阿摩線上測驗
登入
首頁
>
放射線診斷原理與技術學
> 101年 - 101-1 專技高考_醫事放射師:放射線診斷原理與技術學#36847
101年 - 101-1 專技高考_醫事放射師:放射線診斷原理與技術學#36847
科目:
放射線診斷原理與技術學 |
年份:
101年 |
選擇題數:
80 |
申論題數:
0
試卷資訊
所屬科目:
放射線診斷原理與技術學
選擇題 (80)
1.下列關於手腕部的Gaynor-Hart method,即carpal tunnel法的敘述何者正確? (A)為拍攝腕橋(carpal bridge)的方法 (B)手部需向橈骨側之盡力彎曲(deviation) (C)X光中心線需朝第三掌骨基部遠端2~3公分處射入 (D)X光管向腕骨長軸端打45度
2.下列何者為乳房壓迫之目的?①減少乳房厚度可減少散射 ②可使乳房構造貼近影像接受器,減 少乳房構造的放大率 ③減少乳房組織重疊,以減少解析度 (A)僅①② (B)①②③ (C)僅①③ (D)僅②③
3.下列何者為影響影像變形(distortion)的最主要因素? (A)mAs (B)kVp (C)焦斑尺寸(focal spot size) (D)中心線與被照體的對應關係(alignment)
4.此影像的照射方法為何?
(A)SMV(submentovertex)projection (B)Towne method (C)Caldwell method (D)Waters view
5.下列那二項攝影主要目的在觀察TMJ(temporomandibular joint)?①modified Law method ②Schuller method ③panorex ④modified Waters method (A)①② (B)①④ (C)②③ (D)③④
6.下列有關數位放射影像(computed radiography)的各項敘述,何者正確? (A)黑化度(optical density)在底片使用的系統中與數位影像的黑白對比(contrast)概念相同 (B)soft-copy是指可當作雲端傳遞的數位化影像,而hard-copy則是列印出來的影像 (C)曝露指數(exposure index)在某些儀器商訂為S值,S值越高代表曝光度越多 (D)訊雜比(signal-to-noise ratio)越高代表雜訊越高,影像品質越高
7.下列何者與拇指形成關節? (A)trapezium (B)trapezoid (C)capitate (D)hamate
8.消化道中下列何者較不具吸收水分的功能? (A)胃 (B)十二指腸 (C)小腸 (D)大腸
9.所謂伊克隆方法(Eklund method)是用來檢查下列何者? (A)眼窩內異物 (B)腸胃道出血 (C)經整形後的乳房 (D)加馬刀治療後的動靜脈畸形
10.進行前後位膝關節一般放射診斷攝影時,下列相關敘述何者正確? (A)影像中髕骨(patella)應該位於遠端股骨(distal femur)中央處 (B)攝影時應於腳踝縛以重物 (C)中心射束應朝向頭部15度 (D)足部應朝外旋轉10度
11.攝影胸腰椎脊柱側彎(scoliosis)影像時,下列敘述何者正確? (A)中心線向腳端打25度,射向臍部 (B)中心線向頭端打25度,射向臍部 (C)影像接受器(IR)下緣需低於iliac crest至少3~5公分 (D)患者宜吸飽氣後閉氣攝影
12.進行胸部一般放射診斷攝影時,欲使心臟與胸椎在影像中重疊部分最少,應使用下列何種方式? (A)AP lordotic projection (B)45° RPO position (C)45° LPO position (D)45° LAO position
13.診斷少量肋膜積水,採用何種姿勢最佳? (A)Trendelenburg position (B)Fowler's position (C)erect position (D)decubitus position
14.以open-mouth Waters method進行副鼻竇(paranasal sinuses)攝影時,其中那一個副鼻竇之 成像會在口腔中央出現? (A)額竇 (B)篩竇 (C)蝶竇 (D)上頷竇
15.下列何種栓塞物質最不適用於栓塞骨盆受傷之血管? (A)gelfoam (B)lipiodol (C)coils (D)detachable balloons
16.進行肝癌血管栓塞時,導管不需經過下列那條血管? (A)主動脈 (B)下腔靜脈 (C)腹腔動脈 (D)肝動脈
