阿摩線上測驗
登入
首頁
>
牙醫學(六)(包括齒顎矯正學、兒童牙科學、牙科公共衛生學等科目及其相關臨床實例與醫學倫理)
> 101年 - 101-1 專技高考_牙醫師(二):牙醫學(六)(包括齒顎矯正學、兒童牙科學、牙科公共衛生學等科目及其相關臨床實例與醫學倫理)#36042
101年 - 101-1 專技高考_牙醫師(二):牙醫學(六)(包括齒顎矯正學、兒童牙科學、牙科公共衛生學等科目及其相關臨床實例與醫學倫理)#36042
科目:
牙醫學(六)(包括齒顎矯正學、兒童牙科學、牙科公共衛生學等科目及其相關臨床實例與醫學倫理) |
年份:
101年 |
選擇題數:
80 |
申論題數:
0
試卷資訊
所屬科目:
牙醫學(六)(包括齒顎矯正學、兒童牙科學、牙科公共衛生學等科目及其相關臨床實例與醫學倫理)
選擇題 (80)
1.下顎的生長發育模式,較接近史康門生長曲線(Scammon’s curve for growth)中的何種模式? (A)淋巴(lymphoid) (B)神經(neural) (C)一般(general) (D)生殖(genital)
2.下列關於ClassⅡ division 1咬合不正情形之敘述,何者錯誤? (A)上顎正中門齒往唇側傾斜 (B)上顎側門齒往腭側傾斜 (C)下顎第一大臼齒近心溝,位於上顎第一大臼齒近心頰側咬頭之遠心側 (D)水平覆蓋過大
3.評估顏面正面美觀時,若引用五分法(rule of fifths),則下列何者為其使用的基準? (A)兩眼瞳孔寬度(interpupil distance) (B)兩眼內眼角寬度(intercanthal distance) (C)鼻甲寬度(nasal width) (D)嘴唇寬度(mouth width)
4.下列何者為人類最普遍的異常咬合? (A)安格氏一級異常咬合 (B)安格氏二級異常咬合 (C)安格氏三級異常咬合 (D)視人種而有所不同
5.頸部方向頭套的牽引(cervical-pull headgear),容易造成: (A)上顎正中門齒的壓入(intrusion) (B)上顎犬齒阻生(impaction) (C)上顎大臼齒的突出(extrusion) (D)上顎大臼齒會向近心移動
6.根據Baume’s classification,下圖之咬合關係屬於以下那一類?
(A)Mesial step (B)Distal step (C)Mesial occlusion (D)Distal occlusion
7.矯正治療中最容易發生的牙齒移動是: (A)壓入(intrusion) (B)牙根直立(root uprighting) (C)傾斜(tipping) (D)位移(translation)
8.使用高拉式頭套(high-pull headgear)施力方向穿過第一大臼齒的抗力中心,對於上顎第一大臼 齒的移動方向為何? (A)向遠心旋轉 (B)向近心旋轉 (C)向後上移位 (D)向後下移位
9.圖中的標點2為下列那一解剖學界標?
(A)Ba (B)Po (C)Go (D)Pog
10.下列那位學者認為顱顏部之生長主要決定因素並非骨頭及軟骨,而是其周圍相關組織? (A)Scott (B)Sicher (C)Moss (D)Petrovic
11.下列關於梅克氏軟骨(Meckel’s cartilage)於人類胚胎顱顏發育角色之敘述,何者錯誤? (A)為人類胚胎9週以前顏面下方重要的支撐 (B)其日後發育成為中耳其中的兩個小聽骨 (C)其日後發育成為下顎骨的顳顎關節 (D)在胚胎發育30週時即退化,為下顎骨所取代
12.下列對慢性鼻呼吸道阻塞所導致的「口呼吸」,所造成顱顏結構位置改變的敘述,何者錯誤? (A)舌部向下壓低 (B)下顎骨向下開展 (C)舌部向後縮 (D)頭部向後傾
13.成人何種腺體發生異常時容易導致Class III 不正咬合出現? (A)腦下垂體前葉 (B)腦下垂體後葉 (C)甲狀腺 (D)胸腺
14. 下圖為牙齒受到持續性力量(125g)之牙齒移動圖。圖中顯示牙齒剛開始移動時有快速移動現 象,下列何者不是造成此現象的可能原因?
