所屬科目:醫學五:80題 ( 包括外科,骨科,泌尿科等科目及其相關臨床實例與醫學倫理 )
1.下列何者不是神經性休克的臨床表徵? (A)血壓變低 (B)心跳變快 (C)回到心臟的靜脈血流量減少 (D)病人常合併脊髓損傷
2.兩輛轎車對撞後30分鐘,救護車送來四位病人到急診室,下列那位病人應優先處置? (A)呈現呼吸窘迫現象,呼吸40次/分鐘 (B)左側胸部沒有呼吸聲且無頸靜脈怒張 (C)小腿開放性骨折,褲管浸濕了鮮血 (D)最先被送來的病人,且一直罵三字經與恐嚇醫護人員
3.為了減少腹腔鏡膽囊切除術後之併發症,須特別注意卡洛氏三角(Calot's triangle),下列何者 為卡洛氏三角之組成? (A)總膽管,右肝動脈,膽囊管 (B)右肝管,肝臟下緣,膽囊管 (C)總肝管,肝臟下緣,膽囊管 (D)總膽管,肝臟下緣,腔動脈
4.感染來源控制(infection source control)之基本原則,下列何者錯誤? (A)感染物質有效引流 (B)移除感染區域之異物 (C)感染傷口清創 (D)強效抗生素使用
5.有關器官移植後癌症的發生,下列敘述何者錯誤? (A)器官移植後最常發生的癌症為皮膚癌 (B)器官移植後肝癌的發生與B型及C型肝炎病毒有關 (C)器官移植後卡波西氏肉瘤(Kaposi sarcoma)的發生與人類第八型疱疹病毒(human herpesvirus 8)有關 (D)器官移植後發生癌症時應立即停止免疫抑制劑以避免癌症惡化
6.下列何者不是全靜脈營養(total parenteral nutrition, TPN)的併發症? (A)水分給太多或太少,可能造成水腫或脫水情況 (B)可能誘發腸道阻塞 (C)長期使用可能引起微量元素缺乏 (D)肝功能可能變差
7.有關再餵食症候群(refeeding syndrome)的發生,下列何者正確? (A)長期禁食營養不良病人(malnourished patients)再餵食時,早期常因胰島素大量分泌造成低血 糖 (B)只發生在經口進食病人 (C)餵食前先補充麩醯胺酸(glutamine)可預防併發症 (D)可能發生低血磷造成心律不整
8.有關聽神經瘤(acoustic neuroma)之敘述,下列何者正確? (A)源自聽神經(cochlear nerve) (B)手術切除之併發症最常見為旁邊的第六對外展神經受傷,病人術後產生複視 (C)以手術切除為主,radiosurgery用在手術後殘留腫瘤,很少第一線就使用 (D)雙側acoustic neuromas常與neurofibromatosis type 2有關
9.有關毛毛樣血管疾病(moyamoya disease),下列敘述何者正確? (A)成人建議以血管繞道手術治療 (B)較少發生在亞洲人 (C)只影響單側腦血管 (D)阻塞以後大腦動脈為主
10.下列何種顱內血管異常疾病較可能是由外傷造成的? (A)毛毛樣血管病變(moyamoya disease) (B)海綿狀血管畸形病變 (cavernous malformation) (C)頸動脈–海綿竇瘻管(carotid-cavernous fistula) (D)微血管樣血管擴張(capillary telangiectasia)
11.有關脊椎狹窄(spinal stenosis)之敘述,下列何者最適當? (A)spondylosis表示脊椎構造廣泛性的退化形變和過度增生,造成脊椎狹窄(spinal stenosis)的過程 (B)頸椎退化造成椎管內脊髓壓迫而產生脊髓病變,此一過程稱為cervical spondylolytic myelopathy (C)典型的脊髓病變表現為上肢肌肉無力萎縮,肌腱反射變強(hyperreflexia),但下肢本體感覺正 常 (D)脊髓病變通常為多節性,通常病患接受減壓手術治療就能夠得到立即且滿意的恢復,不需再復健治療
12.下列關於Hangman's fracture敘述,何者正確? (A)主要是第二頸椎受到突然扭轉(rotation)力量所致 (B)造成第二頸椎雙側椎關節(facet)骨折 (C)很少發生神經功能損傷,可先以外固定方式治療 (D)嚴重的損傷會造成第一、二頸椎脫位;不穩定時,則需做內固定手術治療
13.頭部外傷後,下列何種症狀,可先觀察,不一定要馬上做電腦斷層攝影? (A)不明原因噴射式嘔吐3次 (B)單側肢體肌力少了1分 (C)暈眩 (D)頭部穿刺傷
