阿摩線上測驗
登入
首頁
>
牙醫學(六)(包括齒顎矯正學、兒童牙科學、牙科公共衛生學等科目及其相關臨床實例與醫學倫理)
> 101年 - 101-2 專技高考_牙醫師(二):牙醫學(六)(包括齒顎矯正學、兒童牙科學、牙科公共衛生學等科目及其相關臨床實例與醫學倫理)#36414
101年 - 101-2 專技高考_牙醫師(二):牙醫學(六)(包括齒顎矯正學、兒童牙科學、牙科公共衛生學等科目及其相關臨床實例與醫學倫理)#36414
科目:
牙醫學(六)(包括齒顎矯正學、兒童牙科學、牙科公共衛生學等科目及其相關臨床實例與醫學倫理) |
年份:
101年 |
選擇題數:
80 |
申論題數:
0
試卷資訊
所屬科目:
牙醫學(六)(包括齒顎矯正學、兒童牙科學、牙科公共衛生學等科目及其相關臨床實例與醫學倫理)
選擇題 (80)
1.下列關於上顎骨生長方式的敘述,何者正確? (A)完全由骨膜內骨化(intramembranous ossification)而成 (B)完全由軟骨內骨化(endochondral ossification)而成 (C)由骨膜內骨化(intramembranous ossification)和軟骨內骨化(endochondral ossification)而 成 (D)完全由骺板生長(epiphyseal growth)
2.下列關於牙齒發育異常的敘述,何者錯誤? (A)fusion之牙常有個別的牙髓腔 (B)gemination之牙有共同牙髓腔 (C)cleidocranial dysplasia 患者常見先天性多生牙 (D)先天性多生牙稱為 oligodontia
3.晚期近心側移位(late mesial shift)主要在關閉下列何處? (A)餘裕空間(leeway space) (B)靈長空隙(primate space) (C)齒間空隙(interdental space) (D)自由空隙(free way space)
4.上下齒列之牙弓長度(arch length)由5歲至12歲之變化為何? (A)持續減少 (B)持續增加 (C)穩定不變 (D)未有固定變化方式
5.有關吸手指與咬合不正之關係的敘述,下列何者正確?①造成前齒開咬 ②上顎牙弓較窄 ③下 顎前突 ④易有不正常吞嚥習慣 (A)只有①②④ (B)只有①②③ (C)只有②③④ (D)只有①③④
6.下列那一種異常咬合常出現在肢端肥大症(acromegaly)的患者? (A)上顎前突 (B)上顎後縮 (C)下顎前突 (D)下顎後縮
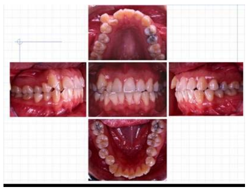
7. 患者為22歲女孩,口內照片如下圖,測顱分析中SNA 82度,SNB 80度,SN-MP 25度,上門牙角 度(SN-upper incisor axis)110度,下門牙角度(LI-MP)100度。有關診斷之思考中,下列何者 錯誤?
(A)上下顎骨關係正常 (B)上門牙角度正常,下門牙角度略外斜(proclined) (C)右側方咬合為安格氏二級咬合,左側方咬合為安格氏一級咬合 (D)顏面開展度過大(facial divergence)
8.25歲女性患者因暴牙前來求診,測顱分析如下圖,水平覆咬10 mm,垂直覆咬9 mm,上門牙外 斜(SN-upper incisor axis):125度,下門牙角度IMPA=94度,SNA:82度;SNB:75度; SN-MP:33度,下列何者不是可能之治療計畫?
(A)上顎小臼齒拔除,以利上門牙往後拉回 (B)以正顎手術將過短之下顎往前拉出 (C)上顎臼齒應加強錨定控制 (D)以功能性矯正器(functional appliance)治療過短之下顎
9.根據美學,有關牙齒美觀的敘述,下列何者正確? (A)黃金比例是指上顎正中門齒、側門齒及犬齒其牙齒近遠心寬度比為1:0.62:0.38 (B)上顎正中門齒長寬比為1.0:0.8 (C)上顎正中門齒、側門齒及犬齒的牙齦高度(gingival height)是一致的 (D)上顎正中門齒及側門齒切緣應齊平
10.下列何項因素是決定牙齒移動型式(例如:傾斜移動、平行移動、或牙根移動)的最重要因素? (A)矯正器的種類 (B)矯正力量的大小 (C)矯正力量的方向 (D)力矩/力量比值(moment/force ratio)
11. 下圖C為牙齒的抗力中心(center of resistance),假設A與B的距離為10 mm,B與C的距離為15 mm,從牙冠唇側面施以力量Fb所產生的力矩為1200 gm-mm,試問Fb力量大小為多少?
