阿摩線上測驗
登入
首頁
>
醫學五:80題 ( 包括外科,骨科,泌尿科等科目及其相關臨床實例與醫學倫理 )
> 103年 - 103-1 專技高考_醫師(二):醫學(五)(包括外科、骨科、泌尿科等科目及其相關臨床實例與醫學倫理)#36470
103年 - 103-1 專技高考_醫師(二):醫學(五)(包括外科、骨科、泌尿科等科目及其相關臨床實例與醫學倫理)#36470
科目:
醫學五:80題 ( 包括外科,骨科,泌尿科等科目及其相關臨床實例與醫學倫理 ) |
年份:
103年 |
選擇題數:
80 |
申論題數:
0
試卷資訊
所屬科目:
醫學五:80題 ( 包括外科,骨科,泌尿科等科目及其相關臨床實例與醫學倫理 )
選擇題 (80)
1 70 歲女性病人接受亞全胃切除術(subtotal gastrectomy)時,下列敘述何者錯誤? (A)不需要使用預防性抗生素 (B)要有良好的止血 (C)不要殘留異物於手術部位 (D)維持病人正常體溫
2 在長期無法進食之受傷病人,其體內營養之補充途徑,已經證明以腸道營養(enteral nutrition)優於 非腸道營養(parenteral nutrition),下列原因何者錯誤? (A)價格較低 (B)合併症較少 (C)腸道黏膜(intestinal mucosa)較不易萎縮 (D)易引發吸入性肺炎(aspiration pneumonia)
3 下列何者不是全靜脈營養(total parenteral nutrition)之適應症? (A)嚴重頭部外傷引起之昏迷 (B)長期腸麻痺(prolonged ileus) (C)腸道-皮瘻管(entero-cutaneous fistula) (D)短腸症(short bowel syndrome)
4 造成傷口裂開(wound dehiscence)的危險因子,下列何者錯誤? (A)年輕人 (B)肥胖 (C)糖尿病 (D)化學治療
5 有關傷口癒合的敘述,下列何者錯誤? (A)secondary healing 的疤痕較 primary healing 明顯 (B)傷口癒合三個步驟依順序為:inflammatory、maturational、proliferative (C)血管新生(angiogenesis)是屬於 proliferative phase 的一個步驟 (D)macrophages 和 neutrophils 在 inflammatory phase 扮演極重要的角色
6 根據 Japanese Society for Gastrointestinal Endoscopy 制定的準則,須符合某些標準才能使用 endoscopic mucosal resection(EMR)治療食道癌(esophageal cancer),下列何者錯誤? (A)腫瘤大小≦2 cm (B)腫瘤侵犯食道壁小於三分之一圈(circumference) (C)腫瘤侷限於食道黏膜層(mucosa) (D)腫瘤侷限在中上段食道
7 一位 25 歲年輕女性,乳房檢查發現左乳外側有一 2.1 公分之腫瘤,粗針切片檢查為浸潤性管道癌( infiltrating ductal carcinoma),腋下無觸摸到淋巴結,其他檢查遠處未轉移,其癌症臨床分期(clinical stage)為下列何者? (A)T1N0M0 (B)T2N0M0 (C)T1N1M0 (D)T2N1M0 代號:3102 頁次:12-2
8 下列敘述,何者錯誤? (A)手術前應考慮停止使用抗凝血劑 (B)需要輸血時應以全血(whole blood)為優先考量 (C)手術時應做好止血 (D)貧血病人,若是其 Hb > 8.0 g/dL,除非需做緊急手術,否則應以紅血球輸血(red blood cell transfusion) 以外的手段來增加或恢復紅血球的量
9 最有可能的診斷是: (A)十二指腸蹼(duodenal web) (B)環狀胰臟(annual pancreas) (C)上腸繫膜動脈症候群(superior mesenteric artery syndrome) (D)腸旋轉合併中腸扭轉(malrotation with midgut volvulus)
10 承上題,最適當的手術方式為: (A)duodenoplasty (B)partial pancreatectomy (C)duodenojejunostomy (D)Ladd's procedure
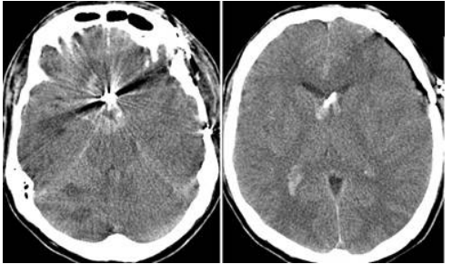
11 60 歲蕭先生早上六點起床後發現左側無力,隔日因意識不清被家人送至急診,於急診時右側瞳孔已 呈現放大且無反射,電腦斷層檢查如下圖,下列何項處置對蕭先生並無幫助?
