阿摩線上測驗
登入
首頁
>
醫學三:80題 ( 包括內科,家庭醫學科等科目及其相關臨床實例與醫學倫理 )
> 103年 - 103-2 專技高考_醫師(二):醫學(三)(包括內科、家庭醫學科等科目及其相關臨床實例與醫學倫理)#36586
103年 - 103-2 專技高考_醫師(二):醫學(三)(包括內科、家庭醫學科等科目及其相關臨床實例與醫學倫理)#36586
科目:
醫學三:80題 ( 包括內科,家庭醫學科等科目及其相關臨床實例與醫學倫理 ) |
年份:
103年 |
選擇題數:
80 |
申論題數:
0
試卷資訊
所屬科目:
醫學三:80題 ( 包括內科,家庭醫學科等科目及其相關臨床實例與醫學倫理 )
選擇題 (80)
1 一位 50 歲女性過去曾被發現有膽囊結石。昨天夜裡突然上腹部(epigastric region)開始劇痛,伴有 噁心、嘔吐及腹脹等症狀;她的腹痛在平躺時會加劇,屈膝彎腰時腹痛會較緩解。身體診察時,聽 不到腸音,腹部有輕微壓痛,但無反彈痛(rebound pain),左側腰部皮膚上可見一塊綠褐色區域。 下列各項敘述,何者錯誤? (A)此病人之病情可能與膽囊結石有關 (B)抽血檢驗很可能會發現澱粉酶(amylase)明顯異常上升 (C)對此等病人,住院後 24 小時內應注意其 Ranson’s criteria 及 APACHE II score 等,判斷其嚴重度 (D)治療此等病人以手術為首要選擇
2 22 歲大學生要參加大專運動會,在賽前接受評估。心臟聽診在左下胸骨邊緣有一個高頻收縮期心雜音 (harsh systolic murmur)。若想要進一步分析是否有肥厚性心肌病變(hypertrophic cardiomyopathy), 進行下列那一個動作,會加強聽到的收縮期雜音? (A)坐著身體向前傾 (B) Valsalva maneuver (C) squatting position (D)左側躺
3 56 歲女性因三週前出現胸痛而診斷急性心肌梗塞,接受了血栓溶解劑治療後出院。最近二天因為覺 得很喘經由門診住院。病人表示她很規則地服用醫師開立的藥物,包含 atorvastatin,lisinopril, metoprolol,aspirin。身體診察血壓 100/45 毫米汞柱,心跳每分鐘 46 次,雙側肺部有囉音(bilateral crackles),頸靜脈怒張,雙側下肢水腫,沒有出現新的心雜音或奔馬音(gallop)。心電圖有竇性心 搏過緩,呈現近期的心肌梗塞,但沒有出現新的變化。下列處置何者正確? (A)進行緊急置放心律調節器 (B)測量游離甲狀腺素 T4(free T4) (C)使用強心藥 dobutamine (D)使用利尿劑,同時減量或停用 metoprolol
4 一位慢性 C 型肝炎患者接受腹部超音波檢查發現有肝硬化,抽血檢驗結果如下:albumin = 2.7 g/dL (正常值>3.5),bilirubin(total)= 2.0 mg/dL(正常值<1.2),prothrombin time(PT)INR = 1.5, WBC = 3,000/mm3 (正常值>4,000),platelet = 8 K/mm
3
(正常值>15K)。最近常便秘,但又喜歡 肉食,有一天,他被發現神智不清而被送至急診室,下列各項敘述,何者錯誤? (A)身體診察很可能會發現有撲拍性震顫(flapping tremor) (B)抽血檢驗 ammonia(NH3)值 = 32 μg/dL(正常值<37) (C)應儘速灌腸通便(enema) (D)目前應限制動物蛋白質攝取
5 一位 30 歲男性因近日有食慾變差及倦怠情況而就醫,他沒有腹痛現象。抽血檢驗結果如下 AST(GOT)=650 U/L(正常值<37),ALT(GPT)=600 U/L(正常值<41),total bilirubin= 3.0 mg/dL(正常值<1.2),ALP(alkaline phosphatase)=450U/L(正常值<104),γ-GT(gamma-glutamyl transpeptidase)=350U/L(正常值<52),PT(prothrombin time)=11 秒(control 11.1 秒)。腹部超音波檢查沒有發現任何異常。下列敘述何者正確? (A)若 HBsAg(+),應為 B 型肝炎急性發作(B)若 Anti-HCV(+),應為 C 型肝炎(C)很可能為藥物性肝炎(D)很可能為膽管阻塞而導致肝炎
6 一位年輕女性服用含中草藥之減肥藥後腎功能受損,經檢驗,其所服用之中草藥含馬兜鈴酸 (aristolochic acid),下列敘述何者錯誤? (A)腎功能變壞的速率較膜性腎病(membranous nephropathy)為快 (B)病理切片顯示腎間質纖維化但細胞浸潤(cellular infiltration)不多 (C)貧血較其他腎病輕微 (D)此病人得到泌尿道惡性腫瘤之機會增加
