阿摩線上測驗
登入
首頁
>
放射線診斷原理與技術學
> 100年 - 100-1 專技高考_醫事放射師:放射線診斷原理與技術學#36843
100年 - 100-1 專技高考_醫事放射師:放射線診斷原理與技術學#36843
科目:
放射線診斷原理與技術學 |
年份:
100年 |
選擇題數:
80 |
申論題數:
0
試卷資訊
所屬科目:
放射線診斷原理與技術學
選擇題 (80)
1.一般攝影時的史考特狗(Scotty dog)徵像是從下列何處攝影而得的? (A)頸椎 (B)胸椎 (C)腰椎 (D)尾椎
2.當頸椎側位攝影(lateral projection)無法診斷第七頸椎(C7)時,須改以下列何種方法攝影? (A)過度彎曲(hyperflexion) (B)過度伸展(hyperextension) (C)游泳者側位姿勢(swimmer's lateral position) (D)側位,並配合水平方向X光(lateral position,horizontal beam)
3.下列關於下上位投射法(inferosuperior projection)對於非創傷性肩部攝影的敘述,何者正確? (A)又稱為West point method,病人仰臥,X光中心線平行射向腋下及肱骨頭 (B)又稱為Lawrence method,病人仰臥,X光中心線向內側(medially)25-30度,射向腋下及肱 骨頭 (C)又稱為Grashey method,病人站立,X光中心線垂直射向腋下及肱骨頭 (D)又稱為Fisk method,病人俯臥,X光中心線向內側5度,平行射向腋下及肱骨
4.進行modified Law method頭部乳突攝影時,其中心線應為下列何者? (A)向頭15度射向離片側之EAM(external acoustic meatus)後2.5公分、上1公分 (B)向腳15度射向貼片側EAM後1公分、上2.5公分 (C)向腳15度射向離片側之EAM後2.5公分、上2.5公分 (D)向頭15度射向貼片側之EAM後2.5公分、上2.5公分
5.下列何種放射診斷攝影技術不包括在診斷眼眶週邊之顏面骨折的序列之中? (A)側位(lateral)攝影 (B)Waters攝影 (C)後前位攝影(PA) (D)Stenvers攝影
6.於檢查台上進行腹腔一般放射攝影時,其射源與影像接收器的距離應為多少吋? (A)37 (B)40 (C)47 (D)72
7.下列有關放射診斷攝影時病患姿勢的敘述,何者錯誤? (A)採用lordotic姿勢時可得到最佳肺尖的影像 (B)右側臥姿(recumbent right lateral)是病患的左側靠近X光射源 (C)採LAO的時候病患的左側靠近影像接收器 (D)腰椎前後投影攝影時中心射束應向頭部傾斜15度
8.常規放射診斷攝影時,若要讓中心射束筆直通過腰椎的椎間孔,則椎體應該旋轉幾度? (A)15 (B)45 (C)75 (D)90
9.針對以玻璃纖維材質(fiberglass cast)固定的骨折病人,其攝影條件應如何? (A)增加mAs 50-60%或5-7kV (B)增加mAs 100%或10-12kV (C)增加mAs 25-30%或3-4kV (D)不增加mAs但增加10-12kV
10.介於acanthiomeatal line與orbitomeatal line之間的連線,稱為: (A)lips-meatal line (B)mentomeatal line (C)glabellomeatal line (D)infraorbitomeatal line
11.下列何者為雙角度攝影,且攝影目標為離片側之乳突骨(mastoids)? (A)Arcelin method (B)Law method (C)Stenvers method (D)Towne method
12.骨質密度測定中和同性別同年齡人群平均比較值為下列何者? (A)Z-score (B)T-score (C)Calcium-score (D)APACHE score
13.欲診斷左側第一腰椎(L1)或第二腰椎(L2)之椎間關節突關節(zygapophyseal joint)時,病 人應採何種攝影姿勢最為適宜? (A)true lateral (B)RAO 45° (C)LPO 30° (D)LPO 50°
14.胸腔的中心點位於第幾節胸椎骨上? (A)T5 (B)T6 (C)T7 (D)T8