14.有關手指外觀異常,下列敘述何者錯誤? (A)swan-neck deformity:近端指關節的過度伸展和遠端指關節的過度屈曲 (B)boutonnière deformity:近端指關節的過度屈曲和遠端指關節的過度伸展 (C)gamekeeper thumb:大拇指掌指關節的橈側副韌帶受損 (D)trigger finger:手指屈肌腱狹窄性肌腱鞘炎
15.下列何者不是穿通枝皮瓣(perforator flaps)的缺點? (A)可保留供給區肌肉及肌膜的功能 (B)不易分離單獨的穿通枝血管 (C)穿通枝血管分離增加手術時間 (D)解剖學上血管部位的變異性大且血管較短小,管壁較薄
16.第一個異體臉部移植(facial transplantation)手術成功的案例是在那個國家? (A)美國 (B)英國 (C)法國 (D)俄羅斯
17.在抽脂手術中所使用的tumescent fluid(lidocaine 0.05% and epinephrine 1:1,000,000),lidocaine的最高安全劑量限制為: (A)7 mg/kg (B)15 mg/kg (C)20 mg/kg (D)35 mg/kg
18.50歲女性,接受定期篩檢乳房攝影(screening mammography),回診時報告敘述breast imaging reporting and data system(BI-RADS)category:0,診間醫師該如何向病人解釋? (A)無發現明顯異常(negative),定期追蹤即可 (B)良性病灶(benign),需每年定期追蹤 (C)懷疑異常(suspicious abnormality),需進一步切片檢查 (D)需進一步安排其他影像學檢查診斷
19.蔡女士不幸發生瓦斯氣爆燒傷,經救護車送至急診室,急診醫師檢查初步生命跡象穩定,發現燒傷 水泡、脫皮範圍在整個雙側上肢、前胸及腹部深二度燒傷,於急診室測量體重為60公斤;依據 “Rule of nines”其燒傷面積為何?又根據”Parkland formula”前8小時應給與多少輸液? (A)36%;8640 ml乳酸鹽林格氏液(Lactated Ringer's solution) (B)36%;4320 ml乳酸鹽林格氏液(Lactated Ringer's solution) (C)27%;3888 ml 5%葡萄糖液(D5W) (D)45%;6480 ml生理食鹽水(normal saline)
20.下列何者不是急性冠心症後可能造成的併發症(mechanical complication)? (A)急性主動脈瓣閉鎖不全(acute aortic regurgitation) (B)乳突肌斷裂合併二尖瓣逆流(papillary muscle rupture with mitral regurgitation) (C)心室中隔缺損(ventricular septal defect) (D)游離壁破裂(free wall rupture)
21.對於有intermittent claudication之病人,其ankle-brachial index(ABI)大多為: (A)>1.0 (B)0.8~1.0 (C)0.5~0.7 (D)0.2~0.4
22.對於主動脈剝離(aortic dissection)病人之血壓控制,下列何項處置最不適合? (A)靜脈注射短效乙型阻斷劑 (B)靜脈注射甲型及乙型阻斷劑 (C)靜脈注射乙型阻斷劑及血管擴張劑 (D)僅使用血管擴張劑
23.67歲男性,吸菸20年,糖尿病5年僅用口服血糖藥治療,因心肌梗塞入院,給了兩種抗血小板藥物,在主動脈幫浦(intra-aortic balloon pumping)支持下血壓80/60 mmHg,左心射出率約 35%,且左主冠狀動脈有80%狹窄,左迴旋枝中段多處75%到85%狹窄,右冠狀動脈有兩處80%狹窄, 下列建議何者最不適當? (A)高度建議先行冠狀動脈繞道術(coronary artery bypass grafting) (B)可考慮放置更高階機械循環輔助(mechanical circulatory support),如葉克膜、心室輔助器 (C)應該等抗血小板藥效過後,才行手術,減少出血之可能 (D)不停跳之冠狀動脈繞道術式(off-pump CABG)與行心肺機之冠狀動脈繞道術式(on-pump CABG) 相比,並無較佳之長期成果