7 一位 50 歲男病人,患慢性腎臟病 8 年,一個月前血清肌酸酐(creatinine)為 3.0 mg/dL 現因身體虛 弱而就診,抽血發現血清肌酸酐 6.0 mg/dL,血鉀(K)7.2 mmol/L,心電圖呈現高而尖的 T 波及 QRS 期間(duration)延長的變化,下列敘述何者錯誤? (A)給予口服鉀離子交換樹脂(potassium exchange resin) (B)給予重碳酸鈉靜脈注射 (C)給予口服氧化鎂 (D)緊急血液透析治療
8 46 歲女病人主訴兩側手腕關節及手指關節腫痛已 3 個多月。抽血檢查,ESR 及 CRP 皆明顯上升,且類風濕因子也呈陽性。雙手 X 光也發現關節邊緣性腐蝕現象。此時,除給予消炎止痛劑(NSAID)外,最適宜再給予的免疫調節劑為下列那一種?(A) methotrexate(B) cyclosporine(C) cyclophosphamide(D) azathioprine
9 林先生 36 歲,罹患急性骨髓性白血病,在化學治療後成功達到完全緩解狀態,在醫師建議下接受異 體造血幹細胞移植。以下何種檢驗其可靠性及時效最能證實移植成功? (A) RBCs ABO grouping (B) DNA/STR(short tandem repeat)analysis (C) chromosomal study (D) RH system
10 微生物致病菌(microorganisms)侵入下呼吸道引發肺炎,最常見的侵入下呼吸道途徑是經由: (A)吸入(aspiration) (B)血行轉移(hematogeneous spread) (C)淋巴轉移(lymphatic spread) (D)肋膜侵入(pleural extension)
11 阻塞性睡眠障礙(obstructive sleep apnea/hypopnea syndrome,OSAHS)的敘述,下列何者正確? (A)呼吸中止(apnea)定義為在成年人呼吸停止(breathing pause)≧15 秒 (B)發生率多發生於 BMI(體質比)19~25 的人 (C)增加心肌梗塞(myocardial infarction)風險約 20% (D)藥物治療(如利尿劑)是優先考量的治療方式
12 邱小姐為紅斑性狼瘡患者,主訴全身無力,咳嗽有濃痰及胃口不佳已有三週了,最近四、五天出現 發燒現象,因此到門診就醫,胸部 X 光和電腦斷層影像如圖所示,最有可能之診斷為:
(A)肺癌 (B)支氣管擴張症(bronchiectasis) (C)肺膿瘍(lung abscess) (D)肺纖維化(lung fibrosis)
13 一位 35 歲男性因為右手麻木感來就醫,診斷為腕道症候群(carpal tunnel syndrome)同時體檢發現 其下巴突出及高血壓。隨機抽血測得生長激素(growth hormone)值為 10 ng/mL(normal range 0~ 10 ng/mL)。應該先做何處置? (A)葡萄糖抑制試驗(glucose suppression test) (B)腦下垂體核磁共振影像檢查(pituitary MRI examination) (C)腦下垂體功能檢查(pituitary function tests including TSH,FSH,ACTH) (D)胰島素低血糖試驗(insulin hypoglycemic test)
14 從遭到愛滋病毒感染,到以檢測試劑可偵測到感染的這約一個月的期間,稱為: (A)空窗期 (B)潛伏期 (C)恢復期 (D)惡化期
15 有關世界衛生組織(WHO)與臺灣衛生福利部疾病管制署目前在推動之手部衛生運動中,所謂洗手 5 時機,包括下列那些情形?①幫病人做身體檢查前 ②只接觸病人身體體表之一般檢查之後 ③預期接觸到病人血液或體液才須洗手 ④執行侵入性檢查戴無菌手套之前 ⑤進入病人房間,只觸碰到床欄桿就離開病人房間(A)12345(B)僅1245(C)僅134(D)僅235
16 35 歲男性主訴發燒五天,發病前三天從印尼旅遊一週回來,其他症狀包括:眼窩後酸痛、背部肌肉 酸痛、食慾減退、軟便及下肢和腹部紅疹(如圖所示)。血壓 130/85 mmHg;額溫 38.9℃;脈搏 88/分;呼吸 18/分;血液檢驗:白血球 2,350/mm
3
;血球容積比(hematocrit)49%;血小板:43,000/mm3 ; GOT/GPT: 84/67 U/L。病人最可能是那種感染症? (A)流行性感冒(influenza) (B)梅毒(Syphilis) (C)登革熱(Dengue fever) (D)肺炎黴漿菌(Mycoplasma pneumoniae)感染
複選題
