阿摩線上測驗
登入
首頁
>
醫學五:80題 ( 包括外科,骨科,泌尿科等科目及其相關臨床實例與醫學倫理 )
> 101年 - 101-2 專技高考_醫師(二):醫學(五)(包括外科、骨科、泌尿科等科目及其相關臨床實例與醫學倫理)#36851
101年 - 101-2 專技高考_醫師(二):醫學(五)(包括外科、骨科、泌尿科等科目及其相關臨床實例與醫學倫理)#36851
科目:
醫學五:80題 ( 包括外科,骨科,泌尿科等科目及其相關臨床實例與醫學倫理 ) |
年份:
101年 |
選擇題數:
80 |
申論題數:
0
試卷資訊
所屬科目:
醫學五:80題 ( 包括外科,骨科,泌尿科等科目及其相關臨床實例與醫學倫理 )
選擇題 (80)
1 一個安養院老人過去幾個月反覆性腹脹腹痛,常在排出大量氣體及水便而緩解,最近幾天又嚴重腹 脹,已二天沒排氣、便而就醫,由 X 光可見 coffee bean sign,則下列何者正確? (A)可能是癌症須立即安排手術 (B)若沒有急性腹症可先用鋇劑或大腸鏡檢查並緩解 (C)阻塞的位置最可能是升結腸(ascending colon) (D)因長期反覆發作預後不佳
2 癌症常有特殊的腫瘤指標(tumor marker),有關配對敘述,下列何者錯誤? (A)肝癌(hepatocellular carcinoma)-胎兒蛋白(alpha-fetoprotein, AFP) (B)大腸癌-CEA(carcinoembryonic antigen) (C)小細胞肺癌-CA19-9 (D)前列腺癌-PSA(prostate specific antigen)
複選題
3 目前器官移植後,常用的藥物為 Tacrolimus(又稱 FK-506 或 Prograf),其作用機轉為: (A)抑制 IL-2 的生成 (B)抑制 purine 的代謝 (C)抑制 cytokine 的產生 (D)抑制淋巴球進入移植體
4 36 歲男性病人,因長期應酬,每日平均喝半瓶烈酒已十年,近日因身體倦怠,食慾不佳,臉色發黃而住 院,住院後發現總膽紅素高至 22 mg/dL,ALT 高至 226 U/L,AST 高至 282 U/L,GGT 高至 388 U/L, 凝血機能 PT 延長大於 4 秒,INR 為 1.59,aPTT 比正常值稍高,以下何者為最適當之處置? (A)立即準備作肝臟移植 (B)給予靜脈營養,並補充口服維生素 (C)為了避免出血,應大量給予 FFP(fresh frozen plasma) (D)由於體內酒精濃度突然減少,易產生戒酒後症候群,仍應給予少量含酒精食物
5 Peptic ulcers 的 surgical indications 中,何種 incidence 明顯降低? (A)intractability (B)hemorrhage (C)perforation (D)obstruction
6 (A)以放射治療為主 (B)以位於胸部食道中段最多 (C)食道切除後,以小腸重建最常見 (D)東方人食道癌,組織病理以腺癌最常見
7 35 歲女性,來診主訴無痛性乳頭出血性分泌,病人過去無抽菸喝酒習慣,沒有懷孕過往史,理學檢 查無可觸摸腫瘤,腋下無淋巴結腫大,以下何者是最可能的診斷? (A)Paget’s disease (B)intraductal papilloma (C)ductal carcinoma (D)fibrocystic disease
8 承上題,以下何者是最合適的處置? (A)荷爾蒙治療 (B)化學治療 (C)局部切除 (D)患側乳房全切除
9 50 歲女性,在接受乳房例行性攝影時發現右乳側下方有微小鈣化(micro-calcification)的表徵,臨 床理學檢查無法觸摸到腫塊位置,請問病人最可能的診斷是: (A)phyllodes tumor (B)medullary carcinoma (C)ductal carcinoma (D)lobular carcinoma
10 幼兒的腸套疊最常見的原因是什麼? (A)腸繫膜淋巴腺肥大 (B)腸息肉(intestinal polyps) (C)大腸憩室(colon diverticulum) (D)淋巴瘤(lymphoma)
