所屬科目:醫學四:80題 ( 包括小兒科,皮膚科,神經科,精神科等科目及其相關臨床實例與醫學倫理 )
8.下列新生兒的肢體表現(如附圖),最可能是那一種診斷? (A)Down syndrome (B)Edwards syndrome (C)Neonatal Marfan syndrome (D)Spinal muscular atrophy
11.新生兒出生1天後開始出現嘔吐症狀,嘔吐物含膽汁。身體診察發現腹部平坦,腹部X光片(如附圖)顯示中 腹有3團腸氣而其他部位無腸氣出現。下列何者為最可能之診斷?(A)胃幽門狹窄(Pyloric stenosis) (B)十二指腸閉鎖(Duodenal atresia) (C)空腸閉鎖(Jejunal atresia) (D)迴腸閉鎖(Ileum atresia)
37.70歲男性,從四天前右背和右腹出現如圖所示的水疱病變,晚上疼痛無法入睡,他以前未曾長過類似皮疹。 最可能的診斷為: (A)接觸性皮膚炎(contact dermatitis) (B)單純性疱疹(herpes simplex) (C)膿痂疹(impetigo) (D)帶狀疱疹(herpes zoster)
39.30歲男子發現大腿內側有一個逐漸長大之皮膚腫瘤如圖所示,下列何者為最可能的診斷? (A)表皮囊腫(epidermal cyst) (B)皮脂腺囊腫(steatocystoma) (C)黏液囊腫(mucous cyst) (D)纖毛囊腫(vellus hair cyst)
41.45歲男性,頸部皮膚出現脫屑性萎縮皮疹已有半年,皮屑KOH染色為陰性。皮膚切片發現表皮萎縮、毛孔角 質瘀塞、基底細胞液樣變性(hydropic degeneration)、毛囊周圍淋巴球浸潤,直接免疫螢光染色在表皮真皮 交接處出現IgG線性沈積。何者為最可能的診斷? (A)皮膚淋巴癌(cutaneous lymphoma) (B)皮膚類肉瘤(sarcoidosis) (C)盤狀紅斑性狼瘡 (discoid lupus erythematosus) (D)亞急性皮膚紅斑性狼瘡(subacute cutaneous lupus erythematosus)
43.14歲女生血便,身體診察發現嘴唇有黑色斑點如圖所示。下列敘述何者正確? (A)自體隱性遺傳 (B)黏膜黑斑多在成年後才會開始出現 (C)常伴發胃腸道、生殖系統和其他器官的良性或惡性腫瘤 (D)胃腸道如有息肉,常發生在大腸
46.一位66歲女性病人,有高血壓及心律不整病史多年,被家人發現突然無法言語及右側肢體無力,之後意識逐漸昏迷,其腦部電腦斷層掃描如下,最有可能發生問題的血管為何? (A)左側內頸動脈(internal carotid artery) (B)左側前大腦動脈(anterior cerebral artery) (C)左側中大腦動脈(middle cerebral artery) (D)左側後大腦動脈(posterior cerebral artery)
74.懷孕週數20週出生的早產兒,出生後2個月出現腦室擴大,其T2加重磁振造影像可見腦室壁上的低訊號病灶如圖,最可能原因為何? (A)先天性巨細胞病毒感染(congenital CMV infection) (B)結節硬化症(tuberous sclerosis) (C)腦動脈梗塞(cerebral infarction) (D)生長質出血(hemorrhage of germinal matrix)
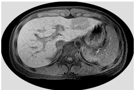
75.5歲男童因超音波篩檢發現腹部腫瘤,磁振造影T1加權影像如圖示,則該腫瘤位於何處? (A)肝臟左外節 (B)肝臟左內節 (C)肝臟右前節 (D)脾臟內
78.一位50歲男性,5年前做過心臟二尖瓣膜手術,至急診主訴發燒10日,這2天逐漸出現喘與胸悶的情形,身體 檢查出現一些皮膚與眼睛病灶如圖,下列敘述何者錯誤? (A)手指或腳趾出現小而壓痛的腫塊病灶稱為Osler node (B)指甲床出現病灶為Roth spots (C)結膜、口腔黏膜和四肢可見瘀血點 (D)手掌或腳掌出現小而無痛的出血性斑塊病灶稱為Janeway lesions