17 下列有關肺水腫的敘述,何者正確?(一律給分) (A)健康正常人,血液中白蛋白無法滲透出肺微血管 (B)血液中白蛋白含量愈高,則 hydrostatic pressure 愈高 (C) oncotic pressure 超過 hydrostatic pressure,容易引起肺水腫 (D)腎病症候群(nephrotic syndrome)或肝硬化病人,因血液中白蛋白低,故常發生肺水腫
18 75 歲王先生,因高血壓服藥控制,血壓為 130/70 mmHg。三天前因攝護腺肥大,併服泌尿科開予的 α-blocker,早上起床時發生昏厥(syncope),2 分鐘後自然甦醒。家屬並未發現有尿、糞失禁現象。 病人昏厥最可能的原因為何? (A)姿勢性低血壓(orthostatic hypotension) (B)心室顫動(ventricular fibrillation) (C)心因性休克(cardiogenic shock) (D)癲癇發作(seizure)
19 40 歲陳先生因心雜音轉介來診,其頸動脈搏動強烈,血壓 150/40 mmHg,心尖處搏動點擴大,聽診顯 示在第二心音後,隨即聽到第 3 級舒張期高音雜音(Grade 3 high-pitched diastolic blowing murmur), 此心雜音最有可能是下列何者引起? (A)二尖瓣狹窄(mitral stenosis) (B)三尖瓣閉鎖不全(tricuspid regurgitation) (C)肺動脈瓣狹窄(pulmonary stenosis) (D)主動脈瓣閉鎖不全(aortic regurgitation)
20 與肝素(heparin)比較,低分子肝素(low-molecular-weight heparin)不具有下列何優點? (A)廓清率(clearance)與劑量無關 (B)以皮下注射,有較短之半衰期 (C)降低造成血小板低下的風險 (D)降低造成骨質疏鬆的風險
21 下列有關心雜音的敍述,何者錯誤?(A)在 mid-systolic click 之後的 late systolic murmur 常發生在僧帽瓣脫垂(mitral valve prolapse)的病人(B)僧帽瓣閉鎖不全(mitral regurgitation)多為 holosystolic murmur(C)主動脈狹窄(aortic stenosis)為 mid-systolic ejection murmur,並可傳到頸部(D)開放性動脈導管的病人主要聽到舒張期雜音(diastolic murmur)
22 下列何種疾病不會出現連續性雜音(continuous murmur)? (A) patent ductus arteriosus (B) coronary AV fistula (C) atrial septal defect (D) ruptured sinus of Valsalva aneurysm
23 下列有關 WPW(Wolff-Parkinson-White)症候群病人的心電圖敍述,何者錯誤? (A)出現 delta 波,PR interval 變短,及 QRS 波變寬為典型的 EKG 變化 (B)完全正常的心電圖可排除此症候群 (C)當陣發性心室上心搏過速(paroxysmal supraventricular tachycardia)發作時可出現類似心室心搏過 速(ventricular tachycardia)的 EKG 變化(wide QRS 波) (D)最常見的陣發性心室上心搏過速(paroxysmal supraventricular tachycardia)的型態為 orthodromic atrioventricular reciprocating tachycardia(AVRT)
24 對於心臟衰竭之治療,以下何種藥物無法增加存活率? (A)血管收縮素轉化酶抑制劑(angiotensin-converting enzyme inhibitor,ACEI) (B)毛地黃(digoxin) (C)乙型交感神經拮抗劑(β-blockers) (D)醛固酮拮抗劑(spironolactone)
25 心導管檢查時,在左心室注射對比劑(contrast medium)後攝影無法評估以下那個項目? (A)主動脈閉鎖不全(aortic regurgitation)的嚴重度 (B)二尖瓣閉鎖不全(mitral regurgitation)的嚴重度 (C)左心室射出分率(left ventricular ejection fraction) (D)左心室舒張末期容積(left ventricular end-diastolic volume)
複選題