(A)48 gm (B)80 gm (C)120 gm (D)240 gm
12.下列有關牙齒移動的敘述,何者正確? (A)牙齒整體移動比傾斜移動來得容易 (B)矯正作用力愈大時,牙齒移動愈快 (C)舌側弧線裝置的指樣彈線(finger spring)適合於整體移動 (D)適當矯正力可使壓迫側齒槽骨有直接性吸收
13.加一外力於牙冠使牙齒移動,力量愈小,則旋轉中心: (A)愈近牙冠 (B)愈近牙根尖 (C)與力量大小沒有直接關係,力矩與力量之比例(M/F)才是關鍵因素 (D)旋轉中心的移動端視牙冠-牙根比例而定,不因外力大小而變
14.兒童因猛爆性蛀牙求診,牙醫師正確診斷治療計畫為須根管治療後再行假牙修復,但某位牙醫卻 為圖方便,未將牙齒根管治療後即做假牙,他違反醫學倫理中的何項原則? (A)公平正義原則 (B)行善原則 (C)病人自主原則 (D)不傷害原則
15.有關出生後顱頂(cranial vault)生長的敘述,下列何者錯誤? (A)主要是屬於膜內骨生成(intramembranous bone formation) (B)有軟骨前質(precursor) (C)主要發生在顱縫(suture)處 (D)囪門(fontanel)可允許頭顱在出生時有些許的變形
16.下列何者生長機制主要為纖維軟骨(fibrocartilage)? (A)骨骺板(epiphyseal plate) (B)顱底軟骨聯合(cranial base synchondrosis) (C)鼻中隔(nasal septum) (D)下顎髁頭(mandibular condyle)
17.下列齒列發育之敘述,何者錯誤? (A)乳門齒間的間隙是正常的現象,且對於繼生恆牙的萌出也非常重要 (B)primate space:上顎在乳犬齒近心側,下顎在乳犬齒遠心側 (C)leeway space:通常上顎約1.5 mm,下顎約2.5 mm (D)leeway space不足較易造成門牙間隙
18.上顎前突且側門齒向唇側外傾,而上顎中門齒向腭側內傾的特徵,最常見於下列何種安格氏咬合 關係? (A)Class I (B)Class II division 1 (C)Class II division 2 (D)Class III
19.下顎小臼齒萌發時,通常牙根發育程度為何? (A)牙根發育約完成1/4 (B)牙根發育約完成1/2 (C)牙根發育約完成3/4 (D)牙根發育已完成
20.下列何種乳齒列特徵最可能發展成恆門齒異常咬合? (A)乳門齒排列整齊無縫隙 (B)乳齒列有靈長空隙(primate space) (C)乳門齒唇側方向傾斜 (D)犬齒牙弓寬度增加
21.下列何者不是屬於影響乳齒列發育的危險因子? (A)嚴重的蛀牙 (B)吸手指、奶瓶的習慣 (C)有明顯靈長空隙(primate space)的乳齒列 (D)曾經有顳顎關節受傷的病史
22.依下圖所示,最可能是那一類咬合異常?
