阿摩線上測驗
登入
首頁
>
醫學四:80題 ( 包括小兒科,皮膚科,神經科,精神科等科目及其相關臨床實例與醫學倫理 )
> 102年 - 102-1 專技高考_醫師(二):醫學(四)(包括小兒科、皮膚科、神經科、精神科等科目及其相關臨床實例與醫學倫理)#36802
102年 - 102-1 專技高考_醫師(二):醫學(四)(包括小兒科、皮膚科、神經科、精神科等科目及其相關臨床實例與醫學倫理)#36802
科目:
醫學四:80題 ( 包括小兒科,皮膚科,神經科,精神科等科目及其相關臨床實例與醫學倫理 ) |
年份:
102年 |
選擇題數:
80 |
申論題數:
0
試卷資訊
所屬科目:
醫學四:80題 ( 包括小兒科,皮膚科,神經科,精神科等科目及其相關臨床實例與醫學倫理 )
選擇題 (80)
1 一位 3 歲男童發燒 5 天,有嚴重咳嗽,眼睛發紅,臉部與軀幹部有米粒至豌豆大小斑丘疹,並無水泡, 頸部淋巴腺腫大。上述描述中那一項是麻疹的特徵,而且較少見於川崎氏病(Kawasaki’s disease)? (A)咳嗽 (B)皮疹大小形狀 (C)眼睛發紅 (D)頸部淋巴腺腫大
2 下列有關先天性巨大結腸症(Hirschsprung disease)之敘述,何者錯誤? (A)病灶好發於直腸乙狀結腸(rectosigmoid)處 (B)出現胎便(meconium)排出遲緩現象 (C)可能出現小腸結腸炎(enterocolitis)合併敗血症 (D)肛診可發現肛門張力(anal tone)下降
3 一位母親帶其 8 歲 6 個月之男孩求診,測量其身高為 130 公分(第 50-75 百分位),體重為 43 公 斤(>第 95 百分位),此男孩之身體質量指數(body mass index, BMI)為: (A) 23.7 (B) 25.4 (C) 26.6 (D) 34.6
4 下列關於腸病毒感染的敘述,何者錯誤? (A)哺餵母乳可以減少腸病毒感染 (B)手足口症主要由克沙奇 A16(coxsackievirus A16)和腸病毒 71 型(enterovirus 71)感染所致 (C)腸病毒 71 型感染是造成腦幹腦炎等重症的主要原因之一 (D)腸病毒感染最好發於春季
5 一位 6 歲男孩不自主的臉部肌肉抽動,合併清喉嚨或無意義的重複聲音,症狀在病患緊張時會更明 顯,睡覺時會消失。此男孩最可能為下列何種疾病? (A)妥瑞氏症(Tourette’s syndrome) (B)中風(stroke) (C)癲癇(epilepsy) (D)錐體外系反應(extrapyramidal symptoms)
6 一位罹患惡性腫瘤的 5 歲男童在作完第五次化療後發現尿中有蛋白。單次小便的 protein/creatinine < 1.0。 同時尿液中發現有糖分、磷酸及碳酸(glycosuria,phosphaturia,bicarbonate loss)。下列何種組織構造是其受傷部位? (A)腎絲球(glomerulus) (B)近端腎小管(proximal tubules) (C)亨利氏環(Henle’s loop) (D)遠端腎小管(distal tubules)
7 患者長期服用抗癲癇藥物時,下列何種情況最不需要做血中藥物濃度監測?(A)懷疑病人服藥不確實(B)癲癇發作呈現重積狀態(C)病人本身有肝腎疾病(D)合併使用無交互作用之藥物
8 今天清晨,一位 10 幾歲的男孩被送來急診室。身體診查發現男孩意識昏迷,抽血檢驗發現血鈉 139 mmol/L;血中尿素氮 74 mg/dL;血中肌酸酐(serum creatinine)值為 3.1 mg/dL;肌酸激酶(creatine kinase)值為3365 U/L。尿液分析顯示Occult blood:強陽性(4+);Protein:陰性(-);WBC 3-5/HPF; RBC 0-2/HPF。下列那一種檢驗結果組合最可能發生在此男孩上? (A)高血磷(hyperphosphatemia)合併高血鈣(hypercalcemia) (B)高血磷(hyperphosphatemia)合併低血鈣(hypocalcemia) (C)低血磷(hypophosphatemia)合併高血鈣(hypercalcemia) (D)低血磷(hypophosphatemia)合併低血鈣(hypocalcemia)
9 下列有關雷氏症候群(Reye syndrome)之敘述,何者錯誤? (A)病情大多為劇烈嘔吐後出現意識障礙 (B)病理變化為肝、腦細胞之微細脂肪顆粒沈積 (C)血中轉胺基酶值(GOT、GPT)及氨值會升高 (D)此病之發生與服用水楊酸(salicylate)無關
10 結節性硬化症(tuberous sclerosis)的診斷依據,不包括下列何者? (A) cardiac rhabdomyoma (B) renal angiomyolipomas (C) pulmonary lymphangioleiomyomatosis (D) meningioma
