阿摩線上測驗
登入
首頁
>
牙醫學(六)(包括齒顎矯正學、兒童牙科學、牙科公共衛生學等科目及其相關臨床實例與醫學倫理)
> 103年 - 103-2 專技高考_牙醫師(二):牙醫學(六)(包括齒顎矯正學、兒童牙科學、牙科公共衛生學等科目及其相關臨床實例與醫學倫理)#35973
103年 - 103-2 專技高考_牙醫師(二):牙醫學(六)(包括齒顎矯正學、兒童牙科學、牙科公共衛生學等科目及其相關臨床實例與醫學倫理)#35973
科目:
牙醫學(六)(包括齒顎矯正學、兒童牙科學、牙科公共衛生學等科目及其相關臨床實例與醫學倫理) |
年份:
103年 |
選擇題數:
80 |
申論題數:
0
試卷資訊
所屬科目:
牙醫學(六)(包括齒顎矯正學、兒童牙科學、牙科公共衛生學等科目及其相關臨床實例與醫學倫理)
選擇題 (80)
1.下列有關上顎骨生長的敘述,何者正確? (A)當上顎骨往前下方生長,前方骨表面呈骨沈積(apposition) (B)上顎牙弓增長的主因是上顎鼻竇的增大 (C)當上顎骨往前下方生長,後方與顱底交接的骨縫處呈骨沈積(apposition) (D)上顎齒槽骨垂直增長的主因是鼻腔底部的骨沈積(apposition)
2.單側完全唇裂的發生是因為下列何種顏面突(facial process)融合失敗所造成的? (A)內側鼻突(medial nasal process)、外側鼻突(lateral nasal process)和上顎突 (maxillary process) (B)內側鼻突(medial nasal process)和外側鼻突(lateral nasal process) (C)外側鼻突(lateral nasal process)和上顎突(maxillary process) (D)內側鼻突(medial nasal process)和上顎突(maxillary process)
3.成人隨著年齡增加,下顎門牙微笑時外露程度的變化情形為何? (A)增加 (B)減少 (C)不變 (D)未有定論
4.從小罹患achondroplasia者可能造成怎樣的臉型? (A)mandibular retrognathism (B)midface deficiency (C)bird face (D)long face syndrome
5.計算分析恆牙牙弓周徑時,其測量是由何部位到何部位? (A)犬齒近心端至另側犬齒近心端 (B)犬齒遠心端至另側犬齒遠心端 (C)第一大臼齒近心端至另側第一大臼齒近心端 (D)第一大臼齒遠心端至另側第一大臼齒遠心端
6.顏面開展度大且合併前牙開咬的第二級異常咬合患者,以骨性錨定幫助齒列矯正治療效果, 此時骨性錨定使用的主要目的為何? (A)上顎臼齒內壓(intrusion) (B)上顎門齒推出(extrusion) (C)上顎臼齒推出(extrusion) (D)下顎門齒推出(extrusion)
7.下列何者不屬於下顎的測顱術界標(cephalometric landmark)? (A)Ba(basion) (B)Ar(articular) (C)Me(menton) (D)Gn(gnathion)
8.根據Dr. Tweed所提出的齒列空間分析方法,其強調下顎門齒與其基底骨之間的理想角度應依 下列那個角度的變化而調整? (A)咬合平面與下顎平面之間的夾角(OP-MP) (B)前顱底平面與下顎平面之間的夾角(SN-MP) (C)法蘭克福平面與下顎平面之間的夾角(FMA) (D)ANB角
9.使用二級牽引橡皮圈(ClassⅡelastic)的牙齒移動,不包括: (A)上顎前齒的舌側移動 (B)下顎前齒的唇側移動 (C)上顎大臼齒的近心移動 (D)下顎大臼齒的近心移動
10.下列有關牙齒移動的敘述,何者錯誤? (A)適當矯正力可使壓迫側齒槽骨有直接性吸收 (B)牙齒傾斜移動比整體移動容易 (C)扭轉異位牙齒的旋轉移動容易復發 (D)舌側弧線裝置的指樣彈線(finger spring)適合於牙齒整體移動