24.有關機械循環輔助(mechanical circulatory support)之敘述,下列何者錯誤? (A)根據IABP-SHOCK II trial報告,主動脈幫浦(IABP)可以對心因性休克之病患,提供比只使用最 佳藥物治療更好的存活率 (B)在REMATCH trial報告中,植入型之左心室輔助器,可以對第四級心衰竭病人提供比最佳藥物治療更好的存活率 (C)如果要選擇同時對心肺衰竭都可以支持的循環輔助,只有葉克膜(extracorporeal membrane oxygenation, ECMO) (D)長效型之心室輔助器(durable ventricular assist device)不但可以用來過渡到心臟移植 (bridge to transplant),也被允許做為終極治療(destination therapy)
25.71歲陳先生,因吞嚥困難至醫院檢查,證實是食道鱗狀上皮細胞癌(squamous cell carcinoma),經一系列檢查,發現腫瘤侵犯食道肌肉層但未超過肌肉層,有三顆淋巴轉移,但無遠端轉移,細胞為中度分化(moderately differentiated)。根據AJCC第八版,陳先生為食道癌病理分期第幾期? (A)IB (B)IIB (C)IIIB (D)IVB
26.承上題,根據食道癌之分期,接下來陳先生應接受何種治療? (A)接受食道切除及重建手術 (B)化學治療,然後再開刀 (C)標靶治療 (D)術前同時放射線治療加化學治療,然後再開刀
27.有關肺腺癌(adenocarcinoma)的組織學分型(subtype)中,下列何者之預後最佳? (A)腺泡型(acinar) (B)乳頭型(papillary) (C)伏壁型(lepidic) (D)微乳頭型(micropapillary)
28.關於類肉瘤病(sarcoidosis)之敘述,下列何者正確? (A)病患肺部多會受影響 (B)不會導致肺纖維化 (C)非乾酪性肉芽腫(non-caseating granuloma)只會發生在肺部和兩側肺門淋巴結 (D)主要治療用藥為抗生素
29.有關食道裂孔疝氣(esophageal hiatal hernia),下列敘述何者正確? (A)每位病患一定會有症狀 (B)type I為paraesophageal hernia (C)type II又稱rolling hernia (D)type III為sliding hernia
30.關於代謝及減重手術的適應症,下列何者錯誤? (A)BMI>40或BMI>35合併肥胖導致的合併症 (B)無酒精依賴或使用毒品 (C)無須精神科醫師評估,即可接受手術 (D)65歲以上的患者若考慮手術,需要更謹慎的評估
31.關於門靜脈高壓(portal hypertension)的敘述,下列何者錯誤? (A)門靜脈高壓定義為門靜脈壓力與肝靜脈壓力差大於5 mmHg (B)由冠狀靜脈(coronary vein)及胃短靜脈(short gastric vein)匯入奇靜脈(azygos vein)產 生之側支循環於臨床的重要性是造成胃食道靜脈曲張 (C)caput medusae是由於left portal vein和epigastric vein之間臍靜脈(umbilical vein)的再疏 通(recanalization) (D)酒精性肝硬化(alcoholic cirrhosis)病人其門靜脈血流阻力發生之處在presinusoidal level
32.有關急性闌尾炎的敘述,下列何者錯誤? (A)除了白血球數目外,C-反應蛋白(C-reactive protein)、膽色素、前降鈣素(procalcitonin) 檢測有助於預測穿孔性闌尾炎 (B)非複雜性闌尾炎接受內科抗生素治療,約四分之一病人在一年內須接受手術治療,且有較高比率發 生複雜性闌尾炎 (C)單孔腹腔鏡手術的結果與美觀均比傳統腹腔鏡手術好 (D)急性闌尾炎是闌尾癌最常見的表徵
