所屬科目:醫學四:80題 ( 包括小兒科,皮膚科,神經科,精神科等科目及其相關臨床實例與醫學倫理 )
14.10 歲男童有癲癇病史,長期使用抗癲癇藥物控制。出現全身性強直陣攣發作送到急診,抽血檢驗發現,[Na+] =140 mEq/L, [K+]=4.0 mEq/L, [Cl-]=98 mEq/L,動脈血液氣體分析為 pH=7.14,PaCO2=46 mmHg,[] =17 mEq/L。有關此病人的敘述,下列何者錯誤? (A)代謝性酸中毒(Metabolic acidosis)合併呼吸性酸中毒(respiratory acidosis) (B)低陰離子間隙(Low anion gap) (C)治療包括控制癲癇及呼吸支持 (D)此代謝性酸中毒(Metabolic acidosis)可能因癲癇發作而引起
30.一位 6 個月大男嬰因呼吸急促就醫,身體診察時在左胸前可聽到第三度 to-and-fro 心雜音,於右肋下緣 4 公分 可觸摸到肝臟腫大,胸部 X 光如圖所示。下列何者為最可能的診斷? (A)法洛氏四合症(tetralogy of Fallot) (B)先天肺動脈瓣膜缺失症伴有心室中隔缺損(congenital absence of the pulmonary valves and ventricular septal defect) (C)三尖瓣膜閉鎖(tricuspid atresia) (D)總肺靜脈回流異常(total anomalous pulmonary venous return)合併阻塞
37.一位 5 歲男童出現發燒、倦怠、上呼吸道症狀、喉嚨痛、肚子痛,以及如圖皮疹約 3 天,下列相關敘述何者錯誤? (A)此病的病程大多為 benign, self-limited (B)疾病緩解後的 3~6 週間可能出現脫甲症(onychomadesis)的指甲變化 (C)病灶常出現在手、腳、四肢及嘴巴周圍 (D)可由克沙奇病毒(coxsackievirus)感染造成,病程表現大多比腸病毒(enterovirus)71 型感染嚴重,重症比率 也較高
38.60 歲的女性,病患自述約一週前在下唇出現一個直徑約 1 公分、無痛、暗紫色、有彈性的丘疹(如圖一所 示),並否認有外傷的情況。經切片手術之病理檢查如附圖二。下列何者為最可能的診斷?
(A)皮膚纖維瘤(dermatofibroma) (B)靜脈湖(venous lake) (C)黑色素瘤(melanoma) (D)色素性基底細胞癌(pigmented basal cell carcinoma)
43.出生後便立即去世之胎兒,全身被極厚的膜狀物包覆(如圖所示),此病患最可能之診斷為何? (A)ichthyosis vulgaris (B)palmoplantar keratosis (C)harlequin ichthyosis (D)incontinentia pigmenti
45.42 歲男性病人突然發生左側肢體無力,無顯影劑之腦部電腦斷層(non-contrast CT)檢查結果如圖①,於 2 天 後病人因漸進性意識不清再次安排了腦部 CT 檢查,結果如圖②。下列何種治療最有可能增進此病人的存活機會? (A)抗凝血劑(anticoagulants) (B)抗癲癇藥物(antiepileptic drugs) (C)顱骨切開術(craniectomy) (D)收縮壓控制在 160 mmHg 以下
51.54 歲女性主訴最近三年來記憶力減退,她在 49 歲時曾發生右側肢體無力,後來完全恢復。她的簡易智能測驗 (Mini-Mental State Examination)得分 22 分(滿分 30 分),她的父親、叔叔和哥哥都有中風和失智的病史。她 的腦部磁振造影掃描結果如下圖,她最有可能是那一個基因變異? (A)Notch-3 (B)MTHFR (C)SOD (D)PSEN-1
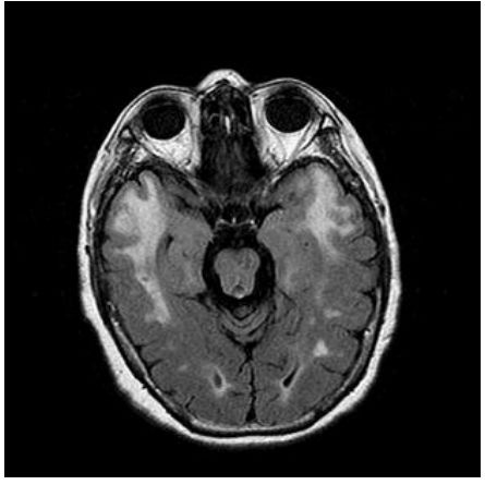
74.55 歲男性由於認知功能退化到精神科求診,根據所附頭部磁振造影(MRI)影像,下列何者為最可能的診斷?
(A)阿茲海默症(Alzheimer's disease) (B)額顳葉失智症(frontotemporal dementia) (C)路易氏體失智症(dementia withLewy bodies) (D)血管性失智症(vascular dementia)