11 有關三叉神經痛(trigeminal neuralgia)的敘述,下列何者錯誤? (A)病人通常年紀較大,典型表現為單側、無感覺缺損 (B)carbamazepine(Tegretol)and gabapentin(Neurontin)對多數病患有效 (C)顯微血管減壓手術(microvascular decompression)及伽瑪刀(gamma knife)放射治療效果皆不錯 (D)伽瑪刀放射治療五年內復發的比例比顯微血管減壓手術低
12 有關顱內動脈瘤(cerebral artery aneurysms)之敘述,下列何者錯誤? (A)亦稱 berry or saccular aneurysms,通常位於血管分叉處,血管常見 media 缺損 (B)顱內動脈瘤可發生於 circle of Willis 任何位置,但較常見的是後循環(posterior circulation) (C)顱內動脈瘤若發生於後循環,terminal bifurcation of the basilar artery 是最常發生處 (D)若病患於出血後沒立即死亡,rebleeding 是最可能造成死亡的原因,且好發於 initial hemorrhage 後24 小時內
13 血管縫合技巧中,下列何者不是袖狀縫合技巧(sleeve technique)的缺點? (A)易造成狹窄(stenosis) (B)較易造成血栓(thrombus) (C)易形成血管瘤(aneurysm formation) (D)不適用於管徑不一致的血管縫合(size discrepant vessels)
14 一名中年婦女在餐廳工作,切雞肉時不慎將左手食指指尖一併剁下,隨即送到急診室。檢查發現切 口整齊,位在指甲橫向二分之一處,但未達指甲生發層(germinal matrix)合併指骨外露,依據 fingertip amputation 之分類 Allen’s classification,此狀況應屬何種 type? (A)Type I (B)Type II (C)Type III (D)Type IV
15 年輕的主動脈瓣狹窄的病人接受 Ross 手術式時,其主動脈瓣用下列何種瓣膜來置換?(A)機械性人工瓣膜(mechanical prosthesis)(B)生物性人工瓣膜(bioprosthesis)(C)同種之生物瓣膜(homograft)(D)自體之肺動脈瓣(autograft)
16 急性下肢動脈完全阻塞疾病,是一種須緊急手術的對象,為避免造成遠端組織的不可逆傷害,最遲 在完全阻塞發生之後幾個小時之內要手術治療? (A)1~2 (B)3~5 (C)6~8 (D)9~12
17 陳先生 62 歲,除患有糖尿病多年外,身體一向健康。某日午餐後返辦公室,突然感到胸痛不適。同 事將陳先生送入醫院急診室,初步判斷為急性冠狀症候群(acute coronary syndrome)。住院一星期 後病情穩定,各器官功能正常。經心導管檢查,發現冠狀動脈阻塞情況如下:左冠狀動脈主幹(left main coronary artery)80%狹窄、左冠狀動脈左前降支近心端 76%狹窄與中段 70%狹窄、左迴旋支中 段 65%狹窄、右冠狀動脈中段 83%狹窄與遠心端 90%狹窄。經心臟內外科團隊討論後,建議陳先生 接受下列何種後續治療的一年存活率最好? (A)經皮穿徑冠狀動脈血管整形術(percutaneous transluminal coronary angioplasty) (B)經皮穿徑冠狀動脈血管整形術及冠狀動脈支架置放術(percutaneous transluminal coronary angioplasty & coronary artery stenting) (C)冠狀動脈繞道術(coronary artery bypass grafting) (D)藥物治療
18 在急性下肢動脈阻塞性疾病,若已完全阻塞,且時間已超過 24 小時,肢端也已有壞死現象,此時最 好不要嘗試以外科手術方法來恢復血流,以避免發生何種致命的併發症? (A)菌血症 (B)截肢 (C)再度灌流症候群(reperfusion syndrome) (D)骨髓炎
