阿摩線上測驗
登入
首頁
>
醫學六:80題 ( 包括麻醉科,眼科,耳鼻喉科,婦產科,復健科等科目及其及相關臨床實例與醫學倫理 )
> 103年 - 103-1 專技高考_醫學(二):醫學(六)(包括麻醉科、眼科、耳鼻喉科、婦產科、復健科等科目及其相關臨床實例與醫學倫理)#36990
103年 - 103-1 專技高考_醫學(二):醫學(六)(包括麻醉科、眼科、耳鼻喉科、婦產科、復健科等科目及其相關臨床實例與醫學倫理)#36990
科目:
醫學六:80題 ( 包括麻醉科,眼科,耳鼻喉科,婦產科,復健科等科目及其及相關臨床實例與醫學倫理 ) |
年份:
103年 |
選擇題數:
80 |
申論題數:
0
試卷資訊
所屬科目:
醫學六:80題 ( 包括麻醉科,眼科,耳鼻喉科,婦產科,復健科等科目及其及相關臨床實例與醫學倫理 )
選擇題 (80)
1 呼吸道處置(airway management)的手法中,下列何者被認為是最能夠維持咽喉部軟組織(pharyngeal soft tissues)氣道開放的單一手法? (A)張開口部(mouth opening) (B)甲狀軟骨壓迫術 (C)伸展頭部(head extension) (D)環狀軟骨壓迫術
2 病人接受全身麻醉行胸腰脊椎側彎(scoliosis)矯正手術,麻醉醫師術中施行清醒測試(wake-up test), 其目的為測試病人的何種神經功能? (A)下肢感覺功能 (B)上肢運動功能 (C)下肢運動功能 (D)上肢感覺功能
3 有關靜脈麻醉藥物 thiopental 的作用之敘述,下列何者錯誤? (A)低劑量時作用是 sedation,高劑量時可達 hypnosis 作用 (B)給予成人劑量 2.5 mg/kg 有良好止痛作用 (C)用於腦創傷的病人,可降低腦壓,具有保護神經的作用 (D)為鹼性製劑,須以 isotonic sodium chloride,勿用 Ringer’s lactate 調配
4 下列何種吸入性麻醉劑,在固定條件及相同濃度下產生的麻醉效果(potency)最弱? (A)isoflurane (B)desflurane (C)halothane (D)sevoflurane
5 下列何種情況可使吸入性麻醉劑的最小肺泡濃度(minimum alveolar concentration, MAC)減低? (A)發燒 (B)慢性酗酒 (C)靜脈注射局部麻醉藥 (D)麻醉時間超過四小時
6 臺灣地區腎病比率偏高,王先生為腎功能受損(GFR 25~40 mL/min)的病人,將進行全髖關節置換 手術,下列有關麻醉的考量,何者錯誤? (A)術中低血容為手術後腎衰竭的重要因素 (B)腎功能不佳,故應絕對限制水分給予 (C)mannitol 與利尿劑(furosemide)對急性腎衰竭病人之幫助不大 (D)應放置導尿管,並監測術中尿輸出,使之大於 0.5 mL/kg/h
7 45 歲男性病人因胰臟炎而長期服用嗎啡,現因股骨骨折而須進行手術,下列有關之敘述,何者錯 誤? (A)使用全身麻醉較半身麻醉為佳 (B)術後止痛可以使用 NSAID (C)可以使用類鴉片類(opioids)止痛藥物 (D)可以使用病人自控止痛裝置
8 下列何種生理監測儀器無法測量 cardiac output 或 ejection fraction? (A)pulse-induced contour cardiac output(PiCCO) (B)transesophageal echocardiogram(TEE) (C)pulmonary artery catheter (D)ECG(electrocardiography)
9 有關中心視網膜靜脈阻塞(central retinal vein occlusion)的敘述,下列何者錯誤? (A)常發生於罹患高血壓的老年人 (B)症狀為伴隨疼痛的視力喪失 (C)抽菸是危險因子之一 (D)眼底常見靜脈擴張、視網膜出血及水腫
10 戴隱形眼鏡導致之角膜潰瘍,下列何種致病菌最常見? (A)淋球菌(gonococci) (B)綠膿桿菌(Pseudomonas aeruginosa) (C)金黃色葡萄球菌(Staphylococcus aureus) (D)念珠菌(Candida)