(A)牙周膜之擠壓 (B)齒槽骨之變形 (C)牙齒略為突出(extrusion) (D)發生前緣吸收(frontal resorption)現象
15.有關不正咬合經矯正治療後,下列何者容易復發(relapse)?①治療後下顎犬齒寬度 (intercanine width)增加 ②治療前普遍化間隙(generalized spacing) ③治療前齒性前牙錯 咬(dental anterior crossbite) ④治療前嚴重旋轉(severe rotation) (A)①②③ (B)②③④ (C)①②④ (D)①③④
16.下列何者為下顎恆齒萌發次序最常見者? (A)6123457 (B)6123475 (C)6124357 (D)6123745
17. 10歲女孩口內照片如下圖,測顱分析中SNA 82度,SNB 75度,SN-MP 30度,下列敘述何者錯 誤?
(A)過多的水平覆咬 (B)過深的垂直覆咬 (C)安格氏二級異常咬合 (D)齒齡發育過慢
18.一位12歲男孩具有下顎後縮的安格氏二級異常咬合。此種生長異常,最少見於下列何種患者? (A)顳顎關節黏連 (B)風濕性關節炎(rheumatoid arthritis) (C)皮爾羅賓氏症(Pierre Robin Sequence) (D)唇腭裂
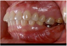
19.病人於左下顎沒有足夠空間來製作植牙之假牙高度,如下圖,其可能之成因及治療方式,下列何 者錯誤?
(A)通常是因長期下顎牙齒缺損造成上顎臼齒往下長 (B)治療方式可為以齒冠切短、齒內治療、套牙冠的傳統方式 (C)治療方式可為矯正壓入(intrusion),最不具傷害性亦為最快的方法 (D)治療方式可為分節式切骨術,直接將齒槽骨與牙齒往上移動
20.外觀評估上顎咬合平面是否呈現“左右歪斜”的問題時,下列何者是最通用的參考線? (A)兩側耳垂連線 (B)兩側鼻底連線 (C)兩側嘴角(commissure)連線 (D)兩側瞳孔(pupil)連線
21.下列何者是Tweed 分析法中最常用來分析下顎門牙角度的測量值? (A)FMIA (B)FMA (C)IMPA (D)Z angle
22.臨床上,在青少年期,可藉下列何種方式將下顏臉高度變長? (A)循序拔牙法(serial extraction) (B)功能性矯正裝置(functional growth modification appliances) (C)高拉式頭套(high pull headgear) (D)舌柵欄(tongue crib)
23.理想的微笑弧線(smile arc)是指微笑時,上顎前牙之切緣連線應如何? (A)越平齊越好 (B)與下嘴唇弧度一致 (C)與上嘴唇弧度一致 (D)與牙齒排列沒關係
24.下列何者最需考慮永久性固位(permanent retention)? (A)齒源性前牙倒咬經齒列矯正後有適當牙齒垂直覆蓋者(overbite) (B)序列拔牙且經齒列矯正治療者 (C)成人有全面間隙齒列經齒列矯正治療者 (D)門牙垂直覆蓋過大經齒列矯正治療者
25.牙齒矯正治療施力初期所產生的疼痛感主要來自於那個部位? (A)牙周韌帶 (B)牙髓 (C)牙根 (D)齒槽骨
26.依據醫療法規定,醫療機構應指定適當場所及人員保管病歷,齒列矯正成年患者的病歷必須保存 多久? (A)3年 (B)5年 (C)7年 (D)永久保存
27. 該患者最有可能之診斷? (A)齒性一級咬合不正 (B)骨性一級咬合不正 (C)齒性三級咬合不正 (D)骨性三級咬合不正
28.承上題,欲恢復正常咬合與顏面美觀,其治療計畫應為: (A)不拔牙齒列矯正 (B)拔牙齒列矯正 (C)正顎手術 (D)齒列矯正合併正顎手術
