所屬科目:牙醫學(六)(包括齒顎矯正學、兒童牙科學、牙科公共衛生學等科目及其相關臨床實例與醫學倫理)
1.關於人類臉部生長的胚胎起源,下列敘述何者正確? (A)臟顱骨(splanchnocranium)生長的起源來自第一腮弓(1st branchial arch) (B)臟顱(viscerocranium)的成骨方式為軟骨內生骨(endochondral bone formation) (C)下顎髁(condyle)為顱顏面唯一的原發性軟骨(primary cartilage) (D)口腔的發育與下顎咬合肌肉的功能無關
2.在成人中,下列何種腺體功能異常的時候,最易出現Angle Class Ⅲ咬合異常的情況? (A)甲狀腺(thyroid gland) (B)腎上腺(adrenal gland) (C)腦下垂體(pituitary gland) (D)副甲狀腺(parathyroid gland)
3.關於上顎骨的生長發育,下列敘述何者正確? (A)一直到12歲左右,顱底的生長(cranial base growth)一直扮演著推動上顎骨往前生長的重要角 色 (B)顏面部軟組織的生長會引導上顎骨往前下合併骨縫生長(suture growth) (C)隨著上顎骨往前下生長,上顎骨的前表面(anterior surface)會有較多的骨沉積 (D)腭(palate)除了伴隨上顎一起往前下生長,還同時合併有口頂面(roof of mouth)的骨吸收
4.關於組織生長的敘述,下列何者錯誤? (A)軟組織的生長是肥大(hypertrophy)與增生(hyperplasia)的組合 (B)軟組織生長的結果屬於間質生長(interstitial growth) (C)軟組織的生長是以肥大(hypertrophy)為主,增生(hyperplasia)為輔 (D)軟組織及未礦化軟骨的特點是間質生長(interstitial growth)
5.有關成人矯正治療計畫的訂定,下列敘述何者錯誤? (A)病人應參與決策(decision-making)過程 (B)在倫理道德方面,病人可參與治療 (C)矯正的治療應考慮病人的主訴及意願 (D)知情同意書(informed consent)裏應避免將病人牽扯在治療訂定的過程中
6.下列何者不是側面輪廓分析(profile analysis)的主要目的? (A)評估上下顎骨在前後空間平面(anteroposterior plane of space)的相關位置 (B)評估嘴唇位置以及門齒突出程度(incisor prominence) (C)評估顏面垂直比例與下顎平面角(mandibular plane angle) (D)評估橫向咬合平面傾斜(transverse occlusal plane canting)程度
7.建立病患的問題表(problem list)時,下列敘述何者錯誤? (A)問題表將病患的病理性(pathologic)問題與發育性(developmental)問題分開 (B)Ackerman-Proffit 分類法主要將牙齒的病理性問題分成五大類 (C)最好是能將問題表列的問題量化 (D)完成問題表時,病患的診斷就大致完成了
8.下列那一條參考線通常會與病患站立放鬆時的真實的水平線平行? (A)Sella-Nasion plane (B)Porion-Orbitale plane (C)下顎平面(mandibular plane) (D)咬合平面(occlusal plane)
9.關於功能性矯正裝置的敘述,下列何者錯誤? (A)Herbst appliance 屬於passive tooth-borne (B)Bionator with expansion screws屬於active tooth-borne (C)Frankel appliance屬於tissue-borne (D)Hybrid functional appliance多用於治療成年人顎骨不對稱的病人
