所屬科目:牙醫學(六)(包括齒顎矯正學、兒童牙科學、牙科公共衛生學等科目及其相關臨床實例與醫學倫理)
1.顱顏生長發育部位成熟度(gradient)由早至晚的順序,下列何者正確?①前顱底(anterior cranial base) ②上顎骨長度(maxillary length) ③上顏面高度(upper facial height) (A)①②③ (B)①③② (C)②①③ (D)③②①
2.一般而言,以測顱放射線呈現的頸椎形態來預測骨齡,下列那個階段對應下顎骨生長高峰期 (peak)? (A)Stage 1與Stage 2之間 (B)Stage 2與Stage 3之間 (C)Stage 3與Stage 4之間 (D)Stage 4與Stage 5之間
3.利用頸椎發育來評估骨骼年齡,下列敘述何者錯誤? (A)可利用側面測顱X光片作評估 (B)主要是觀察第一、第二及第三頸椎的發育 (C)頸椎的發育可區分為6個時期 (D)與下顎骨發育時間有關
4.關於骨化作用(ossification)的敘述,下列何者錯誤? (A)軟骨轉化成骨為骨化中心(ossification center),稱為軟骨內骨化(endochondral ossification) (B)下顎髁突(condyle)也有軟骨內骨化發生 (C)結締組織直接分泌基質形成骨,稱為膜內骨化(intramembranous ossification) (D)下顎骨直接由梅克氏軟骨(Meckel's cartilage)骨化(ossification)而來
5.與微笑框架(smile framework)相關的敘述,下列何者錯誤? (A)進入中年後隨著年齡愈來愈大,上嘴唇會愈來愈往下導致上顎前牙露出來的量(tooth display) 變少 (B)微笑時女性上顎門牙露出來的量(tooth display)通常較男性多 (C)上顎牙弓撐寬可以增加頰側迴廊(buccal corridor),增加微笑曲線(smile arc) (D)微笑美學重要的一個決定因子是微笑曲線(smile arc)
6.下列何種狀況不建議拍攝錐狀射束電腦斷層攝影(cone beam computed tomography)幫助診斷? (A)阻生牙(impacted teeth) (B)嚴重臉型不對稱(facial asymmetry) (C)顏面外傷(facial trauma) (D)顳顎關節韌帶(ligament)疾病
7.下列那一項測量主要決定臉型的整體比例? (A)顏面指數(facial index) (B)上顏面指數(upper face index) (C)頦-顏面高度指數(chin-face height index) (D)下顏面-顏面高度指數(lower face-face height index)
8.下列何項分析法是以咬合平面作為主要參考平面? (A)Steiner analysis (B)Wits analysis (C)McNamara analysis (D)Harvold analysis
9.關於前牙開咬(anterior open bite)的治療機制,下列敘述何者錯誤? (A)可利用骨釘(screw)提供穩固的錨定及達成後牙的壓入 (B)須注意患者的不良習癖(habit),讓治療順利且避免復發 (C)可利用拔牙(extraction)治療讓前牙的角度舌傾,加深垂直覆蓋 (D)clear retainer不適合用於開咬患者的維持
10.有關二級咬合異常合併開咬病人應用頭套(headgear)來限制上顎生長之敘述,下列何者錯誤? (A)建議配戴用時間每天至少10~12小時以上 (B)通常使用於病人生長發育期間 (C)兩側施力總和宜在700~900公克間 (D)施力方向宜低於咬合平面
11.控制矯正力量所造成牙齒移動與齒槽骨重塑(alveolar bone remodeling)的人類組織反應中,下 列何者最無關? (A)壓電學(piezoelectricity) (B)電磁場(electromagnetic field) (C)滲透電位(streaming potential) (D)化學傳遞物質(chemical messenger)