(A)給予 mannitol (B)施打靜脈血栓溶解劑(intravenous tissue plasminogen activator) (C)氣管內管插管併給予過度換氣(hyperventilation) (D)施行顱骨切除術(craniectomy)
12 腦部血流約占心輸出量(cardiac output)的多少百分比? (A)6% (B)15% (C)25% (D)30%
13 關於脈絡叢乳頭狀瘤(choroid plexus papilloma),下列敘述何者正確? (A)兒童的脈絡叢乳頭狀瘤大多生長在小腦天幕下方(usually infratentorial) (B)成人的脈絡叢乳頭狀瘤大多生長在側腦室(lateral ventricle) (C)脈絡叢腫瘤有可能為惡性 (D)手術移除腫瘤後,水腦症大都會痊癒
14 王先生最可能的診斷為何? (A)硬腦膜上出血(epidural hematoma) (B)蜘蛛膜下腔出血(subarachnoid hemorrhage) (C)硬腦膜下出血(subdural hemorrhage) (D)缺血性腦中風(ischemic stroke)
15 經初步治療,待王先生狀況穩定後,應進一步安排下列何項檢查以確定病灶位置? (A)神經傳導速率檢查(nerve conduction velocity testing) (B)腰椎穿刺(lumbar puncture) (C)腦部電腦斷層血管照影(computed tomography angiography) (D)腦電圖(EEG)
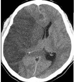
16 確定病灶後,王先生選擇接受開刀治療,術後恢復順利,但一週後開始出現嗜睡、意識不清,抽血 檢查鈉離子 136 mEq/L,電腦斷層檢查如下圖,王先生可能出現何種併發症?
(A)血管痙攣(vasospasm) (B)急性水腦症(acute hydrocephalus) (C)再出血(rebleeding) (D)低血鈉(hyponatremia)
17 王大明在打籃球接球時不小心,本來應該手掌接球卻變成右手中指接球,頓時手指就腫起來,幾天 後消腫手指最後一節就垂下來,怎麼用力都沒辦法伸直。最適當的診斷為何? (A)板機指(trigger finger) (B)狹窄性肌腱滑膜炎(de Quervain's tenosynovitis) (C)鎚狀指(mallet finger) (D)手部鈕扣畸形(boutonniére deformity)
18 最常用來重建下頷骨的骨皮瓣包括腓骨(fibula)、髂骨(iliac)、肩胛骨(scapula),下列敘述何 者錯誤?(A)腓骨皮瓣(fibula osteocutaneous flap)由腓動脈(peroneal artery)供應血流,對皮瓣提供處的後遺症最小(B)髂骨皮瓣(iliac osteocutaneous flap)對皮瓣提供處的後遺症最小,所能帶的血管根蒂(pedicle)較短(C)肩胛骨皮瓣(scapula osteocutaneous flap)由肩胛下動脈(subscapular artery)供應血流,可以連同 周圍的骨頭、肌肉和皮膚一起取,形成複合式皮瓣(D)對良性的下頷骨缺損,腓骨皮瓣(fibula osteocutaneous flap)可以合併牙科植體手術(osseointegrated implantation for dentition or prosthetic anchors)
19 下列何者位於手腕背側第六個伸肌腱腔室內(extensor compartment)? (A)伸食指肌(extensor indicis proprius) (B)伸拇長肌(extensor pollicis longus) (C)尺側伸腕肌(extensor carpi ulnaris) (D)伸小指肌(extensor digiti minimi)
複選題