17.下列何種檢查屬於下泌尿道之功能性檢查? (A)逆行性尿路攝影(retrograde urography or pyelography) (B)逆行性膀胱攝影(retrograde cystography) (C)逆行性尿道攝影(retrograde urethrography) (D)排尿膀胱尿道攝影(voiding cystourethrography)
18.下列關於幼兒靜脈尿路攝影(intravenous urography)的敘述,何者錯誤? (A)檢查前需禁食固體食物4小時 (B)檢查前一日應給予瀉劑 (C)應儘量給予非離子對比劑 (D)檢查前應鼓勵喝足夠的水避免脫水
19.病人施行靜脈尿路攝影(intravenous urography)時,所採用之對比劑及施打路徑為下列何者? (A)靜脈注射含碘對比劑 (B)動脈注射含碘對比劑 (C)靜脈注射含釓對比劑 (D)動脈注射含釓對比劑
20.下列有關消化道攝影檢查鋇劑對比劑的敘述,何者最正確? (A)中密度鋇劑(75%~100% W/V)適用於單一對比大腸攝影檢查 (B)低密度鋇劑(15%~25% W/V)適用於雙重對比小腸攝影檢查 (C)高密度鋇劑(200%~250% W/V)適用於雙重對比大腸攝影檢查 (D)低密度鋇劑(15%~25% W/V)適用於單一對比大腸攝影檢查
21.下列何者為施行血管攝影之最佳醫療人員組合? (A)radiologist (B)radiologist, radiographer (C)radiographer, nurse (D)radiologist, radiographer, nurse
22.關於小腸攝影之敘述,下列何者錯誤? (A)服用對比劑前,一定要先照一張腹部素片 (B)喝約2杯(約16 oz.)鋇劑並記錄喝下之時間 (C)服用對比劑後15到30分鐘攝影目的在觀察鋇劑是否已至降結腸 (D)服用對比劑60分鐘後須照一張腹部
23.下列有關血管攝影術之敘述,何者錯誤? (A)穿刺位置可能持續性出血不止 (B)可能造成血管壁剝離 (C)可能穿刺位置感染 (D)因有用肝素,故不會造成血栓
24.施行myelography一般穿刺處為: (A)T12~L1 (B)L3~L4 (C)T1~T2 (D)T11~T12
25.Panorex係屬於下列何種攝影? (A)computed tomography (B)conventional tomography (C)breast tomosynthesis (D)contrast radiography
26.靜脈注射泌尿攝影(IVU)時,如欲施行nephrotomography,一般其最佳時間為注射後幾分鐘? (A)1 (B)5 (C)15 (D)20
27.在下消化道攝影中,大腸癌最常發生的部位為: (A)升結腸 (B)橫結腸 (C)降結腸 (D)乙狀結腸及直腸
28.下列那一種情況為施行HSG檢查最適合之適應症? (A)女性不孕症 (B)男性不孕症 (C)疑子宮內病變 (D)輸卵管術後檢查
29.下列何者之檢查中最無法施行介入性診療(如:取出結石)? (A)endoscopic retrograde cholangiopancreatography(ERCP) (B)percutaneous transhepatic cholangiography and drainage(PTCD) (C)magnetic resonance cholangiopancreatography(MRCP) (D)T-tube cholangiography
30.關於消化道攝影時所使用的鋇劑,下列敘述何者正確? (A)為一陰性對比劑 (B)易溶於水 (C)在懷疑胃穿孔時使用 (D)與水混合形成膠狀懸浮劑
31.在作肝癌(HCC)病人之血管栓塞術時,下列何者為其禁忌? (A)肝癌腫瘤破裂(HCC rupture) (B)多顆肝癌腫瘤(multiple HCCs) (C)門靜脈主幹栓塞(main portal vein thrombosis) (D)病人貧血
32.使用電腦斷層技術施行腎臟腫瘤切片時,病人最常採取下列何種體位? (A)supine position (B)prone position (C)Fowler's position (D)sitting position
33.嬰幼兒施行電腦斷層檢查,如果需要口服或經由直腸投予鎮靜劑chloral hydrate,其初始劑量通 常為每公斤體重多少毫克(mg/kg)? (A)5~10 (B)15~30 (C)50~75 (D)150~200
34.下列何者為目前最常使用之電腦斷層虛擬內視鏡? (A)虛擬大腸鏡 (B)虛擬血管內視鏡 (C)虛擬小腸鏡 (D)虛擬膀胱鏡
35.電腦斷層影像中,箭號所指屬於下列何種假影?
