49.下圖為膝關節矢狀面 T2-weighted MRI,箭號所指處為下列何種假影?
(A)aliasing
(B)truncation
(C)magnetic susceptability
(D)motion
統計: A(75), B(208), C(2280), D(70), E(0) #1740910
詳解 (共 2 筆)
感磁性:
MRI中所使用的物質總共可分為三種,每種各有不同的感磁性:
1. 反磁性物質(diamagnetic):
無未成對之軌道電子,當此類物質置於外加磁場B0中時,會感應出一個微弱的磁場(M),方向與B0相反,物質內磁通量會小於物質外的磁通量,因此所形成的有效磁場會減少。人體大部分組織均有此性質,例如:空氣─組織的交界處。
2. 順磁性物質(paramagnetic):
具有未成對之軌道電子,當外加磁場B0存在,會被磁化々外加磁場B0關閉,則磁化消失。產生之磁場(M),方向與B0相同,因此造成有效磁場增加。這樣物質相互作用時,會使T1縮短(在T1WI產生亮訊號)。例如:Gadolinium,Gd;Dysprosium,Dy(鑭)。另外像是血鐵質是屬於超順磁性物質(superparamagnetic)
3. 鐵磁性物質(ferromagnetic):
受到磁場強力吸引,甚至在磁場移除後,仍具有永久的磁性,其順磁性大於超順磁性物質。例如:鐵(Fe)、鈷(Co)、鎳(Ni)。
補充:
1. 反摺假影(Aliasing artifact):
又稱wrap-around artifact
原理:對一個固定的FOV及梯度強度而言,最大頻率 fmax相對應於FOV的邊緣。一旦FOV外面部分感受到約2倍高的頻率,此較高頻率的FOV會包摺到較低頻率的FOV,而造成 aliasing artifacts。
簡單說就是FOV太小,主要發生在相位編碼方向(phase encoding)。
運動假影(Motion artifacts):
大致可分成:隨機性移動(Random motion)、周期性移動(Periodicnmotion)
隨機性移動:病患有意識或者無意識的移動,例如:咳嗽、吞嚥、顫抖…等
周期性移動:像是心臟、CSF、血液的流動…等n
主要發生在相位編碼(phase encoding)方向。
因為
1.沿著任何磁場梯度的移動會造成不正常的相位累積,並沿著相位編碼梯度的方向錯置。
2.在相位編碼方向得到訊號所需要的時間,遠較在頻率編碼方向長,使移動假影多沿著相位編碼方向延伸

解決方法:
解決隨機性移動:指示、快速掃描(ex: FSE、EPI)、藥物輔助(ex:鎮靜劑、止痛劑)n
解決週期性假影:交換相位及頻率方向、利用呼吸 gating、ECG gating…等
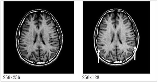
截斷假影(Truncation artifact):
又稱 Gibbs artifact
主要發生在高對比度的界面(ex:頭骨/腦、脊索/CSF),會造成交替的明暗帶(ex:脊髓之假性廔管)
原因是由於樣品數或取樣時間的限制,訊號的強度不可能成階梯狀變化,容易發生在相位編碼(phase encoding)方向。
u 解決方法:
² 增加matrix size
² 增加取樣時間
² 減少像素大小(增加相位編碼的數目、減少FOV)