26 根據 2001 年美國國家膽固醇教育計畫(National Cholesterol Education Program, Adult Treatment Panel III)的定義,有關代謝症候群的定義,下列敘述何者為非? (A)血壓高於 130/85 mmHg (B)三酸甘油酯濃度大於或等於 150 mg/dL (C)女性高密度膽固醇小於 50 mg/dL (D)空腹血糖大於 110 mg/dL
27 下列何者是續發性高血壓(secondary hypertension)最常見的原因? (A) renal parenchymal disease (B) primary aldosteronism (C) pheochromocytoma (D) Cushing's syndrome
28 65 歲女性病患因大量腹水住院,其腹水檢查結果如下:顏色:乳白色;albumin 3.0 g/dL; RBC:50000/µL,WBC:2000/µL lymphocyte predominant,另外其血液中 albumin 為 3.5 g/dL。下列 何者是最可能的診斷? (A) cirrhosis (B) neoplasm (C) pyogenic peritonitis (D) nephrosis
29 右下腹痛常見原因不包括下列何者? (A)闌尾炎(appendicitis) (B)腹股溝疝氣(inguinal hernia) (C)骨盆腔發炎(pelvic inflammatory disease) (D)猛爆性肝炎(fulminant hepatitis)
30 偽膜性大腸炎(pseudomembranous colitis)和以下那種致病菌有關? (A) Clostridium difficile (B) Campylobacter jejuni (C) E. coli O157:H7 (D) Cryptosporidium
31 有關幽門螺旋桿菌(Helicobacter pylori)第一線殺菌藥物(三合一療法)的組合,下列何者正確? ①amoxicillin ②bismuth ③clarithromycin ④proton pump inhibitor ⑤metronidazole (A) ①②④ (B) ①③⑤ (C) ①③④ (D) ②③④
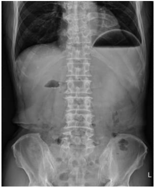
32 75 歲男性,最近食慾變差,腹脹、上腹痛且有反胃、嘔吐的情形,其腹部 X 光如下,最為適當的診 斷為何?
(A)消化道穿孔(perforation) (B)胃出口阻塞(gastric outlet obstruction) (C)大腸腫瘤(colon tumor) (D)糞便阻塞(stool impaction)
33 40 歲男性,因全身倦怠而就醫,其抽血結果為 AST:315 IU/L(正常 10~42);ALT:398 IU/L (正常 10~40),anti-HAV IgM(+),HBsAg(+),anti-HBc IgG(+),anti-HBc IgM(-),anti-HBe Ag(+),anti-HCV(-),則可能診斷為: (A)慢性 A 型肝炎 (B) B 型肝炎帶原合併急性 A 型肝炎 (C) B 型肝炎帶原合併急性 C 型肝炎 (D)急性 A 型肝炎合併急性 B 型肝炎
34 一位 38 歲男性病人主訴倦怠、茶色尿,血液檢查顯示:ALT(GPT):836 U/L(正常值<40 U/L)、 AST(GOT):578 U/L(正常值<45 U/L)、bilirubin(total/direct):3.8/2.5 mg/dL,HBsAg:陰性、 HBeAg:陽性、HBV DNA:3,850,000 copies/mL。病人過去未曾服用任何抗病毒藥物治療。請問下 列何種藥物不宜使用於此病人? (A) lamivudine (B) telbivudine (C) entecavir (D) pegylated interferon
35 下列有關低腎素醛固酮分泌不足症(hyporeninemic hypoaldosteronism)之特徵敘述,何者正確? (A)代謝性鹼中毒和高鉀血症 (B)代謝性酸中毒和高鉀血症 (C)代謝性鹼中毒和低鉀血症 (D)代謝性酸中毒和低鈉血症
36 下列治療高血鉀症方法中,何者能夠有效降低體內的鉀量?(A) beta 2 受體促效劑(beta 2 agonist)(B)樹脂(resins)(C)氯化鈣(calcium chloride)(D)葡萄糖+胰島素(glucose + insulin)
37 下列有關低血鉀的治療敘述,何者錯誤? (A)腎小管酸血症引起的低血鉀補充 potassium citrate 優於 potassium chloride (B)週邊靜脈輸注 potassium chloride 時,注射速度每小時不應超過 20 mmol (C) potassium chloride 可加在 normal saline 或 dextrose solution,輸注後升鉀的效果一樣 (D)中心靜脈補充鉀離子時,potassium chloride 注射液濃度可至 60 mmol/L
