阿摩線上測驗
登入
首頁
>
醫學六:80題 ( 包括麻醉科,眼科,耳鼻喉科,婦產科,復健科等科目及其及相關臨床實例與醫學倫理 )
> 104年 - 104-1 專技高考_醫學(二):醫學(六)(包括麻醉科、眼科、耳鼻喉科、婦產科、復健科等科目及其相關臨床實例與醫學倫理)#36366
104年 - 104-1 專技高考_醫學(二):醫學(六)(包括麻醉科、眼科、耳鼻喉科、婦產科、復健科等科目及其相關臨床實例與醫學倫理)#36366
科目:
醫學六:80題 ( 包括麻醉科,眼科,耳鼻喉科,婦產科,復健科等科目及其及相關臨床實例與醫學倫理 ) |
年份:
104年 |
選擇題數:
80 |
申論題數:
0
試卷資訊
所屬科目:
醫學六:80題 ( 包括麻醉科,眼科,耳鼻喉科,婦產科,復健科等科目及其及相關臨床實例與醫學倫理 )
選擇題 (80)
1 下列關於手術前後腎臟功能的評估,何者最敏感而且專一性最佳? (A)肌酸酐廓清率(creatinine clearance rate) (B)血清尿素氮(blood urea nitrogen, BUN) (C)血清肌酸酐(creatinine) (D)尿液形成量(urine formation)
2 在固定條件下,下列吸入性麻醉劑,何者能使肺泡濃度與吸入濃度比值(F
A
/ F
I
)上升速度最快? (A)isoflurane (B)desflurane (C)halothane (D)sevoflurane
3 一位接受腹股溝疝氣修復的病人,於腰椎麻醉後,需要給予鎮靜-安眠類的藥物以加強麻醉作用。藥 物給予後,病人出現意識喪失、眼睛睜開、眼球震顫之症狀,卻有良好的鎮靜止痛效果。請問給予 病人的是何種藥物? (A)thiopental (B)ketamine (C)midazolam (D)flumazenil
4 使用 desflurane 施行麻醉時,若在短時間內增加 desflurane 劑量,以加深麻醉深度時,最容易出現下列何種短暫的現象?(A)心率不變(B)血壓降低(C)病患血中 catecholamine 濃度比給予 isoflurane 的病患還高(D)心輸出量不變
5 有關骨科手術中麻醉的敘述,下列何者正確?①薦神經(sciatic nerve)和股神經(femoral nerve)阻斷 術對膝蓋以下的手術是足夠的 ②肩關節手術常採取坐姿,常因感壓反射(baroreflex)導致心跳過 慢、血壓過低 ③骨盆(pelvic)和股骨手術常會有脂肪栓塞(fat emboli),但產生嚴重脂肪栓塞症 候群的機率小於百分之一 ④脊髓麻醉(spinal anesthesia)或硬脊膜外麻醉(epidural anesthesia)對全 髖關節置換術(total hip replacement)都是適當的,但仍需監測失血量 (A)①③④ (B)①②④ (C)①②③ (D)②③④
6 一位 70 歲女性病患,因肺癌合併骨轉移以及疼痛,而照會麻醉科求治,病患主訴全身疼痛難耐 (疼痛指數 8/10),目前使用藥物為 acetaminophen 1# tid,下列敘述何者錯誤? (A)可立即給予嗎啡止痛 (B)可加入抗癲癇藥物幫助止痛 (C)病患自控止痛裝置不適用於癌症病患 (D)脊椎內嗎啡注射為癌症病患止痛方式
7 下列對於疼痛所使用的名詞定義,何者錯誤? (A)hyperalgesia:對疼痛刺激之過度敏感 (B)dysesthesia:不悅之異常感覺 (C)hypalgesia:對疼痛之敏感度增加 (D)allodynia:對外來非引起疼痛的刺激,產生疼痛感
8 關於各種器官移植手術的麻醉敘述,下列何者正確?(A)末期腎病常併有嚴重動脈硬化,術前須詳細評估心血管狀況(B)肝臟移植患者須注意凝血異常、腦功能異常及腎功能異常,不可在手術房中拔除氣管內管,也不宜使用 narcotics 作術後止痛(C)胰臟移植患者常合併肝臟移植,不應減少藥物使用量並嚴格監測血糖(D)腦幹死的器官捐贈者於器官捐贈手術中如發生心跳過慢,atropine 是首選藥物