10.關於骨性二級咬合患者齒顎矯正治療後的維持(retention)之敘述,下列何者錯誤? (A)二級咬合患者因下顎後縮,下顎前牙較不會被嘴唇壓力影響 (B)局部牙周組織及牙齦纖維將影響牙齒短期(short-term)的穩定 (C)上下顎的生長差異(differential jaw growth)將影響牙齒長期(long-term)的穩定 (D)過度矯正(overcorrection)咬合關係是減少二級咬合復發(Class Ⅱ relapse)的方式
11.關於齒顎矯正患者治療後的維持(retention)之敘述,下列何者錯誤? (A)經過固定式矯正裝置治療後的患者建議必須配戴維持器 (B)矯正器拆除後的3到4個月必須全天(full-time)配戴維持器 (C)固定式維持器(fixed retainer)設計時,最好能有足夠的彈性(flexible)讓個別牙齒有承受咬 合力的位移 (D)生長期患者之早期矯正較能讓齒列穩定,較成年人患者更不需擔心下顎前牙擁擠復發的問題
12.關於隱形矯正(clear aligners)的敘述,下列何者錯誤? (A)前身起源於1940年代的牙齒定位器(positioner) (B)常配合鄰接面修型(inter-proximal reduction)來排列牙齒 (C)為工廠客製化數位排牙(teeth digitally reset)設計製作,無法在診所自製 (D)可加入導引裝置(premade guide),幫助患者肌肉功能健全發展(myofunctional development)
13.當恆牙第二小臼齒先天性缺牙(congenital missing),若要讓恆牙第一大臼齒前移自動關閉此空 間,最適當拔除乳牙第二大臼齒的時機為下列何者? (A)7~9歲 (B)10~12歲 (C)13~15歲 (D)16~18歲
14.下列何者為循序拔牙法(serial extraction)的最佳適應症? (A)一級骨性關係且單顎牙弓空間缺乏超過10 mm (B)一級骨性關係且單顎牙弓空間缺乏為5~9 mm (C)二級骨性關係且單顎牙弓空間缺乏超過10 mm (D)二級骨性關係且單顎牙弓空間缺乏為5~9 mm
15.兒童因吸指癖習造成的前牙開咬,下列何種治療方法屬於提醒用裝置(reminder)?①手指纏繃帶 (bandage) ②唇擋(lip bumper) ③上顎舌側柵(Lingual crib) (A)僅①② (B)僅①③ (C)僅②③ (D)①②③
16.關於下顎舌側弓線的敘述,下列何者錯誤? (A)適用於後牙段多顆乳牙缺失 (B)一般而言,舌側弓線與第二乳臼齒或第一恆臼齒的環帶相接 (C)舌側弓線距離軟組織應有2 mm以上的距離 (D)舌側弓線失敗,通常是由於銲接脫落和銲接處折斷
17.12歲男童,經口內檢查發現有前牙錯咬(anterior crossbite)的狀況,下列處置方式何者不適 當? (A)安排測顱 X光檢查,釐清是否為上下顎骨的生長發育問題 (B)先臨床檢查是否有功能性偏移(functional shift) (C)經檢查若是上顎生長不足,且下顎生長正常,可使用面罩(facemask)治療 (D)經檢查若是上顎生長正常,但下顎生長過多,可使用上顎撐寬裝置
18.使用Frankel's-Ⅲ功能性矯正裝置(functional appliance)來治療第三級咬合異常(class Ⅲ malocclusion),比較治療前後的側面測顱疊放(superimposition),下列敘述何者正確? (A)治療後上顎前牙向舌側移動 (B)治療後上顎後牙向下萌出或下顎後牙向上萌出 (C)治療後上顎骨顯著的向前向下旋轉 (D)治療後下顎骨顯著的向前向上旋轉
19.製作活動式功能性矯正裝置(removable functional appliance)治療下顎過短的敘述,下列何者 錯誤? (A)印模時要清楚印出裝置需延伸範圍的軟組織 (B)咬合紀錄(bite)建議下顎前移量4~6 mm,垂直張口量3~4 mm (C)若進行下顎前移量每次2~3 mm少量多次的移動,無法達成下顎生長效果 (D)長臉型患者建議增加咬合紀錄(bite)的垂直張口量
20.使用全口18-系統的edgewise矯正器治療咬合不正,下列何者是最不適合的初始排齊(initial alignment)超彈性鎳鈦(nickel-titanium)矯正弓線? (A)18 mil(0.018 inch) (B)16 mil(0.016 inch) (C)14 mil(0.014 inch) (D)12 mil(0.012 inch)