11 眼壓(intraocular pressure)之高低與下列何者關聯性最低? (A)房水(aqueous humour)之分泌速率(secretion) (B)房水(aqueous humour)之排放速率(outflow) (C)外鞏膜靜脈壓(episcleral venous pressure) (D)腦脊髓液壓(cerebrospinal fluid pressure)
12 下列何者是青光眼常見的視野變化? (A)弓狀盲點(arcuate scotoma) (B)兩眼顳側半盲(bitemporal hemianopsia) (C)兩眼同側半盲(homonymous hemianopsia) (D)中心盲點(central scotoma)
13 類固醇眼藥水不適合用於下列何種眼疾? (A)流行性角結膜炎(epidemic keratoconjunctivitis) (B)盤狀角膜炎(disciform keratitis) (C)急性前虹膜炎(acute anterior uveitis) (D)單純疱疹樹枝狀角膜炎(herpes simplex dendritic keratitis)
14 下列有關眼球光學模型(schematic eye)之數據,何者最不可能? (A)角膜前彎曲面的曲率半徑約為 43 毫米 (B)前房水和玻璃體液的折射係數(index of refraction)均各為 1.3337 (C)整個眼球的全屈折力(total refracting power)約有+60 個屈光度(diopters) (D)正視(emmetropic)眼球的前後徑軸長,平均約有 23 毫米 代號:4102 頁次:12-3
15 有關甲狀腺眼疾(thyroid eye disease,TED),下列敘述何者錯誤? (A)TED 之嚴重程度與甲狀腺功能亢進(hyperthyroidism)成正比 (B)肇因於體液性自體免疫反應(humoral-mediated autoimmune reaction) (C)抽菸是造成 TED 的危險因子之一 (D)對進展快速之凸眼症,應先給予高劑量類固醇
16 一位年輕男性在頭部外傷一星期後,出現左眼凸出及視力模糊的狀況,結膜有血管怒張表現,病人自覺腦中會聽見咻咻聲(whooshing noise),下列敘述何者正確?(A)此表現乃因外頸動脈直接和海綿竇之間形成不正常的瘻管(fistula)(B)可能會伴隨眼肌麻痺(ophthalmoplegia),最常見為第三對腦神經被影響(C)電腦斷層檢查常呈現上眼靜脈擴張(dilation of superior ophthalmic vein)(D)常伴隨玻璃體出血及視網膜剝離
17 目前老年型聽損(age related hearing loss)在內耳的病理變化,主要是根據 Gacek 及 Schuknecht 在 1993 年的人體顳骨解剖研究,此研究顯示內耳相關的聽力老化最主要是那種細胞的退化? (A)內毛細胞(inner hair cells) (B)螺旋神經節細胞(spiral ganglion cells) (C)血管紋細胞(striae vascularis cells) (D)外毛細胞(outer hair cells)
18 25 歲男性,右耳昨天掏耳朵時被別人撞到後,出現輕度耳鳴及聽損。就診時耳鏡檢查發現右耳耳膜 有約 20%的不規則形狀穿孔,此時下列處理,何者最不適當? (A)立刻安排聽力檢查 (B)立刻安排鼓膜成型手術 (C)保持外耳清潔及乾燥以避免中耳感染 (D)定期門診觀察
19 下列何種手術是耳硬化症(otosclerosis)之治療方法? (A)耳膜成形術(myringoplasty) (B)修正式乳突切除術(modified radical mastoidectomy) (C)鐙骨切除術(stapedectomy)併人工鐙骨置放術 (D)頂鼓室鑿開術(atticotomy)
20 一位 26 歲男性病人,1 週前感冒,有流鼻水、鼻塞、喉嚨痛等症狀,治療後仍稍有鼻塞、全身無力; 無發燒,白血球數目正常,此症狀再持續 2~3 天後,病人漸覺眼球後方疼痛,甚至枕骨處亦感脹痛, 此病人最可能之診斷為何? (A)急性篩竇炎 (B)急性上頜竇炎 (C)急性額竇炎 (D)急性蝶竇炎
21 鼻毛囊炎(folliculitis)最常見的致病菌為: (A)鏈球菌 (B)綠膿桿菌 (C)金黃色葡萄球菌 (D)大腸桿菌