11.前牙做突出(extrusion)移動時,骨下囊袋(infrabony pocket)會發生什麼變化? (A)變淺 (B)變深 (C)不變 (D)產生新的上皮附連(epithelial attachment)
12.當矯正患者要求拿走矯正治療前之檢查資料(如牙齒模型、放射線片、口內外照片等),以 尋求第二醫療意見時,你的作法為: (A)拒絕交出,因為這是醫療院所財產 (B)不必提供,僅將檢查摘要給患者即可 (C)請患者知會第二醫療意見之醫師來函告知並申請,才提供資料 (D)配合患者要求,將資料交給患者
13.有關出生後顱底(cranial base)生長的敘述,下列何者錯誤? (A)主要是屬於軟骨內骨生成(endochondral bone formation) (B)骨生成方式與顱頂(cranial vault)相同 (C)軟骨聯合(synchondrosis)是其重要的生長位置(growth site) (D)具有骨重塑(remodeling)
14.下列那一位學者利用金屬植體植入顏面顎骨,用以研究顱顏顎骨生長之變化? (A)Tweed (B)Enlow (C)Moss (D)Bjork
15.如圖所示,一個牙齒牙胚未完全分裂且共有一個牙髓腔,稱為:
(A)fusion (B)gemination (C)hyperdontia (D)concrescence
16.有關Angle's line of occlusion與esthetic line of the dentition之敘述,下列何者錯誤? (A)Angle's line of occlusion可用來分析牙弓對稱與否及擁擠程度 (B)上下咬合時無法觀察Angle's line of occlusion (C)esthetic line of the dentition可用來評估牙齒與嘴唇關係 (D)esthetic line of the dentition是沿著下顎前牙至後牙牙齒唇側面連線
17.上下顎第二乳臼齒遠心面呈現下列何種關係時,最容易發展成Class III異常咬合? (A)遠心階梯(distal step) (B)對齊的終端平面(flush terminal plane) (C)近心階梯(mesial step) (D)末端對齊(end to end)
18.齒顎矯正後,下門牙發生擁擠,與下列何者最無關? (A)下顎齒顎矯正治療時,犬齒寬度過度增加 (B)現代食物缺乏正常的磨損作用 (C)下顎第三大臼齒先天性缺失 (D)青少年之後期下顎生長
19. 此圖片為十三歲男性矯正患者之口內右邊頰側照片及側面測顱放射線片,請問下列何者是最適切的咬合異常診斷?
(A)Angle Class I with anterior open bite (B)Angle Class II with anterior open bite (C)Angle Class I with anterior crossbite (D)Angle Class II with anterior crossbite
20.微笑時上顎前齒區牙齦展露過度(excessive gingival exposure),最常發生在具有下列何種 特徵的患者? (A)長臉型 (B)短臉型 (C)前牙錯咬 (D)後牙錯咬
21.測顱分析中,FMA為下列那兩條連線的交角? (A)NA與A-pog (B)SN與NA (C)SN與Go-Gn (D)FH plane與Go-Gn
22.下列何種測顱分析值,與下顎之垂直位置最有關係? (A)SNB (B)SN-MP(SN-mandibular plane) (C)ANB (D)IMPA(incisor-mandibular plane angle)
23.下列何者與下顎第一大臼齒早期近心移位(early mesial shift)的相關性最小? (A)乳齒列有靈長空隙(primate space) (B)乳臼齒早期喪失 (C)乳臼齒鄰接面齲齒 (D)餘裕空間(leeway space)