11 關於第一型維生素 D 依賴型佝僂症(Vitamin D-dependent rickets type 1)之敘述,下列何者錯誤? (A)腎臟 1α-羥化酶(1α-hydroxylase)突變所致 (B)常於兩歲前發病 (C)低血清 25-hydroxyvitamin D 濃度 (D)可給予長效 calcitriol 治療
12 有關新生兒篩檢 21-羥酶缺乏(21-hydroxylase deficiency)的敘述,下列那一項錯誤? (A)可防止罹患失鹽型嬰兒(infants with salt-wasting disease)死於腎上腺危症(adrenal crisis) (B)偽陽性(false-positive)率太高 (C)早產兒的偽陽性率比足月新生兒的偽陽性率低 (D)對非典型先天性腎上腺增生(nonclassical congenital adrenal hyperplasia)患兒的偵測仍不理想
13 一位三週大足月順產男嬰,出生體重 3800 公克,因持續發生低血糖而就診,身體檢查未發現任何異 常,先前作過的實驗室檢查顯示當其血糖值為 25 mg/dL 時,血漿酮體(ketone bodies)濃度測不到 亦無酸血症(acidosis)。下列那一項檢查對此病人診斷的確立,最沒有幫助? (A)血清胰島素(Insulin)濃度 (B)血漿氨(Ammonia)濃度 (C)左旋-多巴試驗(L-Dopa test) (D)升糖素試驗(Glucagon test)
14 當人體的呼吸道暴露在有過敏原的環境時,會產生早期支氣管攣縮反應(early bronchospastic response), 導致氣喘病的急性發作,其主要原因為: (A)化學激素(chemokine)分泌引致嗜伊紅性白血球的趨化作用(chemotaxis) (B)第一型輔助細胞(TH1 cells)產生介白質-2(interleukin-2)及丙型干擾素(interferon-gamma) (C)肥胖細胞(mast cells)分泌組織胺(histamine)及白三烯素(leukotriene) (D)呼吸道杯狀細胞增生(goblet cell hyperplasia)及黏液積滯(mucus plug)
15 使用靜脈注射 cyclophosphamide 來治療全身性紅斑狼瘡(systemic lupus erythematosus)患者合併嚴 重性腎炎(lupus nephritis)時,下列那一項不是其常見的併發症? (A)發生骨髓造血功能抑制 (B)發生細菌性膀胱炎 (C)發生不孕症 (D)掉頭髮
16 3 歲的小芳這 2 天突然不太願意走路,而且伴有發燒現象。身體診查顯示右膝關節腫脹,疑似化膿性 關節炎,下列那一種細菌最常見於此種關節炎中? (A) Haemophilus influenzae type b (B) Staphylococcus aureus (C) Salmonella (D) Streptococcus pneumoniae
17 嬰幼兒血管瘤(hemangioma)最好發於下列那一個內臟器官? (A)腦部 (B)腸道 (C)腎臟 (D)肝臟
18 一位 7 歲大的男孩因近一個月來臉色蒼白、腹脹、活動力較差到門診求診,血液常規檢查結果如下: WBC:320,000/mm
3
(segment 2%;lymphocyte 25%;blast cell 72%)、RBC:2.30×106 /mm
3
、Hb:6.0 g/dL、血小板:10,000/mm
3
。身體診查發現肝臟及脾臟有腫大現象。他最不可能出現下列那一項 血液檢查結果? (A)尿酸(uric acid):10 mg/dL (B)鉀離子(K
+
):6 mEq/L (C)無機磷(phosphorus, inorganic):8.6 mg/dL (D)鈉離子(Na
+
):155 mEq/L
19 一位 1 歲 10 個月大的男孩因近一個月來臉色蒼白、胃口降低、活動力較差到門診求診,身體診查肝臟 及脾臟並無腫大現象,血液常規檢查結果如下:WBC:6,100/mm
3
(segment 55%;lymphocyte 42%)、 RBC:2.30×106 /mm
3
、Hb:6.5 g/dL、MCV 62 fL、MCH 19 pg/cell、RDW(RBC distribution width)上 昇、血小板:250,000/mm
3
,他最有可能是下列那一種疾病? (A)缺鐵性貧血(iron deficiency anemia) (B)海洋性貧血症(thalassemia) (C)再生不良性貧血症(aplastic anemia) (D)急性白血病(acute leukemia)