33.有關胃惡性腫瘤之敘述,下列何者最恰當? (A)對於局部侵犯性胃癌,要有足夠切除範圍,此外淋巴腺的廓清術對其預後有幫助 (B)對於原發性胃的淋巴瘤,宜先手術再化學治療 (C)在已開發國家,雖整體胃癌發生率下降,但胃遠端的惡性腫瘤發生率卻上升 (D)早期胃癌不會淋巴轉移
34.目前較常用來評估肝臟功能的方法為Child-Pugh classification,下列何者不是評估項目? (A)bilirubin (B)albumin (C)partial thromboplastin time (D)ascites
35.關於Bismuth-Corlette type I近端膽管癌(proximal cholangiocarcinoma)的手術治療,下列何 項處置為最不必要之手術? (A)膽囊切除 (B)總膽管切除 (C)部分肝切除 (D)肝動脈及門靜脈周圍淋巴結廓清
36.關於胰臟癌的手術,下列何種情況仍適合做根除性切除? (A)肝臟有多個轉移 (B)腫瘤侵犯大腸 (C)腫瘤侵犯上腸繫膜動脈(superior mesenteric artery) (D)腫瘤侵犯腹腔動脈(celiac artery)
37.下列關於短腸症候群(short bowel syndrome)的敘述,何者錯誤? (A)短腸症候群的臨床標誌(hallmarks)包括:腹瀉(diarrhea)、液體和電解質缺乏(fluid and electrolyte deficiency)及營養不良(malnutrition) (B)短腸症候群早期治療目標為控制腹瀉、補充水分及電解質、儘快給與TPN (C)一旦可進食時,初期以高糖及高蛋白食物為主,以增加腸道吸收 (D)食物中的脂肪通常以short-chain triglycerides為佳
38.一位35歲男性因multiple endocrine neoplasia type 2罹患雙側pheochromocytoma,接受雙側腎上腺切除後產生Nelson’s syndrome,下列症狀何者與Nelson’s syndrome較無關? (A)hyperpigmentation (B)visual field defect (C)headache (D)hearing impairment
39.一位40歲女性因高血鈣被懷疑罹患primary hyperparathyroidism,因近親有高血鈣的家族史,為排除familial hypocalciuric hypercalcemia,下列何項檢查最為適當? (A)serum intact parathyroid hormone(PTH) (B)24-hour urine calcium (C)sestamibi scan (D)neck computed tomography(CT)scan
40.58歲男性病患曾經因罹患濾泡狀甲狀腺癌接受過全甲狀腺切除及三次放射碘治療,目前檢驗結果: thyroglobulin 3872.43 ng/mL,頸部超音波未發現再犯, 131I WBS亦未顯示再犯,FDG-PET顯示肺 部及骨骼多處轉移病灶,肺部CT追蹤發現肺轉移病灶明顯增多,下列處置何者最不適當? (A)應再予以大劑量放射碘治療 (B)應予以sorafenib治療 (C)應予以lenvatinib治療 (D)胸椎骨轉移疼痛可予以緩解性放射治療
41.有關下列乳房疾病的處理,何者正確? (A)fibrocystic change為physiologic change,追蹤即可,不必手術 (B)core biopsy發現atypical ductal hyperplasia,應小心追蹤,不必切除病灶 (C)fibroadenoma的malignant potential高,必須手術切除 (D)malignant phyllodes tumor術後應加做輔助化學治療
42.進行腋下淋巴結廓清時,若下列何者受損可能導致闊背肌(latissimus dorsi)無力? (A)外側胸神經(lateral pectoral nerve) (B)胸背神經(thoracodorsal nerve) (C)長胸神經(long thoracic nerve) (D)肋間臂神經(intercostobrachial nerve)