12.使用矯正骨釘以移動牙齒,屬於下列何種錨定(anchorage)? (A)固定型錨定(stationary anchorage) (B)骨性錨定(skeletal anchorage) (C)抗衡錨定(reciprocal anchorage) (D)皮質骨錨定(cortical anchorage)
13.下列那些裝置在牙弓擴張(arch expansion)時是屬於被動擴張(passive expansion)?①四環 擴張器(quad-helix appliance) ②法蘭克矯正裝置(Frankel appliance) ③張開螺旋矯正 裝置(jackscrew appliance) ④唇擋裝置(lip bumper) (A)①③ (B)②④ (C)①② (D)③④
14.一名8歲孩童有吸指癖,中心咬合時顯現下顎中線偏左,左後牙單側錯咬,下列何者最適合用來治 療此孩童? (A)舌側弓線(lingual arch) (B)南西氏裝置(Nance appliance) (C)四環擴張器(quad-helix appliance) (D)固定式張開螺旋矯正裝置(fixed jackscrew appliance)
15.在混合齒列期,有關牙齒錯位(transposition)的描述,下列何者最適當? (A)上下顎最容易發生牙齒錯位的牙齒都是側門齒 (B)上下顎最容易發生牙齒錯位的牙齒都是犬齒 (C)上顎最容易發生牙齒錯位的牙齒是犬齒與第一小臼齒 (D)下顎最容易發生牙齒錯位的牙齒是小臼齒
16.關於放射治療或雙磷酸鹽使用之影響,下列敘述何者錯誤? (A)幼兒時期使用全身放射療法(total body irradiation)造成臨床許多牙齒缺失或形態異常 (B)全身放射治療後造成牙根變短的病人,無法再接受齒顎矯正治療 (C)3~5歲的兒童接受全身放射療法(total body irradiation)與高劑量化療,會導致牙根變短 (D)雙磷酸鹽藥物的使用會影響齒顎矯正的治療,使得牙齒無法移動
17.12歲男童,第二級咬合不正且下顎後縮,上顎的前後向生長正常,頸椎成熟測量法判斷處於CS3階 段,下列敘述何者正確? (A)不需要考慮上顎橫向寬度問題 (B)應立即施行正顎手術來改正下顎後縮 (C)先用高拉式頭套(high-pull headgear)來改正下顎後縮 (D)可用功能性矯正裝置(functional appliance)來改正下顎後縮
18.利用牙齒作為錨定(anchorage)的面罩(facemask),其使用方式及作用,下列敘述何者錯誤? (A)建議一側施力約350~450 g (B)建議須每天配戴12~14小時 (C)研究顯示平均可以得到大於5 mm的上顎向前的效果 (D)研究顯示約有25%~33%的病人,在8年後又回復前牙錯咬(anterior crossbite)
19.使用腭弓擴張器(palatal expansion)時,評估腭正中骨縫是否可以撐開,下列何項指標具有足 夠的科學驗證? (A)腭正中骨縫成熟階段測量法(midpalatal suture maturation stage) (B)牙齒的發育年齡(dental developmental age) (C)頸椎成熟階段測量法(cervical vertebra maturation stage) (D)目前尚無足夠科學驗證的指標
20.關於下圖矯正線的「力-變形」曲線圖(force-deflection curve),下列敘述何者錯誤? (A)具有超彈性 (B)可能是鎳鈦(nickel–titanium)矯正線 (C)最下方的矯正線適合做初始排列(initial alignment) (D)決定力量(force)大小的主要因素是矯正線尺寸
21.矯正成年人全口上顎後牙舌側傾斜造成的後牙錯咬,下列裝置何者最不適合? (A)粗唇側矯正線(heavy labial arch) (B)交錯橡皮圈(cross-elastics) (C)跨腭弓線(transpalatal arch) (D)活動式擴張裝置(removable expansion appliance)