24.下列何者不是二級顎間橡皮圈(Class II inter-arch elastics)可能產生之副作用? (A)上顎前齒挺出(extrusion) (B)上顎前齒下壓(intrusion) (C)下顎後齒挺出 (D)下顎後齒前傾
25.有關功能性矯正裝置(functional appliance)的敘述,下列何者錯誤? (A)使用時可促進下顎髁狀突生長以及改變其生長方向 (B)bionator可加入上顎擴張的裝置 (C)Clark twin block appliance由上下兩個resin blocks組成 (D)只適用於Angle Class II病例
26.矯正牙齒移動後,下列何種組織的重塑(remodeling)最耗時? (A)齒槽嵴上纖維(supracrestal fiber) (B)齒槽骨 (C)牙周韌帶 (D)根尖牙骨質
27.影響胚胎牙齒及顱顏面正常發育之因素,下列何者錯誤? (A)吸菸可能導致唇顎裂 (B)酒精過量可能導致中面部發育不足顎裂 (C)放射線治療可能導致小腦症 (D)阿斯匹靈易導致 Pierre Robin 症候群
28.安格氏第二級咬合異常患者,合併有顳顎關節障礙及局部缺牙問題,若需為患者安排:①齒 列矯正治療 ②顳顎關節治療 ③植牙贗復治療,則三者的先後順序通常為何? (A)①②③ (B)③②① (C)③①② (D)②①③
29.不合作兒童就診,家長情緒失控打小孩時,牙醫師之最佳處置為何? (A)放棄治療 (B)隔離家長 (C)對兒童行為控制 (D)全身麻醉
30.行為誘導溝通時,小朋友出現心跳加速(rapid heartbeat)或臉上冒汗(beads of perspiration on the face),下列代表意義何者最適當? (A)緊張 (B)害怕 (C)生氣 (D)太熱
31.為了避免引起嬰幼兒發生嚴重性早期兒童齲齒(Severe Early Childhood Caries, S-ECC), 建議父母第一次帶嬰幼兒檢查牙齒的時機最好是在何時? (A)約12個月大以前 (B)約36個月大以前 (C)約60個月大以前 (D)約71個月大以前
32.下顎第一乳臼齒進行牙冠修形時,下列何者錯誤? (A)近心面應修形 (B)遠心面應修形 (C)舌側面應修形 (D)咬合面應修形
33.5歲女孩於右下第一乳臼齒有一個明顯的齲齒窩洞,該牙沒有症狀亦無異常動搖,下列何者 不是治療選項之一? (A)間接覆髓術(indirect pulp treatment)與不銹鋼牙套 (B)拔除與空間維持器 (C)牙髓切除術與不銹鋼牙套 (D)觀察直到自然脫落
34.下列何者病患常有磨牙的問題? (A)鎖骨顱骨發育不良(cleidocranial dysplasia) (B)外胚層發育異常(ectodermal dysplasia) (C)透納氏症候群(Turner's syndrome) (D)腦性麻痺(cerebral palsy)
35.根據 Moorrees之研究,從6歲至18歲,上顎犬齒間牙弓寬度(arch width)的改變情形為 何? (A)約增加5 mm (B)約增加3 mm (C)約增加1 mm (D)未改變
36.關於乳牙的生長發育,下列敘述何者錯誤? (A)乳牙在出生後7週時開始形成 (B)乳牙的牙釉質會在1歲以前就形成 (C)所有的乳牙應在2至3歲左右長完 (D)所有乳牙的牙根約在3歲左右完成
37.如下X光圖所示,關於左下第二小臼齒,你的診斷為何?
(A)牙釉珠(enamel pearl) (B)齒外齒(dens evaginatus) (C)齒中齒(dens invaginatus) (D)黏合齒(gemination)
38.一個5歲1個月的小男生其terminal plane屬distal-step,沒有外在影響因素下正常換牙,由此 預測18歲時的恆牙第一大臼齒之關係最可能為下列何者? (A)Class I (B)Class II (C)Class III (D)Cusp to cusp
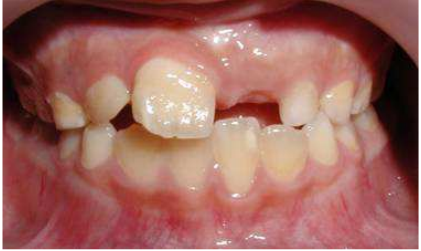
39.如下圖所示,10歲女孩的左上門齒的萌出問題,下列原因,何者最有可能?
