所屬科目:醫學五:80題 ( 包括外科,骨科,泌尿科等科目及其相關臨床實例與醫學倫理 )
4.一位53歲女性駕駛小轎車與對側高速來車相撞,立刻被緊急送至第一級(Level I)創傷中心急救。到院時意識 狀態清楚,主訴兩側胸部及腹部疼痛、兩側手腕及左下肢劇痛。理學檢查發現血壓80/50 mmHg、心跳115次/ 分、呼吸20次/分,給與氧氣5公升/分鐘使用後,動脈血氧飽和度可達98%;另左胸呼吸音減低,腹部微脹有明 顯瀰漫性壓痛,雙側手腕變形及左股骨開放性骨折。經快速大量輸液治療後血壓上升至100/55 mmHg,故安排 緊急全身顯影電腦斷層,結果如附圖。病人送回急救區後發現意識模糊,但對深痛刺激有反應,生命徵象為血 壓60/40 mmHg、心跳125次/分、呼吸20次/分,動脈血氧飽和度無法偵測。下列何種醫療處置較為適當? (A)再次給予快速大量輸液後立即再安排一次腦部電腦斷層 (B)立即雙側肋膜胸管置入並密切觀察 (C)立即送病人至手術室接受緊急開胸及主動脈修補術 (D)立即送病人至手術室接受緊急剖腹探查
28.將主動脈分為五大部分,如附圖,則主動脈內氣球幫浦(intra-aortic balloon pump, IABP)置入後,球囊 (intra-aortic balloon)最佳位置應於: (A)I (B)II (C)III (D)IV
29.80歲男性抽菸且合併高血壓、糖尿病病史,接受頸動脈血管攝影檢查之結果如附圖。則下列敘述何者錯誤? (A)診斷為外頸動脈(external carotid artery)狹窄 (B)聽診時不一定聽得到頸動脈雜音(carotid bruit) (C)突發性狹窄同側暫時性失明(amaurosis fugax)為可能臨床表現之一 (D)如接受頸動脈內膜摘除術(carotid endarterectomy),對有同側中風病史者,術後皆擁有較佳的防止再度中 風效果
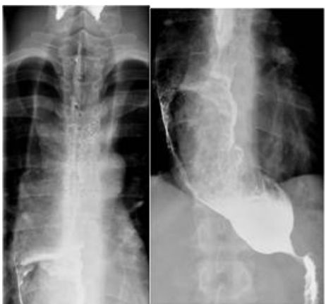
72.23歲男性,主訴吞嚥困難與經常性吸入性肺炎,上消化道鋇劑攝影檢查如下圖,最有可能的診斷為: (A)achalasia (B)gastroesophageal reflux disease(GERD) (C)gastric lymphoma (D)hiatal hernia
73.下圖為右上腹部超音波掃描圖,最可能的診斷為: (A)產氣性膽囊炎 (B)產氣性肝膿瘍 (C)膽囊癌 (D)膽囊結石
74.下圖為中年男性所呈現的後腹膜腔腫瘤,最不可能的診斷為: (A)淋巴瘤 (B)源自多形惡性神經膠質瘤(glioblastoma)之轉移腫瘤 (C)未分化多形性肉瘤(undifferentiated pleomorphic sarcoma) (D)精細胞瘤(seminoma)