38 30 歲女性,自幼便常有感冒症狀,並被告知有心雜音,身體診察所見如下:身高 160 cm,體重 60 kg, 心跳規律,左上胸緣有三度收縮期射出性雜音(systolic ejection murmur),S2有固定性分裂(fixed splitting of S2),P2加重,最有可能的診斷是: (A)心室中隔缺損(ventricular septal defect) (B)心房中隔缺損(atrial septal defect) (C)限制性心肌病變(restrictive cardiomyopathy) (D)肺動脈高壓症(pulmonary hypertension)
39 下列何者不是尿路阻塞性(urinary tract obstruction)腎疾病所造成的合併問題? (A)急性腎衰竭 (B)解除阻塞後利尿(diuresis)現象 (C)尿道感染 (D)低血壓
40 下列何者為 1997 年美國風濕病學院所訂定全身性紅斑性狼瘡(SLE)的診斷基準之一? (A)多發性關節痛(polyarthralgia) (B)不明原因的 mononeuritis multiplex (C)尿液分析發現有 cellular casts 的存在 (D)慢性皮膚潰瘍
41 當懷疑有抗磷脂質抗體症候群(antiphospholipid antibody syndrome)時,下列的何種檢查最為重要? (A) C3 及 C4 (B) prothrombin time 及 activated partial thromboplastin time (C) ESR 及 CRP (D) cholesterol 及 triglyceride
42 診斷混合結締組織疾病(mixed connective tissue disease)時,最有用的血清學標幟為何? (A) anti-SSA (B) anti-U1 RNP (C) anti-Scl 70 (D) anti-nucleolar
43 下列何種血管炎是因免疫複合物堆積在血管壁所引起? (A) Takayasu’s arteritis (B) Henoch-Schönlein purpura (C) Churg-Strauss syndrome (D) giant cell arteritis
44 下列何者不是 doxorubicin 的副作用? (A)骨髓抑制 (B)心臟毒性 (C)噁心 (D)腎毒性
45 下列何者並非神經內分泌瘤的組織免疫標記? (A) neuron-specific enolase (B) synaptophysin (C) chromogranin A (D) CD7
46 一位 60 歲男性病人,因貧血就診,大腸鏡發現上升結腸有腫瘤,切片病理報告為腺癌,電腦斷層 檢查顯示無遠端轉移,經右半結腸切除發現腫瘤吃穿右結腸至結腸周圍脂肪組織,腸繫膜淋巴結, 18 顆中有 5 顆有癌細胞侵犯,故分期為 T3N2M0。術後會建議採何種措施?(A)觀察(B)用含 oxaliplatin/fluorouracil/leucovorin 的處方作輔助性化學治療(C)用含 irinotecan/fluorouracil/leucovorin 的處方作輔助性化學治療(D)用 fluorouracil/leucovorin 的處方作輔助性化學治療
47 根據目前證據,下列那一個癌症與病毒或細菌感染最不相關? (A)鼻咽癌(nasopharyngeal cancer) (B)結腸癌(colon cancer) (C)胃癌(gastric cancer) (D)子宮頸癌(cervical cancer)
48 下列何種情況出現血小板數目增多(thrombocytosis)的機會最小? (A) iron deficiency anemia (B) polycythemia vera (C) splenectomy (D) hepatitis C virus infection
49 下列何者對血小板功能的影響最小? (A) heparin (B) aspirin (C) uremia (D) von Willebrand disease
50 下列有關 deep vein thrombosis(DVT)的敘述,何者錯誤? (A)懷疑有 DVT,應該儘快確定診斷,儘早開始使用抗凝血劑治療 (B) DVT 的病人 D-dimer 檢查多為陽性 (C) compression ultrasound with Doppler 的檢查可作為診斷依據 (D)一般較常發生在上肢靜脈