(A)Angle ClassⅠ (B)Angle ClassⅡdivision 1 (C)Angle ClassⅡdivision 2 (D)Angle ClassⅢ
23.下列那些是序列拔牙法(serial extraction)的適應症?①一級骨性關係 ②安格氏第一級臼齒關 係 ③前牙深咬 ④前牙覆咬正常 ⑤空間不足4 mm ⑥空間不足10 mm (A)①③⑤ (B)②④⑤ (C)①②④⑤ (D)①②④⑥
24.下列何者不是矯正牙齒模型分析(dental cast analysis)之主要可分析項目? (A)齒弓空間分析 (B)齒弓對稱性分析 (C)顏面異常分析 (D)咬合分析
25.下列何者不是後前方向測顱分析(posteroanterior cephalometric analysis)之主要可分析項目? (A)垂直向(vertical)骨源性異常 (B)前後骨源性異常 (C)橫向(transverse)骨源性異常 (D)兩側對稱性異常
26.根據安格氏(Dr. Angle)在1899年所發表的分類法,安格氏第一級異常咬合為何? (A)上顎第一大臼齒的近心頰側咬頭咬在下顎第一大臼齒的頰側溝 (B)上顎第一大臼齒的近心頰側咬頭咬在下顎第一大臼齒的近心邊緣嵴 (C)上顎第一大臼齒的遠心頰側咬頭咬在下顎第一大臼齒的頰側溝 (D)上顎第一大臼齒的遠心頰側咬頭咬在下顎第一大臼齒的近心邊緣嵴
27.牙齒的錨定值(anchorage value)與下列何者相關性最低? (A)牙根長度 (B)牙根表面積 (C)牙冠大小 (D)錨定牙齒總數
28.理想矯正弓線材質的特性不包括下列那一項? (A)high strength (B)high formability (C)low stiffness (D)low range
29.下列何項屬於負向行為修正(aversive behavior modification)的方法? (A)催眠 (B)隔離父母親於診間外 (C)以手摀嘴(hand-over-mouth exercise,HOME) (D)鎮靜麻醉(sedation)
30.下列何者不是使用意識鎮靜術(conscious sedation)的主要目標? (A)降低孩子的憂慮 (B)促進與孩子的溝通 (C)容許孩子接受較長的治療時間 (D)不必上局部麻醉
31.罹患慢性病的兒童患者,常會長期服用藥物,下列那一項藥物長期使用,較易增加齲齒的風險? (A)抗組織胺 (B)抗糖尿病 (C)抗TB病 (D)抗癲癇
32.偏食的小孩常會影響身心發育,下列那一種維他命缺乏時,較易增加小孩罹患齲齒? (A)Vitamin A (B)Vitamin B complex (C)Vitamin C (D)Vitamin E
33.下列何者為下顎恆齒最常見的萌出次序? (A)6-1-2-4-3-5-7 (B)6-1-2-4-5-3-7 (C)6-1-2-3-4-5-7 (D)6-1-2-3-4-7-5
34.下列關於下顎第一大臼齒與第二乳臼齒的敘述,何者正確?①第二乳臼齒為下顎第一大臼齒的縮 小版,但咬頭的大小比率不相同 ②第一大臼齒的頰側有3個咬頭,但第二乳臼齒的頰側只有2個 咬頭 ③第二乳臼齒的頰側咬頭大小相近,但第一大臼齒的頰側咬頭則是最遠心者最小 ④第二 乳臼齒與第一大臼齒的舌側2咬頭大小相近 (A)①② (B)①③ (C)①④ (D)②④
35.上顎第一乳臼齒早期喪失容易造成下列何種異常? (A)上顎犬齒萌發路徑被擋住 (B)上顎第二小臼齒埋伏 (C)上顎第二大臼齒早期萌發 (D)上顎第二大臼齒異位萌發
36.下列有關amelogenesis imperfecta之敘述,何者錯誤? (A)通常和新陳代謝異常有關 (B)有獨特的遺傳模式 (C)可能影響到不同階段的牙齒發育 (D)會同時影響乳齒列與永久齒列
37.若混合齒列期,下顎前牙擁擠時,則下列敘述何者錯誤? (A)若過於擁擠可將乳犬齒拔除,即可獲得足夠空間 (B)治療前需先作混合齒列之空間分析 (C)可將乳犬齒的咬頭或鄰接面修磨(slicing),以利排列 (D)下顎前牙擁擠會造成潔牙不易與牙周發炎
38.有關嬰兒唇腭裂發生原因當中,最不可能為下列那一項因子所造成? (A)孕婦病毒感染,如德國麻疹 (B)孕婦服用藥物,如抗癌、抗癲癇、類固醇等藥物 (C)孕婦的嚴重牙周病 (D)遺傳
39.罹患愛滋病(AIDS)的兒童患者,口腔內最常見的感染為何? (A)鵝口瘡(thrush) (B)戰壕口病(trench mouth) (C)單純性疱疹(herpes simplex virus infection) (D)再發性口瘡性口炎(recurrent aphthous stomatitis)