21.使用環線力學(loop mechanics)關閉拔牙空間時,下列敘述何者錯誤? (A)通常使用方線 (B)需考慮牙齒移動時的摩擦力 (C)通常需做45度的山形彎折(gable bend) (D)關閉拔牙空間設計約每個月達到1 mm左右
22.於18 mil溝槽(slot)的矯正器置放16 × 16 mil的矯正弓線,其游隙(play)約為幾度? (A)30.9 (B)10.9 (C)4.1 (D)1.0
23.下列何者最不適合用來作為前牙開咬(anterior open bite)矯正治療後的維持器(retainer)? (A)Hawley維持器合併前牙咬合板(anterior bite plate) (B)Hawley維持器合併後牙咬合塊(posterior bite block) (C)高拉式頭套(high-pull headgear) (D)透明維持器(clear retainer)
24.上顎前牙用繞道型矯正弓線(bypass archwire)壓入(intrusion),會產生那些副作用? (A)臼齒壓入(intrusion)且前牙往前傾斜(tip forward) (B)臼齒挺出(extrusion)且前牙往前傾斜(tip forward) (C)臼齒壓入(intrusion)且前牙往後傾斜(tip backward) (D)臼齒挺出(extrusion)且前牙往後傾斜(tip backward)
25.正顎手術合併矯正治療手術後,如須進行第二次正顎手術,較不可能的原因為下列何者? (A)術後的早期復發(early relapse) (B)不利的手術切線(unfavorable cut) (C)病人對結果不滿意 (D)術後感染
26.關於齒槽骨分段手術(repositioning alveolar segments)的敘述,下列何者錯誤? (A)較佳的分段手術,距離是3顆牙或3顆以上 (B)以單顆牙齒分段手術,後續較容易出現問題 (C)根尖下截骨術會切斷這區域連接至牙髓的神經 (D)這一區段的牙齒大部分都要根管治療
27.關於骨性錨定應用於成人矯正的敘述,下列何者錯誤? (A)通常上顎牙弓可以後退2~4 mm (B)上顎後牙壓入1 mm可關閉2~3 mm的前牙開咬 (C)壓入後牙來關閉前牙4 mm的開咬只需要1個月的時間 (D)牙周病患者在前牙壓入時有可能導致牙周囊袋的加深
28.困難處理的病患(difficult patient)中,下列何者不是「別有居心的拒絕協助」病患 (manipulative help-rejecter)之特徵? (A)在情緒上有難以壓抑的需要 (B)求診的目的在於治療 (C)強烈希望參與所有醫療決定 (D)向醫師要求定時回診
29.關於兒童與青少年看診的行為管理,下列敘述何者正確? (A)對於有不良牙科經驗的兒童,在治療之前要儘可能地收集先前的就診經驗及相關資訊,直接訪談兒 童是個不錯的方式 (B)學齡前的兒童因理解力有限,看診時不須溝通或事前解釋 (C)正常青少年的患者可視為成人,其牙科看診行為不受情緒影響 (D)對於未滿3歲的幼兒可用「膝對膝(knee to knee)」的方式進行口腔檢查
30.關於上顎前牙局部麻醉的敘述,下列何者錯誤? (A)乳前牙的唇側注射處較恆牙接近marginal gingiva (B)拔上顎乳門齒時nasopalatine nerve injection就能充分麻醉前腭側 (C)恆牙的牙根尖約略位於mucobuccal fold之等高處,也是麻醉注射處 (D)正中門齒的神經支配一部分來自對側,所以對側神經也需要注射才能充分麻醉
31.20公斤的兒童預計注射2% Xylocaine局部麻醉藥來拔牙,最多可打幾管? (A)2管 (B)3管 (C)4管 (D)5管
32.關於局部麻醉的敘述,下列何者錯誤? (A)梅必卡因(Mepivacaine)的起始作用時間(onset time)比阿替卡因(Articaine)快 (B)局部麻醉藥的效力,取決於其脂溶性的高低 (C)體重15kg兒童的2%利度卡因(Lidocaine)+1:100,000腎上腺素(Epinephrine)麻醉藥的最大容 許量大約2管 (D)利度卡因(Lidocaine)的麻醉維持時間比阿替卡因(Articaine)稍微長