(A)motion artifacts (B)metal artifacts (C)truncation artifacts (D)partial-volume artifacts
36.螺旋電腦斷層掃描儀與傳統電腦斷層掃描儀的比較,下列敘述何者正確? (A)前者可重組出多種方向之影像 (B)前者檢查時間較長 (C)前者較易產生假影 (D)前者需使用較多的對比劑
37.使用螺旋或多層電腦斷層攝影(MDCT)重組三維影像時,下列那一項是增加Z軸解析度的最好 方法? (A)增加切片厚度 (B)減少切片厚度 (C)增加mAs (D)減少切片間重疊程度
38.頭部外傷的病人,CT影像如圖,箭號所指的是:
(A)硬腦膜上血腫(epidural hematoma,EDH) (B)硬腦膜下血腫(subdural hematoma,SDH) (C)硬腦膜下積水(subdural effusion,SDE) (D)挫傷性腦內出血(contusion intracerebral hemorrhage,ICH)
39.下列有關第五代CT的敘述,何者錯誤? (A)是超快速(ultrafast)的CT scanner (B)每個切面僅需數十毫秒(milliseconds) (C)可減少輻射量、對比劑用量及掃描時間 (D)機頭(gantry)可以沿著檢查床做快速的移動
40.下列有關CT在Z軸方向解析度的敘述,何者錯誤? (A)要高的Z軸方向解析度,切片要愈薄 (B)要高的Z軸方向解析度,螺距(pitch)要小 (C)要高的Z軸方向解析度,要使用180度內插法計算影像 (D)掃描視野(field of view,FOV)愈大,Z軸解析度愈低
41.下列何者能最有效減少CT影像之部分體積假影(partial volume artifact)? (A)thicker slice (B)thinner slice (C)longer scanning time (D)faster scanning
42.檢查腦部CT時,臨床醫師懷疑有下列何種情況時不需要注射對比劑? (A)頭部創傷 (B)腫瘤 (C)膿瘍 (D)血管構造異常
43.下列何者為CT collimation 最主要的目的? (A)改變切片厚度 (B)調整FOV (C)增加影像清晰度 (D)提高射線能量
44.為了減少骨頭與軟組織之間的對比,電腦斷層掃描會採取下列何種技術? (A)high-kV值 (B)low-mA值 (C)減少collimation (D)增加FOV
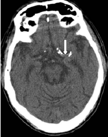
45. 下圖中箭號所指的構造為何?
(A)anterior cerebral artery(ACA) (B)middle cerebral artery(MCA) (C)posterior cerebral artery(PCA) (D)vertebral artery(VA)
46.比較multi-slice CT(MSCT)與single-slice CT的優點,下列敘述何者最正確? (A)對於spatial resolution,兩者並無差異 (B)兩者在相同的影像品質時,MSCT的radiation exposure較高 (C)MSCT顯影劑的注射劑量較少(CTA除外) (D)MSCT掃描時間較短
47.相位對比磁振血管造影(phase contrast MR angiography)的優點為: (A)血管較彎處的失相較不敏感 (B)取像時間較短 (C)對擾流造成的訊號喪失較不敏感 (D)背景的壓抑較好
48.下列關於胎兒磁振造影檢查的敘述,何者正確? (A)應儘量在懷孕前三個月施行,以早期診斷先天性異常 (B)一般需施打對比劑,以提升診斷率 (C)因胎兒不會動,可採用時間較長之T2加權影像技術 (D)應採用快速掃描,較低RF及熱效應之技術
49.關於磁振造影中梯度回音(gradient echo)技術對組織對比之影響,下列何者正確? (A)小偏折角(flip angle)增加T1加權 (B)大偏折角產生質子密度加權 (C)小偏折角(flip angle)可取得T2*加權影像 (D)長TE(echo time)增加質子密度加權