19 冠狀動脈繞道手術後死亡病人的分析中,在某些族群病人的死亡率較一般病人來得高,但下列何種 族群例外? (A)女性病人 (B)糖尿病病人 (C)慢性腎衰竭病人 (D)肥胖症
20 在慢性穩定性心絞痛的病人,下列那種冠狀動脈的病變,並非手術治療的適應症(indication)? (A)左主支有大於 60%之狹窄 (B)三條血管皆有大於 70%的狹窄,同時左心室功能變差 (C)二條血管有大於 70%的狹窄 (D)只有左前支近端有 70%以上的狹窄但左心室射出比小於 50%
21 有關膿胸(empyema)之敘述,下列何者錯誤? (A)依據臨床及病理表現,可分為 acute, fibropurulent, organizing 三期 (B)癌症是最常造成胸膜滲出物(exudative pleural effusion)的原因 (C)治療抗生素須使用 6 星期以上 (D)約有 50~60%的膿胸由肺部感染而來
22 42 歲男性因雙側肺氣腫(emphysema)導致呼吸窘迫而入院,胸部電腦斷層顯示其右上肺葉有一巨 大之氣泡(bullae),且壓迫到縱膈腔而出現 mediastinal deviation 的現象。若欲為此病患實行 lung volume reduction surgery,為避免病患術後發生呼吸衰竭,下列檢查何者無助益? (A)動脈血氧(ABG) (B)肺部之 ventilation and perfusion scan (C)肺功能檢查 (D)心電圖檢查 代號:3102 頁次:12-4
23 54 歲女性失足從 3 公尺高度跌下,嚴重呼吸困難及右胸壁血腫。被送到急診身體檢查,意識昏昏欲 睡,血壓測不到,發紺、心動過速與右側呼吸聲減少。你是值班醫生,你的及時處理為何? (A)胸部 X 光及電腦斷層掃描 (B)插 CVC 用全速靜脈輸液 (C)插胸管 (D)給予 inotropics
24 下列有關 emphysema 的手術敘述,何者錯誤? (A)因外科手術之危險性不低,故只有臨床上已出現 dyspnea 症狀的病患才建議手術 (B)手術方式主要是切除 large bullae,儘量保存好的肺組織 (C)手術的危險性與病患的年齡和疾病的嚴重程度有密切相關 (D)血胸(hemothorax)為術後最常見之併發症
25 關於無結石性急性膽囊炎的敘述,下列何者錯誤? (A)因無膽結石,故症狀較結石引起之急性膽囊炎輕微,預後亦較佳 (B)多發生於重病或重傷患,可能與膽囊缺血或膽汁滯留有關 (C)約占所有急性膽囊炎之 5~10% (D)大多須進行緊急膽囊切除術
26 下列何種臨床狀況,建議病患接受全靜脈營養(total parenteral nutrition, TPN)治療? (A)因急性十二指腸潰瘍穿孔接受腹腔鏡十二指腸修補縫合術,術後第三天,鼻胃管仍留置,每日引 流量約為六百毫升 (B)因胃癌住院準備接受手術,手術後體重由七十公斤降為六十五公斤,抽血檢查血清白蛋白濃度為3.2 g/dL (C)因上腸繫膜動脈血栓併腹膜炎切除大部分小腸,術後第八天 (D)因胃及小腸胃腸間質瘤(gastrointestinal stroma tumor, GIST)接受半胃切除術及小腸部分切除術, 約切除二十公分小腸,術後第三天仍未排氣,持續禁食中
27 有關闌尾類癌(appendiceal carcinoid tumor)之敘述,下列何者錯誤? (A)是闌尾最常見的惡性腫瘤 (B)大部分是無症狀的,而且小於 1 公分 (C)若是 1.8 公分大小,位於基底部(base of appendix),單純施行闌尾切除術即可 (D)若是 3 公分大小,最好施行右半結腸切除術(right hemicolectomy)
28 有關股疝氣(femoral hernia)之敘述,下列何者正確? (A)通常是雙側 (B)是婦女最常發生的疝氣類型 (C)左側較常發生 (D)常伴隨腸絞扼(strangulation)