22.使用環線裝置設計(loop design)來關閉拔牙空間時,下列敘述何者正確? (A)為了牙根能夠平行移動,可以考慮在環線上加上山形彎折(gable bend) (B)若要產生更多的力矩(moment)避免牙齒傾倒,可以考慮在環線設計更多的垂直而非水平線段 (C)環線裝置關閉空間時須克服許多的摩擦力 (D)環線裝置可考慮使用17 × 25 mil鎳鈦線(NiTi wire)來彎製
23.關於全口固定矯正治療咬合不正合併中度擁擠(moderate crowding)時,使用的初始排齊 (initial alignment)矯正線,下列敘述何者錯誤? (A)通常使用圓線 (B)提供大約300公克且連續的力量 (C)18 × 25 mil的edgewise矯正器,適合使用14 mil鎳鈦矯正線 (D)較適合使用細的超彈性鎳鈦線(superelastic NiTi)
24.環齒槽嵴上纖維切斷術(circumferential supracrestal fibrotomy),是為了避免下列那種情況 復發(relapse)? (A)高位(high position) (B)錯咬(crossbite) (C)擁擠(crowding) (D)旋轉(rotation)
25.在下列正顎手術的術式中,何者術後穩定性(postsurgical stability)最差? (A)上顎向上(maxilla up) (B)下顎向前(mandible forward) (C)下巴前移(chin forward) (D)上顎向下(maxilla down)
26.55歲女性患者主訴下門牙區近年來日趨擁擠,口內其他區域的牙齒排列、牙周及咬合狀況皆良好, 下列何項治療方案最不適當? (A)拔除一顆下顎犬齒 (B)進行下顎牙齒鄰接面珐瑯質修磨(interproximal enamel stripping) (C)拔除一顆下顎門齒 (D)進行牙弓擴張
27.觀察全景放射線攝影影像(panoramic radiographs),當阻生的犬齒出現下列何種情況時,最不 建議矯正治療? (A)水平阻生犬齒 (B)垂直阻生犬齒 (C)舌側阻生犬齒 (D)唇側阻生犬齒
28.下列那一個情境符合醫學倫理? (A)病人有不合理要求時,可以不予理會其要求 (B)自己不喜歡的病人,應設法轉介給其他醫師 (C)只治療你喜歡的病人 (D)醫師應盡其能力所學治療病人,並尊重病人尋求其他醫師之第二意見
29.關於影響兒童行為因素的敘述,下列何者錯誤? (A)預測兒童行為模式時,心理發展程度比曆年齡重要 (B)不規則的牙科約診會增加兒童牙科焦慮 (C)兒童在formal operational stage時,行為容易受到文化的影響 (D)家庭暴力會影響兒童身心發展,但不太會影響看牙的行為
30.關於兒童局部麻醉的敘述,下列何者正確? (A)兒童因為體重較輕,所以易引起麻醉中毒(anesthetic toxicity) (B)進行Pulpectomy時,1%的Lidocaine與2%的Lidocaine效果差不多 (C)Xylocaine的最高許可劑量為4.4 mg/kg,最多可打到500 mg (D)體重10公斤兒童需注射OraVerse來reverse dental anesthesia時,其最高劑量為1/2管
31.關於醫療決策知情同意(informed consent)的內容,下列敘述何者錯誤? (A)要告知疾病的狀況 (B)要告知建議的診斷步驟、治療方法及成功的可能性 (C)僅告知建議治療和替代治療的潛在危險、利益及不確定性 (D)要評估病人及代理人的理解及醫療決策的能力,包括提供病人及代理人提問的時間
32.關於鎮痛藥物使用的敘述,下列何者錯誤? (A)兒童鎮痛藥物的首選為藥效強、最小副作用為原則 (B)以非類固醇抗發炎藥物(NSAIDs)第一線鎮痛藥物 (C)使用處方類鴉片藥物時,以不超過3天為原則 (D)使用處方類鴉片藥物時,以不超過需要量為原則
33.下列兒童何者最適合看診時進行親子隔離(parent-child separation)? (A)6歲自閉症兒童 (B)7歲智障兒童 (C)4歲身心健康,但非常不配合的孩子 (D)2歲愛哭的孩子