50.在磁振造影中,假定其他參數不變,如果減少矩陣大小(matrix size),會有下列何種效果? (A)降低空間解析度 (B)減少訊雜比 (C)增加檢查時間 (D)增加化學移位
51.注射磁振造影對比劑後會有下列何種現象發生? (A)組織內的擴散常數(diffusion coefficient)增加 (B)組織的縱向回復時間縮短 (C)化學位移的頻率變化加大 (D)正常組織之間的對比度增加
52.下列何者不具順磁性(paramagnetic)? (A)gadolinium (B)cobalt (C)dysprosium (D)methemoglobin
53.當切面選擇之梯度磁場強度增加時,下列敘述何者正確? (A)訊號雜訊比增加 (B)影像切片較薄 (C)影像照野(FOV)增加 (D)沒有任何影響
54.在反轉回復(inversion recovery)波序中所指的"null point"是指: (A)T1遲緩位在正Z軸的時候 (B)T1遲緩位在XY平面的時候 (C)T1遲緩位在負Z軸的時候 (D)T2遲緩完全失相(dephase)的時候
55.下列關於灰質、白質、腦脊髓液之T1值的比較,何者正確? (A)白質>腦脊髓液>灰質 (B)灰質>腦脊髓液>白質 (C)腦脊髓液>灰質>白質 (D)腦脊髓液>白質>灰質
56.下列何者是影響T1 effect之最主要參數? (A)FOV (B)NEX (C)TR (D)TE
57.下列關於超音波評估下腔靜脈(inferior vena cava)的敘述,何者錯誤? (A)正常呼吸狀態下,下腔靜脈的內徑會隨呼吸改變 (B)下腔靜脈可能受到探頭的壓迫而變扁 (C)大多數人的下腔靜脈位於腹主動脈的左側 (D)當病人右心衰竭時,可以觀察到下腔靜脈擴張
58.關於超音波檢查,下列敘述何者最正確? (A)杜卜勒超音波掃描可以檢測血流速度,但無法測血流方向 (B)B-Mode是一種顯示移動的超音波類型,最常用於心臟超音波檢查 (C)連續杜卜勒超音波儀器能準確檢測高速血流,且深度分辨能力佳 (D)介質密度越高,其音波傳導速度也越快
59.下列何者不是經陰道超音波掃描的特性? (A)使用頻率較高(約5至10 MHz) (B)對於子宮的解析度較經腹部超音波掃描為高 (C)膀胱必須脹滿 (D)影像置放方式與一般經腹部之超音波上下顛倒
60.下列關於杜卜勒超音波距離模糊(range-ambiguity)假影和反褶效應(aliasing effect)之敘述, 何者錯誤? (A)前者是因為脈衝重複頻率(PRF)太高所造成 (B)前者易造成離探頭近之血管訊號投射至較遠處 (C)反褶效應是因為脈衝重複頻率(PRF)太低所造成 (D)反褶效應不易與距離模糊同時發生
61.下列關於超音波的敘述,何者正確? (A)診斷用超音波是一種橫波 (B)超音波的速度在任何介質內均相同 (C)當血液朝向探頭方向流動時,反射波頻率將高於發射波之頻率 (D)杜卜勒超音波掃描在偵測深部血流速度比淺部的容易
62.下列有關臨床上使用超音波掃描的敘述,何者最正確? (A)頻率越高、波長越長、解析度越好且穿透力增強 (B)頻率越高、波長越短、解析度下降但穿透力增強 (C)頻率越高、波長越長、解析度下降且穿透力下降 (D)頻率越高、波長越短、解析度越好但穿透力下降
63.下列那種情況最不會產生清晰的陰影(acoustic shadowing)? (A)鈣化性肉芽腫 (B)腎結石 (C)胃脹氣 (D)膽泥
64.超音波檢查瘦小的年輕人時,胰臟的回音與周邊組織(脂肪)相比較,則下列敘述何者最正確? (A)胰臟回音較高 (B)週邊組織回音較高 (C)與使用探頭之頻率有關 (D)與使用探頭的Q值有關
65.下圖為肝臟超音波影像,下列關於編號14號的敘述何者最正確?
(A)肝血管瘤 (B)產氣性肝膿瘍 (C)原發性肝癌 (D)膽囊
66.10歲男孩突然陰囊劇痛,睪丸彩色超音波掃描如下圖,最正確的診斷為下列何者?
(A)右側之睪丸發炎 (B)左側睪丸扭轉 (C)右側睪丸腫瘤 (D)左側睪丸腫瘤
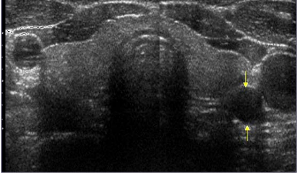
67.下圖為一健檢者之甲狀腺橫切圖,箭號所指為何?