43.Poly ADP ribose polymerase(PARP)抑制劑用於下列何種轉移性乳癌病患最為合適? (A)ER:90%,PR:50%,HER2/neu:0,且不具BRCA1/2突變 (B)ER:0%,PR:0%,HER2/neu:0,且具BRCA1/2突變 (C)ER:0%,PR:0%,HER2/neu:3+,且Ki-67>50% (D)ER:90%,PR:50%,HER2/neu:3+,且Ki-67>20%
44.一新生兒接受腹部手術,術中腸道的外觀如圖所示,下列何者為此病人最可能之診斷? (A)腸扭結(intestinal volvulus) (B)胎便性腹膜炎(meconium peritonitis) (C)壞死性腸炎(necrotizing enterocolitis) (D)胎便性腸阻塞(meconium ileus)
45.承上題,對此病人所罹患之疾病,下列敘述何者錯誤? (A)好發於迴盲瓣附近的小腸(terminal ileum),有時也會侵犯大腸 (B)未必出現白血球增多(leukocytosis) (C)隨病況加重常併發血小板減少症(thrombocytopenia) (D)只發生在早產兒
46.疝氣(hernia)係指器官或組織經由鄰近之壁層缺陷突出。腸道經由腹膜腔內之腸繫膜缺損突出稱 之為下列何者? (A)外部疝氣(external hernia) (B)內部疝氣(internal hernia) (C)鼠蹊疝氣(inguinal hernia) (D)腹壁疝氣 (ventral hernia)
47.神經母細胞瘤(neuroblastoma)約占兒童癌症10%,大多病童因診斷時多已較後期,故預後較差, 但依據國際神經母細胞瘤分期系統(International Neuroblastoma Staging System)之4S分期一般則預後較佳,下列何者不屬於4S分期? (A)一歲以下發病 (B)限局部原發腫瘤且擴散限於皮膚 (C)限局部原發腫瘤且擴散限於肝臟 (D)限局部原發腫瘤且擴散限於骨頭
48.下列有關先天性小腸閉鎖(jejunoileal atresia)的敘述,何者最不適當? (A)產前超音波羊水可能正常 (B)第IIIb型形狀呈現蘋果樹異常(apple tree deformity) (C)新生兒可能無法解出胎便 (D)發生原因與腸繫膜血管的發育有關
49.下列先天性肺部異常(bronchopulmonary malformations),何者最不容易出現自發性氣胸 (spontaneous pneumothorax)? (A)先天性肺葉氣腫(congenital lobar emphysema) (B)支氣管源性囊腫(bronchogenic cyst) (C)游離肺(pulmonary sequestration) (D)先天性肺部呼吸道畸形(congenital pulmonary airway malformation)
50.小腸息肉症合併下列症狀(如圖),最常見的基因缺損為: (A)PTEN (B)STK11 (C)P53 (D)APC
51.附圖中何者屬於transsphincteric type瘻管? (A)Type 1 (B)Type 2 (C)Type 3 (D)Type 4
52.痔瘡結紮術最適合下列何種類型的痔瘡? (A)血栓性外痔 (B)血栓性內痔 (C)內外混合痔 (D)內痔
53.在美國,每年估計有1%~2%的孕婦需要進行必須的外科手術,依據美國胃腸內視鏡外科醫生協會 (The Society of American Gastrointestinal Endoscopic Surgeons)建議在懷孕期間進行腹腔 鏡手術的指南,下列與腹腔鏡手術有關的準則,何者錯誤? (A)診斷性腹腔鏡檢查法(diagnostic laparoscopy)可以考慮用於懷孕患者的急性腹腔檢查與治療 (B)孕婦腹腔鏡檢查期間應監測術中的CO 2濃度 (C)腹腔鏡膽囊切除術是妊娠期膽囊疾病患者的首選治療方法,但只限於懷孕後期(third trimester) (D)懷孕期間有症狀的總膽管結石(choledocholithiasis),可以考慮用經內視鏡逆行性膽胰管攝影術(endoscopic retrograde cholangiopancreatography, ERCP)及括約肌切開取石術,合併腹腔鏡膽囊切除術處理