9 一位長期高血壓的病人接受眼底檢查,下列何者與高血壓視網膜病變(hypertensive retinopathy)較 無關? (A)黃斑滲出物(macular exudate) (B)動靜脈相交處(A-V crossing)呈現靜脈壓迫 (C)局部脈絡膜梗塞 (D)小動脈管腔變大(arteriolar widening)
10 有關鞏膜炎(scleritis),下列敘述何者錯誤? (A)致病機轉可能與自體免疫或血管炎有關 (B)眼部有劇烈鈍痛感 (C)常合併有劇癢及分泌物多的症狀 (D)可能造成視網膜變化
11 有關白內障對視力的影響,下列何者錯誤? (A)後囊下白內障(posterior subcapsular cataract)因位於眼球之節點(nodal point),對視力影響最大 (B)後囊下白內障(posterior subcapsular cataract)患者之視力,在強光之下比較差 (C)核白內障(nuclear cataract)常伴隨遠視,有時反而改善近視力,閱讀時反而不需戴老花眼鏡 (D)皮質白內障(cortical cataract)病人較常會因光線散射而引起眩光(glare)問題
12 下列何者不會參與眼睛之調節(accommodation)功能? (A)水晶體(lens) (B)小帶纖維(zonular fiber) (C)睫狀肌(ciliary muscle) (D)角膜曲度(corneal curvature)
13 人類眼外肌中,下列何條眼肌最長? (A)上直肌(superior rectus muscle) (B)上斜肌(superior oblique muscle) (C)下直肌(inferior rectus muscle) (D)下斜肌(inferior oblique muscle)
14 下列有關散光(astigmatism)的敘述,何者錯誤? (A)視力表上的日晷(sun-dial)呈放射狀圖,是專為檢查散光用的 (B)角膜弧度計(keratometer)測出的角膜散光值,可作為眼球散光之參考 (C)規則型(regular)散光可藉柱鏡(cylindrical lens)來矯正其屈光誤差(refractive errors) (D)柱鏡(cylindrical lens)之軸度(axis),是指散光度數所在的方向(meridian)
15 下列關於春季角結膜炎(vernal keratoconjunctivitis)的敘述,何者錯誤? (A)好發在 7 歲左右的小男孩 (B)在角膜輪部可見 Horner-Trantas dots (C)乳頭狀肥厚(papillary hypertrophy)好發於上眼瞼板(superior tarsus) (D)盾狀潰瘍(shield ulcer)是細菌感染所造成
16 下列那個疾病最不會導致結膜纖維化? (A)稻草熱結膜炎(hay fever conjunctivitis) (B)史蒂夫-強生症候群(Stevens-Johnson syndrome) (C)結痂性砂眼(cicatricial trachoma) (D)類天疱瘡(cicatricial pemphigoid)
17 一位 50 歲女性主訴右耳耳鳴約半年,耳鳴聲在夜間特別明顯,且跳動聲與脈搏跳動完全一致。何者 最不適合作為下一步檢查? (A)耳鏡檢查(otoscopic examination) (B)以聽診器聽耳部及頸部的 bruit (C)安排顳顎關節攝影檢查 (D)安排頸動脈超音波檢查