33.關於看診時親子隔離(parent-child separation)方式的敘述,下列何者錯誤? (A)在過去的年代,比較不希望家長進入牙科診間 (B)近來,家長積極參與兒童的健康照護,希望可以在診間陪伴小孩 (C)優點是可減少家長的干預,並增加牙醫與兒童的互動 (D)在門診視情況需要應即執行親子隔離,無需先與家長溝通
34.關於乳前牙的樹脂填補,下列敘述何者錯誤? (A)當犬齒與第一乳臼齒有鄰接面接觸(proximal contact)時,犬齒的遠心處常見齲齒發生 (B)乳犬齒遠心處窩洞修型時,常在頰舌側加上dove tail,增加固位性(retention) (C)上顎乳門齒鄰接面窩洞修型時,常在頰舌側加上 dove tail ,增加固位性( retention) (D)五歲孩童的下顎乳門齒鄰接面齲齒,仍需進行窩洞修型及樹脂填補
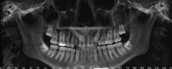
35.5歲男童因右下牙痛求診,拍攝之放射線影像如圖所示;先注射2% lidocaine with 1:100,000 epinephrine後開始後續處置,下列何者錯誤? (A)第一乳臼齒不宜施行活髓治療(vital pulp therapy) (B)第一乳臼齒可考慮拔除 (C)第一乳臼齒牙根吸收非生理性現象 (D)該麻醉藥物的最大劑量是6.0 mg/kg
36.根據美國兒童牙科醫學會對兒童早發性齲齒(early childhood caries)及嚴重早發性齲齒 (severe early childhood caries)的定義,下列敘述何者正確? (A)3歲10個月的小男孩,左下及右下第一乳臼齒各有一咬合面齲齒,應定義為嚴重早期兒童齲齒 (B)人類母乳的糖分含量比牛奶高,餵食母乳的嬰兒也有罹患早發性齲齒的風險 (C)早發性齲齒通常侵犯上顎乳門齒,嚴重早發性齲齒通常侵犯上顎乳門齒及下顎乳犬齒 (D)多數兒童睡著時會流很多口水,因此孩童睡著時奶垢會被大量口水清除,降低齲齒機會
37.關於molar-incisor hypomineralization(MIH)的敘述,下列何者錯誤? (A)根據Tagelsir等人研究,盛行率約14% (B)受影響的牙齒會有琺瑯質缺損,或有白色、黃色、褐色的斑塊在牙齒表面 (C)根據Tagelsir等人研究發現,通常在恆門齒上發現,有時也會在第一大臼齒上發生 (D)如果齒質缺損嚴重,可使用不銹鋼牙冠或玻璃離子複合物材料當作暫時性復形物
38.關於氟化物預防齲齒的機轉,下列敘述何者正確?①促進牙齒表面的再礦化(remineralization) ②增強牙菌斑內的糖分解作用(glycolysis) ③形成更具抗酸能力的氟磷灰石 (fluorohydroxyapatite) ④增加口水的分泌量以及緩衝能力 (A)①③ (B)②④ (C)②③ (D)①④
39.關於齲齒形成的過程,下列何者正確?①牙齒最具抗酸能力的部分是琺瑯質最外層 ②牙齒剛開始 去礦化(demineralization)時,病灶會發生在琺瑯質內部、離表面約100~150µm處 ③氟化物不 能制菌,但在氟離子唾液中有幫助再礦化(remineralization)的功能 ④琺瑯質內部剛開始去礦 化時,如果琺瑯質表面還是完整的,牙齒還有機會進行再礦化、修復損傷 (A)①②③ (B)②③④ (C)①④ (D)僅①③
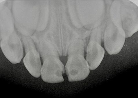
40.3歲男童因牙齒缺損及變色前來求診,拍攝放射線影像如圖示,下列敘述何者正確? (A)左側上顎正中乳門齒發生牙根內吸收 (B)左側上顎正中乳門齒牙冠應呈粉紅色 (C)此案例牙根吸收的原因可能是外傷 (D)此案例的診斷為根管堵塞(obliteration)
41.為了預防兒童嚴重早發性齲齒(severe early childhood caries, S-ECC),最好於嬰幼兒多大時 開始第一次檢查牙齒? (A)0~5個月 (B)6~12個月 (C)13~18個月 (D)19~24個月
