阿摩線上測驗
登入
首頁
>
醫學三:80題 ( 包括內科,家庭醫學科等科目及其相關臨床實例與醫學倫理 )
>
104年 - 104-2 專技高考_醫師(二):醫學(三)(包括內科、家庭醫學科等科目及其相關臨床實例與醫學倫理)#36363
> 試題詳解
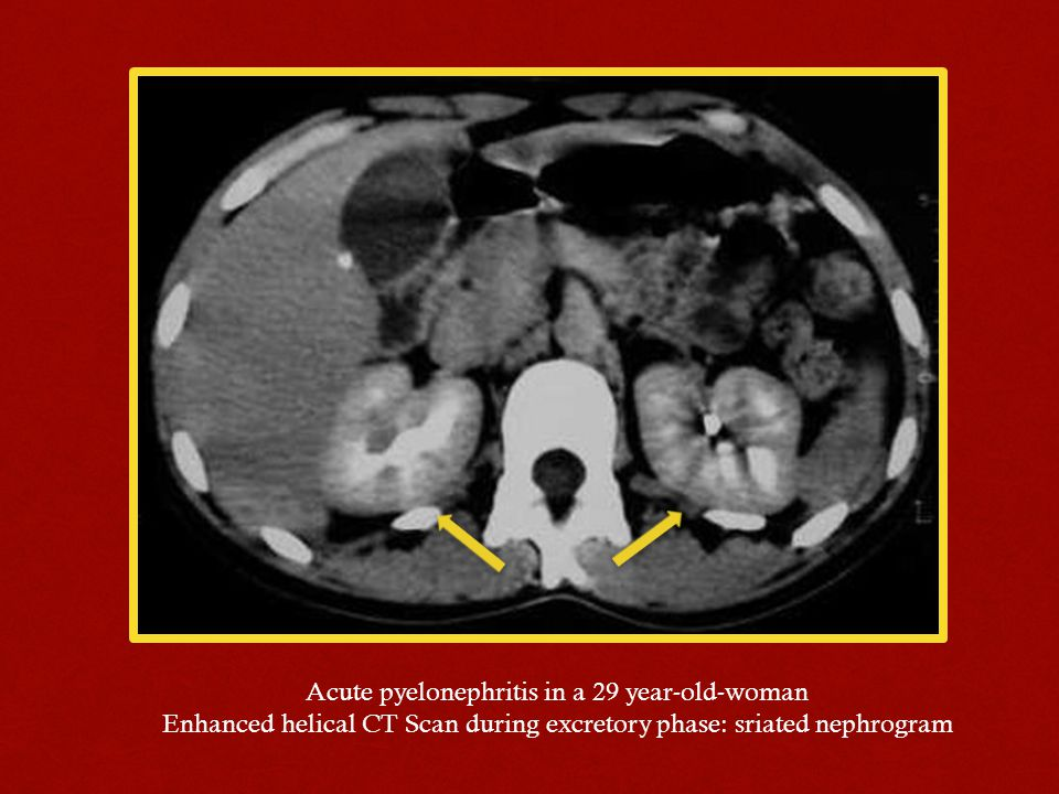
74. 病人主訴發燒和右側腰部疼痛,電腦斷層檢查呈現如圖,下列那一項有關右側腎臟的診斷最 正確?
(A)acute pyelonephritis
(B)renal cell carcinoma
(C)angiomyolipoma
(D)hydronephrosis
答案:
登入後查看
統計:
A(100), B(8), C(14), D(13), E(0) #1043474
詳解 (共 3 筆)
古偉裕
B1 · 2017/03/27
#1849702
腎血管平滑肌脂肪瘤症狀會因血管破裂而以出...
