那一項造成? (A)折射(refraction) (B)多重回音(reverberation) (C)衰減(attenuation) (D)切面厚度(section thickness)
#1383938
73.下列那些名詞與空間解析度有關?①MTF(modulation transfer function) ②CNR(contrast to noise ratio) ③PSF(point spread function) ④ lp/cm(line pair /cm) (A)僅①④ (B)僅①③④ (C)①②③④ (D)僅④
#1383939
74.在電腦斷層攝影品保方面,理論上何者是製作modulation transfer function(MTF)的方法? (A)利用point spread function(PSF)經由傅立葉轉換求得 (B)利用line spread function(LSF)經由傅立葉轉換求得 (C)利用線對取其edge spread function (D)利用圓盤取其edge spread function
#1383940
75.下列何種數位顯示器之校驗項目不須使用AAPM TG-18圖樣進行測試? (A)幾何失真(geometric distortion) (B)亮度反應(luminance response) (C)顯示器解析度(display resolution) (D)顯示器表面照度(illuminance)
#1383941
76.數位X光攝影(digital radiography, DR)的影像系統可細分為三部分,則非結晶硒(amorphous selenium)屬於那幾種元 件?①捕獲元件(capture element) ②耦合元件(coupling element) ③收集元件(collection element) (A)僅①② (B)①②③ (C)僅①③ (D)僅②③
#1383942
77.在一張影像中,信號強度分布在0到255之間,信號強度之解析度(intensity resolution)是多少? (A)4 bits (B)8 bits (C)12 bits (D)16 bits
#1383943
78.一般稱為非失真壓縮(lossless compression),其壓縮比大約為: (A)1:1 (B)3:1 (C)10:1 (D)100:1
#1383944
79.下列何者最不會因顯影增強成為高密度? (A)腦內動脈(intracerebral arteries) (B)腦內靜脈(intracerebral veins) (C)腦室脈絡叢(choroid plexus of ventricles) (D)正常腦組織(normal brain parenchyma)
#1383945
相關試卷
115年 - 115-1 專技高考_醫事放射師:放射線診斷原理與技術學#137344
2026 年 · #137344
114年 - 114-2 專技高考_醫事放射師:放射線診斷原理與技術學#128969
2025 年 · #128969
114年 - 114-1 專技高考_醫事放射師:放射線診斷原理與技術學#125124
2025 年 · #125124
113年 - 113-2 專技高考_醫事放射師:放射線診斷原理與技術學#121691
2024 年 · #121691
113年 - 113-1 專技高考_醫事放射師:放射線診斷原理與技術學#118731
2024 年 · #118731
112年 - 112-2 專技高考_醫事放射師:放射線診斷原理與技術學#115920
2023 年 · #115920
112年 - 112-1 專技高考_醫事放射師:放射線診斷原理與技術學#113162
2023 年 · #113162
111年 - 111-2 專技高考_醫事放射師:放射線診斷原理與技術學#109901
2022 年 · #109901
111年 - 111-1 專技高考_醫事放射師:放射線診斷原理與技術學#106212
2022 年 · #106212
110年 - 110-2 專技高考_醫事放射師:放射線診斷原理與技術學#99941
2021 年 · #99941