22 一名正常產程、足月大的嬰兒,出生後即被發現有吸入性喘鳴(inspiratory stridor)情形,趴睡時可 緩解,哭聲正常、無血氧不足及發紺情形,最可能的診斷為何? (A)雙側聲帶麻痺(bilateral vocal cord paralysis) (B)喉軟化症(laryngomalacia) (C)喉蹼(laryngeal web) (D)聲門下血管瘤(subglottic hemangioma)
23 有關睡眠呼吸中止症(sleep apnea)的敘述,下列何者錯誤? (A)正常成人在睡眠中如呼吸氣流停止超過 10 秒以上,稱為顯著的呼吸中止 (B)嚴重型之定義為 apnea-hypopnea index(AHI)大於 30 次/小時 (C)依發生機轉可分成三型,以混合型居多 (D)中樞性呼吸中止症病人,口鼻氣流停止時,同時也無胸部或其他呼吸運動
24 有關 Vincent 氏咽峽炎(Vincent’s angina)的敘述,下列何者錯誤? (A)與口腔或牙齒之衛生習慣不佳有關 (B)扁桃腺上可見潰瘍或膜性分泌物覆蓋 (C)屬於腺病毒(adenovirus)感染,無需使用抗生素 (D)具有高度傳染性
25 給予妊娠婦女低劑量的 aspirin,會造成下列何種生理變化? (A)減少 thromboxane (B)增加 prostacyclin (C)增加 prostaglandin E2 (D)增加 prostaglandin F
26 超音波顯示胎兒頭部有 lemon sign,表示胎兒有何畸形? (A)脊柱裂(spina bifida) (B)小腦萎縮(cerebellum atrophy) (C)水腦症(hydrocephalus) (D)無腦症(anencephaly)
27 (A)臍動脈血流速度波形 (B)胎兒下腔靜脈血流速度波形 (C)胎兒中大腦動脈血流速度波形 (D)胎兒下行主動脈血流速度波形
28 承上題,其檢查結果最可能為下列何者? (A)absence of end-diastolic flow velocity (B)reversed end-diastolic velocity (C)decrease of middle cerebral arterial flow (D)increase of middle cerebral arterial flow
29 (A)head (B)chest (C)abdomen (D)heart
30 承上題,下列何者為最可能之診斷? (A)acrania (B)ventriculomegaly (C)choroid plexus cyst (D)Down syndrome
31 下列何者不屬於荷爾蒙避孕藥的禁忌症? (A)有血栓之病史或目前有血栓 (B)未控制良好之高血壓(severe hypertension) (C)乳癌 (D)胃潰瘍
32 當妊娠期間的婦女出現有異食症(pica syndrome)時,應該懷疑與下列何種情況最有相關性? (A)家暴、暴力虐待(domestic abuse) (B)蛔蟲感染(ascariasis) (C)缺鐵性貧血(iron deficiency anemia) (D)精神分裂症(schizophrenia)
33 子宮頸環紮術(如:McDonald cerclage)為治療子宮頸閉鎖不全的方法之一。當接受子宮頸環紮術 的妊娠 36 週孕婦,出現有感染的情況(如:發燒、腹痛、陰道分泌物增加)時,下列何者為最適宜 的處理方式? (A)給予靜脈注射抗生素及臥床休息(intravenous antimicrobial agents and bed rest) (B)移除子宮頸環紮並催產(cerclage removal and labor induction) (C)給予靜脈注射抗生素及安胎藥物(intravenous antimicrobial agents and tocolytic administration) (D)口服安胎藥物並接受超音波檢查(oral tocolytic drugs and serial ultrasonographic examinations)
34 與一般產婦相較,前胎接受剖腹產且此胎嘗試陰道分娩(VBAC, vaginal birth after cesarean section) 的產婦,有較高的機會發生下列何種情形? (A)子宮破裂 (B)新生兒死亡 (C)母親死亡 (D)血栓形成
35 成熟奶可分為前奶及後奶,後奶含何種營養成分較多? (A)蛋白質 (B)脂肪 (C)醣類 (D)維他命
36 孕期第三期時無痛性的陰道出血最有可能的原因是? (A)胎盤早期剝離 (B)前置胎盤 (C)早產 (D)流產