18 一位右耳正常,但左耳罹患慢性中耳炎(氣骨導差值為 30 dB)的病人,給予進行音叉測驗,結果可見: (A)左耳 Rinne test 呈陽性,Weber test 朝向右側 (B)左耳 Rinne test 呈陽性,Weber test 朝向左側 (C)左耳 Rinne test 呈陰性,Weber test 朝向右側 (D)左耳 Rinne test 呈陰性,Weber test 朝向左側
19 下列何者是兒童(非嬰兒)急性化膿性中耳炎之最常見致病的菌種? (A)Haemophilus influenzae (B)Pseudomonas aeruginosa (C)Klebsiella pneumoniae (D)Candida
20 下列何者不會造成單側性鼻漏(unilateral nasal discharge)? (A)異物 (B)惡性腫瘤 (C)腦脊髓液鼻漏 (D)過敏性鼻炎
21 下列有關鼻竇炎敘述何者正確?(A)急性鼻竇炎常因病毒或細菌所引起,細菌中以金黃色葡萄球菌為最常見菌種(B)慢性鼻竇炎主因於鼻竇開口阻塞,以致續發鼻竇黏膜及纖毛功能變差(C)慢性鼻竇炎治療以開刀引流為主,輔以全身性抗生素及口服類固醇(D)所有黴菌性鼻竇炎除開刀引流外,均需併用 amphotericin B 治療黴菌感染
22 一位 1 歲小女生被帶至急診,家屬陳述 4 天前即開始有鼻塞、流鼻涕,今日開始出現如「狗吠」般的咳嗽,偶爾會仰頭呼吸且有喘鳴,下列敘述何者錯誤?(A)立刻以壓舌板檢查喉嚨是否有感染的徵象(B)主要病變處應在聲門下區,而聲門上區與聲門區可能正常(C)胸部 X 光片可見氣管影像成尖塔狀(steeple sign)(D)較可能為病毒感染,不建議立即使用抗生素
23 王先生此時之臨床分期應該是多少? (A)T3N2a (B)T3N2b (C)T4N2b (D)T4N2c
24 承上題,王先生接受直接喉鏡檢查與切片確定罹患下咽癌,醫師安排核磁共振造影、骨掃描、腹部 超音波、胸部斷層掃描之後,還有那一項檢查需優先考慮? (A)甲狀腺掃描及功能測定 (B)正子掃描(PET) (C)肺功能檢查 (D)食道鏡檢查
25 對肥胖孕婦,判斷胎位,何者最實用? (A)Leopold 檢查技巧 (B)X 光檢查 (C)超音波檢查 (D)核磁共振檢查
26 肩難產的定義,是胎頭娩出後至少幾分鐘以上肩膀仍無法娩出? (A)1 分鐘 (B)2 分鐘 (C)3 分鐘 (D)4 分鐘
27 對正常初產婦而言,在無麻醉狀況下第二產程如果超過多少小時即可算過久? (A)1 小時 (B)2 小時 (C)3 小時 (D)4 小時
28 此檢查屬於下列何者? (A)nonstress test (B)nipple stimulation test (C)contraction stress test (D)Doppler flow velocity test
29 承上題,下列四者中最可能的檢查結果為何? (A)positive (B)negative (C)equivocal-suspicious (D)unsatisfactory
30 下列何種母親的狀況(maternal condition),最可能與胎兒羊水過多(hydramnios)有相關性? (A)李斯特菌病(Listeriosis) (B)鐮刀型血球貧血(sickle-cell anemia) (C)糖尿病(diabetes) (D)紅斑性狼瘡(systemic lupus erythematosus)
31 難產(dystocia)的發生,與下列何條件無關?(A)powers(uterine contractility and expulsive effort)(B)passenger(fetus)(C)passage(pelvis)(D)Pitocin augmentation