(A)吸手指 (B)口呼吸 (C)乳齒外傷 (D)上唇繫帶
40.下列關於孩童與成人愛滋病(AIDS)的病徵敘述,何者非共同病徵? (A)間質性肺炎(interstitial pneumonitis) (B)體重喪失 (C)嚴重且復發的細菌感染 (D)慢性腹瀉
41.下列藥物與其副作用之組合,何者正確? (A)Tetracycline-再生不良貧血 (B)Chloramphenicol-牙齒變色 (C)Nifedipine-牙齦增生 (D)Atropine-唾液分泌促進
42.就上顎恆前牙外傷脫落(avulsion)而言,下列何者正確? (A)最常發生於5~6歲的男生 (B)最常發生於7~9歲的男生 (C)最常發生於5~6歲的女生 (D)最常發生於7~9歲的女生
43.早產兒最易伴有下列何種症狀? (A)肺支氣管發育不良(bronchopulmonary dysplasia) (B)氣喘(asthma) (C)囊性纖維病變(cystic fibrosis) (D)脊狀裂歧症(spina bifida)
44.於全身麻醉下進行牙科照護的適應症,下列何者錯誤? (A)病人有身體或系統性狀況,無法以傳統行為處理方式接受治療者 (B)極度恐懼、不合作之孩童或青少年,且須相當程度之牙科治療者 (C)病人需立即性的複雜或全口治療,若不採用全身麻醉無法接受完整治療者 (D)智能障礙者一定要在全身麻醉下進行牙科照護
複選題
45.根據Dr. A Gesell研究,下列何者是5歲小朋友應該有的特徵? (一律給分) (A)非常具有想像力(very active imagination) (B)喜歡聽故事(likes stories) (C)表現出一些獨立自主的技能(shows many independent self-help skills) (D)可與同伴一起玩耍(plays cooperatively with peers)
46.下列何者是小朋友第一次約診前,可用來改變就診行為(pre-appointment behavior modification)的方式? (A)說-看-作(Tell-Show-Do) (B)模範病人看診示範(modeling) (C)正向強化(positive reinforcement) (D)行為塑形(behavior shaping)
47.有關人類齲齒的研究中,Vipeholm study發現了多項重要事實,其中不包括下列何者? (A)口水的流量與齲齒有關 (B)蔗糖是造成齲齒的主要原因之一 (C)在餐與餐間食用甜食比在用餐時食用甜食更容易造成齲齒 (D)移除餐間甜食,則齲齒增加率會明顯下降
48.公共衛生防齲措施中的國小學童含氟漱口水計畫,漱口水使用的頻率,考慮行政、成本及效 益時,下列何者最常用? (A)每天一次 (B)每週一次 (C)每天三次 (D)每隔一天一次
49.根據研究發現幼兒在幾個月大時,口內便可能會有變異型鏈球菌(S. mutans )? (A)3個月 (B)12個月 (C)18個月 (D)24個月
50.有關人類生長的基本概念敘述,下列何者正確? (A)在兒童中期,大部分初級軟骨藉由膜內骨形成的過程被骨頭取代 (B)從出生到成人,顱顏面骨頭生長量大概增長了2倍 (C)正常人的顱顏淋巴組織在五歲時約是成人水平的25% (D)正常人的神經組織在兒童中期時達到約30%成人水平
51.一個9歲男童,牙齒在混合齒列時期,且上顎左右兩側第一、二乳臼齒為殘根需要拔除,則 下列何處置較合適? (A)做雙側遠心鞋型(distal shoe)空間維持器 (B)做雙側帶環(band and loop)空間維持器 (C)做舌側牙弓(lingual holding arch)空間維持器 (D)做南斯氏(Nance appliance)空間維持器
52.異常的唇繫帶(labial frenum)會造成的不良口腔健康的影響,下列敘述何者錯誤? (A)限制組織的活動,使發音不良 (B)牙齒的發育位置改變,形成前牙間隙(diastema) (C)唇繫帶延伸過長會干擾刷牙 (D)繫帶過短使得咀嚼功能受限
53.關於混合齒列前牙錯咬(anterior crossbite),下列敘述何者錯誤? (A)延遲治療會導致牙弓大小(arch dimensions)喪失、中線不對稱(asymmetric midlines)、外傷性咬合(traumatic occlusion) (B)診斷治療依據為包含的牙齒數量、上下門牙傾斜度(inclinations)、顏面形態(facial profile)、測顱分析(cephalometric analysis) (C)治療的生物機械因子(biomechanical)含門牙的位置及可得到空間的大小 (D)斜面裝置的製作,其壓克力斜面應與上顎門牙長軸呈45度