29.影響小孩到牙科就診之最大心理障礙為何? (A)害怕不知道會發生甚麼事 (B)父母的態度 (C)同儕之態度 (D)師長之態度
30.牙釉質形成障礙(amelogenesis imperfecta)的出現是因為在下列那一階段發育異常? (A)帽狀期(cap stage) (B)牙蕾期(bud stage) (C)鐘形期(bell stage) (D)沉積期(apposition)
31.下列關於混合齒列期使用可撤式腭擴大口內裝置(removable palatal expansion appliance)的敘 述,何者錯誤? (A)可以擴大上顎牙弓約4.5 mm (B)伸展螺旋(jackscrew)放在正中線上左右乳臼齒間 (C)維持(retention)的時間須3至6個月 (D)可以讓上顎臼齒做整體位移(bodily movement)
32.下列何種牙科處置是先天性心臟病患者的禁忌? (A)預後不好的乳臼齒的根管治療 (B)恆前齒的根管治療 (C)即將脫落乳牙的拔除 (D)下顎神經傳導麻醉
33.乳牙發生壓入性外傷(intrusive luxation),若造成乳牙牙根向舌側壓入時,最理想之處理為: (A)將乳牙拉出 (B)將乳牙拔除 (C)將乳牙固定 (D)不用處理乳牙
34.患有2顆乳臼齒咬合面牙本質中等程度齲蝕之輕度智障兒童之口腔治療,下列何者錯誤? (A)與正常兒童相同 (B)只能採用全身麻醉法 (C)可以採用靜脈鎮靜法 (D)可以採用笑氣鎮靜法
35.唐氏症兒童較易罹患嚴重之牙周病,下列何者錯誤? (A)基因遺傳 (B)免疫力升高 (C)血液循環不良 (D)牙齒形態異常
36.美國兒童牙醫學會(AAPD)所定義的早期兒童齲齒(early childhood caries,ECC)指的是幾 個月大以前的兒童? (A)6 (B)12 (C)36 (D)71
37.乳臼齒進行不鏽鋼乳牙冠修形時,鄰接面牙齦邊緣應修成: (A)羽毛形邊緣(feathered edge) (B)肩台邊緣(shoulder type) (C)弧形邊緣(chamfer type) (D)不須修形
38.下列何者是最常見的乳牙萌牙順序? (A)ABCDE (B)ADBCE (C)ABDCE (D)ACBDE
39.下列關於6~18歲期間,下顎牙弓寬度與長度的敘述,何者正確? (A)門牙直立後,牙弓長度會變長 (B)混合齒列後期,牙弓周徑(circumference)會變長 (C)臼齒間寬度會增加 (D)犬齒寬度不會改變
40.兒童長期服用下列何種藥物易增加齲齒發生率? (A)四環黴素 (B)抗組織胺劑 (C)抗癲癇藥劑 (D)抗糖尿病藥劑
41.上顎乳門牙外傷性壓入(intrusion)到牙齦內但未傷及恆牙牙胚,一般處理原則為何? (A)將乳牙拉出 (B)將乳牙拔除 (C)將乳牙固定 (D)不用處理乳牙,但需定期追踪
42.有關幼兒口部燒傷的意外事故,下列何者錯誤? (A)多因室外放風箏觸電引起 (B)常造成嘴嚴重燒傷 (C)常形成疤痕影響口部機能與外觀 (D)可能造成休克、心跳停止、傷口出血等嚴重後果
43.若長期對幼兒投予下列何種抗生素,可能有失聰之慮? (A)Kanamycin (B)Tetracycline (C)Terramycin (D)Chloramphenicol
44.Hand-over-mouth法適用於下列何者? (A)兩歲以下兒童 (B)智能遲緩兒童 (C)受驚嚇的兒童 (D)可溝通的哭鬧兒童
45.小朋友第一次看牙時,小朋友的不配合行為會深深受到高度焦慮(anxiety)的媽媽影響,下列那 一年齡層最會受到影響? (A)4歲以下 (B)5-7歲 (C)8-10歲 (D)11-13歲