37 一位 28 歲孕婦,G2P1,妊娠 25 週,先前於妊娠 24 週時接受 50 克葡萄糖耐受性試驗(50-g oral glucose tolerance test, 50-g OGTT),被判為異常,必須接受進一步檢查。則 50-g OGTT 血糖值多少 mg/dL 以 上判為異常? (A)110 (B)120 (C)125 (D)140
38 一位 50 歲女性,懷孕 3 次,生產 2 次,自然流產 1 次,因陰道異常出血至門診就診。以前她的月經 規則,週期約 30 天,每次持續 5~6 天,經量適中,經期間僅輕微腹部悶痛;但最近半年來,她的 月經變得紊亂,週期 15 至 22 天不等,而且一次持續 7~10 天,量多且有血塊。她否認懷孕,也沒 有其他內科病史或開刀史。內診發現子宮頸平滑,子宮呈現不規則增大,觸壓時不會疼痛,兩側附 屬物無明顯異常。超音波顯示子宮肌瘤且內膜厚度達 2.5 公分。則下一步最適當的處置為何? (A)腹部電腦斷層檢查 (B)子宮切除(hysterectomy) (C)安排子宮鏡檢查,必要時子宮內膜切片(endometrial biopsy) (D)開立荷爾蒙製劑止血
39 一年輕婦女因慢性下腹痛而接受腹腔鏡檢查,於手術室麻醉插管後,置放導尿管(Foley catheter)排 空膀胱尿液,再進行腹腔鏡檢查。腹腔鏡骨盆腔診視之情況如下圖,發現於子宮(uterus)前膀胱處 有一長條及球狀突出物(箭頭指引處),依據圖示,此突出物最適合之診斷為:
(A)子宮肌瘤(uterine myoma) (B)卵巢腫瘤(ovarian tumor) (C)子宮內膜瘜肉(endometrial polyp) (D)導尿管水球(Foley catheter balloon)
40 一位 48 歲母親,15 年前罹患卵巢子宮內膜異位症曾接受手術治療,現在她的 24 歲大女兒也有相同 疾病,她很擔心 22 歲二女兒也會有相同疾病。子宮內膜異位症可能屬於下列那一種遺傳模式? (A)autosomal recessive with variable penetrance (B)polygenetic multifactorial (C)spontaneous mutations (D)no evidence of genetic inheritance
41 當施行腹腔鏡手術時,如果長時間腹內壓大於 20 mmHg,會有下列何種併發症?①二氧化碳栓塞 (CO2 embolus) ②血中二氧化碳濃度過高 ③靜脈回流血減少而導致低血壓 (A)僅①③ (B)僅①② (C)僅③ (D)①②③
42 停經後婦女的卵巢腫瘤多半來自? (A)卵巢表皮(ovarian epithelium) (B)卵巢實質(ovarian stroma) (C)卵巢生殖細胞(ovarian germ cell) (D)他處轉移而來
43 對於進行婦科大手術的病人,為了防止深部靜脈血栓症(deep vein thrombosis),下列何種處置最佳? (A)elastic stocking (B)low-dose heparin (C)standard-dose heparin (D)external pneumatic leg compression
44 38 歲婦女,主訴不孕症 6 年,FSH: 45 mIU/mL,子宮輸卵管攝影正常,半年無月經,先生精液檢查 正常,如欲懷孕,此婦女可接受下列何種治療? (A)注射 human chorionic gonadotropin (B)人工授精 (C)接受卵子捐贈 (D)服用排卵藥
45 下列何者為目前臺灣法律不容許的醫療行為? (A)捐贈卵子 (B)捐贈精子 (C)代理孕母 (D)冷凍胚胎
46 關於神經性厭食症(anorexia nervosa)之敘述,下列何者錯誤? (A)拒絕維持體重,對變胖感到恐懼,無月經 (B)容易產生高血鉀與代謝性酸中毒 (C)致死率可高達 9% (D)常跟不當催吐、過量使用軟便劑以及利尿劑有關
47 取卵的時機一般是在絨毛性腺激素(human chorionic gonadotropin)注射後幾小時? (A)20~24 (B)34~36 (C)40~44 (D)48~52