32下列四者中最可能的檢查 名稱與箭頭所指現象為何?(提示:F.M.為胎動) (A)nonstress test ; acceleration (B)nipple stimulation test ; early deceleration (C)contraction stress test ; late deceleration (D)acoustic stimulation test ; early deceleration
33 承上題,下列四者中最可能的檢查結果為何? (A)positive (B)negative (C)reactive (D)nonreactive
複選題
34 下列何者為使用 beta-adrenergic agonist 安胎之可能併發症? (A)pulmonary edema (B) hypoglycemia(C)deep vein thrombosis(D) hypertension
35 一位 30 歲之初產婦懷孕 30 週時因下腹痛住院,胎心音監視器顯示胎心跳變異性正常,心跳速度正 常,子宮每 4~6 分鐘收縮一次。最近幾年她曾有多次氣喘發作。結婚之後因多囊性卵巢 2 年不孕, 經藥物治療(metformin),才得以懷孕。住院抽血檢查發現有輕度白血球數目增加,CRP 值顯著升 高,下列何種處理方式最恰當? (A)給予 beta-adrenergic agonist (B)給予 beta-adrenergic agonist 及抗生素 (C)給予 atosiban(an oxytocin competitive antagonist) (D)給予 atosiban(an oxytocin competitive antagonist)及抗生素
36 一對夫妻,先生 32 歲,太太 30 歲。第一胎小孩為男性,生下來 1 歲以後有發展遲緩現象,基因診 斷顯示為 fragile X syndrome。此次懷孕在 20 週時前來就診,下列處理何者最適當? (A)建議終止懷孕 (B)先以超音波或羊水染色體確定胎兒性別,若為男性,再檢驗 fragile X syndrome 之基因 (C)告知胎兒神經系統異常機會較常人高,最好接受超音波檢查 (D)告知胎兒最好接受羊膜腔穿刺,以檢驗 fragile X syndrome 之基因
37 關於手術性子宮腔鏡與子宮擴張液(distention media)的選擇,下列敘述何者正確? (A)若使用單極電刀,則子宮擴張液應使用含離子之液體,如乳酸林格氏液(lactated Ringer’s solution) (B)若使用雙極電刀,則子宮擴張液應使用不含離子之液體,如山梨糖醇(sorbital) (C)單極電刀在子宮擴張液中能產生電燒的效果是來自於電流的功率密度(power density) (D)若使用雙極電刀,則子宮擴張液不可使用生理食鹽水
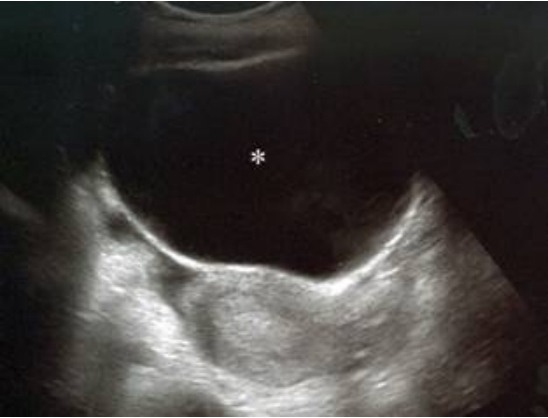
38 一位 16 歲智能不足且無性經驗之女孩,長期有慢性便秘之情形,近日因下腹脹痛及小腹微凸而到院 接受診察。經腹部超音波發現腹中有一水囊狀物(如下圖*處),位於子宮上面。子宮體之矢狀切面 大小為 5×4 公分,子宮內膜厚度為 1.4 公分,對此水囊狀物作進一步鑑別診斷之最適合處置為何?
(A)電腦斷層掃描或核磁共振造影檢查 (B)子宮內視鏡檢查及子宮內容物搔刮手術 (C)經腹部水囊穿刺囊液並送細胞學檢查 (D)導尿後再次超音波掃描
39 一位 46 歲女性因陰道出血及解尿困難、尿液滯留而到院就診,經陰道內診發現子宮頸有巨大腫塊, 其直徑超過 6 公分,表面呈潰爛之情形,且潰爛物侵犯前陰道壁。潰爛物經切片檢查病理報告為鱗 狀上皮癌,患者進一步接受電腦斷層掃描以診視局部侵襲狀況及淋巴結腫大情形,下圖為其電腦斷 層影像掃描之一,此電腦斷層影像中箭頭所指為何物?