15.下列有關頸椎lateral position攝影方法之敘述,何者錯誤? (A)SID:150-180公分 (B)可提重物壓低肩膀 (C)吸氣後閉氣攝影 (D)kVp:70-80kV
16.下列何者為經皮穿肝膽道攝影(percutaneous transhepatic cholangiography)的主要適應症? (A)肝腫瘤 (B)胰臟炎 (C)阻塞性黃膽 (D)肝硬化
17.靜脈注射尿路攝影引起的不良反應和下列何者最無關? (A)高滲透壓 (B)離子性 (C)含碘原子數 (D)病人血中白血球數
18.上消化道攝影欲觀察胃後空間(retrogastric space)之病變,宜採下列何體位? (A)仰臥平躺 (B)右側躺 (C)左後斜位 (D)右後斜位
19.對疑似有腸穿孔之病人作上消化道攝影時,應選用下列何種顯影劑最合適? (A)鋇劑 (B)含碘顯影劑 (C)空氣 (D)二氧化碳氣體
20.在施行經皮穿腎引流術(PCN)時,若發生下列何種併發症,須施行血管栓塞術? (A)假性腎動脈瘤(renal arterial pseudoaneurysm) (B)氣胸(pneumothorax) (C)急性腎盂炎(acute pyelonephritis) (D)尿液外漏(urine extravasation)
21.下列何者是施行hysterosalpingography(HSG)檢查之禁忌? (A)先天性異常 (B)子宮肌瘤 (C)輸卵管阻塞 (D)懷孕
22.下列何種膽道攝影通常是在開刀房進行? (A)T-tube cholangiography (B)endoscopic retrograde cholangiography (C)percutaneous transhepatic cholangiography (D)operative cholangiography
23.在大腸攝影時,肛管(rectal tube)置入時,通常病人採何體位? (A)Sims position (B)lithotomy position (C)prone position (D)supine position
24.在雙重對比大腸攝影時,病人採俯臥姿,則下列那些部位通常會呈現雙重對比效果? (A)直腸,乙狀結腸,橫結腸 (B)直腸,降結腸,升結腸 (C)乙狀結腸,橫結腸,脾曲 (D)橫結腸,脾曲,肝曲
25.下列何種消化道攝影檢查是以鋇劑及methylcellulose做雙重對比檢查? (A)lower GI series (B)upper GI series (C)esophagraphy (D)enteroclysis
26.關於逆行性泌尿道攝影(retrograde urography),下列敘述何者正確? (A)病患腎功能異常時不宜施行此項檢查 (B)一般須無菌操作,利用X光透視下穿刺腎臟 (C)為非侵襲性檢查 (D)可選擇單側或兩側泌尿道攝影
27.靜脈注射泌尿攝影(IVU)檢查時,輸尿管壓迫施行的位置一般在何處? (A)兩側腎臟位置 (B)肚臍之兩側 (C)骨盆腔之兩側外緣 (D)恥骨聯合正上方
28.靜脈注射泌尿攝影(IVU)時,疑有下列何種疾病必須加做解尿後膀胱攝影? (A)腎腫瘤 (B)腎外傷 (C)輸尿管結石 (D)攝護腺肥大
29.如欲評估肛門或直腸在排便時的功能變化,最好採取下列何種攝影檢查? (A)lower gastrointestinal series (B)defecography (C)small bowel series (D)fistulography
30.下列那一項最不適於偵測輸尿管結石或阻塞? (A)TIPS (B)CT (C)IVP (D)MRI
31.下列關於淋巴攝影的敘述,何者錯誤? (A)適應症包括下肢不明原因之水腫 (B)可用以評估淋巴管之通暢 (C)顯影劑之注射與靜脈注射類似,須以橡皮帶綁住腿部 (D)須於隔天再攝影,以觀察淋巴結之結構
32.數位減贅血管攝影(digital subtraction angiography, DSA)檢查中,做為減贅依據之影像稱為: (A)mask image (B)mirror image (C)subtraction image (D)latent image
33.腎臟切片術後之病人發生嚴重血尿時,最適合做下列那一項檢查或診療? (A)經皮穿腎引流術(PCN) (B)腎動脈攝影及栓塞術(renal angiography & TAE) (C)電腦斷層引導下切片(CT-guided biopsy) (D)血管成形術(PTA)