42.關於兒童在混合齒列時,常發生下顎乳犬齒提早掉落的敘述,下列何者錯誤? (A)可能是下顎恆側門齒異位萌發造成 (B)通常與牙齒大小和牙弓大小不協調(tooth size-arch size discrepancy)有關 (C)可能造成中線的偏移 (D)應拔除對側下顎乳犬齒,以避免後續矯正治療
43.有關下圖上顎恆犬齒的敘述,下列何者正確? (A)正確診斷為上顎恆犬齒轉位(transposition) (B)此時拔除右上乳犬齒,有助於改變恆犬齒的萌發方向 (C)此時拔除恆犬齒為最適合的選擇 (D)錐狀束電腦斷層(CBCT)可以輔助診斷及決定治療方式
44.下列何者不是顱底(cranial base)的軟骨聯合(synchondrosis)? (A)interoccipital synchondrosis (B)spheno-ethmoidal synchondrosis (C)intersphenoid synchondrosis (D)spheno-occipital synchondrosis
45.最常見的乳牙萌牙順序為下列何者? (A)A-B-C-D-E (B)A-B-D-C-E (C)A-B-E-C-D (D)A-B-D-E-C
46.在評估乳牙過早脫落對兒童的牙弓發育影響時,上顎第一恆大臼齒通常往那個移動方向較多? (A)牙冠向遠心移動(distal movement) (B)牙冠向近心移動(mesial movement) (C)牙冠向頰側移動(buccal movement) (D)牙冠向舌側移動(lingual movement)
47.下列何種情況最適合進行空間重獲、序列性拔牙或全口矯正治療? (A)當沒有永久繼生齒(permanent successor)時 (B)每象限空間不足小於1~2 mm時 (C)當每個象限的牙弓長度差異為2~3 mm或更多時 (D)當患者有贅生齒病史時
48.安格式(Angle classification)不正咬合分類,主要根據下列何者定義? (A)牙齒的排列 (B)患者的面部類型(facial type) (C)上下第一大臼齒的咬合關係 (D)上下顎骨的骨骼關係
49.關於上顎恆犬齒阻生的敘述,下列何者錯誤? (A)男生比女生常見 (B)腭側阻生的原因可能是犬齒區空間過剩 (C)有可能會造成相鄰恆側門齒的牙根吸收 (D)孩童10~11歲時,如果摸不到犬齒鼓起(buccal bulge),需要進一步檢查及評估恆犬齒的位置
50.下列何者為感染性心內膜炎(infective endocarditis)最主要造成的起始因子? (A)慢性心臟病 (B)暫時性菌血症 (C)口腔衛生習慣 (D)人工心臟瓣膜
51.牙科處置最好至少在心臟手術多久前完成? (A)3到4週 (B)3個月內 (C)半年內 (D)1年內
52.關於A型及B型血友病的敘述,下列何者錯誤? (A)嚴重患者,每月約出血2~4次 (B)中度患者,每月約出血1次 (C)輕度患者,不常出血,但手術或受傷後會流血不止 (D)前凝血質(procoagulant)水準應在50%以下
53.關於牙齒外傷後發生牙髓根管鈣化阻塞(pulp canal obliteration)的敘述,下列何者錯誤? (A)多數的乳牙在牙髓根管鈣化後都需要做牙髓治療 (B)在臨床上牙髓根管鈣化常常可以見到牙齒顏色變色 (C)常由於造牙本質細胞(odontoblasts)活動力增強,牙本質加速沉積形成 (D)乳牙外傷後產生牙髓根管鈣化,牙根仍可進行生理性吸收
54.乳牙外傷常發生脫位(luxation)的機率比恆牙高之原因,下列何者錯誤? (A)齒槽骨內血管較多 (B)齒槽骨較為鬆軟 (C)牙根/牙冠比(root/crown ratio)大 (D)幼兒因吸奶嘴造成上乳門牙比較前突
55.關於恆牙外傷發生內縮(intrusion)的敘述,下列何者錯誤? (A)與類似程度的乳牙內縮相比,恆牙內縮的預後較差 (B)常發生牙根快速吸收、牙髓壞死或是牙根沾黏(ankylosis) (C)根尖閉合的恆牙內縮,通常需要根管治療 (D)根尖閉合的恆牙內縮少於3 mm,須立刻以外力萌出避免沾黏(ankylosis)