40.下列何者不是aspirin的作用? (A)血栓溶解 (B)止痛 (C)血壓上升 (D)誘發氣喘
41.下列何類身心障礙兒童常伴有先天性心臟病? (A)唐氏症候群(Down syndrome) (B)腦性麻痺 (C)智能障礙(mental retardation) (D)癲癇症
42.以手摀嘴法(hand-over-mouth exercise)的使用適合年齡? (A)1~3歲 (B)3~6歲 (C)6~9歲 (D)9~12歲
43.3歲以下幼童具有下列何種部位齲齒時,屬於易導致更多齲齒的最高危險群? (A)唇舌面齲齒 (B)咬合面小窩及溝隙齲齒 (C)牙縫近心面齲齒 (D)牙縫遠心面齲齒
44.有關氟漆(fluoride varnish)之使用,下列何者錯誤? (A)一次使用0.5毫升就足夠了 (B)濃度比氟膠(fluoride gel)低 (C)可以做為敏感牙齒去敏感之用 (D)使用前要先將牙齒擦乾
45.當使用溝隙封填劑時,酸蝕牙齒後,遭口水污染,應如何處理? (A)吹乾牙齒,再塗佈溝隙封填劑 (B)重新酸蝕牙齒 (C)以紗布擦乾口水,再塗佈溝隙封填劑 (D)重新清潔牙齒
複選題
46.有關溝隙封填劑 ,下列何者錯誤? (A)溝隙封填劑每年再施用(reapplication)率約為5~10% (B)再施用(reapplication)率發生最高的時期是施用後的6個月內 (C)溝隙封填劑即使有部分脫落,仍足以提供對抗齲齒發生的保護作用 (D)牙齒萌發的程度會影響溝隙封填劑的固位
47.一個11歲孩童,其部份牙齒出現牙釉質形成不全(enamel hypoplasia),位於恆牙第一大臼齒 之咬合尖端和上下門齒之咬合切緣。請問這小孩成長過程中可能那一個時期曾經歷持續一個禮拜 的高燒? (A)1歲以前 (B)2歲 (C)5歲 (D)母親懷孕末期
48.有關顱顏生長的基本概念,下列敘述何者錯誤? (A)顱顏複合體中不同的部位會在不同的時機生長 (B)人類臉部的生長比頭顱的生長較早發生 (C)每個人生長的大小、方向、速度及時機是有個人差異的 (D)沒有兩個人的頭部和臉部是完全相同的
49.關於出生嬰兒未長牙前上下顎牙齦墊(gum pad)之關係,下列敘述何者錯誤? (A)上顎前牙齦墊比下顎前牙齦墊寬 (B)上顎前牙齦墊與下顎前牙齦墊水平關係上齊平 (C)上顎前牙齦墊比下顎前牙齦墊垂直覆蓋(overbite)約0.5 mm (D)出生後,前六個月時上顎寬度快速增加
50.混合齒列早期,因單側下顎乳犬齒早期喪失而可能造成的問題,下列何者錯誤? (A)中線偏移(midline shift) (B)垂直覆咬(overbite)增加 (C)第一大臼齒的早期近心位移(early mesial shift) (D)牙弓周徑(arch perimeter)減小
51.骨發育不全(osteogenesis imperfecta)兒童,使用雙磷酸鹽類(bisphosphonate)藥物,會抑 制下列何種細胞的功能,造成牙齒延遲萌出? (A)蝕骨細胞(osteoclasts) (B)造骨細胞(osteoblasts) (C)造釉細胞(ameloblast) (D)造牙本質細胞(odontoblast)
52.若混合齒列空間分析的結果為空間不足時,永久齒列最可能發生下列何種狀況? (A)過度擁擠 (B)空隙 (C)平緩的史比氏曲線 (D)不會有影響
53.8歲小朋友右側側門齒遠心至同側第一大臼齒近心之距離為A,同側未萌出犬齒、第一、第二小臼 齒近遠心寬總和為B,A與B相減之差稱為: (A)靈長類空間(primate space) (B)發育空間(developmental space) (C)餘裕空間(leeway space) (D)上下咬合空間(clearance space)
54.一個8歲女童,口腔檢查為混合齒列期,下顎右側第二乳臼齒、下顎左側第一、二乳臼齒為殘根 需要拔除,無明顯空間不足問題,則下列何種空間維持器較合適? (A)做雙側遠心鞋型(distal shoe)空間維持器 (B)做雙側帶環(band and loop)空間維持器 (C)做舌側牙弓(lingual holding arch)空間維持器 (D)做南斯氏(Nance appliance)空間維持器
55.關於孩童與青少年的顳顎關節障礙(temporomandibular joint dysfunction)敘述,下列何者錯 誤? (A)常見的症狀為疼痛 (B)會出現張口限制(limitation of opening)與下顎在張口時會偏移(deviation) (C)全都是後天不良習慣造成的 (D)後天的成因可能有:外傷,感染,醫源性
