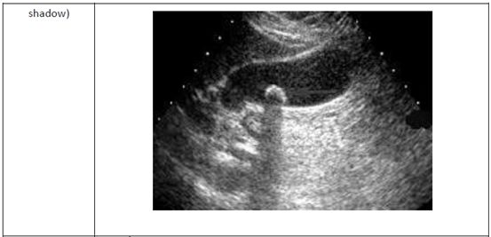
58.下圖之超音波影像中,編號45的區域屬於下列何種假影?
(A)acoustic shadow
(B)distal acoustic enhancement
(C)comet tail artifact
(D)section-thickness artifact
答案:登入後查看
統計: A(1809), B(239), C(141), D(50), E(0) #1635404
統計: A(1809), B(239), C(141), D(50), E(0) #1635404
詳解 (共 4 筆)
#3454353








18
1