34.關於乳臼齒不銹鋼牙冠的施作,下列敘述何者正確?①修型的第一步通常是咬合面修磨,接下來再 齒質整圈修磨(circumferential reduction) ②以嘗試錯誤方式(trial-and-error method) 來決定牙套尺寸 ③應選擇能包覆該牙齒外廓的最小牙套 ④常用來塑形跟調整牙套邊緣的有高登鉗(Gorden plier)、反折鉗(crimping plier)、楊氏鉗(Yang plier) (A)①② (B)②③ (C)①④ (D)②④
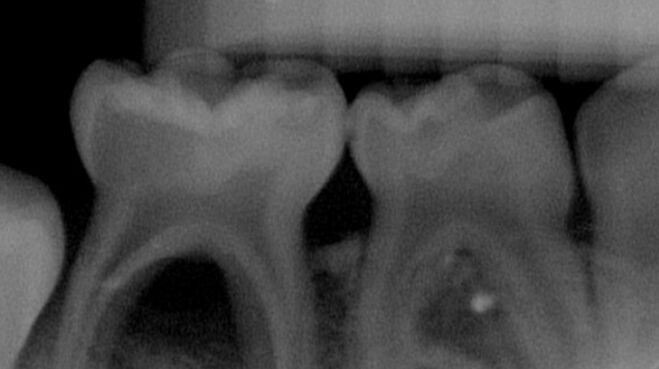
35.5歲男童右下牙齦反覆出現膿腫(abscess),所拍攝的放射線影像如圖示;關於治療方式,下列敘述何者錯誤? (A)第一乳臼齒可施行樹脂填補 (B)膿腫發生的主因是第二乳臼齒鄰接面齲齒 (C)第二乳臼齒可施行牙髓切除術(pulpectomy)或拔除乳牙 (D)考量到拔除第二乳臼齒可能造成空間喪失,牙髓切除術(pulpectomy)可能是較好的選擇
36.齒性白斑(white spot)在顯微鏡下的切面如圖所示,下列敘述何者錯誤? (A)Zone A可接觸唾液中的鈣、磷、氟離子,因此質地較Zone B完整、堅固 (B)Zone B的再礦化程度高於Zone A (C)若去礦化持續發生,Zone A會被侵蝕,產生齲齒 (D)若Zone A不再完整,可繼續使用氟化物,但防齲效果不如白斑階段
37.關於使用氟化物預防齲齒,下列那些敘述正確?①氟化物防齲機轉包含減少去礦化、促進再礦化,以及降低牙菌斑的致齲潛力 ②對於中高度齲齒風險的孩童,應優先投以系統性氟化物方式來降低齲齒率 ③氟化物過敏的人不多,但仍須注意過量攝取的問題 ④攝取過量氟化物,可能會造成噁心、嘔吐,甚至死亡 (A)①②③ (B)①②④ (C)②③④ (D)①③④
38.圖示為7歲男童第一大臼齒咬合面有些微齲齒,關於該牙的處理,下列何者錯誤? (A)在治療前應拍攝X光片 (B)應使用鑽針或雷射,將圖示中黑色區域的齲齒完全移除 (C)移除齲齒後,所有的窩與溝隙應使用37%磷酸酸蝕20秒再沖掉 (D)最適合圖示中黑色區域的填充材料是窩溝封劑(sealant)
39.口腔衛生指導會依兒童年齡(age-specific)不同而改變,下列敘述何者錯誤? (A)嬰兒出生後3個月為父母首次接受口腔衛教諮詢的最佳時機 (B)1到3歲的嬰幼兒,應由家長執行刷牙,且開始使用牙刷 (C)3到6歲的幼兒,應使用牙膏刷牙,用量約豌豆大小 (D)6到12歲的兒童,父母可利用牙菌斑顯示劑(disclosing agent)監督孩子刷牙狀況
40.3歲男童半夜時常驚醒、母親多以親餵母乳安撫;一天多次吃巧克力當點心;因牙痛拍攝放射性影像如圖示,下列敘述何者正確?①上顎門齒可考慮直接覆髓術(direct pulp capping) ②上顎 門齒可評估裝置樹脂牙冠(strip crown)或預製型二氧化鋯牙冠(prefabricated zirconia crown) ③屬於嚴重早發性齲齒(severe early childhood caries),應改變點心的種類 ④母奶成分天然不易造成齲齒,不必強行戒除或改變哺乳習慣 (A)①③④ (B)①②③ (C)僅②④ (D)僅②③
41.關於變異型鏈球菌(Streptococcus mutans )的敘述,下列何者錯誤? (A)根據研究發現有些幼兒在3個月大時口內就有變異型鏈球菌 (B)50%的幼兒在6個月大時口內就有變異型鏈球菌 (C)喝含糖飲料的幼兒比不喝含糖飲料的幼兒,更容易受變異型鏈球菌感染 (D)受變異型鏈球菌的感染時間與齲齒之嚴重性無關
42.關於牙釉質發育不全(enamel hypoplasia)的敘述,下列何者錯誤? (A)發生在牙釉質形成(amelogenesis)的第二期:牙釉基質鈣化時期(calcification) (B)輕微的影響會造成較局部的牙釉質缺失,例如斑點凹陷(pitting) (C)長期的影響會形成全面性的imperfect enamel formation (D)高劑量的放射線治療或化療可能造成牙釉質發育不全
43.正常情況下,恆齒萌發的敘述,下列何者正確? (A)上顎恆牙萌發順序多數為:61234578 (B)下顎恆牙萌發順序多數為:61245378 (C)女孩恆牙萌發順序通常較男孩提早五個月左右 (D)上顎正中門齒較下顎正中門齒早萌發