46.以目前的文獻報告,下列何者不能建議作為冠髓切除術(pulpotomy)的覆劑(capping agent)? (A)Formocresol (B)Self-etching adhesive agent (C)Ferric sulfate (D)Mineral trioxide aggregate(MTA)
47.關於嬰幼兒口腔健康(infant oral health)的觀念中,下列敘述何者錯誤? (A)應有齲齒風險評估 (B)應給家長口腔發育諮詢 (C)應給家長飲食、氟化物及口腔衛生的諮詢 (D)應固定每6個月作口腔健康情況的監控,不論口腔狀況為何
48.在缺氟地區(自來水中含氟濃度﹤0.3 ppm),8歲小孩,以氟錠(NaF)來預防齲齒的劑量為 何? (A)0.25 mg/1顆/天 (B)0.25 mg/2顆/天 (C)0.5 mg/1顆/天 (D)0.5 mg/2顆/天
49.有關三氧礦化合物(mineral trioxide aggregate)的用途之敘述,下列何者不適切? (A)可用於乳牙覆髓(pulp capping) (B)可當恆牙根尖充填(retrofilling)材料 (C)可當乳牙冠髓切除術(pulpotomy)之填補材料 (D)可做乳牙牙髓切除術(pulpectomy)之充填材料
50.下列何者為罹患齲齒的高危險群? (A)唾液分泌量多 (B)肉類攝取量多 (C)蔬果攝取種類多 (D)突變形鏈球菌數目多
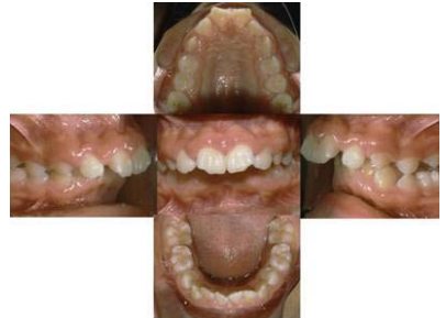
51.一個3歲7個月的小女生,媽媽帶來求診,其主訴為上下前牙閉合時無法有接觸(如下圖),檢查 小女生的口腔內外軟組織並無異樣,手部也無痕跡。下列敘述何者最有可能造成此種咬合的原 因?
(A)前顎骨發育不良(undergrowth of premaxilla) (B)咬唇癖(lip biting) (C)下顎過成長(overgrowth of mandible) (D)吸奶嘴(pacifier user)
52.關於第一大臼齒的異位萌出(ectopic eruption)的敘述,下列何者正確? (A)較常見於下顎 (B)只出現在單側 (C)與第一大臼齒的鈣化速度有關 (D)有些會自然回到正常位置
53.一位8歲3個月血友病控制良好的小男孩,因為左下第二乳臼齒有一深及牙髓的大齲齒,下列敘述 何者正確? (A)會診根管治療科 (B)事前服用抗生素 (C)儘量使用隔溼橡皮障(rubber dam)來保護周圍的頰、唇及舌頭 (D)阻斷麻醉(block anesthesia)比浸潤麻醉(infiltration anesthesia)合適
54.3歲兒童因騎娃娃三輪車撞到上顎門牙,門牙發生下壓(intrusion)移動,未有傷及恆牙牙胚,但 牙冠約1/4埋入牙齦,請問如何處理? (A)手術將牙齒拔出固定 (B)手術將牙齒拔除 (C)利用矯正力拉出 (D)密切觀察
55.一位10歲男童,具有法洛氏四合症(tetralogy of Fallot, TOF)先天性心臟病,在進行下列何種牙 科處置時需給予抗生素,以預防亞急性細菌性心內膜炎(subacute bacterial endocarditis, SBE)? (A)83因換牙而鬆動之拔除 (B)84極深蛀牙之填補 (C)46、36下顎舌側空間維持器之環套放置 (D)46上局部麻藥放置橡皮障填補蛀牙
56.牙科門診使用約束方法於身心障礙的病人,下列敘述何者錯誤? (A)使用前必須徹底溝通並取得家長或病人的同意 (B)全裹式約束必須注意呼吸 (C)全裹式約束必須注意身體過熱 (D)必須使用生理監視儀器
57.先天性的甲狀腺功能低下症(hypothyroidism),若未適當治療,可能不會導致下列何種情形? (A)牙齒發育會加速 (B)身高會較矮 (C)手腳會較短 (D)身材會較胖