(A)淋巴結 (B)子宮頸腫塊 (C)子宮肌瘤 (D)尿管及尿管球
40 一位 33 歲女性 G4P3,因為陰道出血至急診室求醫,病人自述根據月經週期,目前妊娠 12 週,檢查 後血壓 110/70 mmHg,心率 88 下/分鐘,血紅素:9.6 g/dL,β-hCG:35,000 mIU/mL。超音波發現子 宮內無胎兒但有囊泡狀物,最佳的治療是: (A)子宮切除(hysterectomy) (B)子宮擴刮術(dilation & curettage) (C)化學治療 (D)放射線治療
41 廣泛新血管生成(angiogenesis)不會發生在: (A)黃體生成 (B)胚胎生成 (C)惡性腫瘤 (D)皮樣囊腫(dermoid cyst)
42 一位 23 歲年輕女性,因為青春痘及手腳多毛來求診,發現她的月經也很不規則,每年只有 2~3 次。 抽血檢查發現她的 FSH 於正常值邊緣,但 LH 值卻很高,最可能的診斷為何? (A)testicular feminization syndrome (B)polycystic ovarian syndrome (C)Sheehan syndrome (D)ovarian theca cell tumor
複選題
複選題
43 女孩進入青春期,一般最先開始發育的部位為:(A)陰毛(pubic hair)(B)乳房(breast)(C)快速生長(height spurt)(D)初經(menarche)
44 有關 GnRH 促進劑(gonadotropin-releasing hormone agonist),下列敘述何者最正確? (A)半衰期比內生性 GnRH 短 (B)作用在腦下垂體 (C)無法作用在子宮內膜 (D)可皮下、肌肉注射及口服投予
45 關於基礎體溫(basal body temperature),下列敘述何者正確? (A)單相(monophasic)體溫確定為排卵 (B)懷孕時,雌激素使體溫維持高溫 (C)服用 synthetic progestational agent 後,基礎體溫會升高 (D)根據基礎體溫表,最高受孕機率是在高溫期後 2 天
46 下列何者不是停經後婦女接受荷爾蒙治療的禁忌症(contraindication)? (A)未確定診斷之子宮出血 (B)肝臟疾病 (C)乳癌 (D)高血壓
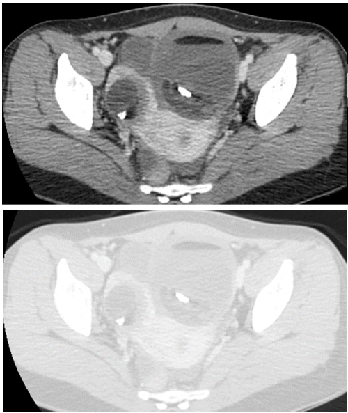
47 一位 24 歲女性月經不規則來門診求診,懷孕試驗呈陰性反應,荷爾蒙檢查發現甲狀腺、泌乳激素正常, 但是黃體激素大於濾泡激素 2 倍,超音波發現為多囊性卵巢,要如何治療? (A)服用避孕藥 (B)給予性腺刺激素(gonadotropin) (C)給予皮下注射降血糖藥物 (D)做子宮擴刮術(D & C)
48 下列何者不是經前症候群(PMS)常見的症狀? (A)乳房脹痛(mastalgia) (B)頭痛(headache) (C)躁症(mania) (D)心情低落(depression)
49 卵巢癌的分期手術,不包括下列何者? (A)腹膜切片 (B)網膜切除 (C)骨盆及大動脈旁淋巴結切除 (D)子宮根治性切除
50 子宮頸癌多是來自那個部位? (A)子宮頸陰道部(portio vaginalis) (B)子宮內頸口(internal os) (C)子宮內頸(endocervix) (D)鱗狀柱狀上皮交接處(squamocolumnar junction)
51 陳小姐,45 歲,過去未曾懷孕或特殊疾病史,因下腹疼痛至門診就診,超音波發現一 7 公分骨盆腔 複雜性腫瘤,手術中病理冷凍切片證實為亮細胞卵巢癌(clear cell adenocarcinoma of ovary),並發 現腫瘤與一段小腸粘黏並有大腸侵犯,肝臟表面及橫膈膜下並沒有腫瘤轉移,有關患者的治療,下 列何者正確? (A)患者為第 IV 期卵巢癌患者 (B)應向家屬說明腫瘤已向外擴散,無法再做手術切除,只能靠術後化學治療 (C)患者應接受減積手術,可能需包括部分小腸及大腸切除,術後應接受化學治療 (D)患者需接受骨盆腔臟器剜除手術(包括膀胱、子宮及直腸全切除,人工肛門及人工膀胱手術)