(共 65 字,隱藏中)
前往觀看
11
0
MORRIS M114
B4 · 2020/12/04
#4415801
0
0
MORRIS M114
B5 · 2020/12/04
#4415805
0
0
相關試題
56.下列那一種抗結核菌用藥不適合使用於孕婦? (A)isoniazid (B)streptomycin (C)rifampin (D)ethambutol
#1043456
57.下列關於預防院內泌尿道感染之原則,何者錯誤? (A)尿液中本來就有細菌,因此放置留置型導尿管不須採取無菌技術 (B)放置留置型導尿管須採取無菌技術,以預防泌尿道感染 (C)不應該為了照顧者之方便而放置留置型導尿管 (D)留置型導尿管不需要時應儘早拔除
#1043457
58. 病人的胸部X光如圖1所示,心電圖檢查如 圖2所示。胸部X光所示最可能的診斷為何? (A)急性肺水腫(acute pulmonary edema) (B)氣胸(pneumothorax) (C)肋膜膿胸(empyema) (D)肺栓塞(pulmonary embolism)
#1043458
59.承上題,心電圖所顯示的診斷為何? (A)房室節迴旋頻脈(AVNRT) (B)ST段上升型心肌梗塞(STEMI) (C)心房顫動(atrial fibrillation) (D)右心室肥大(RVH)
#1043459
60.則病人肋膜積 液之最可原因為: (A)結核性肋膜炎 (B)左心衰竭 (C)右心衰竭 (D)自體免疫性肋膜炎
#1043460
61.承上題,上述病人肋膜積液最適宜之治療方式為: (A)反覆抽取 (B)放胸管引流並給予黏連治療 (C)給予抗結核藥物治療 (D)給予利尿劑治療
#1043461
62.其中之甲、乙及丙各代表何種產物? (A)甲:low-density lipoprotein、乙:very-low-density lipoprotein、丙:chylomicron (B)甲:high-density lipoprotein、乙: low-density lipoprotein、丙:chylomicron (C)甲:very-low-density lipoprotein、乙:low-density lipoprotein、丙:chylomicron (D)甲:low-density lipoprotein、乙: high-density lipoprotein、丙:chylomicron
#1043462
63.承上題,在乙之apolipoprotein為何? (A)ApoB100 (B)ApoB48 (C)ApoE (D)ApoC
#1043463
64.這位病患最可能感染何 種微生物? (A)Escherichia coli (B)Acinetobacter baumannii (C)Neisseria gonorrhoeae (D)Haemophilus ducreyi
#1043464
65.承上題,此病患沒有藥物過敏病史,治療用藥最佳選擇為何? (A)intravenous cefazolin (B)intramuscular ceftriaxone (C)oral ciprofloxaicn (D)oral erythromycin
#1043465
相關試卷
115年 - 115 專技高考_醫師(二):醫學(三)(包括內科、家庭醫學科等科目及其相關臨床實例與醫學倫理)#137317
2026 年 · #137317
114年 - 114-2 專技高考_醫師(二):醫學(三)(包括內科、家庭醫學科等科目及其相關臨床實例與醫學倫理)#127920
2025 年 · #127920
114年 - 114-1 專技高考_醫師(二):醫學(三)(包括內科、家庭醫學科等科目及其相關臨床實例與醫學倫理)#125089
2025 年 · #125089
113年 - 113-2 專技高考_醫師(二):醫學(三)(包括內科、家庭醫學科等科目及其相關臨床實例與醫學倫理)#120658
2024 年 · #120658
113年 - 113-1 專技高考_醫師(二):醫學(三)(包括內科、家庭醫學科等科目及其相關臨床實例與醫學倫理)#118724
2024 年 · #118724
112年 - 112-2 專技高考_醫師(二):醫學(三)(包括內科、家庭醫學科等科目及其相關臨床實例與醫學倫理)#114972
2023 年 · #114972
112年 - 112-1 專技高考_醫師(二):醫學(三)(包括內科、家庭醫學科等科目及其相關臨床實例與醫學倫理)#113147
2023 年 · #113147
111年 - 111-2 專技高考_醫師(二):醫學(三)(包括內科、家庭醫學科等科目及其相關臨床實例與醫學倫理)#108729
2022 年 · #108729
111年 - 111-1 專技高考_醫師(二):醫學(三)(包括內科、家庭醫學科等科目及其相關臨床實例與醫學倫理)#106186
2022 年 · #106186
110年 - 110-2 專技高考_醫師(二):醫學(三)(包括內科、家庭醫學科等科目及其相關臨床實例與醫學倫理)#99914
2021 年 · #99914