54.下列心臟病患者接受牙科治療時,何者不需給予抗生素預防性投藥,以避免感染性心內膜炎 (infective endocarditis)? (A) 接受人工瓣膜(prosthetic cardiac valve)修復者 (B) 有感染性心內膜炎病史者 (C) 心室中膈缺損 (D)未修復之發紺性先天性心臟病
55.接受癌症治療兒童口腔中最常出現的併發症為何? (A)黏膜炎 (B)口乾症 (C)味覺改變 (D)牙齒敏感
56.關於重新植回牙齒的固定(stabilization of replanted teeth),下列何者錯誤? (A)不會干擾到正常咬合 (B)裝置時不會對牙齒或牙齦造成傷害 (C)至少需固定一個月以上 (D)容易移除
57.對兒童外傷脫落(avulsed)牙齒,若需使用sodium hypochlorite浸泡時,浸泡時間應為何? (A)3~5分鐘 (B)5~7分鐘 (C)10~15分鐘 (D)20~30分鐘
58.關於口腔灼傷所設計的灼傷裝置,下列何者錯誤? (A)可以避免更加困難的手術步驟 (B)避免組織沾黏與疤痕收縮造成的嘴角不對稱 (C)此裝置的成功與否依賴於病患的配合度 (D)可以完全消除舌頭或周圍皮膚組織整形手術的需要
59.下列何者不是自閉症常見的特徵? (A)肢體彎曲 (B)斜視(strabismus) (C)肌肉張力(muscle tone)低 (D)流涎(drooling)
60.下列有關肢體固定(stabilization)之使用,下列敘述何者最恰當? (A)可節省醫師治療時間的方便手法 (B)使用過後,可讓病人下次自然配合 (C)操作前需要告知並取得家長同意書 (D)所有身心障礙病人都必須使用
61.常態分配在平均值上下兩個標準差之間約包含了母群體多少百分比? (A)68.26% (B)95.46% (C)99.73% (D)99.99%
62.貝氏刷牙法(Bass technique)屬於那一類的刷牙方式? (A)來回式(reciprocating) (B)旋轉式(rolling) (C)顫動式(vibratory) (D)直刷式(vertical sweeping)
63.在口腔衛生計畫事前的評估,其重點是此項計畫對學習者的知識、態度、及技能之影響如 何,屬於下列何項? (A)過程評估 (B)影響評估 (C)成果評估 (D)背景評估
64.在三段五級的預防層級中,第一段第一級的預防重點與目標為何? (A)促進健康 (B)特殊保護 (C)限制傷殘 (D)早期診斷,立即治療
65.依據WHO在1997出版的口腔健康調查方法,檢查齲齒的工具為何? (A)平面口鏡及23號C型探針 (B)放大口鏡及23號C型探針 (C)平面口鏡及CPI探針 (D)放大口鏡及CPI探針
66.下列何項口腔病菌感染與人類免疫缺陷病毒(Human immunodeficiency virus,HIV)感染 之患者具有明顯相關性? (A)單純疱疹病毒(Herpes simplex virus) (B)念珠菌病(Candidosis) (C)人類乳頭瘤病毒(Human papilloma virus) (D)水痘(Varicella)
67.某一針對全臺灣的流行病學研究發現:各縣市的口腔癌發生率和其檳榔年銷售量呈現顯著正 相關。此研究使用的是下列那一種研究法? (A)生態型研究(ecologic study) (B)臨床試驗(clinical trial) (C)世代研究(cohort study) (D)病例對照法(case-control study)
68.關於窩溝封填劑之敘述,下列何者正確? (A)可以用在窩溝部位屬於牙釉質範圍的小齲蝕 (B)可以直接用在窩溝部位屬於牙本質範圍的小齲蝕 (C)可以用在咬合面的面上之齲蝕 (D)只能用在無齲蝕之窩溝
69.1997年我國政府訂定之含氟量在800~1000 ppm之牙膏屬於下列何類? (A)超氟牙膏 (B)含氟牙膏 (C)低氟牙膏 (D)兒童含氟牙膏
70.牙醫專業塗氟時,使用之氟化物濃度(ppm)約為一般含氟牙膏之多少倍? (A)2~3倍 (B)4~6倍 (C)7~9倍 (D)10~20倍
71.下列何者不是口腔衛生計畫評價的功能? (A)口腔衛生計畫成果的出版與發表 (B)檢定口腔衛生計畫的科學假設或專業的實務原則 (C)提供執行口腔衛生計畫的的改進策略 (D)檢測口腔衛生計畫的推行是否符合各項責任要求