56.血友病患者使用浸潤麻醉在疏鬆結締組織或血管分布較多之部位時,其凝血因子建議需補充到多 少百分比? (A)5% to 10% (B)30% to 40% (C)60% to 70% (D)90%以上
57.下列何種智能障礙的兒童,屬於可以教育的(educable)智商程度,在學齡前開始適當的教育可 以達到獨立適應社會生活的能力? (A)輕微智能障礙(mild mental retardation) (B)中度智能障礙(moderate mental retardation) (C)重度智能障礙(severe mental retardation) (D)深度智能障礙(profound mental retardation)
58.自閉症患者有多少比率會發生癲癇之狀況? (A)10% (B)30% (C)60% (D)80%
59 (A)拔除該牙(extraction),再植人工牙根 (B)做冠髓切除術(pulpotomy) (C)做牙髓切除術(pulpectomy) (D)做牙根尖形成術(apexification)
60.承上題,此牙之牙髓處理藥劑,下列那一種最合適? (A)氧化鋅丁香油黏合劑 (B)氫氧化鈣 (C)馬來亞膠 (D)玻璃離子體
61.特定時間內人口中發生某病的新病例數,與該時間內具有罹患該病危險的總人數(population at risk)之比例,以下列何者表示? (A)盛行率(prevalence) (B)勝算比(odds ratio) (C)累積發生率(cumulative incidence) (D)發生密度(incidence density)
62.在流行病學的研究法裏,研究方式為回溯式,在找到的研究對象裏先依有無得病分成病例組與對 照組,再回溯以前是否受到危險因子暴露的方式,是何種研究方法? (A)世代研究法 (B)病例對照研究法 (C)臨床試驗法 (D)社區試驗法
63.根據美國預防醫學服務任務小組(USPSTF)的定義,在下列的實證基礎水準(level of evidence)當中,那一種水準是指專家意見(expert opinion)? (A)Ⅰ (B)Ⅱ (C)Ⅲ (D)Ⅴ
64.某醫學院學生2008年的口腔健康檢查發現:有齲齒(decay)仍未治療者為1000人,另外有500 人因齲齒而拔過牙(missing),還有1500人因齲齒而補過牙(filled),且以上三類人員完全無 重疊,完全無齲齒者(caries free)為1000人。該醫學院學生2008年的齲齒盛行率(prevalence rate)為何? (A)25% (B)33% (C)50% (D)75%
65.關於含氟牙膏在預防齲齒的應用,下列敘述何者正確? (A)許多先進國家齲齒盛行率降低的主因,應歸功於飲水加氟及含氟牙膏的普及與使用 (B)以使用人數統計,目前是全世界排名第二的防齲方法,僅次於飲水加氟政策 (C)含氟牙膏的氟離子濃度加倍,防齲效果也增加一倍 (D)為避免造成氟中毒(fluorosis),學齡前兒童不宜使用含氟牙膏
66.下列何者屬於「健康教育診斷模式(PRECEDE-PROCEDE model)」中的「增強因素 (reinforcing factor)」? (A)健康知識 (B)自己的健康信念 (C)他人的健康態度 (D)資源的可近性
67.懷孕後,應該每三個月作口腔檢查一次,作為產前醫療照顧的一部分,但盡量不包括下列何者? (A)洗牙 (B)根管治療 (C)簡單性拔牙 (D)照X光攝影
68.關於患有副甲狀腺功能過低(hypoparathyroidism)患者常見之口腔特徵,下列敘述何者錯誤? (A)上顎骨外生疣(exostosis) (B)牙根較短(shortened roots) (C)阻生齒(impacted teeth) (D)牙釉質發育不全(enamel hypoplasia)
69.目前的執業管理規定當中,要擔任牙醫診所的負責醫師,必須經過幾年的執業經驗? (A)1年 (B)2年 (C)3年 (D)4年
70.下列何者是無法清潔齒間區且有可能傷害牙齦的刷牙方法? (A)旋轉法(Rolling method) (B)查特氏法(Charter's method) (C)史迪門氏法(Stillman's method) (D)馮尼氏法(Fones method)
71.有關口腔癌的危險因子之敘述,下列何項錯誤? (A)以全球為統計單位,與口腔癌最有顯著相關相關的危險因子是使用菸草 (B)嚴重酗酒是口腔癌的危險因子之一 (C)印度有相當高盛行率的口腔癌,主要是因為飲酒,而不是菸草 (D)不合適的假牙常被列為口腔癌的危險因子,但目前支持這項論點的證據仍不足
