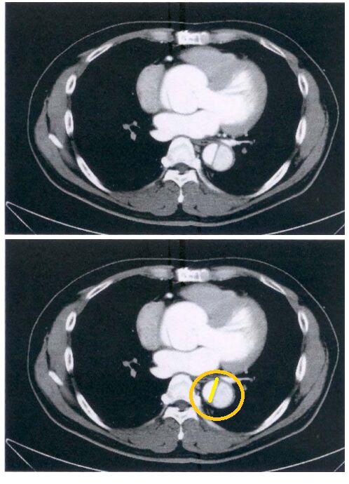
75 76 歲男性主訴胸悶及呼吸困難,注射對比劑後 CT 影像如附圖,則最可能的診斷為下列何者?
(A)主動脈剝離
(B)食道癌
(C)主動脈瓣狹窄
(D)左心房黏液瘤(Left atrial myxoma)
答案:登入後查看
統計: A(29), B(0), C(1), D(5), E(0) #1065793
統計: A(29), B(0), C(1), D(5), E(0) #1065793
詳解 (共 1 筆)
#6055585

圈起來的部分,很典型的主動脈剝離
0
0