29 有關胃手術後之併發症敘述,下列何者錯誤?(A)早期的 Dumping 症候群之症狀與低血糖的症狀完全相符,例如出冷汗、心跳加快、飢餓性震顫、 全身軟弱無力及昏迷等(B)腸吻合進入口之阻塞,其發生的症狀有嘔吐後腹痛解緩、吐膽汁、血中胰澱粉酶升高、黃疸、脂 肪痢等(C)代謝性缺鈣的病患,接受 Billroth II 吻合術之患者多於 Billroth I 吻合術的患者(D)近端腸過長是復發性潰瘍發生的原因之一
30 有關診斷腹痛之理學檢查的敘述,下列何者正確? (A)psoas sign 及 obturator sign 為診斷急性闌尾炎之充分必要條件 (B)泛腹膜炎常合併有全腹反彈痛及腸蠕音增加 (C)Courvoisier’s sign 陽性指在黃疸病患觸摸到疼痛性膽囊 (D)Grey Turner sign 表示病患可能有急性出血性胰臟炎
31 胃腺(gastric gland)中之 ECL(enterochromaffin-like)細胞分泌: (A)pepsin (B)somatostatin (C)gastrin (D)histamine
32 一位 45 歲女性因嚴重慢性胰臟炎入院,腹部超音波顯示並無偽性囊腫(pseudocyst)或膽石症 (cholelithiasis),內視鏡逆行性膽道胰管攝影(ERCP)發現胰管擴張並且有多處狹窄,則下列何種 術式最適當? (A)cholecystectomy (B)splenectomy (C)distal pancreatectomy (D)pancreaticojejunostomy(Puestow)
33 有關嬰兒幽門肥厚性狹窄(infantile hypertrophic pyloric stenosis)之敘述,下列何者正確? (A)大多出生即出現噴射性嘔吐(projectile vomiting) (B)嘔吐物以膽汁(bile)為主 (C)診斷主要依賴完整病史及腹部超音波檢查 (D)手術為胃空腸接合術(gastrojejunostomy)
複選題
34 下列何者不是腹腔鏡手術時,二氧化碳氣腹可能造成的生理影響? (A)呼吸性酸血症 (B)下腔大靜脈回流下降 (C)刺激迷走神經引起心跳加快 (D)尿量減少
35 50 歲女性罹患乳腺浸潤性管道腺癌(infiltrating ductal carcinoma),腫瘤大小為 1.2 公分,腋下淋巴 結清除為 16 顆,其中 1 顆轉移,其他檢查未發現遠端轉移,則此病患依據 AJCC(American Joint Committee on Cancer)癌症分期為第幾期?(T:Tumor, N:Node, M:Metastasis, p:pathological) (A)pT1aN0M0,Stage I A (B)pT1bN1M0,Stage I B (C)pT1cN1M0,Stage II A (D)pT1cN1M0,Stage II B
36 有關女性乳房纖維性腺瘤(fibroadenoma)的敘述,下列何者錯誤? (A)其腫瘤大小常見為 1 或 2 公分 (B)常見於 15 至 25 歲年輕女性 (C)多發性的纖維性腺瘤並非少見 (D)由於常會導致乳癌,故一定要切除
37 29 歲女性經門診醫師診斷甲狀腺單邊有一結節,有關診斷之敘述,下列何者錯誤? (A)應有發生時間及症狀、家族史的資料 (B)做超音波及 FNA(小針切片細胞學檢查) (C)做 TSH 檢查 (D)做 CT 及 MRI 檢查
38 腎衰竭病人洗腎七年後血清檢查鈣約 10.2 mg/dL,副甲狀腺素 1300 pg/mL,則最可能的診斷為何? (A)原發性副甲狀腺機能亢進,副甲狀腺腫瘤(adenoma) (B)原發性副甲狀腺機能亢進,副甲狀腺增生(hyperplasia) (C)次發性(secondary)副甲狀腺機能亢進 (D)三次性(tertiary)副甲狀腺增生