54.消化性潰瘍穿孔(perforated peptic ulcer)是典型的外科急症,其手術方式有腹腔鏡手術與開 腹手術,下列敘述何者錯誤? (A)消化性潰瘍穿孔也可以腹腔鏡治療,小於1厘米的穿孔通常可以用縫合方式修補穿孔,並用血流支 配良好的網膜支撐 (B)在2001年以後進行的隨機對照試驗中,腹腔鏡手術比開腹手術需更多時間 (C)不論腹腔鏡或開腹手術,對於較大的穿孔或具有纖維化的潰瘍,皆可用血流支配良好的網膜進行修復 (D)比較此兩種方法,腹腔鏡手術後住院時間較短,且術後感染併發症減少
55.關於內視鏡及血管內手術(endoluminal and endovascular surgery)的敘述,下列何者錯誤? (A)良性原因引起的消化道狹窄(benign gastrointestinal stricture),比較不建議用支架 (stenting)的方式治療,除非預期患者餘命不長 (B)在膽道或泌尿道阻塞,常用塑膠支架(plastic stent)做暫時性的治療 (C)金屬支架(metal stent)可以讓組織長進去(tissue ingrowth),進而預防支架的位移 (migration),但是長久下來仍有管路阻塞之疑慮 (D)冠狀動脈的塗藥支架(drug-eluting coronary stents)可以減少血管內皮的增生(endothelial proliferation),幫助血管的暢通且不需要抗凝血劑去預防血栓(thrombosis)
56.下列關於良性骨腫瘤的敘述,何者最不適當? (A)單純性骨囊腫(simple bone cyst)的病灶大約半數發生在肱骨近端,X光影像可見 "fallen leaf" sign (B)骨巨大細胞瘤(giant cell tumor of the bone)與調控破骨細胞形成(osteoclastogenesis)的 RANK / RANKL系統失衡有關 (C)復發的骨巨大細胞瘤(giant cell tumor of the bone)有80%的機率會轉移到肺部 (D)許多腫瘤的病理組織裡會出現巨大細胞(giant cells)
57.20歲男性足球比賽中間被絆倒,足部受傷時是在內翻(inversion)及蹠屈(plantar flexion)的 姿勢,急診室檢查發現足踝瘀青腫脹,下列敘述何者最不適當? (A)可能造成外側足部韌帶的受傷,最常受傷的是anterior talofibular ligament (B)可能造成內側三角韌帶(deltoid ligament)的撕除性骨折(avulsion fracture) (C)可能造成雙踝骨折(bimalleolar fracture)或三踝骨折(trimalleolar fracture) (D)可能造成脛腓骨聯合(syndesmosis)的受傷,造成關節不穩定
58.關於斷指的處理,下列敘述何者最適當? (A)斷指需先用浸泡濕潤的開水紗布包著,並放入夾鏈袋子裡 (B)斷指送醫時直接放在夾鏈袋子裡 (C)斷指送醫時直接浸泡在低溫無菌水的夾鏈袋子裡 (D)病人斷指處出血最好用紗布加壓止血
59.下列何者最不容易導致髕骨脫臼(patellar dislocation)? (A)高位髕骨(patella alta) (B)膝反屈(genu recurvatum) (C)較小的Q角度(Q angle) (D)髕骨活動度過大(patellar hypermobility)
60.一位11歲小朋友,身高150公分,體重80公斤,近兩星期覺得走路有困難,無法上下樓梯,兩側的 髖關節都覺得僵硬疼痛,無法翹腳而且走路跛行,下列的疾病診斷中那一項最有可能? (A)髖關節發育不良(developmental dysplasia of the hip) (B)股骨頭骨骺滑脫症(slipped capital femoral epiphysis) (C)Osgood-Schlatter氏疾病(Osgood-Schlatter disease) (D)Blount氏疾病(Blount disease)
61.下列何者不是手部的掌內肌群(intrinsic muscle)? (A)dorsal interossei (B)lumbricals (C)flexor digitorum profundus (D)hypothenar muscle