58.身為基層牙醫師對身心障礙者牙科醫療,下列敘述何者最適切? (A)身心障礙者行為無法配合診療,最好請專門的醫師處理 (B)避免造成病患誤解,於門口貼上“本診所無法提供身心障礙者牙科診療,造成不便請多見諒” (C)基層牙醫師應可勝任輕度身心障礙者牙科預防保健與簡單處置工作 (D)身心障礙者牙科處置不易,在身體約束下30分鐘把27顆蛀牙一次補完,免得還要再治療一次
59.此時最重要之處置步驟為何? (A)務必先打破傷風 (B)脫落牙齒馬上作根管治療 (C)清理傷口,縫合止血 (D)將掉落牙齒先放回齒槽骨
60.承上題,該掉落之牙齒如果要再植回,牙齒需作何處理? (A)先清潔擦拭牙根表面,植回,再立即根管治療即可 (B)先做根管治療,沖洗牙根表面,再植回即可 (C)先沖洗牙根表面,再做根管治療,再植回即可 (D)先沖洗牙根表面,再植回,再觀察評估
61.在三段五級的預防理論中,口腔衛生教育是屬於: (A)第一段預防 (B)第二段預防 (C)第三段預防 (D)第五級預防
62.使社區民眾獲得氟化物最有效、經濟和便捷的方法為何? (A)使用含氟牙膏刷牙 (B)使用含氟漱口水漱口 (C)到牙醫診所找牙醫師使用氟膠 (D)自來水中加氟
63.下列何者不是與口腔癌有關之危險因子? (A)甜食 (B)檳榔 (C)抽菸 (D)病毒
64.下列何者不是牙周病流行病學常用之指標? (A)DMFT index (B)CPITN (C)OHI (D)GI
65.關於國內咬合不正流行病學中之敘述,下列何者錯誤? (A)約有80%以上的國小學童罹患不同程度的咬合問題 (B)咬合不正可能影響消化及營養之吸收 (C)矯正治療應由家庭牙醫師與矯正專科醫師共同合作 (D)最常見的咬合不正為第二類咬合不正(Angle’s Class II malocclusion)
複選題
66.在幾種口腔黏膜病變中,那一種之惡性轉變率最高? (A)白斑症(Leukoplakia) (B)紅斑症(Erythema) (C)白色念珠菌感染(Candidiasis) (D)潰瘍(Ulceration)
67.疾病或病原經常存在於一個地理區域,稱之為: (A)Endemic (B)Pandemic (C)Epidemic (D)Epidermic
68.口腔衛生教育的內容包括下列何項?①潔牙 ②氟化物之應用 ③飲食衛生與營養 ④感染控制 (A)只有①②③ (B)只有②③④ (C)只有①③④ (D)①②③④
69.目前國內學校的衛生教育方面,最常使用的『三三模式』中並不包含下列何者? (A)學校健康指導 (B)學校健康服務 (C)學校健康活動 (D)學校健康教學
70.在牙科執業與病原傳染途徑中,具有傷口的手直接碰患者口腔之唾液或血液,使病原體沿傷口進 入人體內之方式,稱之為: (A)間接接觸 (B)直接接觸 (C)顆粒傳播 (D)媒介傳播
71.下列何者屬獨立樣本之比較分析? (A)比較一組人衛教前後之填補率的變化 (B)比較一組人衛教前後之牙菌斑指數變化 (C)比較同一組樣本每個人之上顎齲齒顆數與下顎齲齒顆數 (D)比較同一班級男生與女生之間,衛教前後之牙菌斑指數改變量
72.國小學童使用0.2%氟化鈉溶液漱口,以預防齲齒,若某學童不慎吞下10 ml的潄口水,約等於吃 了多少氟? (A)2 mg (B)5 mg (C)9 mg (D)15 mg
73.最有效的防齲牙膏中含有下列何者? (A)抗生素 (B)葉綠素 (C)抗酵素 (D)氟化物
74.關於齲齒發生之因素下列敘述何者正確? (A)宿主因素(host factor)主要是指每個人牙齒的鈣化程度不同 (B)乳酸桿菌(lactobacillus)為主要的齲齒致病菌 (C)正常情況下,飲用食物後,口腔中酸鹼值可在30分鐘內因唾液的緩衝作用(buffer action)而 趨向中性 (D)時間因素在齲齒發生因素中最不重要