34.對於攝護腺切片(prostate biopsy),目前最常使用之定位影像工具為: (A)CT (B)MRI (C)transrectal ultrasound (D)fluoroscopy
35.施行下列何者之CT-guided biopsy時,最易有pneumothorax之併發症? (A)腎上腺(adrenal gland) (B)胰臟(pancreas) (C)攝護腺(prostate) (D)子宮(uterus)
36.下列那一血管通常不是直接源自於主動脈弓(aortic arch)? (A)right subclavian artery (B)left subclavian artery (C)left common carotid artery (D)brachiocephalic artery
37.關於multislice與single-slice CT之比較,下列何者錯誤? (A)前者之掃描時間較快 (B)前者一次檢查可涵蓋的身體範圍較大 (C)前者之空間解析度較佳 (D)前者之輻射曝露較高
38.下列何值接近骨頭之CT值(HU單位)? (A)+1000 (B)-1000 (C)+100 (D)-500
39.CT中使用bowtie filter的主要目的為下列何者? (A)減少射束之半值層 (B)使射束更均勻 (C)減少掃描時間 (D)可使用更小的焦點
40.下列何種腎臟疾病在CT影像最常出現脂肪密度? (A)angiomyolipoma (B)hematoma (C)polycystic kidney (D)horseshoe kidney
41.CT檢查中,在125 kVp時,腦部皮質與髓質的衰減差異約多少百分比? (A)1% (B)2% (C)3% (D)0.5%
42.下列何種CT掃描技術最可以減少病人的移動假影(motion artifact)? (A)增加掃描時間 (B)減少切面厚度(slice thickness) (C)使用spiral/helical CT掃描 (D)增加掃描間距(interslice gap)
43.由注射器經靜脈注射顯影劑後,需多久時間後再進行CTA腦血管檢查,其所呈現的carotid bifurcation最佳? (A)5秒 (B)15秒 (C)35秒 (D)45秒
44.電腦斷層中X光球管因功能需求和一般攝影者不同,下列有關這些特殊要求的相關敍述,何者錯 誤? (A)通常需有較大的功率輸出 (B)其陽極熱產量(anode heating capacity)可達數千熱單位(kHU) (C)其通常要求為較小焦點 (D)第四、五代的設計通常採用連續性X光射線送出(continuous X-ray beam)
45.關於CT的品質控制(quality control),下列那個項目必須每日施行? (A)high contrast resolution (B)low contrast resolution (C)pitch and slice width (D)CT number calibration
46.在正常腎功能病患之腎臟CT掃描,靜脈注射顯影劑(75-100 ml,2.5-4 ml/sec), 一般在下 列那一個時間可得到最佳之皮質-髓質相(corticomedullary phase)? (A)注射前 (B)注射後40至60秒 (C)注射後2至4分鐘 (D)注射後5至10分鐘
47.目前大多數MRI之造影,係使用下列何種核種(Nuclei)? (A)C(Carbon) (B)O(Oxygen) (C)H(Hydrogen) (D)P(Phosphorus)
48.下列何者是影響T2加權影像(T2WI)的主要參數? (A)echo time (B)inversion time (C)repetition time (D)delay time
49.在反轉回復波序(inversion recovery sequence)中,反轉時間正好是某組織A的零點(null point)時,會造成組織A的訊號做何變化? (A)增強 (B)最強 (C)減弱 (D)消失
50.在T2* gradient波序中,下列何種α夾角(flip angle)會產生最佳T2*對比的影像? (A)15度 (B)45度 (C)75度 (D)90度
51.Echo train length(ETL)是下列何種脈衝序列(pulse sequence)之參數? (A)gradient echo (B)spin echo (C)fast spin echo (D)GRASE