62.有關頸椎後縱韌帶骨化症(ossification of the posterior longitudinal ligament),下列敘述何者最不適當? (A)好發於亞洲人,且男性較多 (B)最常見於頸椎第四、五、六節(C4, C5, C6) (C)常會合併其他脊椎問題,例如廣泛性特發骨質增生症(diffuse idiopathic skeletal hyperostosis)、脊椎關節退化(spondylosis)及僵直性脊椎炎(ankylosing spondylitis) (D)為了解除脊髓神經壓迫,應施行手術減壓才會有神經功能的進步
63.有關骨水泥(bone cement : methyl methacrylate)的敘述,下列何者最適當? (A)可以像黏膠一樣將人工關節黏在骨關節上 (B)一般分裝成粉劑與水劑,瓶裝水劑是polymer,儲存時要避光 (C)其聚合反應(polymerization)是一種吸熱反應 (D)可能併發症是monomer或血栓導致,嚴重時會休克、心臟停止
64.下列有關腎臟外傷(renal injury)的敘述,何者錯誤? (A)腎臟被膜下血腫(subcapsular hematoma)是最常見的腎臟外傷 (B)腎實質1公分裂傷,同時併有尿液滲出(extravasation)時,其腎臟外傷分類屬於第3度腎臟外傷 (C)腎臟血管性高血壓(renal vascular hypertension)是屬於腎臟外傷後晚期發生的併發症之一 (D)尿性囊腫(urinoma)為腎盂裂傷而沒有手術修補時容易發生的併發症之一
65.65歲抽菸男性,主訴最近半年反覆性無痛血尿,靜脈尿路攝影(IVU)發現膀胱左側有一2公分陰 影,膀胱鏡發現膀胱腫瘤。在診斷腫瘤侵犯深度方面,下列何者最準確? (A)電腦斷層檢查(CT) (B)多變項核磁共振檢查(multiparametric MRI) (C)檢查組織纖維細胞生長因子受體3(FGFR3)及p53基因表現 (D)經尿道膀胱腫瘤切除(TURBT)及肌肉層切片檢查
66.下列何者不是腎細胞癌(renal cell carcinoma)合併下腔靜脈腫瘤栓塞常見的表徵? (A)下肢水腫 (B)血尿 (C)肺栓塞 (D)右心房內腫塊
67.下列有關良性前列腺增生(benign prostatic hyperplasia)病人檢查的敘述,何者最不恰當? (A)病人需要進行尿液分析以排除感染或血尿,並視需要進行血清肌酸酐測量以評估腎功能 (B)建議每位病人都應安排上泌尿道的影像學檢查(腎臟超音波或電腦斷層掃描),以了解前列腺增生 造成膀胱出口阻塞的嚴重程度 (C)不建議常規施行膀胱鏡檢查來確定病人是否需要治療,但若進行膀胱鏡檢查可以幫助要接受侵入性 治療的病人選擇其手術方法 (D)疑似神經性膀胱或前列腺手術失敗的病人,可考慮先施行膀胱壓力圖和進一步的尿路動力學檢查
68.下列何種疾病或手術最不會造成逼尿肌收縮力低下(detrusor underactivity)? (A)腦中風 (B)根治性子宮切除術 (C)糖尿病 (D)尿路結石
69.36歲男性因不孕症求診,精液分析顯示無精子,抽血檢驗生殖相關荷爾蒙都正常。身體診察發現兩 側睪丸及輸精管皆正常,兩側副睪腫脹飽滿。睪丸切片檢查發現睪丸組織造精都正常。預計安排試 管嬰兒治療,須進行取精手術。下列何處最不可能取到精子? (A)睪丸(testis) (B)副睪(epididymis) (C)輸精管(vas deferens) (D)儲精囊(seminal vesicle)
70.下列有關尿道下裂的手術,何者正確? (A)嚴重的陰莖彎曲並不會影響手術的成功率(B)第一次手術失敗後,最好在3個月內再度施行第二次手術,以減少病人心理負擔(C)手術中原有的尿道板(urethral plate)應予以保留(D)使用包皮的旋轉皮瓣不是一個好的手術方法
71.有關膀胱輸尿管逆流之敘述,下列何者正確? (A)逆流的程度可以分為五級,第一級是指逆流到腎盂(B)第一級到第三級逆流,輸尿管及腎盂並未擴張(C)手術可以將輸尿管埋在膀胱的黏膜下通道來矯正逆流,通道的長度與輸尿管的直徑比例建議為5:1(D)目前主要的治療已轉變為將膠原蛋白或玻尿酸注射到輸尿管開口來矯正逆流,再也不需要靠侵入性 的手術來治療
