所屬科目:牙醫學(六)(包括齒顎矯正學、兒童牙科學、牙科公共衛生學等科目及其相關臨床實例與醫學倫理)
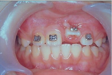
14.如圖所示,左上正中門齒延遲萌出(delayed eruption),將該牙手術暴露黏上矯正器後,下列何種矯正牽引的方式最為適合? (A)使用14 mil NiTi 圓線放入所有有黏矯正器的牙齒,含左上正中門齒 (B)使用16 × 22 mil不鏽鋼角線放入所有有黏矯正器的牙齒,含左上正中門齒 (C)使用16 × 22 mil不鏽鋼角線放入其他矯正器,並使用14 mil NiTi 圓線牽引左上正中門齒 (D)使用14 mil NiTi圓線放入其他矯正器,並使用16 × 22 mil不鏽鋼角線牽引左上正中門齒
26.在使用T型環(T-loop)協助扶正向前傾倒之第二大臼齒時,兩圖中使用不同的配置,下列敘述何者正確? (A)圖1中的第二大臼齒扶正後主要會發生牙根向前方移動 (B)圖2中的第二大臼齒扶正後主要會發生牙根向前方移動 (C)圖1和圖2中的第二大臼齒扶正後牙冠的位置都會向前移動 (D)圖1和圖2中的第二大臼齒扶正後近心頰側牙尖的高度都會和現在相同
42.5歲半兒童上顎門齒因為齲齒而缺失(如下圖),下列敘述何者錯誤?①需要製作空間維持器 ②需要製作 固定或活動式義齒(fixed or removable prosthetic appliance) ③需要哈立固定器給予治療(Hawley appliance) (A)僅① (B)僅①② (C)僅②③ (D)①②③