20 使用根蒂性橫腹直肌肌皮瓣(pedicled transverse rectus abdominis myocutaneous(TRAM)flap),下 列敘述何者錯誤?(一律給分) (A)血流供應來自深下腹動脈(deep inferior epigastric artery) (B)任何大小與下垂的乳房都適合此重建方式 (C)抽菸和肥胖為相對禁忌症 (D)皮瓣血流僅來自單一血管根蒂時,zone IV 的血液循環最差
21 急診常有受傷需縫合的傷口,關於拆線時間,下列敘述何者正確?①頭皮 6~8 天 ②眼皮 10~14 天 ③背部 12~14 天 ④四肢 12~14 天 (A)①②④ (B)①②③ (C)②③④ (D)①③④
22 肺靜脈回流完全異常(total anomalous pulmonary venous return)的病人,雖有不同程度的缺氧狀態 (desaturated),一般皆可以採用選擇性(elective)手術方式來處理,但有下列何種情況,則必須以 緊急性(emergent)手術方式處理? (A)有混合型的回流路徑者 (B)心上型(supracardiac type)肺靜脈回流完全異常 (C)不論那一型,只要回流路徑有阻塞(obstructed)者 (D)心內型(intracardiac type)肺靜脈回流完全異常,但不流入冠狀竇(coronary sinus)而是直接注入 右心房者
23 下列有關不停跳冠狀動脈繞道手術(off-pump coronary artery bypass grafting)之敘述,何者錯誤? (A)可以降低手術後心房震顫 (B)可以減少術中及術後的輸血 (C)血液動力學不穩定之病人應優先考慮不停跳冠狀動脈繞道手術 (D)合併有腎功能不良及肺氣腫的病人應優先考慮不停跳冠狀動脈繞道手術
24 此時下列那些治療方式對此男嬰有幫助?①Blalock-Taussig 分流術 ②心房中隔氣球造口術(balloon atrial septostomy) ③前列腺素靜脈注射(PGE1 infusion) ④肺動脈環縮術(PA banding) (A)①② (B)②③ (C)①③ (D)①④
25 目前對這種疾病的新生兒最好的手術方式為何? (A)全腔靜脈肺動脈吻合術(total cavopulmonary connection,TCPC) (B)Rastelli 術式 (C)Jatene 術式(arterial switch operation) (D)Norwood 術式
26 要執行此項手術的時間點,最好在出生後 2 個星期內手術且最遲不要超過 6 個星期,其原因何在? (A)心房中隔氣球造口術效果無法持久 (B)超過 6 個星期之後,左心室功能會退化,無法承擔體循環工作 (C)超過 6 個星期之後,母體之抗體消失,易發生手術感染 (D)2 個星期之內手術,冠狀動脈比較容易分離(dissection)
27 下列那種肺功能檢查數值最常被使用於術前手術風險的評估? (A)TLC(total lung capacity) (B)FRC(functional residual capacity) (C)FEV1(forced expiratory volume in first second) (D)IC(inspiratory capacity)
28 肺癌病人出現惡性肋膜腔積液(malignant pleural effusion),在 TNM 分期中,至少是屬於那一期? (A)ⅡA (B)ⅡB (C)ⅢA (D)ⅢB
29 對於食道的主要血液供應,下列何者錯誤? (A)上甲狀腺動脈 (B)下甲狀腺動脈 (C)胸主動脈 (D)左胃動脈
30 下列何者非氣胸手術適應症? (A)復發性氣胸 (B)合併大量血胸 (C)插完胸管後立即追蹤的 X 光呈現肺塌陷 (D)張力性氣胸
31 就解剖位置而言,食道有三個狹窄部位,下列何者錯誤? (A)cricopharyngeus muscle 處 (B)食道與左主支氣管交會處 (C)食道與肺靜脈交會處 (D)食道與橫膈膜交會處
32 Pseudomyxoma peritonei 通常是由何處之腫瘤破裂引起? (A)胃(stomach) (B)闌尾或卵巢(appendix or ovary) (C)空腸(jejunum) (D)迴腸(ileum)