75.在學齡兒童之口腔保健,由於學齡兒童正處於乳恆牙交替出牙的混合牙列時期,故最好是多久一 次定期口腔檢查? (A)三個月 (B)一年 (C)二年 (D)三年
76.口腔四大主要流行疾病包括下列何者?①齲齒 ②牙周病 ③咬合不正 ④口腔癌 ⑤顳顎關節 症候群 ⑥顎面外傷 (A)①②③④ (B)②③④⑤ (C)③④⑤⑥ (D)①④⑤⑥
77.Green所提出的「健康行為反應的五個次元」,不包括下列何者? (A)頻率 (B)品質 (C)特定性 (D)持續性
78.關於患有甲狀腺功能過低(hypothyroidism)兒童常見之口腔特徵,下列敘述何者錯誤? (A)口呼吸(mouth breathing) (B)嘴唇腫脹(swollen lips) (C)下顎骨突出(mandibular protrusion) (D)牙釉質發育不全(enamel hypoplasia)
79.協助失能老人做口腔功能的復健,其主要項目不包括下列何者? (A)進食 (B)發音 (C)吞嚥 (D)頭部運動
80.關於牙醫診所「物料管理」的敘述,下列何者錯誤? (A)是診所成本控制的優先工作 (B)較「人員管理」來得容易且效果顯著 (C)宜採「先進先出(first in first out)」的盤點制 (D)考慮庫存的管理,宜採「分批採購、一次交貨」
申論題 (0)
相關試卷
115年 - 115-1 專技高考_牙醫師(二):牙醫學(六)(包括齒顎矯正學、兒童牙科學、牙科公共衛生學等科目及其相關臨床實例與醫學倫理)#137337
115年 · #137337
114年 - 114-2 專技高考_牙醫師(二):牙醫學(六)(包括齒顎矯正學、兒童牙科學、牙科公共衛生學等科目及其相關臨床實例與醫學倫理)#128942
114年 · #128942
114年 - 114-1 專技高考_牙醫師(二):牙醫學(六)(包括齒顎矯正學、兒童牙科學、牙科公共衛生學等科目及其相關臨床實例與醫學倫理)#125112
114年 · #125112
113年 - 113-2 專技高考_牙醫師(二):牙醫學(六)(包括齒顎矯正學、兒童牙科學、牙科公共衛生學等科目及其相關臨床實例與醫學倫理)#121683
113年 · #121683
113年 - 113-1 專技高考_牙醫師(二):牙醫學(六)(包括齒顎矯正學、兒童牙科學、牙科公共衛生學等科目及其相關臨床實例與醫學倫理)#118738
113年 · #118738
112年 - 112-2 專技高考_牙醫師(二):牙醫學(六)(包括齒顎矯正學、兒童牙科學、牙科公共衛生學等科目及其相關臨床實例與醫學倫理)#115906
112年 · #115906
112年 - 112-1 專技高考_牙醫師(二):牙醫學(六)(包括齒顎矯正學、兒童牙科學、牙科公共衛生學等科目及其相關臨床實例與醫學倫理)#113152
112年 · #113152
111年 - 111-2 專技高考_牙醫師(二):牙醫學(六)(包括齒顎矯正學、兒童牙科學、牙科公共衛生學等科目及其相關臨床實例與醫學倫理)#109857
111年 · #109857
111年 - 111-1 專技高考_牙醫師(二):牙醫學(六)(包括齒顎矯正學、兒童牙科學、牙科公共衛生學等科目及其相關臨床實例與醫學倫理)#106189
111年 · #106189
110年 - 110-2 專技高考_牙醫師(二):牙醫學(六)(包括齒顎矯正學、兒童牙科學、牙科公共衛生學等科目及其相關臨床實例與醫學倫理)#99937
110年 · #99937