44.5歲孩童下顎左側乳臼齒深度齲齒需拔除(如下圖)建議使用何種空間維持器?(A)帶環裝置(band and loop space maintainer) (B)遠心鞋型裝置固定型(distal shoe space maintainer-fixed type) (C)舌側牙弓維持器(lingual holding arch) (D)冠環裝置(crown and loop space maintainer)
45.關於臼齒近心移動(mesial molar shift),下列敘述何者正確? (A)第一大臼齒萌發時的早期近心移動(early mesial shift),有可能是因靈長空間(primate space)造成 (B)第一大臼齒萌發時的早期近心移動(early mesial shift),有可能是利用餘裕空間(leeway space)造成 (C)第二乳臼齒末端平面若屬直線末端平面(straight terminal plane)且有靈長空間(primate space),無法藉由下顎第一大臼齒早期近心移動,建立安格氏I級咬合 (D)第二乳臼齒末端平面若屬直線末端平面且無靈長空隙,無法藉由下顎第一大臼齒後期近心移動 (late mesial shift),建立安格氏I級咬合
46.下列何種口腔健康狀況與口呼吸最不相關? (A)咬合不正 (B)牙齦發炎 (C)蛀牙 (D)口腔潰瘍
47.下列何者在提早喪失時,容易導致最大量的空間喪失(space loss)? (A)上顎第一乳臼齒 (B)上顎第二乳臼齒 (C)下顎第一乳臼齒 (D)下顎第二乳臼齒
48.根據2019年美國矯正科學會(AAO),關於阻塞性睡眠呼吸中止症(OSA)和牙齒矯正的白皮書,誰 可以負責明確診斷 OSA? (A)牙齒矯正醫師 (B)兒童牙醫師 (C)語言治療師 (D)內科醫師
49.關於萌牙性囊腫(eruption cyst)的敘述,下列何者正確? (A)常見於上顎前牙區 (B)外觀呈現正常牙齦顏色 (C)可能是因牙齒上方的軟組織受傷所導致 (D)需直接將囊腫刺破,讓血水排出
50.下列那一種空間維持裝置,不適合用在罹患風濕熱(rheumatic fever)的兒童患者? (A)band & loop (B)Nance appliance (C)kiddy denture (D)distal shoe
51.一位8歲男童,具有法洛氏四合症(tetralogy of Fallot, TOF)先天性心臟病,為了預防感染性心內膜炎(infective endocarditis)在進行tooth 85殘根拔除時,應如何給予抗生素? (A)術前1次 (B)術前1次,術後1次 (C)術前1天3次 (D)術前1天3次,術後1天3次
52.關於囊性纖維化(cystic fibrosis)的敘述,下列何者錯誤? (A)發生率為1/2,000 (B)因基因異常導致內分泌腺體功能異常 (C)此疾病會導致胰臟之微堵塞(micro-obstruction) (D)因消化酶(digestive enzymes)缺乏導致營養吸收異常
53.關於乳牙外傷發生脫出(avulsion)的敘述,下列何者錯誤? (A)若沒有找到牙齒,仍需要拍攝X光確認 (B)乳牙脫出可能造成繼發的恆牙受傷 (C)牙冠/牙根比(crown/root ratio)小,所以比較容易脫出 (D)通常不會考慮再植入
54.關於恆牙牙根沾黏(ankylosis)的敘述,下列何者錯誤? (A)通常是因為外傷造成牙周韌帶受傷與發炎有關 (B)導致成骨細胞(osteoblast)侵犯到牙齒周圍而產生牙根吸收 (C)可以見到牙根沾黏的牙齒無法持續萌發,而與鄰牙形成高度上的落差 (D)建議手術復位(surgical reposition)或是拔除
55.關於局部麻醉劑mepivacaine的說明,下列何者正確? (A)不能加血管收縮劑epinephrine (B)對中樞神經不會抑制 (C)絕對最高劑量(absolute maximum dose)300 mg (D)最高反應劑量(maximum reaction dose)6.6 mg/kg
56.關於乳牙內縮性鬆脫(intrusive luxation)的敘述,下列何者錯誤? (A)易發生於三歲之前 (B)若乳牙根尖內縮方向朝向舌側,對恆牙牙胚較易造成傷害 (C)應立即予以復位及固定(reposition and fixation) (D)若發現乳牙內縮侵入恆牙牙胚位置,應將乳牙拔除
