所屬科目:醫學四:80題 ( 包括小兒科,皮膚科,神經科,精神科等科目及其相關臨床實例與醫學倫理 )
35.50歲女性病患主訴如圖所示的皮疹發生於背部,頭皮,手肘及膝蓋處有十餘年時間,最有可能的診斷為何? (A)尋常性乾癬(psoriasis vulgaris) (B)尋常性魚鱗癬(ichthyosis vulgaris) (C)蕁麻疹(urticaria) (D)玫瑰糠疹(pityriasis rosea)
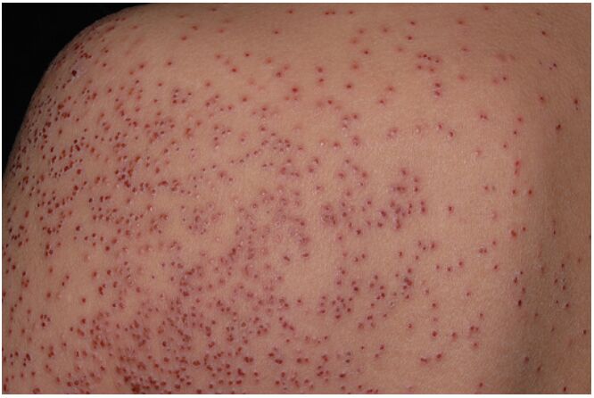
38.一名年輕男性從小患有異位性皮膚炎,最近因皮膚病灶惡化且有刺痛感前來求診,如圖所示,最有可能之診斷為何? (A)膿痂疹(impetigo) (B)疱疹性濕疹(eczema herpeticum) (C)水痘(varicella) (D)葡萄球菌皮膚燙傷樣症候群(staphylococcal scalded skin syndrome)
41.56歲女性出現如圖所示病灶,最可能的診斷與最重要的實驗室檢查項目為何? (A)紅斑性狼瘡(lupus erythematosus);抗核抗體(antinuclear antibodies, ANA) (B)皮肌炎(dermatomyositis);抗核抗體(antinuclear antibodies, ANA) (C)紅斑性狼瘡(lupus erythematosus);補體(complement) (D)皮肌炎(dermatomyositis);肌胺酸激酶(creatine kinase, CK)
45.70歲女性為肺癌病人,因右腳無力就診,抽血檢查發現D-dimer檢驗數值為16 mg/L(正常值為<0.5 mg/L),腦部磁振造影(MRI)檢查結果如下圖(①fluid–attenuated inversion recovery [FLAIR];② 施打顯影劑之T1影像;③diffusion–weighted imaging [DWI])。下列何者最可能是腦部病灶的原因? (A)多發性腦轉移 (B)肺結核感染 (C)可逆性後腦病變症候群(posterior reversible encephalopathy syndrome, PRES) (D)多發性腦梗塞
78.一位25歲女性,和朋友上山沿途採集花草,回家後雙手出現多處小水泡與癢疹,如圖,最可能的診斷為何? (A)tinea manuum (B)psoriasis (C)sunburn reaction (D)contact dermatitis