52.病人做磁振造影檢查中發生病情變化需要急救時,最適切的緊急措施為何? (A)立刻停止檢查,進入檢查室將病人移出室外再急救 (B)立刻停止檢查,爭取時效攜帶所有急救裝備進入檢查室急救 (C)趕快做完檢查再急救 (D)將磁場淬熄(quench)後再開始進行急救
53.下列那一個公式是用來計算磁振造影系統的共振頻率? (A)布拉克(Bloch) (B)傅利葉(Fourier) (C)拉莫爾(Larmor) (D)普朗克(Plank)
54.下列那一項目是最可能導致MRI中共振頻率改變的原因? (A)回音時間(echo time,TE)的設定 (B)主磁場強度(strength of the main magnetic field) (C)接收器的設定(receiver setting) (D)重複時間(repetition time,TR)的設定
55.下列有關MRI中3D與2D造影技術之比較,何者錯誤? (A)3D擷取方式可以取得更薄的切片 (B)3D擷取方式可以取得更多的切片 (C)3D的訊雜比(SNR)通常比較差 (D)3D也可能有truncation artifact
56.目前磁振造影(MRI)最常使用下列何種顯影劑? (A)含碘顯影劑(iodinated contrast medium) (B)含釓顯影劑(Gd-DTPA) (C)含鋇(barium)顯影劑 (D)空氣(air)
57.目前臨床上含氧化鐵的磁振造影顯影劑主要使用於何部位的檢查? (A)心臟 (B)腦部 (C)肝臟 (D)關節
58.下列有關resistive magnet原理的敘述,何者正確? (A)只需要少量電流,以產生磁場 (B)必需大量電流,以產生磁場 (C)不會產生大量熱能 (D)不需冷卻裝置
59.下列何者是MRI之絕對禁忌? (A)裝有心律調節器之病患 (B)頭痛病患 (C)對含碘顯影劑過敏之病患 (D)神智不清之病患
60.適合作為MRI呈像之nuclei必須具備下列何種條件? (A)質子或中子為2的倍數 (B)質子或中子為3的倍數 (C)質子或中子為單數 (D)質子或中子為雙數
61.使用TR/TE=500/20毫秒、造影矩陣=192×256、取樣次數(NEX或NSA)=2、回訊序列長度 (ETL,echo train length)=4之磁振造影參數時,其掃描時間應為多久? (A)768秒 (B)192秒 (C)96秒 (D)48秒
62.上腹部超音波檢查時,發現在肝內有一界限清楚,無回音之結構,其後有回音加強現象,則最可 能之病變為何? (A)血管瘤(hemangioma) (B)囊腫(cyst) (C)肝癌(hepatoma) (D)肝腺瘤(adenoma)
63.Acoustic shadowing不易發生於: (A)肋骨後面 (B)鈣化性肌腱炎後面 (C)腸氣後面 (D)單純性肝囊腫後面
64.超音波影像,在囊狀結構(例如膀胱或囊腫)的內部前緣,出現一些相互平行且距離相等的線 條,為下列何者? (A)音波反振假影(reverberation artifact) (B)鏡像假影(mirror image artifact) (C)音束旁葉假影(side lobe artifact) (D)切面厚度假影(section thickness artifact)
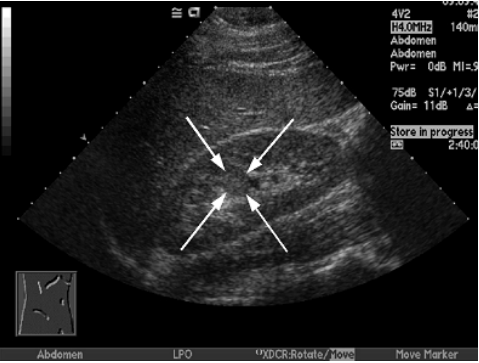
65. 附圖為右上腹之冠狀面掃描,箭號所指的構造最可能為:
(A)腎髓質(medulla) (B)腎盞(calyx) (C)腎細胞癌(renal cell carcinoma) (D)肥厚之腎柱(hypertrophic column of Bertin)
66.超音波顯影劑(Sonovue)主要含有sulfur hexafluoride(SF6 ),利用下列何者包被而使其穩 定? (A)凝膠(gel) (B)膠原蛋白(gelatin) (C)磷脂(phospholipid) (D)蛋白質
67.針對甲狀腺結節之超音波掃描,最適合使用下列何種探頭? (A)高頻線性探頭(high frequency linear array transducer) (B)sector transducer (C)curved array transducer (D)經食道探頭
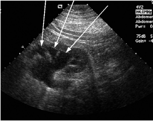
68.附圖中箭號所指的構造最可能為:
(A)腎腫瘤 (B)腎囊腫 (C)腎柱(renal column) (D)擴張之腎盞(dilated calyces)