48 一位 21 歲女病人因未有初經求診,身高正常,但乳房發育不良且無腋毛及陰毛,內診可見陰道及子宮頸發育完全。此外,病人亦抱怨嗅覺異常,關於此病人,下列敘述何者錯誤?(A)血中 FSH、LH 及 E2最有可能呈現 hypergonadotropic hypogonadism(B)可能合併子宮發育不良(C)可能合併唇顎裂及聽覺障礙(D)若病人尚無生育考量,可補充女性荷爾蒙及黃體素
49 關於人類乳突病毒和子宮頸癌的關係,下列敘述何者錯誤? (A)約 70%子宮頸癌病人之腫瘤內可以驗出第 16 型或第 18 型人類乳突病毒 (B)子宮頸癌最常見的人類乳突病毒為第 18 型 (C)人類乳突病毒透過其 E6 protein、E7 protein 和子宮頸癌上皮細胞之 p53 protein、Rb protein 分別作 用,而引起細胞增生進而癌化 (D)人類乳突病毒為環形 DNA 病毒
50 有關第一型子宮內膜癌(type I endometrial cancer)之敘述,下列何者最不適當? (A)常與雌激素過度刺激有關 (B)病人多為停經前後(perimenopausal)的女性 (C)病理形態多為 low grade endometrioid type (D)預後通常比第二型子宮內膜癌差
51 陳女士,35 歲,過去除自然生產 2 次外,無特殊疾病史,因性行為後陰道出血至門診就診,經內診 發現子宮頸有 1 公分潰瘍易出血傷口,切片證實為子宮頸鱗狀上皮癌,內診並無發現陰道壁、子宮 旁結締組織及骨盆腔壁的侵犯,胸部 X 光正常,腎盂攝影並無顯示腎盂或輸尿管水腫,電腦斷層檢 查未見淋巴結腫大,關於陳女士接下來的治療,何者最適當? (A)單純性全子宮切除(simple hysterectomy) (B)單純性全子宮切除及骨盆腔淋巴結摘除手術 (C)根除性子宮全切除(radical hysterectomy)及骨盆腔淋巴結摘除手術 (D)放射線合併化學治療
52 (A)CEA (B)CA125 (C)SCC (D)CA19-9
53 承上題,後經一系列檢查,臨床上高度懷疑是卵巢惡性腫瘤,並進一步安排剖腹探查手術。於術中 冷凍切片證實為右側卵巢黏液性惡性腫瘤後,實施婦癌分期手術(surgical staging)。下列何種器官 的摘除不包含在此項手術中? (A)雙側卵巢輸卵管 (B)雙側骨盆腔淋巴結 (C)雙側腹股溝淋巴結 (D)腹主動脈旁淋巴結
54 懷孕時陰道會變成紫色充血狀稱為: (A)Chadwick sign (B)Hegar sign (C)Ladin sign (D)Piskacek sign
55 一位 2 歲的小女孩下肢肌肉有明顯的高張力痙攣(spasticity),將踝關節作被動式背屈運動(passive dorsiflexion)時,在大於 50%的關節活動度(range of motion, ROM)之中,肌肉張力有明顯的增加, 但是這些張力可以很容易被移除,根據 modified Ashworth scale,分數大約為幾分? (A)1 (B)1+ (C)2 (D)4
56 腦中風導致的上肢屈曲協同(flexor synergy)動作不包括下列何者? (A)肩外展(shoulder abduction) (B)肘屈曲(elbow flexion) (C)前臂旋前(forearm pronation) (D)腕屈曲(wrist flexion)
57 復健物理儀器治療中,下列那一項不屬於深部熱療? (A)短波 (B)微波 (C)向量干擾波 (D)超音波
58 下列何種疾病為肌電圖(electromyography)檢查的禁忌症?(A)愛滋病(B)血友病(C)癲癇症(D)B 型肝炎帶原者
59 有關「失用症」(apraxia)的敘述,下列何者最為正確? (A)言語功能也可能發生失用症 (B)病人因不了解指令所以無法執行動作 (C)病人多伴有感覺神經功能缺失 (D)多因小腦受傷引起
60 對於燒燙傷病人,上肢輔具固定手腕、掌、指的原則,下列敘述何者錯誤? (A)腕關節略呈伸展(slight extension)姿勢 (B)指間關節(interphalangeal joint)置於伸展姿勢 (C)掌指關節(metacarpophalangeal joint)置於彎曲(flexion)姿勢 (D)大拇指置於掌外展(palmar abduction)與彎曲姿勢
61 下列有關足底筋膜炎(plantar fasciitis)的敘述,何者錯誤? (A)足底筋膜可幫助維持內側足弓(plantar arch) (B)當大腳趾做過度背屈動作(hyper-dorsiflexion)時可引發疼痛 (C)足部 X 光片常可見到骨刺(spur),此為診斷最重要的根據 (D)很少需要以手術方式治療