57.下列何者是身體保護束縛(protective stabilization)的使用時機? (A)在束縛下完成多次非緊急之牙科處置 (B)需要立即之牙科檢查及診斷 (C)患者因全身性系統疾病在束縛下有安全上之疑慮 (D)患者之前有被束縛之經驗並造成心理之創傷
58.和無行為能力/心智缺陷孩童溝通時,下列那項原則不合適? (A)使用負向增強法(negative reinforcement) (B)用開放式的問題和孩童溝通 (C)指令儘量簡短、步驟簡單 (D)圖畫書式的事前演練有助孩童進入狀況
59.下列何者不是唐氏症患者常見提高致死率的原因? (A)心臟缺陷 (B)白血病 (C)上呼吸道感染 (D)慢性腎臟疾病
60.關於視障患者看牙的注意事項,下列敘述何者錯誤? (A)視障兒童有時會有自我刺激行為,像是彈手指或是撞頭的行為 (B)視障患者門牙常會有撞斷或是牙齦發炎的情形 (C)在治療前要詳細介紹器械,並說明診間內之設置,最好每次都使用同一診間 (D)視障患者因視力發育或構造異常等因素,通常不會畏光
61.某研究使用口腔黏膜病變篩檢試劑,針對甲社區的民眾進行調查。若此試劑的敏感度 (sensitivity)為85%、特異度(specificity)為95%,且已知甲社區的口腔黏膜病變盛行率為 1%,下列敘述何者正確? (A)該試劑的偽陽性率(false positive rate)為15% (B)該試劑的偽陰性率(false negative rate)為5% (C)若某位民眾的檢測結果為陽性,則其有口腔黏膜病變的機率約為100% (D)若某位民眾的檢測結果為陰性,則其沒有口腔黏膜病變的機率約為100%
62.若欲檢定4個地區學生的口腔保健識能測驗(OHL)得分平均值是否不同,假設OHL得分接近常態分 布,應使用下列何種統計方法? (A)卡方檢定(Chi-square test) (B)雙樣本 t 檢定(2-sample t test) (C)變異數分析(ANOVA) (D)克拉斯卡-瓦立斯檢定(Kruskal-Wallis test)
63.2009年英國衛生部門(Department of Health, England)發行之實證口腔保健指引(Delivering Better Oral Health:An Evidence-Based Toolkit for Prevention),明列3~6歲之兒童刷牙之 時機,為下列何者? (A)起床後 (B)早餐後 (C)午餐後 (D)晚上睡覺前
64.在公共衛生上推動窩溝封劑(dental sealant)預防齲齒的敘述,下列何者錯誤? (A)兒童填補窩溝封劑後,可在口水中偵測到雙酚A(bisphenol A),故引起健康疑慮 (B)與預防恆牙齲齒相較,窩溝封劑對於預防乳牙齲齒的效果較不明確 (C)填補窩溝封劑後的成功率和其保留率(retention rate)有關 (D)窩溝封劑是兒童雙酚A(bisphenol A)暴露的主要來源
65.根據口腔癌的流行病學調查顯示,在我國其好發部位除舌頭外,何處亦是常發生的部位? (A)牙齦 (B)頰黏膜 (C)腭部 (D)唇
66.狄恩指數(Dean’s index)為觀察氟斑齒病灶(fluorotic lesions)嚴重程度時的常用指標,當牙齒表面有25~50%白色斑點分布,則會被歸類為那一等級? (A)疑似 (B)輕微 (C)中度 (D)重度
67.「推廣民眾使用含氟牙膏以預防齲齒」是屬於下列何種疾病預防策略? (A)High-risk individual approach (B)High-risk population approach (C)Targeted population approach (D)Whole population approach
68.關於衛生教育的敘述,下列何者錯誤? (A)口腔衛生教育也是衛生教育的一部分 (B)教育不能獨立於日常生活以外 (C)衛生教育的參與者是指公共衛生醫師及牙醫師 (D)口腔衛生教育的最終目的在養成良好的口腔衛生習慣及健康行為