52 有關葡萄胎(hydatidiform mole)的敘述,下列何者錯誤? (A)在超音波檢查下,常見子宮腔內呈暴風雪(snow storm)樣影像 (B)母親年齡較大懷孕是危險因子 (C)患者有時會有嚴重噁心、嘔吐現象,血液中 hCG 值很高 (D)完全性葡萄胎因轉為絨毛膜癌機會很高,治療應以全子宮切除手術為佳
53 對持續性妊娠滋養層細胞腫瘤(persistent gestational trophoblastic tumor)在選擇化學治療時所採用的 WHO prognostic scoring system,所謂高度危險是指 score: (A)< 2 (B)2~4 5 (C) ~7 (D)≧8
54 陰道鏡檢(colposcopy)在某些情況下會懷疑有侵襲性癌的可能,下列何者不包括在內? (A)不正常的血管分支 (B)子宮頸外翻 (C)顏色的改變 (D)不規則表面
55 下列何者是腦部病變造成的下半身癱瘓(cerebral paraplegia)最常見的原因?(A)前腦動脈梗塞性腦中風(stroke)(B)一氧化碳中毒腦病變(encephalopathy)(C)腦膜炎(meningoencephalitis)(D)大腦鐮腦膜瘤(falx meningioma)
56 下列何者是診斷糖尿病神經病變(diabetic neuropathy)最有用的電學診斷方法? (A)神經傳導(nerve conduction)檢查 (B)肌電圖(electromyography)檢查 (C)肌肉激發電刺激(muscle excitability)檢查 (D)神經連續電刺激(repetitive nerve stimulation)檢查
57 下列何者不是小兒麻痺後症候群(postpolio syndrome)初期最常見的臨床症狀? (A)肌肉無力 (B)疲勞 (C)關節痠痛 (D)肢體變形
58 根據美國神經肌肉電學診斷學會(AANEM , AMBEM)之適應症指引,肌電診斷檢查(electrodiagnosis) 對於下列那一種病患較無診斷幫助? (A)失智症(dementia) (B)皮肌炎(dermatomyositis) (C)Guillain-Barré 症候群 (D)肘管症候群(cubital tunnel syndrome)
59 腋下柺杖(axillary crutch)如果使用不當,最容易傷害到那一條神經? (A)腋神經(axillary nerve) (B)橈神經(radial nerve) (C)正中神經(median nerve) (D)尺神經(ulnar nerve)
60 假性痛風(pseudogout)關節炎之二羥焦磷酸鈣(calcium pyrophosphate dehydrate)結晶最常堆積在 下列那一關節? (A)腕關節 (B)肩關節 (C)肘關節 (D)膝關節
61 下列何者不是中風病人步行訓練使用足踝裝具(ankle-foot orthosis)最主要的目的? (A)提供足弓(plantar arch)著地的穩定性 (B)增加踝關節背屈(dorsiflexion)肌力 (C)矯正蹠屈攣縮(plantar flexion contracture) (D)防止足部下垂(drop foot)
62 某同學因為膝部外側疼痛前來就診,在其股骨外踝(lateral femoral condyle)及外側副韌帶(lateral collateral ligament)的前方發現有一明顯的局部壓痛。詢問病史發現他有慢跑的習慣,但是檢查發現沒有明顯受傷。他最有可能的診斷為:(A)膝外側半月板軟骨(lateral meniscus)破裂(B)第三第四腰椎椎間盤突出(L3~L4 HIVD)(C)腸脛束磨擦症候群(iliotibial band friction syndrome)(D)膝外側副韌帶(lateral collateral ligament)扭傷