69.急性胰臟炎的超音波最可能徵象為下列那一項? (A)胰臟體積變大,回音降低,其邊緣或周圍可能有積液 (B)胰臟體積縮小,回音變高,其邊緣或周圍可能有積液 (C)胰臟體積變小,回音增強,腹腔內可能有積液 (D)胰臟體積變小,回音降低,腹腔內可能有積液
70.在超音波檢查中,肝臟的脂肪浸潤(fatty infiltration)對音波阻力(impedance jumps)有何影 響? (A)會降低音波阻力 (B)對音波阻力不影響 (C)會增加音波阻力 (D)使音波阻力完全消失
71.音波在人體中的速度近似於下列那一個值? (A)1540 m/sec (B)1540 cm/min (C)720 m/sec (D)720 cm/min
72.當管電壓設定在28 kVp時,乳房攝影X光機的輻射輸出率應高於下列何者? (A)6 mGy/s (B)7 mGy/s (C)8 mGy/s (D)9 mGy/s
73.乳房攝影的焦斑尺寸通常介於何範圍? (A)0.1-0.6 mm (B)0.8-1.2 mm (C)1.4-1.6 mm (D)1.8-2.2 mm
74.關於自動曝露控制的密度設定(density setting),下列敘述何者正確? (A)調整密度設定,是改變顯影定影的時間,來控制光密度值 (B)密度設定每調高一階,影像的光密度值便提高一倍 (C)密度設定最好都維持在最高 (D)密度設定為-2時,是針對年老、虛弱、體型較小的受檢者
75.下列何種X光軟片最適合用於一般傳統放射診斷攝影? (A)高速度,高對比度 (B)低速度,高對比度 (C)低速度,低對比度 (D)高速度,低對比度
76.從事放射線工作者一年的法定effective dose上限為多少mSv? (A)5 (B)15 (C)50 (D)150
77.下列何者為目前DICOM所認可,且為小波轉換壓縮法的編碼技術? (A)JPEG compression (B)JPEG 2000 compression (C)JPEG-LS compression (D)Huffman compression
78.一般稱為非失真壓縮(lossless compression),其壓縮比大約為: (A)1:1 (B)3:1 (C)10:1 (D)100:1
79.在PACS系統之中,下列何者之間需要最大的網路頻寬? (A)造影儀器(imaging modality)與擷取閘道(acquisition gateway) (B)擷取閘道(acquisition gateway)與PACS控制器(PACS controller) (C)診斷工作站(diagnostic workstation)與PACS控制器(PACS controller) (D)HIS與PACS控制器(PACS controller)
80.影像壓縮的步驟不包括下列何者? (A)影像均化(normalization) (B)熵編碼(entropy encoding) (C)影像轉換(transformation) (D)影像量化(quantization)
申論題 (0)
相關試卷
115年 - 115-1 專技高考_醫事放射師:放射線診斷原理與技術學#137344
115年 · #137344
114年 - 114-2 專技高考_醫事放射師:放射線診斷原理與技術學#128969
114年 · #128969
114年 - 114-1 專技高考_醫事放射師:放射線診斷原理與技術學#125124
114年 · #125124
113年 - 113-2 專技高考_醫事放射師:放射線診斷原理與技術學#121691
113年 · #121691
113年 - 113-1 專技高考_醫事放射師:放射線診斷原理與技術學#118731
113年 · #118731
112年 - 112-2 專技高考_醫事放射師:放射線診斷原理與技術學#115920
112年 · #115920
112年 - 112-1 專技高考_醫事放射師:放射線診斷原理與技術學#113162
112年 · #113162
111年 - 111-2 專技高考_醫事放射師:放射線診斷原理與技術學#109901
111年 · #109901
111年 - 111-1 專技高考_醫事放射師:放射線診斷原理與技術學#106212
111年 · #106212
110年 - 110-2 專技高考_醫事放射師:放射線診斷原理與技術學#99941
110年 · #99941