69.下列何者不是健康信念模式(health belief model)的修飾因素(modifying factors)? (A)對某疾病威脅性的認知 (B)同儕的壓力 (C)年齡或性別的差異 (D)採取健康行動的可能性
70.在進行國小衛教前先以問卷方式調查學童的口腔衛生知識、態度,依據健康教育診斷模式PRECEDE- PROCEDE模式,是屬於何階段的診斷內容? (A)社會診斷 (B)流行病學、行為與環境診斷 (C)教育與組織診斷 (D)行政與政策診斷
71.依據世界衛生組織的「口腔健康檢查基本方法」進行齲齒檢查時,下列何者不能記錄為牙冠齲齒 (carious crown)? (A)下陷性牙釉質(undermined enamel) (B)有暫時性的填補物(temporary filling) (C)做過窩溝封填但又發生齲蝕(sealed but decayed) (D)有白色斑點(white or chalky spots)
72.針對國小學童的齲齒嚴重度調查,下列指數何者最適宜? (A)DMFT index (B)CPI (C)OHI (D)PI
73.目前已被發現的肝炎中,何者並非主要以「血液媒介」的方式感染? (A)A型肝炎 (B)B型肝炎 (C)C型肝炎 (D)D型肝炎
74.關於我國口腔健康特性的敘述,下列何者正確? (A)我國口腔健康實證研究的基礎堅實 (B)民眾會積極參與口腔健康計畫 (C)口腔衛生人力分布具城鄉差距 (D)近十年,我國12歲學童的恆牙齲齒經驗指數(DMFT index)低於全球平均值
75.關於口腔照護相關非政府組織(non-governmental organization, NGO)的成立,下列敘述何者錯 誤? (A)服務對象可以是特定對象,例如:特殊需求者 (B)以「利己」為初衷,必須先瞭解自己本身能提供的服務內容 (C)口腔健康的教育學習、口腔健康的推廣也屬於其中一環 (D)服務內容通常不會直接給予服務對象金錢
76.關於泛自閉症障礙(autistic spectrum disorder)者的牙科治療應注意事項,下列敘述何者錯誤? (A)其口腔衛生狀況,取決於病人本身或主要照顧者是否妥善照顧 (B)傳統 tell、show、do並不足夠,必須再增加tell、show、「feel 」、do才足夠 (C)要注意病人突然動作所造成的傷害與局部麻醉以後嘴唇的咬傷 (D)要集中病人的注意力於治療上,以避免治療時產生恐懼或異常舉動
77.關於腦性麻痺(cerebral palsy)病人常見的口腔特徵,下列敘述何者錯誤? (A)念珠菌症(candidiasis) (B)流涎(drooling) (C)安格氏第二類咬合不正(Angle’s class II malocclusion) (D)磨牙與不正常的牙齒咬耗(bruxism and abnormal attrition)
78.我國的身心障礙鑑定制度自民國101年7月起已更改為依據「國際健康功能與身心障礙分類系統 (International Classification of Functioning, Disability and Health - ICF)」來執行, 對於ICF新制(8類)與舊制(16類)的身障類別鑑定內容,下列敘述何者錯誤? (A)舊制由醫師鑑定後核發手冊,新制則由醫療及社工團隊共同評估後核發身障證明 (B)不論新舊制,身心障礙證明仍列輕、中、重及極重度,依不同等級而有不同之福利措施 (C)舊制除醫療鑑定外,再加上需求評估,新制只做醫療鑑定 (D)舊制以身體結構、功能為鑑定依據,新制除原有內容外另再增加社會參與及環境鑑定
79.依醫師法規定,關於醫師提供病人醫療服務的規定,下列敍述何者錯誤? (A)醫師對於危急之病人,應即依其專業能力予以救治或採取必要措施,不得無故拖延 (B)醫師如無故拖延危急病人之處置,會處以徒刑及罰鍰處分 (C)無故拖延危急病人之處置會受新臺幣2萬元以上10萬元以下罰鍰處分 (D)將醫師證書租借他人使用,情節重大者得廢止其醫師證書
80.美國牙醫學會(ADA)在常見的醫療倫理(Principles of medical ethics)四原則外,又增加了 下列那一項原則? (A)不傷害(nonmaleficence) (B)尊重自主(autonomy) (C)誠信(veracity) (D)公平正義(justice)