33 下列何者不是腹腔鏡手術與傳統開腹手術的主要差別? (A)傷口較小 (B)術後止痛藥需要較少 (C)手術較快 (D)復原較快
34 一位 30 歲男性,因急性膽囊炎在某醫學中心接受腹腔鏡膽囊切除治療,出院後一週上腹不適,但無反 彈痛,輕微黃疸,被送回原醫院急診部,抽血檢查結果:白血球 15000 /mm3 ,血清胰臟酵素正常, AST 及 ALT 均在正常值兩倍內,血清總膽色素 2.2 mg/dL,直接型膽色素 1.5 mg/dL,經腹部超音波 檢查發現肝內膽管粗細正常,但在肝臟下緣有直徑 15 公分大之無回音區,則第一時間應考慮如何處 理最為恰當? (A)此為腸道因手術穿孔,需緊急開腹手術修補 (B)此為總膽管截斷,需安排 PTCD 引流 (C)此為術後膽汁滲漏,可先電腦斷層影像導引下放置引流管先行引流 (D)此為術後膽囊管斷端滲漏,應進行手術重新將斷端夾好
35 對於胰島素瘤(insulinoma),下列敘述何者錯誤? (A)神經症狀如精神混亂、視覺模糊,異常行為很常見 (B)交感神經症狀如心悸、手部抖動很常見 (C)可以使用 selective arterial calcium stimulation 及肝靜脈血測定胰島素值來定位腫瘤 (D)皮膚病變 necrolytic migratory erythema 很常見
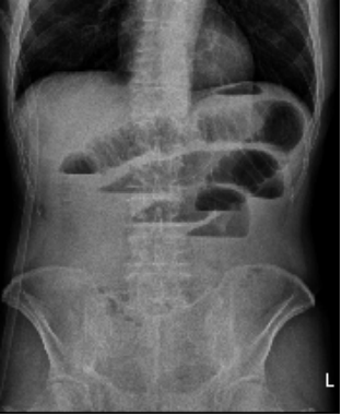
36 一位 80 歲男性,因昨日開始有腹脹及嘔吐的症狀來急診就診,病人表示之前也有過幾次類似的症狀, 身體診查顯示體溫為 36℃,呼吸每分鐘 16 下,心跳每分鐘 80 下,腹部檢查顯示下腹有一開刀的疤 痕、腹部脹大(distended)、無壓痛(tenderness)的症狀,放置鼻胃管後,病人自覺症狀改善,追 蹤的影像學檢查如下圖,下列敘述何者錯誤?
(A)病人可能有缺水(dehydration)狀況,需給予輸液補充(fluid resuscitation)及監測尿量 (B)病人需要大量給予水分時,可以考慮放置中央靜脈導管(central venous catheter)以監測水分給予 的狀況 (C)若出現腹部疼痛或 peritoneal sign,則表示有腸壞死的可能性 (D)支持性療法(supportive care)不適用於這位病人
37 關於消化性潰瘍手術之方法,下列敘述何者正確? (A)truncal vagotomy 一般不需要同時施行 pyloroplasty 手術 (B)highly selective vagotomy 要同時切除支配 gastric antrum 的迷走神經 (C)所謂 Billroth I procedure 指的是將切掉 antrum 的胃與近端空腸吻合 (D)對於太大的胃潰瘍,可以考慮做 truncal vagotomy 及 antrectomy
38 膽道出血(hemobilia)發生的原因,由過去的外傷性為主,慢慢轉變成醫源性(iatrogenic),下列 敘述何者最不適當? (A)以動脈出血為主要原因,而肝門靜脈出血則少見且容易自動止血 (B)手術治療是最佳止血方式,血管栓塞及保守治療只有輔助角色 (C)臨床症狀有典型三項:上腹痛、上消化道出血、黃疸 (D)影像診斷工具有內視鏡、電腦斷層、血管攝影等
39 關於急性闌尾炎(acute appendicitis)臨床診斷及治療之敘述,下列何者不適當? (A)腹部超音波優點是高敏感性(sensitivity)及特異性(specificity),缺點是其正確性倚賴施行者之 經驗(operator-dependent) (B)電腦斷層具有高敏感性(sensitivity)(90%)及特異性(specificity)(85%),且又可降低陰性 闌尾切除比率(negative appendectomy),是目前診斷闌尾炎之必要工具 (C)最常分離出之細菌為 Escherichia coli 及 Bacteroides (D)經腹腔鏡闌尾切除(laparoscopic appendectomy)可以提供較短術後恢復時間及傷口美觀,且對於 可能破裂之闌尾炎,經審慎評估後也可嘗試使用