複選題
20 當一位健康新生兒出生數小時內發生皮膚壞死性紫斑(necrotic purpura)及血管栓塞的 neonatal purpura fulminans,最可能是下列那一種遺傳性疾病? (A) Protein C 缺乏 (B) Protein S 缺乏 (C)血友病(hemophilia) (D) von Willebrand 病
21 下列何者為剛滿 1 歲小孩應有之發展程度? (A)會跑 (B)會說“爸"、“媽"等單字 (C)會疊起四塊積木 (D)會用湯匙喝湯
22 一位 10 歲男孩,因高血壓來診,身體診查發現右上肢血壓為 180/90 mmHg,背後兩肩胛骨間有一收 縮期雜音。並發現兩側股動脈之脈動摸不清楚,但兩側橈(radial)動脈很清楚。下列何種疾病應優 先列入鑑別診斷? (A)主動脈弓縮窄(coarctation of aorta) (B)主動脈瓣狹窄(aortic stenosis) (C)上主動脈瓣狹窄(supravalvular stenosis) (D)下主動脈瓣狹窄(subaortic stenosis)
23 下列那些心臟疾病最常聽到收縮期雜音?①心室中隔缺損 ②開放性動脈導管 ③二尖瓣逆流 ④ 主動脈逆流 (A)①③ (B)①④ (C)②③ (D)②④
24 下列有關人類染色體的敘述,何者錯誤? (A)有 22 對體染色體 (B)有兩個性染色體,X 和 Y (C) 46,XX 和 47,XXY 都是女性 (D) X 和 Y 染色體有一小部分的相似度很高,被稱為 pseudo-autosomal region
複選題
複選題
25 楓糖尿症是一種支鏈胺基酸代謝異常疾病。患者因為支鏈胺基酸以及其副產物堆積而引起腦病變。 臺灣發現這一項疾病在原住民發生率特別的高,後續的研究發現,下列那一項敘述最不合理? (A)大部分的原住民患者可以看到一個相同的突變,稱作 founder effect (B)在蒙古可以看到和臺灣原住民相同的突變 (C)臺灣漢人患者的突變種類變異性比原住民大 (D)臺灣原住民表兄妹結婚相當普遍
26 溶小體貯積症是由於溶小體中的某一項水解酵素缺乏所導致,如高雪氏症、龐貝氏症、以及黏多醣 貯積症等。目前有一項新的治療,在工廠利用細胞製造出溶小體酵素,再用靜脈注射的方法打回患 者體內。有關此酵素補充治療,那一項敘述錯誤? (A)打入患者體內的酵素,被細胞攝取後送到溶小體中發揮其功能 (B)這些注入患者體內的蛋白質大分子,有可能被身體視為異物而產生抗體 (C)這些大分子蛋白質很容易進入腦部,緩解患者之神經症狀 (D)黏多醣貯積症引起的骨骼病變,治療後常常不容易恢復
27 一個足月順產的新生兒,出生的前 2 天並沒有異狀,也已經開始規律性的哺乳。但是在第 3 天時出 現進食不良以及嗜睡的現象,經抽血檢查後疑似尿素循環障礙。您覺得下列那一組實驗室診斷數據, 最能讓您做出上述的診斷? (A)Glucose 60 mg/dL, pH 7.45, NH3:800 μmol/L, Lactic acid 2.5 mmol/L (B)Glucose 50 mg/dL, pH 7.10, NH3:120 μmol/L, Lactic acid 4.0 mmol/L (C)Glucose 50 mg/dL, pH 7.40, NH3:50 μmol/L, Lactic acid 2.5 mmol/L (D)Glucose 10 mg/dL, pH 7.30, NH3:50 μmol/L, Lactic acid 12 mmol/L
28 下列那一項是手足口病與其他出疹性疾病的鑑別診斷要點之一? (A)手足口病的疹子直徑通常超過 1 公分 (B)手足口病患者的牙齦大多有浮腫發炎現象 (C)手足口病常於臀部出現疹子 (D)手足口病常合併發生結膜炎
29 下列有關透納氏症(Turner syndrome)之敘述,何者錯誤? (A)身材矮小及蹼狀頸 (B)出生時手足出現淋巴性水腫 (C)染色體基因型 45,X 最常見 (D)常造成女性初經提早或第二性徵早熟
30 (A) Japanese encephalitis virus (B) Salmonella typhi (C) Streptococcus pneumoniae (D) Mycoplasma pneumoniae
31 承上題,應該進行那一種檢驗以確認上述最可能的病原? (A)血液培養 (B)血清抗體檢驗 (C)腦脊髓液培養 (D)尿液抗原檢測 66
32 一位 3 個月大的男童咳嗽 10 天,最近 3 天開始發燒、呼吸急促。肺部聽診兩側有喘鳴聲(wheezes) 與粗囉音(coarse crackles),並有肋骨下凹陷現象(subcostal retraction)。胸部 X 光片如圖所示, 下列那一種檢查最有助於診斷?