72.75歲老人由療養院送來,主訴腹脹,腹部X光片如圖(A),下消化道鋇劑攝影如圖(B),則其最可能的診斷為下列何者?(A)無力性腸阻塞(adynamic ileus)(B)上腸繫膜動脈症候群(superior mesenteric artery syndrome)(C)乙狀結腸扭轉(sigmoid volvulus) (D)近端腸環症候群(afferent loop syndrome)
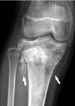
73.附圖是一位13歲女性脛骨骨肉瘤(osteosarcoma)的膝部X光影像,箭頭所指的影像表現是下列何者? (A)遊動體(loose body) (B)軟組織鈣化(soft tissue calcification) (C)骨膜反應(periosteal reaction) (D)骨折(fracture)
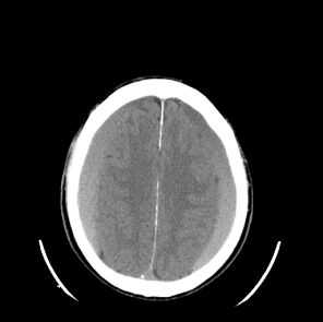
74.78歲女性,主訴一週以來步態不穩且頭痛。未注射顯影劑的頭部電腦斷層影像如圖,最可能的診斷為何? (A)bilateral subarachnoid hemorrhage (B)bilateral meningioma (C)bilateral subacute epidural hematoma (D)bilateral subacute subdural hematoma
75.25歲女性因發燒到急診,病人主訴雙側腰痠痛及頻尿。體溫39℃,血壓110/78 mmHg,心跳 92/min。抽血檢查發現:白血球10,000/μL,血紅素12 g/dL,血小板165,000/μL。肝腎功能正 常。尿液檢查發現白血球>100/HPF,紅血球5~10/HPF,尿液懷孕測驗為陰性。下列敘述何者最適 當? (A)做血液細菌培養的結果有20%與尿液培養結果不同 (B)腎臟超音波檢查是診斷有無結石或腎膿瘍的最敏感方法 (C)此病人最可能的診斷為腎盂腎炎(pyelonephritis) (D)此病人需要給與7~14天的靜脈注射抗生素治療
76.15歲男性,因陰囊疼痛數小時後至急診,發現睪丸腫大及壓痛,有關此臨床狀況,下列敘述何者最 不適當? (A)如合併頻尿及解尿疼痛時,診斷為副睪炎比睪丸扭轉機率高 (B)懷疑睪丸扭轉時,檢查常發現患側提睪反射(cremasteric reflex)消失 (C)診斷為精索靜脈曲張(varicocele)的可能性比副睪炎或睪丸扭轉機率高 (D)使用超音波診斷睪丸扭轉比電腦斷層掃描更適當
77.關於傷口處置,下列何者最適當? (A)頭皮之傷口,以刮鬍刀剔除比用剪刀剪短毛髮可降低傷口感染率 (B)成人上眼眶的傷口,不應該剃除眉毛,以免毛髮無法生長 (C)傷口縫合後一律開立抗生素 (D)沖洗液加入雙氧水沖洗傷口有更好效果
78.有關醫病關係,下列何者是最適當的描述? (A)文化差異使得病人對於何謂「良好醫療照護」會有不同的想法 (B)病人疾病診斷會受到醫病關係的影響 (C)無論疾病的種類或急慢性,病人對醫病關係及醫病溝通的期待都相同 (D)病患滿意度可作為醫病溝通是否良好的主要評量
79.有關醫療錯誤(medical errors),下列敘述何者最恰當? (A)因為手術過程的疏失導致病人受到傷害,稱為不採取行動的錯誤(errors of omission) (B)為避免徒增病人的憂慮而隱瞞醫療錯誤,並不違反醫學倫理 (C)醫師可能在未疏忽的情況下犯錯,仍應誠實告知病人 (D)為減少醫療意外事件,醫院應積極追究醫師醫療錯誤的責任
80.王先生89歲,育有5位子女,與小兒子同住,10年前被診斷阿茲海默症。王先生在罹病前就已經指 定了一位很要好的朋友蔡先生為其代理人,當病情逐年惡化,已無法經進食攝取足夠維持生理需求之能量。試過放置鼻胃管,但多次被王先生拔除。你是一般外科醫師,王先生被家屬帶來門診,由神經內科轉至外科希望你能幫王先生做灌食用胃造口手術,小兒子同意,但其他不同住的子女反 對,下列何者最適當?(A)因為蔡先生沒有血緣關係,所以蔡先生並沒有參與醫療決策的權利(B)5位子女意見不同時,應以長子的意見為優先(C)5位子女意見不同時,應以主要照顧的小兒子意見為主(D)如果找不到蔡先生,醫院應邀集5位子女,共同協議以達成決定