40 最有可能之診斷為何? (A)急性闌尾炎(acute appendicitis)合併破裂 (B)骨盆腔發炎(pelvic inflammatory disease) (C)右側股疝氣(femoral hernia)合併腸阻塞 (D)升結腸腫瘤(ascending colon cancer)
41 承上題,病人就診時口渴且尿少、顏色深,則下列治療何者須優先給予? (A)鼻胃管置入並減壓(decompression)及充足之靜脈輸液治療 (B)立刻將病人推進開刀房接受手術,無須等待,以避免小腸壞死 (C)給予廣泛性抗生素並照會婦產科醫師 (D)給予靜脈注射促腸蠕動劑及灌腸(enema)治療
42 下列檢查何者對診斷最有幫助? (A)血中 T3 (B)血中 T4 (C)血中 TSH (D)血中可體松(cortisol)及 ACTH
43 承上題,上述病人應給予下列那些治療:①0.9%鹽水 ②hydrocortisone ③甲狀腺素 ④5%葡萄糖 液(dextrose): (A)①②③ (B)②③④ (C)①②④ (D)①③④
44 下列何者不是罹患乳癌的危險因子? (A)40 歲懷孕生第一胎小孩 (B)帶有 BRCA1 基因之變異 (C)曾罹患乳房纖維腺瘤(fibroadenoma) (D)乳腺非典型性管道增生(atypical ductal hyperplasia)
45 有關 fine needle aspiration cytology(FNAC),下列敘述何者錯誤? (A)FNAC 可能有偽陽性 (B)FNAC 可能有偽陰性 (C)FNAC 無法分辨 in situ(non-invasive)cancer 與 invasive cancer (D)FNAC 結果為陽性且乳房 X 光攝影為 BI-RADS category 4 以上,即可確診為乳癌並切除全乳房
46 膽道閉鎖(biliary atresia)的病人接受過葛西氏手術(Kasai operation)後的用藥不包括: (A)steroid (B)cyclosporine (C)ursodeoxycholic acid (D)vitamins A、D、E、K
47 有關 Meckel's diverticulum 常見的倂發症,下列何者錯誤? (A)出血 (B)發炎 (C)腸阻塞 (D)惡性變化
48 有關腹壁缺損(abdominal wall defect)的敘述,下列何者正確?①臍膨出(omphalocele)的腹壁缺口 較大 ②裂腹畸形(gastroschisis)較常合併染色體異常 ③肝臟膨出較常見於臍膨出(omphalocele) ④裂腹畸形(gastroschisis)具有包囊(sac),而臍膨出(omphalocele)則否 (A)②③ (B)①③ (C)③④ (D)①②
49 關於下消化道出血(LGI bleeding)的敘述,何者錯誤? (A)治療下消化道出血的首要目標是穩定心跳及血壓 (B)當患者的生命徵象穩定時,應該尋找出血位置 (C)手術是挽救患者唯一的治療方法 (D)血管攝影(angiography)可以用於尋找出血位置及治療
50 一位兩個月大的孩童,自出生後即被發現在右側胸鎖乳突肌之下三分之一處的前緣有一小孔,會流 出透明黏液,最可能的診斷為: (A)第一對鰓裂瘻管(branchial cleft fistula) (B)第二對鰓裂瘻管(branchial cleft fistula) (C)第三對鰓裂瘻管(branchial cleft fistula) (D)第四對鰓裂瘻管(branchial cleft fistula)
51 關於大腸直腸穿刺傷(penetrating colorectal injury)的敘述,下列何者錯誤? (A)大腸直腸穿刺傷的處理必須考慮受傷的機制、受傷後到外科手術間的時間延遲、病人腹膜腔內所 受到感染的程度 (B)直接修復(primary repair)穿刺傷只適用於生命徵象穩定且傷害及感染程度較輕的病人 (C)所有伴隨有腸繫膜內血管損傷的患者都可以進行直接修復(primary repair) (D)直腸穿刺傷的直接修復(primary repair)比大腸的穿刺傷修復困難,且大部分的直腸穿刺傷都伴隨 著相當程度的感染,也因此經常需要人工肛門來輔助治療
