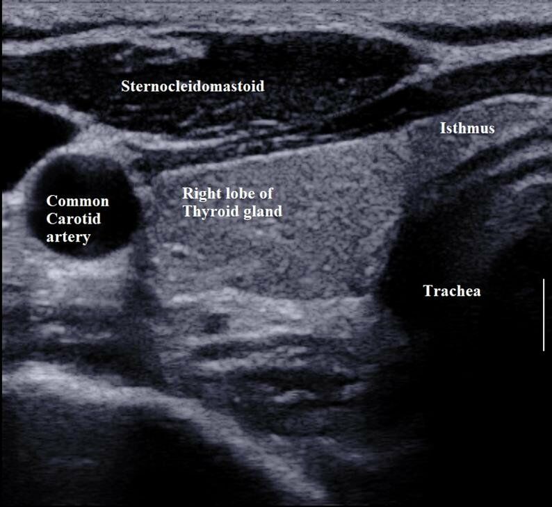
41.一位 65 歲男性發現右頸部有一硬塊,頸部超音波檢查如附圖,細針穿刺細胞學檢查顯示為甲狀腺乳突癌 (papillary thyroid cancer),根據超音波圖像,此甲狀腺癌可能合併下列何者特性?
(A)lateral neck lymph node metastasis
(B)extrathyroidal extension
(C)tracheal invasion
(D)esophageal invasion
答案:登入後查看
統計: A(131), B(432), C(101), D(22), E(0) #2942808
統計: A(131), B(432), C(101), D(22), E(0) #2942808
詳解 (共 1 筆)
#5713649
正常甲狀腺 soon
(from Researchgate.net:https://www.researchgate.net/figure/5-Grey-scale-ultrasound-features-of-normal-thyroid-gland-and-its_fig8_324274379)
正常狀況需有點高回音
題目中 thyroid 已經表現 Cancer lesion (hypo)
9
0