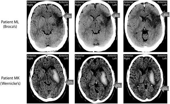
57 這是一位慣用右手的 68 歲男性的腦部電腦斷層 (沒打顯影劑),他的語言障礙最可能是:
(A)能了解別人所說的話,但不能表達
(B)講話流利,但不能了解別人所說的話
(C)不能了解別人所說的話,也無法表達
(D)不能重複別人的話,但其他言語功能正常
答案:登入後查看
統計: A(1), B(6), C(0), D(0), E(0) #1063193
統計: A(1), B(6), C(0), D(0), E(0) #1063193
詳解 (共 1 筆)
#6258632
Wernicke aphasia←病灶在temperol lobe
Wernicke區受損
- 主要負責語言的理解,因此當這一區發生問題時,一般會叫感覺型失語症。
- 這型失語症的特色是聽都沒問題,講話也沒問題,然而由於對語言的理解出現狀況,因此往往會答非所問,甚至會自己創造新的詞語。
- 病人無法理解語言,甚至對於文字的閱讀跟書寫能力都會受到影響。
- 照顧溝通上可能需要用比手畫腳、圖畫或其他特殊的等方式來溝通。


https://radiopaedia.org/cases/brain-lobes-annotated-mri-1#image-44335122
0
0