63 運動員發生踝關節扭傷後,下列處置何者錯誤? (A)以石膏固定 6 週是必要措施 (B)籃球與足球運動員可改穿高筒鞋(hightop shoes) (C)貼紮(taping)治療對預防踝關節再扭傷有效 (D)腳踏車運動對踝關節扭傷後之耐力訓練有幫助
64 一位到復健科門診求診的腦中風病人,發病已經 1 個月,但仍有患側肩關節脫位(subluxation)現象。 下列復健處置,何者最為重要? (A)以肩帶(shoulder sling)固定 (B)維持被動性肩關節活動與加強肩外展運動 (C)腋下放置軟墊,增加肩外展角度 (D)肩關節以膠布貼紮(taping)固定
65 心臟病併左心室功能不良患者之運動訓練,下列何者最不適當? (A)下肢節律性運動 (B)阻力性運動(resistance exercise) (C)有氧運動 (D)大肌肉群運動
66 一位 60 歲男性,因急性心肌梗塞住進心臟加護病房(CCU),經檢查並無心律不整,鬱血性心衰竭 或其他併發症。其心臟復健治療於何時開始最佳? (A)住進 CCU 之第 1 天 (B)臥床 1 週後 (C)臥床 4~6 週 (D)待病情穩定,轉至普通病房後
67 有關復健的概念,下列何者錯誤?(A)只要有功能障礙,愈早介入愈好 (B)必須找出正確診斷,才能有正確的訓練復健目標(C)多元專業模式(multidisciplinary)是最佳的復健模式(D)必須要家庭參與及居家訓練,才能成功
68 在早產兒中,最常見的腦性麻痺類型為: (A)一側肢體麻痺(hemiplegia),上肢較嚴重 (B)一側肢體麻痺(hemiplegia),下肢較嚴重 (C)雙側肢體麻痺(diplegia),上肢較嚴重 (D)雙側肢體麻痺(diplegia),下肢較嚴重
69 下列有關神經心理測驗(neuropsychological assessment)的敘述,何者錯誤? (A)昏迷指數(coma scale)可用於篩檢急性神經損傷的病人 (B)腦傷認知功能評估(Rancho scale)無法用來觀察神經損傷病人功能的進步情形 (C)神經心理測驗可幫助復健計畫的擬定 (D)有情緒及行為問題的病人,其復健訓練亦會受到影響
70 下列何者不是最近職場上最常見的職業累積性傷害病變(cumulative trauma disorder)危害因子? (A)重覆性動作(repetitiveness) (B)高施力動作(forceful exertion) (C)噪音(noise) (D)固定姿勢(sustained posture)
71 下列何者不是老年疾病的特點? (A)老人的病症較為模糊且不具特異性(non-specific) (B)老人的病情常較多樣化 (C)易產生功能障礙且恢復較慢 (D)老人較不會發生系統性疾病(systemic disease)
72 一位 3 歲小朋友,因走路不穩就診,骨盆及髖關節 X 光攝影如下圖,最可能之診斷為何?
(A)Legg-Calvé-Perthes disease (B)slipped capital femoral epiphysis (C)congenital dislocation of hip (D)osteochondroses
73 一位 49 歲男性病人,於網球比賽中摔倒之後,右小腿腹腫脹疼痛 3 天。下圖為灰階及彩色杜卜勒超 音波針對小腿腹內側縱向掃描,箭號處最可能的診斷為何?
(A)腓腸肌部分撕裂(partial tear of gastrocnemius) (B)腓腸肌血管瘤(hemangioma of gastrocnemius) (C)小腿膿瘍(lower leg abscess) (D)阿基里斯肌腱斷裂(Achilles tendon tear)
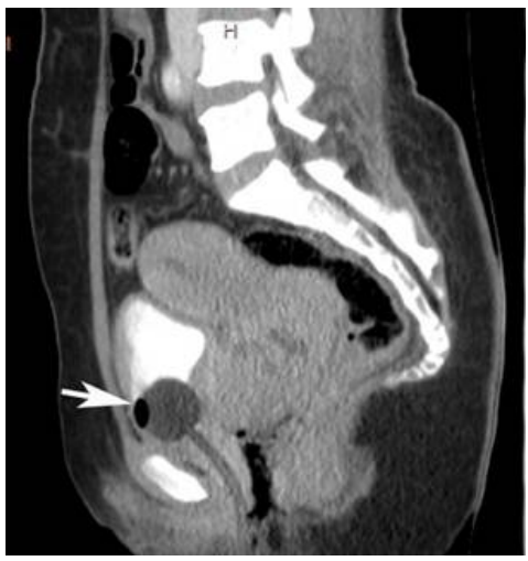
74 一位 30 歲女性,因腹痛接受下腹部電腦斷層檢查呈現異常卵巢如下圖,下列敘述何者最正確?