56.關於預防牙齒外傷的敘述,下列何者錯誤? (A)可以使用防護護齒套(protective mouthguards),厚度至少要5 mm,才有足夠保護力 (B)有預製的(prefabricated)護齒套,價格比客製化護齒套便宜,但不需要印模比較方便 (C)有客製的(custom-made)護齒套,較貼合、舒適度高,亦可使用數位掃描的方式製作客製的護齒 套 (D)根據Kapnik JJ學者2007年的研究發現,沒有戴護齒套的人其口腔顏面外傷風險是有戴護齒套的人 之1.6~1.9倍
57.關於自閉症患者的敘述,下列何者錯誤? (A)30%自閉症患者可能會有癲癇的情形 (B)自閉症患者在肌肉張力及協調能力等動作方面,一般來說和正常人沒有差別 (C)自閉症患者主要是在社交、溝通及學習上有極大之困難與障礙 (D)自閉症患者因缺乏自我照護能力,因此很容易有蛀牙產生
58.關於氣喘患者看牙注意事項,下列敘述何者錯誤? (A)氣喘在兒童之發生率約為1/10 (B)若氣喘在不穩定的狀況,建議先不接受牙科處置 (C)支氣管擴張劑可在牙科治療前及治療中使用 (D)不建議使用笑氣來去除焦慮
59.關於腦性麻痺患者的敘述,下列何者錯誤? (A)腦性麻痺嬰幼兒患者頸部會有強直反射(tonic neck reflex) (B)早產兒與腦性麻痺有很高的相關性 (C)屬於僵直型之腦性麻痺患者約占了70% (D)腦性麻痺患者通常視力與聽力是正常的
60.在他人協助下可以完成穿衣、清潔等工作之智能障礙患者,其嚴重度最高為下列何者? (A)輕度智能障礙 (B)中度智能障礙 (C)重度智能障礙 (D)極重度智能障礙
61.研究人員想要探討某種藥物是否為造成患者骨壞死的原因,下列何者為最經濟且省時的研究設計? (A)橫斷型研究 (B)實驗型研究 (C)病例對照研究 (D)世代研究
62.有關臨床試驗(clinical trial)之敘述,下列何者正確?①「雙盲(double-blind)設計」是必 備的條件 ②參加試驗者有隨時可退出試驗的權利 ③對照組不能接受任何有效的治療 ④「隨機分配(random allocation)」可能使實驗組與對照組具有相似的人口學特徵 (A)①④ (B)②④ (C)②③ (D)①③
63.某病例對照研究(case-control study)的結果顯示:喝很多酒(相對於沒有喝酒)和口腔癌前病 變的勝算比(odds ratio)為3.1,喝一些酒(相對於沒有喝酒)和口腔癌前病變的勝算比為1.8, 且在統計上皆有顯著意義。下列敘述何者正確? (A)喝酒可以預防口腔癌前病變的發生 (B)有喝酒者比沒有喝酒者較易有口腔癌前病變 (C)有口腔癌前病變者比沒有口腔癌前病變者較少喝酒 (D)喝酒和口腔癌前病變之間沒有劑量反應(dose-response)關係
64.在公共衛生上推動氟化物防齲,其適用對象,下列何者正確? ①飲水加氟:所有年齡層 ②食鹽 加氟:僅適用於65歲以下者 ③含氟漱口水:學齡前兒童 ④含氟牙膏:所有年齡層 (A)僅①③④ (B)僅①④ (C)僅②④ (D)①②③④
65.飲水加氟的防齲效益在牙齒發育的那個階段最有效? (A)分化期 (B)鈣化期 (C)增生期 (D)萌出期
66.有下列狀況之牙齒,何者非窩溝封劑使用時機? (A)瀰漫性齲齒 (B)形態較易引起咬合面齲蝕 (C)剛萌出不久但尚未發生齲蝕 (D)有較深且窄的小窩裂溝之健康牙齒
67.在口腔衛生計畫的相關執行步驟中,下列何種任務工作的規劃是為確定計畫推動的可行性、被接受 度及預防不可預期之失控狀況發生? (A)預算的編列 (B)人力的編組 (C)先期的預試 (D)選樣的對象
68.下列有幾項是屬於齲齒預防中的初段預防(primary prevention)?①飲食控制 ②飲水加氟 ③齲齒填補 ④臼齒窩溝封填 (A)1項 (B)2項 (C)3項 (D)4項
69.下列何者為社會學習理論(social learning model)中,關於「自我效能(self-efficacy)」的 詮釋? (A)評估自己執行某項行為的信心程度 (B)相信自己執行完某項行為後會發生的預期結果 (C)透過目標管理來達成自己設定的健康行為 (D)觀察別人行為的結果來決定自己是否執行該行為