39 40 歲男性,過去有長期高血壓及低血鉀的病史,並未接受藥物治療。最近一周來,因為反覆性的頭 痛、心悸、全身無力而入院檢查。理學檢查上除了高血壓(190/100 mmHg)外,無其他異常發現。血 液檢查顯示有低血鉀,血中aldosterone上升,renin activity下降。24 小時尿液檢查,鉀排出明顯增加 。腹部電腦斷層顯示右側腎上腺有一 1.3 公分腫瘤,而核醫I131-NP59 scan顯示雙側腎上腺對稱性增加 顯影。對於這個病患,下列何種檢查較能區分aldosterone-producing adenoma或是bilateral adrenal hyperplasia造成的idiopathic hyperaldosteronism? (A)bilateral adrenal vein sampling (B)24hr urine VMA, catecholamine (C)24hr urine potassium (D)abdominal CT scan
40 臨床上,對於無症狀的原發性副甲狀腺機能的病患,下列何者不是建議手術的適應症? (A)血鈣大於 10 mg/dL (B)Creatinine clearance(Ccr)降低超過 30%以上 (C)年紀大於 60 歲 (D)腰椎骨密度明顯降低(t-score < -2.5)
41 45 歲女性,最近數月來發現右側甲狀腺位置有一約 2 公分左右無痛腫塊,而至門診求診,病患過去 偶有高血壓的情況,且因腎結石做過幾次體外震波碎石術,其母親也因甲狀腺癌過世。則臨床上鑑 別診斷,下列何者較無診斷價值? (A)血中 calcitonin 濃度 (B)血中副甲狀腺素(iPTH)濃度 (C)尿液 catecholamines 濃度 (D)血中 thyroglobulin 濃度
42 甲狀腺懸後韌帶附在氣管上,此韌帶又叫: (A)coronary ligament (B)triangular ligament (C)Berry’s ligament (D)belt ligament
43 下列何者不是 Addison’s disease 常見之症狀? (A)體重增加 (B)血壓低 (C)色素沈澱增加 (D)肌肉無力
複選題
44 先天橫膈膜疝氣(congenital diaphragmatic hernia)的嬰兒,其出生須急救的步驟不包括下列何者? (A)氣管內插管(endotracheal tube) (B)面罩(mask)呼吸 (C)放置胃管 (D)動脈及靜脈導管
45 有關隱睪症(undescended testis)之敘述,下列何者錯誤? (A)會合併腹股溝疝氣(inguinal hernia) (B)手術時機應在上小學時 (C)沒有處理的隱睪有發生惡性睪丸腫瘤的機會 (D)沒有處理的隱睪易造成不孕
46 Honeymoon period 與下列何種疾病有關? (A)腸道閉鎖 (B)先天性膽道閉鎖 (C)臍膨出 (D)先天性橫膈膜疝氣
47 Ladd’s procedure 是下列何種疾病的手術方式? (A)小腸閉鎖(intestinal atresia) (B)無肛症(imperforate anus) (C)小腸複製畸型(intestinal duplication) (D)小腸扭轉不全(malrotation)
48 55 歲陳先生因為膽結石接受腹腔鏡膽囊切除,手術過程中麻醉科醫師發現病人血壓下降,則下列何 種處置不恰當? (A)檢查腹腔內有無出血 (B)提高二氧化碳氣腹壓力設定 (C)抽血做動脈血分析 (D)將手術台調回正常水平位置
49 根據AJCC-TNM(第 6 版)系統以及Modified Astler-Coller的分期,一個T4N0M0,stage IIB的大腸直腸癌相當於後者的那一期?(A)B
4
(B)B
3
(C)B
2
(D)B
1
50 有關 urea recycling 之敘述,下列何者錯誤? (A)urea recycling 的現象對 liver failure 之病人有利 (B)人類本身無法製造 urease (C)長期食用低蛋白高纖維食物的人,其 urea recycling 較多 (D)大腸內細菌可發揮 urea recycling 之作用
51 對 chronic ulcerative colitis 的病人而言,下列何者非促成其形成癌症的因素之一? (A)潰瘍之深度 (B)發病年齡 (C)罹病之期限 (D)病變範圍