(A) Respiratory syncytial virus antigen test (B) Mycoplasma pneumoniae IgG and IgM (C) Urine test for vanillylmandelic acid (D) Bone marrow biopsy
33 一位 3 個月大的女嬰因為發燒 5 天住院。尿液常規檢查發現:白血球 100-150/HPF,紅血球 36-50/HPF, 尿蛋白 30 mg/dL,nitrite(+),尿液細菌培養報告為 Escherichia coli > 100,000 colonies/mL。腎核子醫 學檢查結果如圖,接下來最適合安排何種檢查?
(A)靜脈腎盂攝影(intravenous pyelogram) (B)膀胱輸尿管攝影檢查(voiding cystourethrogram) (C)腎電腦斷層檢查(renal computed tomography) (D)膀胱鏡檢查(cystoscope)
34 一位 70 歲病患有肺癌,目前在接受化學治療,期間發現身體軀幹右側有如圖之皮膚表徵。下列敘述 何者錯誤?
(A)病患曾經得過水痘(chickenpox) (B)病患痊癒後,疼痛的感覺可能會持續一陣子 (C)若隔壁床病患先有相同症狀,此病患可能是被隔壁病患急性傳染得到 (D)使用抗病毒藥物如 acyclovir,須注意腎功能
35 (A) foreign body granuloma (B) tuberculosis verrucosa cutis (C) chromomycosis (D) sporotrichosis
36 承上題,關於該疾病病程的敘述,何者錯誤? (A)病程進展的快慢,和患者的免疫狀態有關 (B)慢性角化性病變處,有產生鱗狀細胞癌的可能 (C)患部熱敷可輔助治療 (D)口服 itraconazole 三個月是極為有效的標準治療
37 一位 20 歲男性,為 HIV 帶原者,自一年前陸續在臉上及軀幹長出多個如圖 A 的無症狀紫色至褐色 的皮膚結節,皮膚切片如圖 B,可見許多紡錘狀細胞(spindle cell)增生,及許多類似血管腔的構造。 Polymerase chain reaction(PCR)發現病變有 human herpes virus 8(HHV-8)的 DNA。最可能的診斷 為:
(A)黑色素細胞瘤(melanoma) (B)微血管性血管瘤(capillary hemangioma) (C)卡波西氏肉瘤(Kaposi sarcoma) (D)基底細胞瘤(basal cell carcinoma)
38 一位 25 歲病患,發現如圖所示之病變。最可能的診斷為何?
(A) multiple sclerosis (B) systemic sclerosis (C) tuberous sclerosis (D) neurofibromatosis
39 (A)疱疹樣皮膚炎(dermatitis herpetiformis) (B)尋常性天疱瘡(pemphigus vulgaris) (C)類天疱瘡(bullous pemphigoid) (D)落葉性天疱瘡(pemphigus foliaceus)
40 承上題,發生這種自體免疫疾病,是因體內出現了自體抗體(autoantibody)對抗下列那種成分所致? (A) BP180 (B) desmoglein I (C) desmoglein III (D) keratin 5
41 一位 45 歲女性自述從三年前開始,臉部、四肢伸側及身體多處出現無症狀白色斑塊,如圖所示。您 所建議她接受的治療項目中,下列何者最不適當? (A)短窄波長紫外線治療(narrow-band UVB phototherapy) (B)長波長紫外線光化學治療(PUVA phototherapy) (C)外用類固醇藥膏 (D)脈衝光治療(intense pulse light therapy)
42 一位 40 歲男性,在腋下、腹股溝及頸側皮膚反覆發生疼痛性表淺潰瘍,家族三代成員多人有相同臨 床症狀,夏天會惡化,皮膚病理切片及病灶特徵如圖所示。診斷為何?