51 依據國際衛生組織(WHO)的分類,如欲診斷急性白血病,骨髓中芽球(blast form)至少需占有核 細胞的百分比為何? (A) 50% (B) 40% (C) 30% (D) 20%
52 一位 25 歲女性,無特殊過去病史,因右腋下有一硬塊以及一個月內體重減輕 5 公斤而至醫院求診, 自述並無發燒、盜汗、咳嗽、呼吸困難或腹痛等症狀,理學檢查除了右側腋下有一 5×6 cm、固定、 無痛性硬塊以外其餘皆正常,亦無可觸性的乳房腫塊。切片報告(incisional biopsy)為 poorly differentiated carcinoma,下一步該如何處理最適當? (A)抽血檢驗 CEA、CA-125、AFP 及 PSA (B)針對病理切片和病理科醫師討論,並安排進一步相關免疫染色基因檢測之檢查 (C)儘快安排右側乳房切除術及腋下淋巴結切除術 (D)立即給予 cyclophosphamide、adriamycin 及 5-fluorouracil
53 王先生,56 歲公務員,抽煙已有 30 年,每天至少一包。身體狀況一直保持很好,最近定期健康檢查 發現右肺上葉有一 1.2 公分結節,去年檢查時胸部電腦斷層正常,其他器官功能都很好。王先生下一 步的處置,何者最不適當? (A)安排正子攝影-電腦斷層(PET-CT)以鑑別是否良性腫瘤 (B)安排支氣管鏡檢查,組織切片 (C)肺結核機率高,先投予抗結核藥物治療 3 個月,再追蹤 (D)若無法取得組織切片或無法確定,應考慮外科取樣及切除
54 目前要確實診斷支氣管擴張症(bronchiectasis),最佳的檢查項目為: (A)胸部 X 光片 (B)胸部高解析度電腦斷層(high resolution computed tomography of chest) (C)支氣管造影術(bronchography) (D)支氣管鏡檢(bronchoscopy)
55 評估支氣管哮喘病患急性發作時,下列何種理學檢查結果不能作為哮喘嚴重度指標?(A)使用輔助肌吸氣(accessory muscle)(B)使用噘嘴呼吸(pursed-lip breathing)(C)胸腔過度充氣(hyperinflation)(D)有奇異脈(paradoxical pulse)
56 慢性阻塞性肺疾併有慢性呼吸衰竭之患者,需要給予氧氣治療時,動脈血液氧氣分壓(PaO2)宜維 持在下列何種程度較為合適? (A) 50~55 mmHg (B) 60~65 mmHg (C) 80~85 mmHg (D) 90~95 mmHg
57 24 歲女性,兩側甲狀腺腫大,超音波檢查兩葉皆呈現低回音,細胞學檢查以淋巴球為主,無甲狀腺 機能亢進或低下之症狀,則下列何者錯誤? (A)可以使用甲狀腺素治療 (B)不可吃含碘的食物 (C)若出現心律不整,最好使用 amiodarone (D)生產後甲狀腺腫可能變大
58 何種功能性腦下垂體腫瘤,對口服藥物治療反應最好,包括激素降低及腦瘤體積縮小? (A)肢端肥大症(acromegaly) (B)庫欣氏症(Cushing’s disease) (C)泌乳素瘤(prolactinoma) (D)甲促素分泌瘤(TSH-secreting adenoma)
59 關於低血糖(hypoglycemia)之敘述,下列何者錯誤? (A)糖尿病患接受降血糖藥物治療是低血糖最常見的原因 (B) Dipeptidyl peptidase IV(DPP-4)抑制劑經由 Glucagon-like peptide-1(GLP-1)刺激胰島素分泌, 且抑制昇糖素分泌,是最易造成低血糖的降血糖藥物 (C)雙胍類(biguanide)之 metformin 是較不易造成低血糖的降血糖藥物 (D)併用 α-glucosidase 抑制劑發生低血糖時,要直接口服或注射葡萄糖,不宜單純進食多醣食物
60 關於糖尿病(diabetes mellitus)診斷之敘述,下列何者錯誤? (A)空腹血漿葡萄糖濃度大於等於 126 mg/dL (B)餐後兩小時血漿葡萄糖濃度大於等於 180 mg/dL (C)糖化血紅素(hemoglobin A1c)大於 6.5% (D)有口渴多尿及不明原因體重減輕時,隨機血漿葡萄糖濃度大於等於 200 mg/dL
61 關於糖尿病(diabetes mellitus)之急性併發症(acute complication)之敘述,下列何者錯誤? (A)通常糖尿病酮酸血症(diabetic ketoacidosis)比高血糖暨高滲透壓狀態(hyperglycemic hyperosmolar state),動脈血 PH 值較低,且一般低於 7.3 (B)血糖濃度在高血糖暨高滲透壓狀態時,通常較糖尿病酮酸血症時為高,且常高於 500 mg/dL (C)高血糖暨高滲透壓狀態較常見於病弱之老人,而糖尿病酮酸血症較常見於兒童 (D) Kussmaul’s 呼吸方式通常較常見於高血糖暨高滲透壓狀態時,較少見於糖尿病酮酸血症時