52 有關乳房超音波檢查之敘述,下列何者錯誤? (A)乳房簡單性水瘤(simple cyst)在超音波檢查呈現,邊緣平滑,內在無音波(echo-free) (B)乳房超音波可以做為篩檢的工具,效果比乳房 X 光攝影佳,且可降低更多的死亡率 (C)乳房超音波針對小於 1 公分病灶不易區別良惡性 (D)乳癌於乳房超音波影像常呈現邊緣不規則,但外形整齊者亦常見
53 有關肛門瘻管的敘述,下列何者錯誤? (A)肛門瘻管多由肛門腺體發炎所致 (B)瘻管依瘻管解剖走向之不同分為四種型態,而其中以 trans-sphincteric type 最常見 (C)Goodsall’s rule 是指瘻管外口位於後半面肛周皮膚時,其內口常位於正後方肛門內 (D)瘻管手術治療時,內括約肌(internal sphincter)多半會被切斷
54 依據 TNM 分期標準,有關大腸直腸癌的臨床分期之敘述,下列何者錯誤? (A)T2N0M0為第I期 (B)T1N1M0為第II期 (C)T3N2M0為第III期 (D)T3N0M1為第IV期
55 有關潰瘍性大腸炎(ulcerative colitis)與克隆氏疾症(Crohn’s disease)之比較敘述,下列何者錯誤? (A)潰瘍性大腸炎之炎症反應只侷限於腸壁之黏膜層及黏膜下層 (B)克隆氏疾症之炎症反應,影響腸壁全層 (C)潰瘍性大腸炎可有偽息肉(pseudopolyp)之表現 (D)克隆氏疾症沒有偽息肉之表現
56 關於肩關節脫臼及不穩定(shoulder dislocation and instability),下列敘述何者錯誤? (A)前向脫臼(anterior dislocation)比後向脫臼(posterior dislocation)常見 (B)在前向脫臼(anterior dislocation)中,須注意可能併發神經損傷,其中以橈神經(radial nerve)損 傷最為常見 (C)若第一次發生脫臼的年齡小於 20 歲,則日後有較高的機會發生再發性脫臼(recurrent dislocation) (D)肩關節若有多重方向性不穩定(multidirectional instability),通常不是由創傷造成,治療時以物理 治療為優先選擇
57 有關於肩關節旋轉肌袖破裂(rotator cuff tear),最容易發生在其中那一條肌肉? (A)棘上肌(m. supraspinatus) (B)棘下肌(m. infraspinatus) (C)肩胛下肌(m. subscapularis) (D)小圓肌(m. teres minor)
58 一位 30 歲女性抱怨左手腕處疼痛 3 個月,求診時局部腫脹,觸診時明顯壓痛,同時可摸到軟組織腫 塊。X 光片在左橈骨遠端骨骺(epiphysis)及幹骺(metaphysis)有一地圖樣式(geographic pattern) 破壞的病灶,無骨膜反應(periosteal reaction)。最有可能的診斷為:
(A)骨囊腫(simple bone cyst) (B)滑液膜軟骨增生症(synovial chondromatosis) (C)纖維性骨發育不良(fibrous dysplasia) (D)骨巨大細胞瘤(giant cell tumor of bone)
59 有關鷹嘴突骨折的診治敘述,何者正確? (A)最常由於直接撞擊引起,肘部無法主動性屈曲 (B)經常會傷及關節面,且常常併發肘部僵直 (C)骨折斷端常被肱二頭肌拉開 (D)最常使用石膏包紮方式治療
60 在兒童肱骨下端髁上骨折(supracondylar fracture)中,最常合併受損的是那一條神經? (A)臂神經叢(brachial plexus) (B)前骨間神經(anterior interosseous nerve) (C)背骨間神經(dorsal interosseous nerve) (D)尺骨神經(ulnar nerve)
61 下列關於營養不良型(dystrophic type)神經纖維瘤脊椎側彎的敘述,何者錯誤? (A)經常是短的,急性彎曲的側彎 (B)背架的治療效果佳 (C)經常合併駝背變形 (D)是遺傳性疾病