72.下列何者為疾病預防層級(levels of prevention)中最高之層級? (A)健康促進 (B)早期診斷立即治療 (C)限制傷殘 (D)復健
73.人類吸收氟化物的來源包括下列那幾項?①空氣 ②食物 ③水 (A)僅①② (B)僅②③ (C)僅①③ (D)①②③
74.下列何者是社區牙周治療需求指數(CPITN)之檢查要點? (A)檢視測量探針刻度以CEJ為準 (B)牙周囊袋深度達5 mm記錄代碼為5 (C)牙齦上結石記錄代碼為1 (D)牙齦下結石記錄代碼為2
75.有關醫療機構感染控制的防護措施建構的原則之敘述,下列何者正確? (A)所有血液、體液、分泌物、排泄物(不含汗水)都可能帶有可被傳播的感染原 (B)唾液不可能帶有可被傳播的感染原 (C)排泄物(不含汗水)不可能帶有可被傳播的感染原 (D)汗水帶有可被傳播的感染原
76.診療中注視鹵素燈光後會發生「殘影」現象,此屬於何種因素造成的職業傷害? (A)生物性因素 (B)化學性因素 (C)物理性因素 (D)身心性因素
77.有關我國的「口腔健康法」,下列敘述何者正確?①於中華民國 92 年公布施行 ②中央主管機 關應設口腔醫學委員會 ③主管機關在中央為國民健康局 ④教育主管機關應加強學校口腔健康 教育之推展 (A)①②③ (B)①②④ (C)①③④ (D)②③④
78.我國現行全民健保中,牙科所實施的部分負擔制,最接近下列那一種制度? (A)定額負擔制 (B)定率負擔制 (C)限額負擔制 (D)特定項目負擔制
79.依據WHO(1980)「international classification of impairments,disabilities,and handicaps」 的定義,「結構或功能的不正常或喪失(a loss or abnormality of structure or function)」為下 列何者的定義? (A)impairment (B)disability (C)handicap (D)special needs
80.以「全人治療為目標,預防為導向,涵蓋口腔健康管理及照顧弱勢族群」為核心價值之牙醫專科 是下列何者? (A)社區牙醫學 (B)家庭牙醫學 (C)特殊牙醫學 (D)一般牙醫學
申論題 (0)
相關試卷
115年 - 115-1 專技高考_牙醫師(二):牙醫學(六)(包括齒顎矯正學、兒童牙科學、牙科公共衛生學等科目及其相關臨床實例與醫學倫理)#137337
115年 · #137337
114年 - 114-2 專技高考_牙醫師(二):牙醫學(六)(包括齒顎矯正學、兒童牙科學、牙科公共衛生學等科目及其相關臨床實例與醫學倫理)#128942
114年 · #128942
114年 - 114-1 專技高考_牙醫師(二):牙醫學(六)(包括齒顎矯正學、兒童牙科學、牙科公共衛生學等科目及其相關臨床實例與醫學倫理)#125112
114年 · #125112
113年 - 113-2 專技高考_牙醫師(二):牙醫學(六)(包括齒顎矯正學、兒童牙科學、牙科公共衛生學等科目及其相關臨床實例與醫學倫理)#121683
113年 · #121683
113年 - 113-1 專技高考_牙醫師(二):牙醫學(六)(包括齒顎矯正學、兒童牙科學、牙科公共衛生學等科目及其相關臨床實例與醫學倫理)#118738
113年 · #118738
112年 - 112-2 專技高考_牙醫師(二):牙醫學(六)(包括齒顎矯正學、兒童牙科學、牙科公共衛生學等科目及其相關臨床實例與醫學倫理)#115906
112年 · #115906
112年 - 112-1 專技高考_牙醫師(二):牙醫學(六)(包括齒顎矯正學、兒童牙科學、牙科公共衛生學等科目及其相關臨床實例與醫學倫理)#113152
112年 · #113152
111年 - 111-2 專技高考_牙醫師(二):牙醫學(六)(包括齒顎矯正學、兒童牙科學、牙科公共衛生學等科目及其相關臨床實例與醫學倫理)#109857
111年 · #109857
111年 - 111-1 專技高考_牙醫師(二):牙醫學(六)(包括齒顎矯正學、兒童牙科學、牙科公共衛生學等科目及其相關臨床實例與醫學倫理)#106189
111年 · #106189
110年 - 110-2 專技高考_牙醫師(二):牙醫學(六)(包括齒顎矯正學、兒童牙科學、牙科公共衛生學等科目及其相關臨床實例與醫學倫理)#99937
110年 · #99937