62 下列何者不是瘧疾預防性藥物? (A) chloroquine (B) doxycycline (C) Malarone(atovaquone/proguanil) (D) quinine
63 下列有關注射型流感疫苗之敘述,何者錯誤? (A)採肌肉注射 (B)年齡 6 個月以下者,不予接種 (C)孕婦及免疫不全病人屬於禁忌,不應接種 (D)已知對「蛋」之蛋白質過敏者,不予接種
64 下列各項有關弓形蟲感染症(Toxoplasma infection)之敘述,何者最不適當? (A)可經由食入、輸血、或接受器官移植而感染 (B)免疫功能正常的人感染弓形蟲,通常是沒有症狀 (C)免疫功能正常成人,有症狀之急性弓形蟲感染的主要臨床表現為頸部淋巴病變 (D)先天性弓形蟲感染大多是孕婦懷孕過程中再次感染所引發
65 下列關於 Nocardia species 的敘述,何者錯誤? (A)格蘭氏染色呈格蘭氏陽性球菌 (B)在細胞免疫缺損的病人可能引起全身感染,包括腦膿瘍 (C)在健康宿主可能因接觸土壤或植物而感染皮膚淋巴型的疾病 (D)首選藥物是磺胺類,譬如 trimethoprim-sulfamethoxazole
66 58 歲何先生,成人健檢發現血壓較高而至門診追蹤,無其它異常。他平日不抽菸、睡前喝杯小酒(高粱 30 mL),無其他疾病史。父親死於腦中風、母親有糖尿病。血壓 172/102 mmHg,身體質量指數(BMI)26.1 kg/m
2
。應將何先生血壓降至多少 mmHg 以下?(A)160/90 mmHg(B)140/90 mmHg(C)130/80 mmHg(D)120/80 mmHg
67 一位 35 歲男性因為二週來有疲倦、茶色尿、皮膚變黃而來診所看診,他一個月前有至中國大陸旅行, 為了診斷他是否患有急性 A 型肝炎,應該做下列那項檢驗? (A) anti-HAV IgM (B) anti-HAV IgG (C) anti-HAV IgA (D) anti-HAV IgE
68 一位 50 歲女性因手腕骨折來門診諮詢。她過去曾服用避孕藥 20 年,有肥胖及甲狀腺機能亢進等病 史,育有二子,皆餵母乳六個月。根據病史,何者會增加骨質疏鬆症的風險? (A)口服避孕藥之使用 (B)肥胖症 (C)甲狀腺機能亢進 (D)餵母乳
69 40 歲陳姓工程師,主訴將受聘到大陸廣州擔任工廠幹部,且至少會在當地工作 3 年,當地有 A 型肝 炎疫情。因預計 6 個月後將攜帶懷孕的妻子及一位 11 個月大的男孩一起前去任職,下列有關 A 型肝 炎疫苗注射的敘述,何者最為正確? (A)建議陳姓夫妻本日皆接受抽血檢測,看是否具有 A 型肝炎抗體的保護力 (B)建議兩夫妻本日先接受 A 型肝炎疫苗接種,6 個月將出發前再接種第二劑 (C)建議小於 1 歲不適合打 A 型肝炎預防針的陳小弟,本日注射一劑 A 型肝炎免疫球蛋白,且劑量為 每公斤 0.02 mL (D)就請陳姓工程師特別注意食物與飲水的衛生,不要喝未煮沸的水及食用沒有充分煮熟的食物
70 一位 53 歲男性來院接受身體檢查,過去無重大疾病史,父親於 74 歲時死於心臟病,母親現年 80 歲 有高血壓病史,他不抽菸、不喝酒也沒有定期運動。血壓 128/84 mmHg,脈搏 80 次/分鐘,身高 170 公分,體重 82 公斤,理學檢查無特殊異常。你會建議他做下列那一種篩檢? (A)攝護腺癌 (B)肺癌 (C)腹主動脈瘤 (D)大腸癌
71 根據美國精神醫學會的精神疾病診斷與統計手冊第四版(DSM-IV)的診斷標準,診斷恐慌症的恐慌發作,必須有下列何種特徵?(A)由特定事件所引發的強烈害怕反應(B)反覆、無法預期的發作(C)症狀通常會慢慢發生且會持續很久(D)發作時會有懼曠現象,空曠地方會使害怕加劇
72 下列有關酒精問題之敘述,何者正確? (A)酒精性肝病其血清肝臟酵素值通常 ALT(GPT)高於 AST(GOT) (B)酗酒者其全血球計數(CBC)常顯現小球性紅血球(microcytosis) (C) CAGE 問卷在篩檢酒精問題之實用價值不高 (D)女性飲酒超過建議量時,會增加罹患乳癌之風險
73 51 歲女性,一年前被診斷為卵巢癌而接受化學治療,最近主訴虛弱及易喘。檢查發現呼吸費力,每 分鐘約 28 次,腹部有一 8×5 cm 之腫塊,胸部 X 光顯示左肋膜大量積水。處理病人之呼吸困難,下 列何者較適當? (A)進行肋膜穿刺(thoracocentesis)引流胸水 (B)給予 meperidine (C)減少液體攝取 (D)給予支氣管擴張劑
74 為一位成年病人急救,心電圖如圖示。當考慮是否使用 Sodium Bicarbonate 治療時,下列適應症何 者最不適當?