複選題
複選題
52 關於肛門上皮樣細胞癌(anal epidermoid carcinoma)的敘述,下列何者錯誤?(A)其細胞種類不同於直腸癌(rectal cancer)(B)放射線治療合併化學治療(chemoradiation)是主要治療(C)腹部會陰聯合切除術(abdominoperineal resection)是轉移性病況(metastatic disease)時的治療首選(D)鼠蹊部淋巴腺是可能的轉移位置,且發生此處轉移時,通常患者的預後較為不好
53 關於微創手術(minimally invasive surgery)的敘述,下列何者錯誤? (A)微創手術的好處包括減少術後疼痛及腸道功能恢復較快,因此改善了大腸癌患者術後的生活品質 (B)微創手術的運用並不會不利於大腸癌的治療 (C)微創手術無法像傳統開腹手術一樣有清楚的手術視野 (D)隨著微創手術訓練的進展,腹腔鏡手術的普及性已逐年提高
54 40 歲成人在下列何種情況,不需要優先選擇做大腸纖維內視鏡檢查? (A)大便潛血反應陽性者 (B)有大腸癌家族史者 (C)長期便秘者 (D)有大腸瘜肉(polyp)病史者
55 下列何者不是機器手臂輔助內視鏡手術的特點? (A)二維平面視野 (B)可以消除主刀者手術時手部晃動 (C)主刀者不需助手幫忙,可以自己調整鏡頭方向 (D)手術器械可以進入狹小空間,進行角度困難的動作
56 有關內生軟骨瘤(enchondroma)之敘述,下列何者錯誤? (A)常見於手或腳的近端指(趾)骨 (B)所謂 Maffucci’s syndrome 是指多發性內生軟骨瘤造成肢體變形 (C)常造成病理性骨折 (D)侵犯長骨時,在 X 光片下內含物可見到鈣化點
57 有關以雙磷酸鹽藥物治療骨質疏鬆症之敘述,下列何者錯誤? (A)主要與骨骼中羥基磷灰石(hydroxyapatite)結合 (B)已證實可有效增加骨質密度 (C)不須合併使用鈣片及維生素 D (D)有預防再次骨折的功效
58 關於開放性骨折(open fracture),下列敘述何者錯誤? (A)依據 Gustilo-Anderson 的分類,骨折處傷口大於 10 公分,同時合併嚴重軟組織及血管損傷時,屬 於第 II 型開放性骨折(type II open fracture) (B)開放性骨折(open fracture)的病人送達急診室時,應立即投予適當的抗生素治療 (C)較大傷口的開放性骨折(open fracture)應儘速至手術室中進行徹底的清洗及清創,不建議在急診 室進行傷口探查(exploration of the wounds) (D)第 I 型開放性骨折(type I open fracture)的傷口通常可進行初級縫合(primary closure);第 III 型 開放性骨折(type III open fracture)的傷口則不應進行初級縫合(primary closure)
59 一位 35 歲男性從高處跌落,造成第七、八胸椎骨折脫位及脊髓損傷,導致雙側下肢癱瘓,肌力 0 分。 下列那一項徵象存在時,日後神經功能恢復預後最佳? (A)踝陣攣現象(ankle clonus) (B)巴氏反射現象(Babinski's sign) (C)深層肌腱反射(deep tendon reflex)增強 (D)薦髓機能保留(sacral sparing)
60 剝離性骨軟骨炎(osteochondritis dissecans)可在許多關節部位發生,下列何處最少發生此症?(A)肘關節(B)肩關節(C)膝關節(D)踝關節
61 50 歲的陳先生是位網球愛好者,他最近為了準備公司企業盃網球賽,連續 2 週密集參加網球集訓。 結果他發覺肘關節外側疼痛,特別是手部用力握拳、或是腕部用力向背側屈曲(wrist extension)這 些動作,症狀特別嚴重。陳先生最可能傷到那條肌腱? (A)橈側屈腕肌(flexor carpi radialis muscle) (B)深屈指肌(flexor digitorum profundus muscle) (C)橈側伸腕短肌(extensor carpi radialis brevis muscle) (D)旋前圓肌(pronator teres muscle)