(A)天疱瘡(pemphigus) (B)類天疱瘡(bullous pemphigoid) (C)家族良性慢性天疱瘡(Hailey-Hailey disease) (D)對磨疹(intertrigo)
43 以異位性皮膚炎和經常性感染為臨床表現,並且合併有血小板降低的免疫不全症候群為: (A) Wiskott-Aldrich syndrome (B) X-linked agammaglobulinemia (C) Hyper-IgE syndrome (D) Netherton syndrome
44 使用 tacrolimus 或 pimecrolimus 藥膏治療異位性皮膚炎,與使用類固醇藥膏比較,其最大的優點在於: (A)止癢效果較快 (B)不會引起毛囊炎 (C)不會引起皮膚萎縮 (D)價錢較便宜
45 化學治療時造成的落髮原因中,最常見的是下列何者? (A)圓禿(alopecia areata) (B)休止期落髮(telogen effluvium) (C)生長期落髮(anagen effluvium) (D)腫瘤性禿髮(alopecia neoplastica)
46 60 歲男性於腹主動脈剝離後 3 日,發現雙下肢無力與麻木、失禁,神經學檢查顯示下肢的感覺功能 異常,但下列何感覺功能仍可能是正常? (A)振動感(vibration) (B)觸感(touch) (C)溫度感(temperature) (D)針刺感(pin-prick)
47 一位 30 歲的男性主訴突然於左上方的視野看到閃光,逐漸的呈鋸齒狀,之後越來越大,約 15 分鐘 後閃光停止,但是幾分鐘後頭痛就逐漸產生,持續好幾個小時,而且伴隨著噁心感。這是他最近半 年來第三次發作。下列何者為最可能的診斷? (A)癲癇 (B)預兆性偏頭痛 (C)暫時性腦缺血 (D)青光眼
48 一位 85 歲的老先生最近一星期有新發作的右側偏頭痛,而且一天比一天嚴重,媳婦說老先生這兩天 有嗜睡的傾向,檢查時發現左臂力道稍弱,則最可能的診斷是: (A)偏頭痛 (B)右側鼻竇炎 (C)硬腦膜下出血 (D)老年憂鬱症
49 關於三叉神經痛的敘述,下列何者正確? (A)大部分於年輕時就發病 (B)三叉神經中以第一分枝最容易被侵犯 (C)可在臉上特定點找到可以誘發發作的區域 (D)疼痛區域常常會超過三叉神經分布的範圍
50 一位 35 歲的女性病患,身高 155 公分,體重 85 公斤,來到門診主訴頭痛和視力模糊已有好幾個月。 除眼底檢查發現有兩側視乳突水腫(papilledema)外,神經學檢查正常。腦部磁振造影檢查也無特 殊發現。下列何者為最可能的診斷? (A)腦膜炎 (B)原發性顱內高壓 (C)青光眼 (D)偏頭痛
51 下列何者不屬於三核苷酸重複異常(trinucleotide-repeat disorder)? (A)亨丁頓舞蹈症(Huntington’s chorea) (B)第三型脊髓小腦共濟失調(spinocerebellar ataxia type 3) (C)甘迺迪病(Kennedy disease) (D)運動神經元疾病(motor neuron disease)
52 下列何者不是阿茲海默症(Alzheimer’s disease)的早期病徵? (A)新學習能力障礙 (B)在新環境易迷失方向 (C)命名困難(dysnomia) (D)遠期記憶(remote memory)障礙
53 肌萎縮性側索硬化(Amyotrophic lateral sclerosis, ALS)不會產生下列那個症狀? (A) Sensory loss (B) Dysphagia (C) Fasciculation (D) Babinski sign
54 肺小細胞癌(small cell carcinoma of lung)患者,如果發生近端四肢無力,但是沒有感覺異常,重複 神經電刺激檢查(repetitive nerve stimulation),發現有反應漸增(incremental response)現象,則可 能是下列何種疾病? (A) Lambert-Eaton myasthenic syndrome (B) Polymyositis (C) Chronic inflammatory demyelinating polyneuropathy (D) Polyradiculoneuropathy
55 下列那一項是懷疑肌肉性疾病最不重要的檢查? (A)甲狀腺荷爾蒙 (B)肌肉酵素如:CPK、GOT、LDH (C)肌電圖 (D)核醫掃描
56 一位 30 歲原本健康狀況良好的年輕人,三天內產生步態不穩,雙下肢無力,病情逐漸加重,無力範 圍往上昇到胸腹部,神經學檢查顯示胸部以下肌力減退為 1-2 分(5 分為正常),感覺功能正常,肌 腱反射無反應,則最可能的診斷是: (A)重症肌無力(myasthenia gravis) (B)急性週邊神經或神經根炎(Guillain-Barré syndrome) (C)頸脊髓腫瘤(cervical cord tumor) (D)多發性肌炎(polymyositis)