(A)鉀離子濃度 5.5 mEq/L (B)病人有糖尿病酮酸中毒 (C)病人有 tricyclic antidepressant 過量 (D)為心臟停止病患的常規治療
75 一位 60 歲男性病人因在診所發現有心律不整被轉診至區域醫院急診,檢驗顯示病人之鉀離子為 6.0 mEq/L,下列藥物何者不是治療的優先考量? (A) Cal gluconate (B) Insulin plus glucose (C) Sodium bicarbonate (D) Atropine
76 一位 57 歲男性因 3 小時前開始胸悶入急診就醫,伴隨有冒冷汗現象。意識清楚,血壓為 150/95 mmHg, 心跳為 81 次/分鐘,呼吸速率為 20 次/分鐘。以前有過心肌梗塞病史,做過心導管與置放支架。當你 給予病人氧氣、aspirin 與 nitroglycerin 後,在 12 導程心電圖的前胸導程 V3~V4有明顯 ST 段上升。 下列敘述何者最為適當?(A)須優先考慮做經皮冠狀動脈介入術(primary percutaneous coronary intervention)(B)須立即使用 glycoprotein IIb/IIIa inhibitor 後,再考慮做經皮冠狀動脈介入術(C)因病人曾經放過支架,故此次以使用血栓溶解劑(fibrinolytics)為宜(D)因血壓穩定,僅使用 β-blocker、nitroglycerin、clopidogrel 與 heparin 治療即可
複選題
77 救護車花了 10 分鐘將一不省人事且心電圖顯示為 ventricular fibrillation(VF)的病人從家裡送到急 診室,你發覺病人已無呼吸、無心跳,接下來要怎麼做? (A)因為沒有呼吸已 10 分鐘,故要趕快放氣管內管,以便給高濃度的氧氣 (B)立即做 5 個循環的 CPR,然後看心律,如仍為 VF,則立刻電擊 (C)立即做 5 個循環的 CPR,然後立刻電擊 (D)因為是 VF,故趕快電擊,然後做 5 個循環的 CPR
78 病人主訴急性上腹部疼痛和食慾不佳。胸部 X-光檢查呈現如附圖。下列那一項初診斷最正確?
(A) acute gastritis (B) perforated peptic ulcer (C) pneumonia (D) acute hepatitis
79 傳達壞消息給病人是醫師的許多困難責任之一,需要人性化的溝通過程,來協助末期病人有機會自 主性地選擇符合個人意願的末期醫療照顧。當病人的家屬來請求你,不要將癌末病情的診斷告知病 人本人時,你該怎麼辦?①進行適切的評估與準備,瞭解病人本身的特性與意願 ②與家屬進行溝 通,同理家屬的情緒與支持,化解家屬不願告知的心情,並幫助家屬接受病人可能會有的情緒與行 為 ③誠實但委婉的告知病人 ④告知後的支持與持續追蹤 (A)1234 (B)僅134 (C)僅34 (D)僅14
80 李先生因為家人有癌症病史,所以到 A 醫院的健康檢查中心作全身健康檢查,檢查項目除了抽血之 外還有胃鏡和大腸鏡的檢查,依照醫療法規定,李先生需不需要寫同意書? (A)不需要,只有在手術和麻醉時才要 (B)需要,侵入性檢查需要書面同意 (C)不需要,侵入性檢查只需要口頭同意即可 (D)不需要,侵入性檢查只需要事後同意即可
申論題 (0)
相關試卷
115年 - 115 專技高考_醫師(二):醫學(三)(包括內科、家庭醫學科等科目及其相關臨床實例與醫學倫理)#137317
115年 · #137317
114年 - 114-2 專技高考_醫師(二):醫學(三)(包括內科、家庭醫學科等科目及其相關臨床實例與醫學倫理)#127920
114年 · #127920
114年 - 114-1 專技高考_醫師(二):醫學(三)(包括內科、家庭醫學科等科目及其相關臨床實例與醫學倫理)#125089
114年 · #125089
113年 - 113-2 專技高考_醫師(二):醫學(三)(包括內科、家庭醫學科等科目及其相關臨床實例與醫學倫理)#120658
113年 · #120658
113年 - 113-1 專技高考_醫師(二):醫學(三)(包括內科、家庭醫學科等科目及其相關臨床實例與醫學倫理)#118724
113年 · #118724
112年 - 112-2 專技高考_醫師(二):醫學(三)(包括內科、家庭醫學科等科目及其相關臨床實例與醫學倫理)#114972
112年 · #114972
112年 - 112-1 專技高考_醫師(二):醫學(三)(包括內科、家庭醫學科等科目及其相關臨床實例與醫學倫理)#113147
112年 · #113147
111年 - 111-2 專技高考_醫師(二):醫學(三)(包括內科、家庭醫學科等科目及其相關臨床實例與醫學倫理)#108729
111年 · #108729
111年 - 111-1 專技高考_醫師(二):醫學(三)(包括內科、家庭醫學科等科目及其相關臨床實例與醫學倫理)#106186
111年 · #106186
110年 - 110-2 專技高考_醫師(二):醫學(三)(包括內科、家庭醫學科等科目及其相關臨床實例與醫學倫理)#99914
110年 · #99914