62 有關成骨不全症(osteogenesis imperfecta)之敘述,下列何者錯誤? (A)均屬於體染色體隱性(autosomal recessive)遺傳疾病 (B)大都源於第一型膠原蛋白(type I collagen)遺傳疾病 (C)最常見的臨床問題是長骨反覆骨折(recurrent fracture) (D)多處切骨矯正及骨髓內釘固定,可降低骨折的再發
63 一位 30 歲的男性,主訴有下背痛合併左下肢坐骨神經痛,磁振造影(MRI)檢查顯示在第四、五腰 椎左側椎孔外有椎間盤突出(extraforaminal disc herniation)。最有可能受到壓迫刺激的神經根是下 列何者? (A)左側第二腰椎神經根 (B)左側第三腰椎神經根 (C)左側第四腰椎神經根 (D)左側第五腰椎神經根
64 下列那類病人較不容易產生尿酸結石? (A)痛風(gout)的病人 (B)myeloproliferative disorders 的病人 (C)惡性腫瘤接受抗癌藥物治療的病人 (D)神經性膀胱常有尿路感染的病人
65 下列何種尿路結石,其成分含鎂? (A)struvite (B)whewellite (C)weddellite (D)hydroxyapatite
66 一位 35 歲女性被診斷出腎臟有 angiomyolipoma(AML),下列敘述何者錯誤? (A)使用超音波或電腦斷層診斷此症比用血管攝影方法準確 (B)若為 tuberous sclerosis 患者罹患 AML,則 AML 常為雙側且多發性 (C)約 25%之 AML 可能自發性破裂引發後腹腔出血 (D)tuberous sclerosis 患者若罹患 AML,其 AML 病理組織形態,與非 tuberous sclerosis 患者所罹患的 AML 病理組織形態不同
67 下列何者不是腎臟癌之腫瘤伴隨症候群(paraneoplastic syndromes)? (A)紅血球增多症(erythrocytosis) (B)低血鈣症(hypocalcemia) (C)高血壓 (D)非轉移性肝功能異常(Stauffer’s syndrome)
68 有關前列腺肥大造成之下泌尿道症狀(lower urinary tract symptoms)之敘述,下列何者錯誤? (A)病人常主訴半夜起來小便,尿流特別細小緩慢 (B)下泌尿道症狀,通常可以分為阻塞型(obstructive)及刺激型(irritative)症狀兩大類 (C)頻尿及夜尿次數增加,是屬於阻塞型症狀 (D)尿不乾淨,有大量殘尿的病人,比較會頻尿及夜尿;但是頻尿及夜尿的病人,不一定有大量殘尿
69 一位 50 歲婦女,過去曾因子宮頸癌接受過骨盆腔放射線治療,最近三年有頻尿、急尿及膀胱脹尿時 疼痛的症狀,但排尿後疼痛可以減輕。尿液檢查並沒有白血球或紅血球增加,病人也沒有尿液滲漏 的現象,排尿量約 100 毫升,沒有殘尿。請問她最可能的診斷為:(A)間質性膀胱炎(B)放射性膀胱炎(C)膀胱過動症(D)細菌性膀胱炎
70 下列何項危險因子不會影響陰莖海綿體血流量(penile blood flow,PBF)? (A)抽菸 (B)糖尿病 (C)高血壓 (D)心因性(psychogenic)勃起功能障礙
71 下列有關尿道下裂之敘述,何者錯誤? (A)尿道開口近膀胱端者比近尿道口者容易矯正 (B)手術矯正前給予雄性荷爾蒙製劑,可能有助於手術的進行 (C)在青春期前短暫給予睪固酮不會影響未來陰莖的發育 (D)7~9%會合併隱睪症,9~16%會合併腹股溝疝氣或陰囊積水
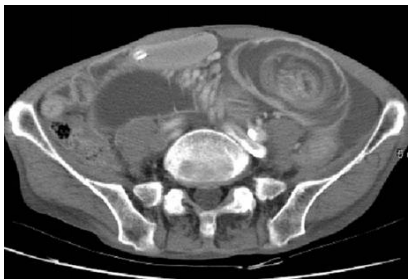
72 病人主訴腹脹、反胃、腹部悶痛。腹部電腦斷層檢查呈現腸阻塞如附圖。下列造成此病人腸阻塞的 原因,那一項最正確?
(A)phytobezoar (B)intussusception (C)inguinal hernia (D)volvulus
73 下圖為一位 41 歲女性腰椎之磁振造影矢狀面 T1 及 T2 影像。第四及第五腰椎體內中央部分有橫向之 高訊號變化。請問此高訊號的骨髓變化為何?