62 下列何者不是踝足部支架(AFO)最常見的使用適應症? (A)腦傷合併小腿肌肉無力 (B)功能性扁平足 (C)腦部麻痺合併下肢痙攣 (D)腓神經受傷導致之垂足
63 下列何者不屬於旋轉肌袖(rotator cuff)的組成肌肉? (A)肱二頭肌(biceps brachii) (B)脊上肌(supraspinatus) (C)脊下肌(infraspinatus) (D)肩胛骨下肌(subscapularis)
64 下列何種義足屬於儲能型義足(energy storage foot)? (A)單軸義足(single axis foot) (B)多軸義足(multiple axis foot) (C)費式義足(Flex foot) (D)沙奇式義足(SACH foot)
65 一位抽菸 20 年的慢性阻塞性肺病(chronic obstructive pulmonary disease)病人,在接受肺功能檢查 時,下列何者最不會出現? (A)肺餘容積(residual volume)增加 (B)肺活量(vital capacity)增加 (C)肺總容量(total lung capacity)增加 (D)第一秒用力呼氣量(FEV1)減少
66 心臟復健中,躺平休息時所消耗的能量為 1 MET,一位體重 70 公斤的成年人此時每分鐘的耗氧量為何? (A)70 mL (B)210 mL (C)245 mL (D)280 mL
67 發展遲緩應包括下列那些方面有異常或可預期會有發展遲緩之現象,需要接受早期療育?①認知發展 ②語言及溝通發展 ③心理社會發展 ④動作發展 (A)僅①④ (B)僅①②④ (C)僅①③④ (D)①②③④
68
—位兒童會使用湯匙吃飯,會脫襪子,但不會使用筷子,不會關水龍頭,不會解開扣子,其最可能 之年齡爲何?
(A)2歲
(B)3歲半
(C)4歲半
(D)6歲
69 慢性糖尿病病人,在尿路動力學檢查(urodynamic study ),最不會出現下列那一結果?(A)膀胱感覺變差
(B)慢性膀胱過脹(overdistension)
(C)逼尿肌過度反射(detrusor hyperreflexia)
(D)餘尿(postvoiding residuals)增加
70下列何者不是常用來評估個人日常生活功能之工具?(A)布朗氏等級表(Brunnstrom stage )(B)功倉巨獨立評估表(functional independence measure )(C)巴氏量表(Barthel Index)(D)肯尼自我照顧評估表(Kenny self-care evaluation )
71 下列何者屬於嗓音疾病(voice disorder) ?(A)發音障礙(dysphonia)(B)失用症(apraxia)(C)構音困難(dysarthria)(D)失語症(aphasia)
72
3歲男孩,左眼瞳孔泛白(leukocoria),接受電腦斷層檢查,圖A爲未注射顯影劑影像,圖B則爲 注射顯影劑後的影像,下列何者是最可能的診斷?
(A)淋巴癌(lymphoma)
(B)血管瘤(hemangioma)
(C)轉移(metastasis)
(D)視網膜母細胞瘤(retinoblastoma)
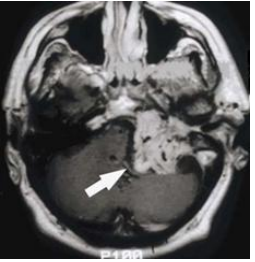
73 53 歲女性病人,主訴聲音沙啞、吞嚥困難、脈衝性耳鳴(pulsatile tinnitus)和聽力減退,接受磁振 造影檢查(MRI),下圖為注射顯影劑後的 T1 加權影像,圖中箭頭所指病灶最可能的是:
(A)頸靜脈球瘤(glomus jugulare) (B)脊索瘤(chordoma) (C)神經鞘瘤(schwannoma) (D)多型性神經膠母細胞瘤(glioblastoma multiforme)
74 一位 25 歲女性病人,因劇烈腹痛至急診室求診。未施打顯影劑的電腦斷層影像顯示左側卵巢與輸卵 管有高密度病灶,以及骨盆腔有高密度腹水(如圖)。最可能的診斷為: (A)卵巢癌(ovarian cancer) (B)子宮外孕(ectopic pregnancy) (C)巧克力囊腫(chocolate cyst) (D)輸卵管卵巢膿瘍(tubo-ovarian abscess)
75 一位 37 歲男性病人下背疼痛多年,其骨盆腔 X 光片如圖,最有可能的診斷為:
(A)rheumatoid arthritis (B)osteoarthritis (C)gouty arthritis (D)ankylosing spondylitis
76 一位 43 歲男性病人,自述每次進食短時間內就會感到臉頰腫脹疼痛,進食完症狀就會改善,此情形 已經持續數月。打開病人口腔發現有舌下黏膜處腫脹,進一步觸診發現口腔底深處有一硬塊,擠壓 時伴隨有膿液排出。關於此病人的敘述何者錯誤? (A)可能為涎石病(sialolithiasis) (B)此病常需要和耳下腺炎(parotitis)鑑別診斷 (C)病灶較少出現在下頜腺(submandibular gland) (D)用 X 光檢查可輔助診斷
77 一位 32 歲女性病人因劇烈腹痛來急診,尿液檢查呈現 β-hCG 陽性反應(positive),高度懷疑是子 宮外孕(ectopic pregnancy),下列何者較不可能是此疾病之危險因子? (A)曾植入子宮內裝置(intrauterine device) (B)有輸卵管開刀(tubal surgery)的病史 (C)有骨盆腔發炎(pelvic inflammatory disease)的病史 (D)曾接受過腹腔鏡闌尾切除術(laparoscopic appendectomy)
複選題
78 急性心肌梗塞後的復健計畫,證實可以改善病人預後,下列敘述何者錯誤? (A)復健計畫應從急性心肌梗塞穩定出院後,再轉介做心臟復健 (B)女性病人參與的比率比較高 (C)目前心臟復健計畫的使用率仍偏低 (D)可以改善短期及長期的死亡率
79 最近醫院評鑑很重視醫學倫理,要求在醫院年度計畫中應有醫學倫理議題,針對這個現象,下列敘 述何者正確? (A)醫院應該以營利為目的,管理與倫理是相衝突 (B)醫學倫理是醫師的事,跟醫院無關 (C)醫院和全體員工都應該努力促進醫學倫理 (D)醫學倫理是民眾對醫院的無理要求,不需要重視
80 民國 94 年間國軍 A 上尉於軍事操練中意外死亡,其未婚妻要求婦產科醫師進行屍體取精以作人工生 殖,在當時引起社會很大爭議,下列何者非為本案醫學倫理上的主要爭議? (A)死者意願的問題 (B)家屬權利的問題 (C)未來兒女權利的問題 (D)撫卹金公平分配的問題
申論題 (0)
相關試卷
115年 - 115-1 專技高考_醫師(二):醫學(六)(包括麻醉科、眼科、耳鼻喉科、婦產科、復健科等科目及其相關臨床實例與醫學倫理)#137334
115年 · #137334
114年 - 114-2 專技高考_醫師(二):醫學(六)(包括麻醉科、眼科、耳鼻喉科、婦產科、復健科等科目及其相關臨床實例與醫學倫理)#127922
114年 · #127922
114年 - 114-1 專技高考_醫師(二):醫學(六)(包括麻醉科、眼科、耳鼻喉科、婦產科、復健科等科目及其相關臨床實例與醫學倫理)#125090
114年 · #125090
113年 - 113-2 專技高考_醫師(二):醫學(六)(包括麻醉科、眼科、耳鼻喉科、婦產科、復健科等科目及其相關臨床實例與醫學倫理)#120656
113年 · #120656
113年 - 113-1 專技高考_醫師(二):醫學(六)(包括麻醉科、眼科、耳鼻喉科、婦產科、復健科等科目及其相關臨床實例與醫學倫理)#118715
113年 · #118715
112年 - 112-2 專技高考_醫師(二):醫學(六)(包括麻醉科、眼科、耳鼻喉科、婦產科、復健科等科目及其相關臨床實例與醫學倫理)#114980
112年 · #114980
112年 - 112-1 專技高考_醫師(二):醫學(六)(包括麻醉科、眼科、耳鼻喉科、婦產科、復健科等科目及其相關臨床實例與醫學倫理)#113157
112年 · #113157
111年 - 111-2 專技高考_醫師(二):醫學(六)(包括麻醉科、眼科、耳鼻喉科、婦產科、復健科等科目及其相關臨床實例與醫學倫理)#108743
111年 · #108743
111年 - 111-1 專技高考_醫師(二):醫學(六)(包括麻醉科、眼科、耳鼻喉科、婦產科、復健科等科目及其相關臨床實例與醫學倫理)#106188
111年 · #106188
110年 - 110-2 專技高考_醫學(二):醫學(六)(包括麻醉科、眼科、耳鼻喉科、婦產科、復健科等科目及其相關臨床實例與醫學倫理)#99915
110年 · #99915