57 下列有關貝歇氏症(Behçet’s disease)的敘述,何者錯誤? (A) 25-30%會侵犯到中樞神經系統 (B)眼睛經常受到侵犯,甚至可能導致失明 (C)常見顱神經病變 (D)老年女性較易罹患
58 下列何種疾病與感染或異常免疫反應無關? (A)多發性硬化症(multiple sclerosis) (B)急性散播性腦脊髓炎(acute disseminated encephalomyelitis) (C)腎上腺腦白質病(adrenoleukodystrophy) (D)急性神經根炎(Guillain-Barré syndrome)
59 鑑別復發性星狀細胞瘤(recurrent astrocytoma)與放射治療後的腦部壞死(radiation necrosis of brain), 最好的檢查是: (A)電腦斷層(computed tomography, CT) (B)磁振造影(magnetic resonance imaging, MRI) (C)正子電腦斷層(positron emission tomography, PET) (D)單光子電腦斷層(single-photon emission computed tomography, SPECT)
60 腦梗塞的二次預防(secondary prevention)須使用抗血小板藥物,若考慮藥物經濟學(同時考慮藥價 與療效的最大效益),首選藥物為何? (A) Aspirin (B) Ticlopidine (C) Clopidogrel (D) Dipyridamole
61 下列關於精神分裂症預後的敘述,何者錯誤? (A)年輕男性,高教育程度,病前功能佳者,比較容易出現有自殺的危險 (B)愈早發病而且有退縮自閉的行為預後愈差 (C)有情感性症狀者預後較差 (D)有負性症狀者比有正性症狀者預後差
62 抗精神病藥物中,下列那一個是多巴胺部分作用劑(dopamine partial agonist)? (A) Amisulpride (B) Aripiprazole (C) Clozapine (D) Ziprasidone
63 一位 38 歲女性,近一年內共出現 4 次憂鬱發作,經換數種抗鬱劑治療後卻轉變成暴躁易怒、思考變 靈光、話多、活動量增加,且亂刷卡,造成家人極大困擾。下列敘述何者錯誤? (A)單用抗鬱劑治療常無法改善雙極性疾患(bipolar disorder)之憂鬱發作,而需合併情緒穩定劑 (B)新的情緒穩定劑 lamotrigine 對雙極性疾患的憂鬱發作之預防優於對躁症發作之預防 (C)緩慢增加 lamotrigine 劑量較不會引起史蒂芬-強生症候群(Stevens-Johnson Syndrome)等副作用 (D)快速循環型(rapid cycling)的原因主要與遺傳有關,與藥物及壓力皆無關聯
64 李小姐最近兩個月常常突發心悸、喘不過氣,快要昏倒的感覺。經急診醫師診察後,血液生化及心 電圖檢查均正常,動脈血氣體檢查呈現輕微呼吸性鹼中毒的現象,被診斷為恐慌發作,給藥 paroxetine20 mg/錠,每天晚上一顆,及 alprazolam 0.5 mg/錠,發作時才服用。李小姐回家服用後,出現噁心、 白天想睡、晚上睡不著的現象,因此,停用 paroxetine,另外,又擔心 alprazolam 吃了會習慣,因此 也不敢服用。下列處置何者錯誤? (A)認知治療:教導不要將輕微的身體症狀誤認為致命性的症狀,告知恐慌症的生理病理機制,症狀 是短暫的現象,通常不會有致命性 (B)行為治療:教導胸式呼吸及漸進式呼吸放鬆訓練,來減低焦慮及避免換氣過度 (C)選擇性血清素再吸收抑制劑(SSRIs):鼓勵病人繼續使用選擇性血清素再吸收抑制劑到病情穩定 後,再繼續治療至少 8-12 個月。初期 paroxetine 可以先減半服用,或改用比較不會鎮靜的 sertraline (D)併用苯二氮平類藥物(benzodiazepine, BZDs):初期併用苯二氮平類藥物與選擇性血清素再吸收 抑制劑約 4-12 週,等選擇性血清素再吸收抑制劑發生療效後,再利用 4-10 週的時間慢慢將苯二氮 平類藥物停掉
65 關於柯沙科夫氏症候群(Korsakoff’s syndrome),最少發生的症狀是下列那一項? (A)近期記憶障礙(recent memory impairment) (B)前行性失憶(anterograde amnesia) (C)退行性失憶(retrograde amnesia) (D)虛談(confabulation)
66 一位接受美沙冬替代療法之 40 歲男性患者至精神科急診就醫,檢查發現該患者之意識模糊、言辭含 糊、無法回答問話,且其瞳孔縮小有如針頭一般。下列何者為其最可能之臨床診斷? (A)安非他命戒斷 (B)安非他命中毒 (C)海洛因戒斷 (D)海洛因中毒
67 (A)精神分裂症(schizophrenia) (B)失智症併有行為障礙(dementia with behavioural and psychological symptoms) (C)譫妄症(delirium) (D)前次中風的後遺症