(A)infectious spondylitis (B)transverse fracture of vertebral bodies (C)metastases (D)fatty replacement of central aspect of vertebral bodies
74 有關神經性膀胱症的評估,下列敘述何者錯誤? (A)詳細病史詢問與身體診查仍為最重要的評估項目 (B)尿路動力學檢查主要用於評估膀胱肌肉強度與收縮時程 (C)解尿膀胱尿道攝影主要在檢查解尿時的解剖構造異常 (D)一般並不需要腎臟超音波檢查
75 有關老人 hip fracture 的敘述,下列何者錯誤? (A)常見於骨質疏鬆的病人 (B)一般而言,手術是較好的處理方式 (C)骨折手術後一年內 mortality rate 仍會上升 (D)術後應儘量不要讓病人下床活動
76 救護人員在參與災難的救援工作後,壓力調適過程中,下列敘述何者錯誤? (A)對風險判斷力下降,工作效率與配合度變差是警訊 (B)醫護人員對於處理罹難者遺骸較有經驗,故少有困擾 (C)成熟的人格特質有助調適 (D)曾接受災難醫學訓練者較具抗壓性
77 一位 22 歲男性,因右側睪丸疼痛腫脹,合併發燒、噁心而至急診就診,有關身體診查及實驗室檢查之判讀,下列敘述何者錯誤?(A)陰囊外觀的紅腫或硬塊,無法區分副睪-睪丸炎(epididymo-orchitis)或睪丸扭轉(testicular torsion)(B)右側提睪肌反射(cremasteric reflex)消失,診斷偏向為睪丸扭轉(C)Prehn sign 陽性,診斷偏向為副睪-睪丸炎,可以排除睪丸扭轉的可能(D)彩色杜卜勒超音波顯示睪丸血流正常或增加,診斷偏向為副睪-睪丸炎
78 病人車禍瀕臨死亡,他的器官要捐給需要的人,有關器官移植受贈者順位的決定主要依據,下列何 者錯誤? (A)受贈者的疾病嚴重度 (B)受贈者等待移植時間的長短 (C)受贈者接受器官移植的預後 (D)受贈者的社經地位
79 某癌症病人手術後本來還算穩定,但卻疑似因為護理人員打錯了藥物,導致病人死亡,如果你是主 治醫師,最不宜採取下列那一項措施? (A)向病人安全委員會通報 (B)通知護理部進行根本原因分析 (C)妥善跟病人家屬解釋及溝通 (D)為保護護理同仁協助掩蓋真相
80 80 歲的陳老先生身體一向硬朗,行動自如、心智正常,最近經確診得到攝護腺癌,而且已經有骨轉 移,泌尿科醫師建議進行手術及睪丸摘除,經向陳老先生解釋,陳老先生願意接受手術但拒絕摘除 睪丸。陳老先生的兒子跟主治醫師要求手術麻醉後就一併摘除睪丸,反正陳老先生年紀也大了,留 著睪丸用處不大,手術後他自然就會接受。主治醫師應該照著做嗎? (A)應該,因為子女可以代為決定 (B)應該,因為對病情控制有幫助 (C)不應該,因為陳老先生的自主權應受到尊重 (D)不應該,因為陳老先生的兒子沒有簽手術同意書
申論題 (0)
相關試卷
115年 - 115-1 專技高考_醫師(二):醫學(五)(包括外科、骨科、泌尿科等科目及其相關臨床實例與醫學倫理)#137338
115年 · #137338
114年 - 114-2 專技高考_醫師(二):醫學(五)(包括外科、骨科、泌尿科等科目及其相關臨床實例與醫學倫理)#127923
114年 · #127923
114年 - 114-1 專技高考_醫師(二):醫學(五)(包括外科、骨科、泌尿科等科目及其相關臨床實例與醫學倫理)#125088
114年 · #125088
113年 - 113-2 專技高考_醫師(二):醫學(五)(包括外科、骨科、泌尿科等科目及其相關臨床實例與醫學倫理)#120655
113年 · #120655
113年 - 113-1 專技高考_醫師(二):醫學(五)(包括外科、骨科、泌尿科等科目及其相關臨床實例與醫學倫理)#118719
113年 · #118719
112年 - 112-2 專技高考_醫師(二):醫學(五)(包括外科、骨科、泌尿科等科目及其相關臨床實例與醫學倫理)#114977
112年 · #114977
112年 - 112-1 專技高考_醫師(二):醫學(五)(包括外科、骨科、泌尿科等科目及其相關臨床實例與醫學倫理)#113148
112年 · #113148
111年 - 111-2 專技高考_醫師(二):醫學(五)(包括外科、骨科、泌尿科等科目及其相關臨床實例與醫學倫理)#108727
111年 · #108727
111年 - 111-1 專技高考_醫師(二):醫學(五)(包括外科、骨科、泌尿科等科目及其相關臨床實例與醫學倫理)#106181
111年 · #106181
110年 - 110-2 專技高考_醫師(二):醫學(五)(包括外科、骨科、泌尿科等科目及其相關臨床實例與醫學倫理)#99917
110年 · #99917