70.某大學生覺得周遭的好朋友們都很在乎他的口臭,認為他應該戒菸,此想法為理性行動理論 (theory of reasoned action)中的何種概念? (A)行為(behavior) (B)主觀規範(subjective norm) (C)行為意向(behavioral intention) (D)對行為的態度(attitude toward the behavior)
71.世界衛生組織在2013年的「口腔健康檢查-基本方法」第五版中建議口腔檢查時須使用CPI (community periodontal index)探針,其主要的原因為下列何者? (A)CPI探針C型的尖細前端適合探測鄰接面和咬合面齲齒 (B)CPI探針C型的尖細前端可輕易探測潛在性齲齒 (C)CPI探針0.5mm直徑的圓球前端可幫助田野流行病學調查中未治療齲齒的判讀 (D)CPI探針0.5mm直徑的圓球前端可幫助探測牙齒腐蝕(dental erosion)的情形
72.根據世界衛生組織(WHO)2013年出版的口腔健康調查基本方法(Oral health surveys, basic methods)第五版標準,下圖箭頭所指的牙齒,其牙齒狀況應記錄為何? (A)健康(sound) (B)齲蝕(caries) (C)外傷(trauma) (D)不予記錄(not recorded)
73.在實施牙科感染控制的原則與作法中,下列何者屬於避免血液、唾液及分泌物之接觸的實施作法? (A)時常洗手 (B)接種疫苗,增加抗體 (C)個人防護具之穿戴 (D)詳細問診,過濾患者
74.下列何項與全民健康保險中的「保險人」無關? (A)提供保險醫療給付 (B)支付診療報酬 (C)繳納掛號費 (D)統一管理運用保險費
75.在臺灣,30歲以上有嚼食檳榔或吸菸習慣者,可以獲得政府提供的何種口腔預防保健服務? (A)每2年1次的口腔黏膜檢查 (B)加氟鹽 (C)牙齒塗氟 (D)牙周統合照護計畫
76.關於精神疾病病人的牙科口腔照護,下列敘述何者錯誤? (A)由於精神疾病新一代藥物使得大多數病人病情得到有效控制,牙科醫師可能會接觸到病情穩定回歸 社區的精神疾病病人 (B)牙醫師需要了解精神疾病病人的分類診斷、症狀、生理病理特徵及常用抗精神病藥物之藥理作用, 來幫助精神疾病病人的牙科口腔照護 (C)鼓勵憂鬱症病人充實口腔保健知識與技能,做好自我照顧,是可行有效的 (D)主要是解決因精神疾病症狀與藥物副作用,造成口腔衛生不良,進而發展成廣泛性齲齒和牙周疾病
77.腦性麻痺(cerebral palsy)患者在牙科就診過程的處理原則,下列敘述何者正確? (A)為了減少患者來診次數,每次治療可容許較長時間 (B)為了減少病人從輪椅移動到牙科治療椅時的跌倒風險,可容許在輪椅上實施牙科治療 (C)為了減少牙醫師的職業傷害,建議讓病人採取水平姿勢 (D)為了確保口腔清潔,治療時應用大量水清洗口腔
78.若病患有多重輕度系統疾病,或中度或嚴重單一系統疾病,疾病會限制其日常活動,是屬於美國麻 醉醫學會(ASA)生理狀態分級系統的那一級? (A)Ⅰ (B)Ⅱ (C)Ⅲ (D)Ⅳ
79.依醫師法第12條規定,醫師執行業務應製作病歷,下列敘述何者正確? (A)病歷首頁記載病人姓名、出生年、月、日即可 (B)若發生醫療糾紛,可在病人複製病歷前,儘快補述病歷內容以維護自身權益(C)病歷或紀錄如有增刪,應於增刪處簽名或簽章及註明年、月、日;刪改部分,應塗改去除,不得畫 線(D)病歷內容應載明下列事項:就診日期、主訴、檢查項目及結果、診斷或病名、治療處置或用藥等情 形、其他應記載事項
80.臺灣地區自民國82年進入「人口老化社會」,65歲以上人口比例達7%,高齡者身體健康狀態差異很 大,老年人對錯誤治療的承受度遠低於年輕人,區分出現之表徵是疾病造成還是正常老化對老年人 就非常重要,下列對老年人的敘述,何者正確?(A)營養不足為老年人常見現象,社區老年人有30~60%存在蛋白質攝取不足現象(B)肺功能60歲後退化加速,咳嗽功能及反射變差為老年人吸入性肺炎及慢性支氣管炎原因之一(C)骨質密度(bone mineral density, BMD)35歲開始骨質明顯流失,60歲以後男性流失的速度比女 性快(D)老化會改變牙菌斑的變化及微生物特性,牙菌斑內鈣與磷酸含量會隨年齡增高而下降,可能與唾液 內鈣及磷酸含量改變有關