68 承上題,就目前的臨床診斷,下列何者錯誤? (A)是預後不佳的表徵之一,可能會延長住院天數或增加死亡的可能性 (B)藥物所引起的副作用必須列入考慮 (C)原先的中樞神經系統疾患不是發生該診斷的危險因子 (D)高齡本身即為該診斷的危險因子
69 王先生酗酒多年,少吃正常三餐飯食,故體重不足,某日突然發生意識混亂(confusion)、步態不穩 運動失調(ataxia),被家人帶到急診室,醫師檢查發現王先生右側眼球呈現水平方向的震顫(horizontal nystagmus),並且眼球無法往外側看(lateral orbital palsy),瞳孔對光反應緩慢,兩側瞳孔大小不 一(anisocoria),王先生最可能的臨床診斷是什麼? (A)腦幹中風(brainstem infarct) (B)酒精戒斷症候群(alcohol withdrawal syndrome) (C)魏尼基氏腦症(Wernicke’s encephalopathy) (D)柯沙科夫氏症候群(Korsakoff’s syndrome)
70 下列何者不屬於美國精神醫學會「精神疾患診斷及統計手冊第四版」有關妥瑞氏症(Tourette’s disorder)診斷標準之要件? (A)運動性抽搐(motor tics) (B)語音性抽搐(vocal tics) (C)抽搐發生頻率一日多次 (D)疾病發生需在 15 歲之前
71 一位 35 歲女性至精神科門診就醫,主要困擾為她最近二個月每次和公司新客戶碰面時,就會感到突 發性的緊繃、冒汗、心跳加速,擔心自己說錯話,得罪客戶。此種現象愈來愈嚴重,甚至令其想要 辭職。下列何者為該病患最可能之臨床診斷? (A)強迫症(obsessive compulsive disorder) (B)社交畏懼症(social phobia) (C)廣泛性焦慮症(generalized anxiety disorder) (D)恐慌症(panic disorder)
72 一位 45 歲男性患者因長期失眠而至精神科就醫,經睡眠檢查,檢查結果如附圖,判讀後其最可能之 臨床診斷為何?
(A)睡眠呼吸中止症候群(obstructive sleep apnea syndrome) (B)不寧腿症(restless leg syndrome) (C) Kleine-Levin 症候群(Kleine-Levin syndrome) (D)夜間肌躍症(nocturnal myoclonus)
73 注意力缺失過動症(attention-deficit/hyperactivity disorder)所使用之治療藥物中,下列何者不是中樞 神經刺激劑? (A) methylphenidate (B) dextroamphetamine (C) dexmethylphenidate (D) Wellbutrin
74 下列抗癲癇藥物中,何者最可能造成致命性的「史蒂文生-強生症候群(Stevens-Johnson syndrome)」? (A) topiramate (B) gabapentin (C) lamotrigine (D) valproate
75 有關安非他命(amphetamines)藥理機轉,乃在於刺激神經間隙前之末端(presynaptic terminals)分 泌下列何種神經傳導介質? (A)多巴胺(dopamine)及正腎上腺素(norepinephrine) (B)血清素(serotonin) (C)神經胜肽 Y(neuropeptide Y) (D)麩胺酸(glutamate)
76 一位 8 歲兒童已完成所有規定之預防注射,在家裡手被菜刀割傷時,應該給予何種破傷風處置? (A) T.T.(Tetanus toxoid) (B) T.I.G.(Tetanus immune globulin) (C) T.T.和 T.I.G.皆需要 (D) T.T.和 T.I.G.皆不需要 代號:2102 頁次:12-12
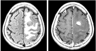
77 61 歲男性,右側半身無力。根據此二張 MRI 影像,左圖是 FLAIR,右圖是注射 Gd-DTPA 的 T1WI, 最適當的診斷是:
(A) Acute MCA infarction with cytotoxic edema (B) Acute ACA infarction with cytotoxic edema (C) Metastasis with peripheral brain tissue edema (D) Subacute hematoma with peripheral brain tissue edema
78 一位 65 歲男性,過去有多年的糖尿病病史,來急診室就診時,血壓 87/55 mmHg,脈搏數 120 下/每 分鐘,呼吸次數 20 下/每分鐘,體溫 39℃,主訴左腳異常疼痛(如下圖),理學檢查發現紅腫處有 明顯壓痛與爆裂聲(crepitus)。下列敘述何者錯誤?