72.有關使用大眾媒體實施衛生教育的敘述,下列何者正確? (A)可達到改變行為的效果 (B)可達到引起人們注意及知覺的效果 (C)可達到深入討論的效果 (D)可達到最高信賴度的效果
73.關於口腔健康監測系統的屬性,下列敘述何者正確? (A)呈現個人口腔健康之變化趨勢 (B)提供政策制訂所需之參考資料 (C)建立基礎線數據(base-line data) (D)主要用於探討致病因子
74.齲齒檢查之記錄方式,下列何者為正確? (A)上矯正器之牙齒記為F (B)贋復牙冠在DMFS中,各面均記為F (C)殘根在DMFS中,各面均記為M (D)失活牙與活性牙之記錄方式不同
75.有關牙科臨床使用之器械的消毒與滅菌之敘述,下列何者正確? ①滅菌指消滅所有的細 菌、病毒、原生動物及藻類 ②消毒指殺死細菌內芽孢 ③牙科臨床常使用高溫高壓蒸氣滅 菌方法 ④根管銼(file)屬於須絕對滅菌(critical)的器械 (A)①②③ (B)①②④ (C)②③④ (D)①③④
76.下列關於「以學校為基礎之窩溝封劑計畫(school-based sealant program,SBSP)」及 「與學校連結之窩溝封劑計畫(school-linked sealant program,SLSP」之敘述,何者正 確? (A)SBSP會減低家長參與計畫的意願 (B)SBSP比SLSP更方便而有效率 (C)SLSP可以減少學童為治療牙齒而離開學校的時間 (D)SLSP可以改善對於計畫之低度利用(underused)狀況
77.「同一就醫序號重複申報」屬於全民健保審核制度的那一項工作的內容? (A)行政審查 (B)專業審查 (C)行政核減 (D)專業核減
78.請問以下何者非唐氏症(Down's syndrome)患者常見之口腔特徵? (A)地圖舌 (B)前牙開咬 (C)上顎發育不良 (D)巨舌症
79.依世界衛生組織的定義,當65歲以上之人口佔總人口的比例達多少以上時,該國家地區便正 式邁入所謂的高齡化社會? (A)7% (B)10% (C)12% (D)9%
80.依據醫療法第70條規定:醫院、診所之病歷,至少應保存幾年? (A)5年 (B)7年 (C)12年 (D)15年
申論題 (0)
相關試卷
115年 - 115-1 專技高考_牙醫師(二):牙醫學(六)(包括齒顎矯正學、兒童牙科學、牙科公共衛生學等科目及其相關臨床實例與醫學倫理)#137337
115年 · #137337
114年 - 114-2 專技高考_牙醫師(二):牙醫學(六)(包括齒顎矯正學、兒童牙科學、牙科公共衛生學等科目及其相關臨床實例與醫學倫理)#128942
114年 · #128942
114年 - 114-1 專技高考_牙醫師(二):牙醫學(六)(包括齒顎矯正學、兒童牙科學、牙科公共衛生學等科目及其相關臨床實例與醫學倫理)#125112
114年 · #125112
113年 - 113-2 專技高考_牙醫師(二):牙醫學(六)(包括齒顎矯正學、兒童牙科學、牙科公共衛生學等科目及其相關臨床實例與醫學倫理)#121683
113年 · #121683
113年 - 113-1 專技高考_牙醫師(二):牙醫學(六)(包括齒顎矯正學、兒童牙科學、牙科公共衛生學等科目及其相關臨床實例與醫學倫理)#118738
113年 · #118738
112年 - 112-2 專技高考_牙醫師(二):牙醫學(六)(包括齒顎矯正學、兒童牙科學、牙科公共衛生學等科目及其相關臨床實例與醫學倫理)#115906
112年 · #115906
112年 - 112-1 專技高考_牙醫師(二):牙醫學(六)(包括齒顎矯正學、兒童牙科學、牙科公共衛生學等科目及其相關臨床實例與醫學倫理)#113152
112年 · #113152
111年 - 111-2 專技高考_牙醫師(二):牙醫學(六)(包括齒顎矯正學、兒童牙科學、牙科公共衛生學等科目及其相關臨床實例與醫學倫理)#109857
111年 · #109857
111年 - 111-1 專技高考_牙醫師(二):牙醫學(六)(包括齒顎矯正學、兒童牙科學、牙科公共衛生學等科目及其相關臨床實例與醫學倫理)#106189
111年 · #106189
110年 - 110-2 專技高考_牙醫師(二):牙醫學(六)(包括齒顎矯正學、兒童牙科學、牙科公共衛生學等科目及其相關臨床實例與醫學倫理)#99937
110年 · #99937