62 下列關於青春期特發性脊椎側彎(adolescent idiopathic scoliosis)的敘述,何者錯誤? (A)流行率約為 2~3% (B)小幅度的側彎(10 度左右),男女發生率差不多 (C)較大幅度的側彎(大於 30 度),女生約為男生的十倍多 (D)胸椎側彎通常凸側在左邊(convex to the left)
63 下列何者不會造成內八字步態(in-toeing gait)? (A)metatarsal adductus (B)planovalgus foot (C)medial tibial torsion (D)hyperanteversion of hip
64 尿路結石的發生和下列何種狀況較少有關連? (A)腎移植 (B)懷孕 (C)肥胖 (D)馬蹄腎
65 陳先生 17 歲,最近發現右側睪丸有一 2.5 × 2.0 公分無痛性腫塊,陰囊超音波檢查發現副睪丸正常, 右側睪丸有一低回音病灶(hypoechoic lesion),血液檢查腫瘤標記(tumor markers)甲型胎兒蛋白 (AFP)為 5 ng/mL,乙型人類脈絡膜生殖腺素(beta-hCG)< 5 mIU/mL,對陳先生下一步的建議應是: (A)由陰囊開刀施行睪丸切片檢查,必要時睪丸切除 (B)由陰囊行超音波經皮睪丸切片檢查 (C)觀察,每年抽血測 AFP 及 beta-hCG (D)經由腹股溝進行探查手術,必要時將睪丸切除
66 Ta 期膀胱癌經內視鏡完全切除(TUR)後再加上膀胱內藥物灌注之適應症,不包括下列何者? (A)多發性膀胱癌 (B)復發性膀胱癌 (C)大的膀胱癌 (D)低度分化者
67 在攝護腺肥大併慢性尿滯留的老年男性中,下列何者不是常見的膀胱變化? (A)膀胱順應性(compliance)良好 (B)逼尿肌(detrusor)收縮力下降 (C)逼尿肌不穩定(detrusor instability) (D)逼尿肌肥厚
68 60 歲女性病人就診前三個月因子宮頸癌切除子宮,手術後曾經發生急性尿滯留。其後,須用力排尿, 且常發生膀胱炎及恥骨上方疼痛。什麼檢查可給予診斷或治療最大之幫助? (A)核子醫學檢查 (B)尿路動力學檢查 (C)膀胱放射攝影 (D)靜脈注射尿路攝影
69 下列有關氣腫性腎盂腎炎(emphysematous pyelonephritis)的治療原則中,何者是治療初期較少考慮 的? (A)控制血糖 (B)投予抗生素 (C)經皮引流 (D)立即腎切除
70 攝護腺癌的根除手術會引起勃起功能障礙,所以手術中泌尿外科醫師會注意那部分組織的保留,來 維護病人的性功能? (A)海綿體動脈 (B)海綿體靜脈 (C)勃起相關神經 (D)海綿體組織
複選題
71 Kallmann syndrome 會引起腦下垂體功能不足,導致不孕,並伴隨有那種感官障礙? (A)視覺 (B)嗅覺 (C)聽覺 (D)味覺
72 30 歲女性病患,外傷後手腕疼痛,最初先採民俗療法,一個半月後未見改善,故接受影像檢查。A 圖為正面之 X 光攝影,B 圖為 T1WI, coronal view,病患正確診斷應為何?
(A)osteomyelitis of scaphoid (B)scaphoid fracture with avascular necrosis (C)lunate fracture with dislocation (D)osteolytic bone tumor of scaphoid with fracture
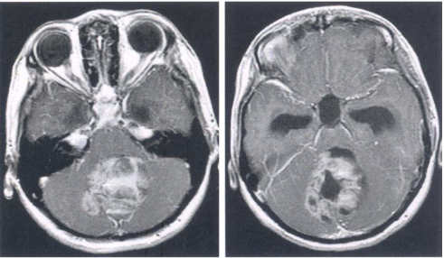
73 14 歲女孩,主訴頭痛、視力模糊,根據此二張注射 Gd-DTPA 的 MRI, T1WI,最可能的診斷是:
(A)cerebellar vermis hemorrhage due to AVM (B)cerebellar vermis medulloblastoma (C)cerebellar vermis hemangioblastoma (D)cerebellar tonsilar herniation
74 80 歲林先生,近來感覺疲倦、頭暈。家人說他瘦了,皮膚蒼白。血液檢查肝功能正常,進而為他做 鋇劑灌腸 X 光攝影檢查,影像如圖示。林先生最可能患了什麼病?