(A)必須考量是壞死性筋膜炎(Necrotizing Fasciitis) (B)已出現敗血症休克,一開始必須積極給予輸液治療 (C)此感染多為混合菌種的感染,抗生素的使用必須能涵蓋厭氧菌 (D)內科治療為首要,使用後線抗生素無效後,再考慮外科清創手術
79 陳先生,現年 38 歲,身體健康,已婚,有一位 12 歲的男孩。二個月前,陳先生的 42 歲哥哥,被診 斷有亨丁頓氏舞蹈症(Huntington’s disease)。陳先生的父親因有嚴重神經疾病,已於五年前去世,推 測是此症。陳先生自己要求進行基因檢測,不幸也證實他帶有此病症之基因。因此陳先生帶他兒子 到醫院來,要求進行此病之基因檢測。現尚無治療此病之藥物,對於此要求應如何處理? (A)同意進行,因為父母依法是子女的監護人,如果不幸帶此基因,以青少年能懂的言語解釋給陳先 生的兒子知道 (B)同意進行,因為父母依法是子女的監護人,如果不幸帶此基因,則不予告知 (C)不同意進行,因為現在此症尚無有效之治療法,如果不幸帶此基因,男孩將一輩子生活在疾病陰 影中 (D)不同意進行,因為男孩尚未成年,此類重大無法治療疾病之檢測,應待當事人成年後自行決定是 否去作檢查
80 依臺灣法律之規定,下列何種狀況下,醫師不負有通報主管機關之義務? (A)醫師於急診發現具有自殺傾向之 A 女士長期受其丈夫虐打 (B)醫師於急診發現 B 女童被其父親遺棄 (C)醫師於進行心理治療時,發現精神科病人 C 揚言殺死其母親 (D)醫師於門診發現有人類免疫缺乏病毒(Human Immunodeficiency Virus)之感染者
申論題 (0)
相關試卷
115年 - 115-1 專技高考_醫師(二):醫學(四)(包括小兒科、皮膚科、神經科、精神科等科目及其相關臨床實例與醫學倫理)#137336
115年 · #137336
114年 - 114 專技高考_醫師(二):醫學(四)(包括小兒科、皮膚科、神經科、精神科等科目及其相關臨床實例與醫學倫理)#127921
114年 · #127921
114年 - 114-1 專技高考_醫師(二):醫學(四)(包括小兒科、皮膚科、神經科、精神科等科目及其相關臨床實例與醫學倫理)#125091
114年 · #125091
113年 - 113-2 專技高考_醫師(二):醫學(四)(包括小兒科、皮膚科、神經科、精神科等科目及其相關臨床實例與醫學倫理)#120661
113年 · #120661
113年 - 113-1 專技高考_醫師(二):醫學(四)(包括小兒科、皮膚科、神經科、精神科等科目及其相關臨床實例與醫學倫理)#118722
113年 · #118722
112年 - 112-2 專技高考_醫師(二):醫學(四)(包括小兒科、皮膚科、神經科、精神科等科目及其相關臨床實例與醫學倫理)#114975
112年 · #114975
112年 - 112-1 專技高考 _醫師(二):醫學(四)(包括小兒科、皮膚科、神經科、精神科等科目及其相關臨床實例與醫學倫理)#113170
112年 · #113170
111年 - 111-2 專技高考_醫師(二):醫學(四)(包括小兒科、皮膚科、神經科、精神科等科目及其相關臨床實例與醫學倫理)#108728
111年 · #108728
111年 - 111-1 專技高考_醫師(二):醫學(四)(包括小兒科、皮膚科、神經科、精神科等科目及其相關臨床實例與醫學倫理)#106182
111年 · #106182
110年 - 110-2 專技高考_醫師(二):醫學(四)(包括小兒科、皮膚科、神經科、精神科等科目及其相關臨床實例與醫學倫理)#99891
110年 · #99891