(A)頸長肌 (B)頸動脈 (C)外頸靜脈 (D)食道
68.超音波的品質保證測試假體所用來擬似人體組織的組成材料,在下列那些特性上須與人體相似? (A)超音波的衰減(ultrasonic attenuation)和灌注(perfusion) (B)音速(sound speed)和超音波的衰減(ultrasonic attenuation) (C)音速(sound speed)和反射物的位置 (D)超音波的回音性(echogenicity)和反射物的位置
69.下列有關肝門區門靜脈、肝動脈及總肝管之超音波掃描的相關敘述,何者最不正確? (A)一般經由肋間掃描 (B)請病人向左側躺,以便使肝臟向前貼近前腹壁 (C)請病人吐完氣後閉氣,由前下腹部向上掃描 (D)以彩色杜卜勒掃描,有助於偵測血栓
70.下列有關腹部淋巴結超音波掃描之敘述,何者最不正確? (A)正常之腹部淋巴結直徑約7~10 mm (B)正常的淋巴結為橢圓形之低回音結節,且長、短軸比值大於2 (C)"hilar sign"常見於惡性之淋巴結 (D)若淋巴結呈現圓形,意味著呈現某種病理性病變
71.下列各情況均可能造成腎臟變小或萎縮,何者除外? (A)腎動脈嚴重狹窄 (B)慢性腎臟炎症疾病 (C)急性腎炎 (D)晚期腎炎
72.腎臟超音波檢查時,下列敘述何者錯誤? (A)橫過脊椎體前且與兩側腎臟之下緣相連,稱為馬蹄腎 (B)在孩童時期腎臟呈現葉狀型態常為fetal lobulation (C)Fetal lobulation易與腎臟梗塞造成之結疤混淆 (D)Fetal lobulation之壓跡部位常與腎盞(calyces)相對
73.下列有關腹膜後腔(retroperitoneum)解剖學的描述,何者錯誤? (A)胰臟位在前腎旁空間內(anterior pararenal space) (B)腎臟位在腎周圍空間內(perirenal space) (C)十二指腸之C-環位在前腎旁空間內(anterior pararenal space) (D)腎上腺位於後腎旁空間內(posterior pararenal space)
74.一般透視的入射表面曝露率(entrance skin exposure rate, ESE rate)最好不要超過多少? (A)2 R/min (B)10 R/min (C)20 mR/min (D)100 mR/min
75.下列何者為目前通用的標準醫療影像格式或協定? (A)ACR-NEMA 3.0 (B)DICOM 4.0 (C)ACR-NEMA 2.0 (D)DICOM 3.0
76.病人急性腹痛前來求診,理學與電腦斷層檢查懷疑腸道缺血(bowel ischemia),遂執行血管攝 影檢查,請依所附之下圖回答下列三題:1.圖中影像中央顯示為那一條血管?
(A)肝動脈 (B)脾動脈 (C)胃十二指腸動脈 (D)上腸系(繫)膜動脈
77.2.正常情況下該血管之血管攝影在靜脈相(venous phase)可呈現那條血管之顯影? (A)脾靜脈(splenic vein) (B)下腸繫膜動脈(inferior mesenteric vein) (C)門脈靜脈(portal vein) (D)下腔大靜脈(inferior vena cava)
78.3.該血管之末端沒有顯影,最可能原因為何? (A)正常變異 (B)急性血栓 (C)血管撕裂 (D)對比劑外漏
79.黑線圈圍處最可能的解剖構造為何? (A)右肺上葉 (B)右肺下葉 (C)右肺中葉 (D)縱膈腔
80.承上題附圖,箭號所指最可能的解剖構造為何? (A)right major fissure (B)right minor fissure (C)left major fissure (D)left minor fissure
申論題 (0)
相關試卷
115年 - 115-1 專技高考_醫事放射師:放射線診斷原理與技術學#137344
115年 · #137344
114年 - 114-2 專技高考_醫事放射師:放射線診斷原理與技術學#128969
114年 · #128969
114年 - 114-1 專技高考_醫事放射師:放射線診斷原理與技術學#125124
114年 · #125124
113年 - 113-2 專技高考_醫事放射師:放射線診斷原理與技術學#121691
113年 · #121691
113年 - 113-1 專技高考_醫事放射師:放射線診斷原理與技術學#118731
113年 · #118731
112年 - 112-2 專技高考_醫事放射師:放射線診斷原理與技術學#115920
112年 · #115920
112年 - 112-1 專技高考_醫事放射師:放射線診斷原理與技術學#113162
112年 · #113162
111年 - 111-2 專技高考_醫事放射師:放射線診斷原理與技術學#109901
111年 · #109901
111年 - 111-1 專技高考_醫事放射師:放射線診斷原理與技術學#106212
111年 · #106212
110年 - 110-2 專技高考_醫事放射師:放射線診斷原理與技術學#99941
110年 · #99941