(A)潰瘍性大腸炎(ulcerative colitis) (B)結腸套疊(intussusception) (C)克隆氏疾症(Crohn’s disease) (D)結腸癌(colon cancer)
75 下列各項有關「休克」(shock)的敘述,何者錯誤? (A)收縮壓開始下降時,表示出血量已達體內血液量的 30% (B)神經性休克(neurogenic shock)常伴隨脈搏壓(pulse pressure)下降 (C)出血程度是以理想體重百分比計算之 (D)小兒血量之計算標準是每公斤 80 mL 到 90 mL
76 胸部創傷為外傷病人常見的傷害,在初步評估(primary survey)時,要注意有無立即生命危險的胸部創傷(immediately life-threatening chest injuries),下列何種不是有立即生命危險的胸部傷害?(A)張力性氣胸(B)開放性氣胸(C)橫膈破裂(D)大量血胸(1500 mL 以上)
77 股骨骨折可併發脂肪栓塞,下列那些是診斷脂肪栓塞的三大要件?①意識混亂 ②呼吸困難 ③胸 痛 ④皮下點狀出血 (A)①②③ (B)①②④ (C)①③④ (D)②③④
78 李太太因糖尿病合併腎衰竭接受血液透析多年,三年前接受丈夫捐贈的腎臟進行移植。現因 C 型肝 炎合併肝硬化及肝衰竭等待肝臟移植,李先生又成為活體捐贈的候選人。在評估李先生是否合適作 為捐贈者,除了身體狀況外,下列心理及社會因素中何者非為主要的考量因素? (A)李先生對手術本質的了解和捐贈的意願 (B)李太太對丈夫的一再犧牲是否深受壓力 (C)除李先生之外是否還有其他人可以捐贈 (D)李先生的父母是否同意 代號:3102 頁次:12-12
複選題
79 今年 60 歲的楊伯伯一年前因胃癌住院接受手術治療,最近被證實已有復發且轉移至肺部,預計存活 時間剩下約只有半年。在獲知這個壞消息之後,楊伯伯要求醫師不要告知他新婚半年的外籍太太實 際的病情,因為楊伯伯騙她在一年前是因胃潰瘍開刀而未告知自己罹患癌症的真相,怕她知道後會 不諒解而離棄他。下列是醫師向楊伯伯的回應,其中何者最為合宜? (A)指出楊太太有權知道真相,故醫師在楊太太詢問時會據實以告 (B)告知應由楊伯伯自己向太太坦白承認,但如果楊太太有詢問的話,也不會幫助隱瞞 (C)表示理解楊伯伯,但誠實才是正確之途,指導楊伯伯一些溝通的技巧 (D)同意隱瞞並教導如何與楊太太作應對
80 我國醫療現況,下列何者正確? (A)一般情況下,病人為未成年人或無法親自簽署手術同意書者,醫院社工人員可代為簽署 (B)若未經病患或代理人同意而實施醫療行為,可能構成法律上的責任 (C)病患簽署同意書,可免除醫療人員醫療疏失之責任 (D)醫療法第 60 條規定:「醫院、診所遇有危急病人,應先予適當之急救,並即依其人員及設備能力 予以救治或採取一切必要措施,不得無故拖延。」因此醫師必須盡一切可能救治所有病人
申論題 (0)
相關試卷
115年 - 115-1 專技高考_醫師(二):醫學(五)(包括外科、骨科、泌尿科等科目及其相關臨床實例與醫學倫理)#137338
115年 · #137338
114年 - 114-2 專技高考_醫師(二):醫學(五)(包括外科、骨科、泌尿科等科目及其相關臨床實例與醫學倫理)#127923
114年 · #127923
114年 - 114-1 專技高考_醫師(二):醫學(五)(包括外科、骨科、泌尿科等科目及其相關臨床實例與醫學倫理)#125088
114年 · #125088
113年 - 113-2 專技高考_醫師(二):醫學(五)(包括外科、骨科、泌尿科等科目及其相關臨床實例與醫學倫理)#120655
113年 · #120655
113年 - 113-1 專技高考_醫師(二):醫學(五)(包括外科、骨科、泌尿科等科目及其相關臨床實例與醫學倫理)#118719
113年 · #118719
112年 - 112-2 專技高考_醫師(二):醫學(五)(包括外科、骨科、泌尿科等科目及其相關臨床實例與醫學倫理)#114977
112年 · #114977
112年 - 112-1 專技高考_醫師(二):醫學(五)(包括外科、骨科、泌尿科等科目及其相關臨床實例與醫學倫理)#113148
112年 · #113148
111年 - 111-2 專技高考_醫師(二):醫學(五)(包括外科、骨科、泌尿科等科目及其相關臨床實例與醫學倫理)#108727
111年 · #108727
111年 - 111-1 專技高考_醫師(二):醫學(五)(包括外科、骨科、泌尿科等科目及其相關臨床實例與醫學倫理)#106181
111年 · #106181
110年 - 110-2 專技高考_醫師(二):醫學(五)(包括外科、骨科、泌尿科等科目及其相關臨床實例與醫學倫理)#99917
110年 · #99917