(A)畸胎瘤 (B)子宮肌瘤 (C)巧克力囊腫 (D)輸卵管卵巢膿瘍
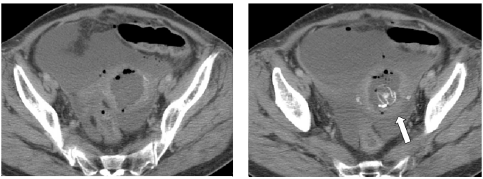
75 一位 64 歲女性因腹膜炎接受電腦斷層檢查,發現子宮內有置入避孕器線圈(IUD)如下圖箭號所 指,下列敘述何者錯誤?
(A)子宮膿瘍 (B)子宮內膜異位 (C)子宮壞死穿孔 (D)腹膜膿瘍
76 一位 18 歲男性病人被不明化學液體噴濺到眼部,揉了眼睛後,感到劇烈刺痛且視力受損,遂至急診 就診。下列敘述何者較不恰當? (A)不論鹼性或酸性化學物質,處理的原則是類似的 (B)一般而言,酸性化學物質造成的傷害比鹼灼傷較為嚴重 (C)在以生理食鹽水沖洗 20~30 分鐘後,可以測量眼液的酸鹼度,如果 pH > 7.4,仍需繼續沖洗 (D)若有表淺性角膜傷害,可以用局部麻醉劑來減少疼痛
77 一位 55 歲男性病患,因聽力突然喪失(sudden hearing loss)而至急診求治,下列敘述何者錯誤? (A)聽力突然喪失的發生率隨年齡增加而上升,且無性別上的差異 (B)病毒感染是造成聽力突然喪失的原因之一 (C)外耳道發炎不會造成聽力突然喪失 (D)耳膜破裂是外傷性聽力突然喪失的常見原因
78 下列關於孕婦外傷的敘述何者錯誤? (A)拯救胎兒的第一要件是急救及穩定孕婦的生命徵象 (B)因為懷孕後血量增加,孕婦可能已有相當多的失血量,卻沒有明顯的休克徵象 (C)若孕婦呈現休克現象,可左側躺以減少下腔靜脈的壓迫,增加回心血量 (D)因為胎盤充滿含氧血,即使孕婦已經失血休克,胎兒仍不易立即缺氧
79 一位 16 歲女生,由媽媽陪同至婦產科門診求診,主訴該病患於出生後 40 天因車禍外傷,經腦部手 術後仍出現輕度智力障礙及肢體障礙情況。病患曾因遭性侵而接受流產手術,且月經來潮無法自理 經期,長期缺乏個人衛生,媽媽請求施予子宮切除手術。請問醫師可不可以施行手術? (A)可。因符合病人的最大利益 (B)可。因智障者,父母可代理決定 (C)不可。因侵犯性過大,且不符合病人的最大利益 (D)不可。因病人不會簽同意書
80 下列情況何者屬於較寬鬆的「無效醫療」定義? (A)缺乏病理生理學依據的治療 (B)最大治療下病患仍然心跳停止 (C)在該病患身上已經失敗的治療 (D)有價值的治療目標無法被達成
申論題 (0)
相關試卷
115年 - 115-1 專技高考_醫師(二):醫學(六)(包括麻醉科、眼科、耳鼻喉科、婦產科、復健科等科目及其相關臨床實例與醫學倫理)#137334
115年 · #137334
114年 - 114-2 專技高考_醫師(二):醫學(六)(包括麻醉科、眼科、耳鼻喉科、婦產科、復健科等科目及其相關臨床實例與醫學倫理)#127922
114年 · #127922
114年 - 114-1 專技高考_醫師(二):醫學(六)(包括麻醉科、眼科、耳鼻喉科、婦產科、復健科等科目及其相關臨床實例與醫學倫理)#125090
114年 · #125090
113年 - 113-2 專技高考_醫師(二):醫學(六)(包括麻醉科、眼科、耳鼻喉科、婦產科、復健科等科目及其相關臨床實例與醫學倫理)#120656
113年 · #120656
113年 - 113-1 專技高考_醫師(二):醫學(六)(包括麻醉科、眼科、耳鼻喉科、婦產科、復健科等科目及其相關臨床實例與醫學倫理)#118715
113年 · #118715
112年 - 112-2 專技高考_醫師(二):醫學(六)(包括麻醉科、眼科、耳鼻喉科、婦產科、復健科等科目及其相關臨床實例與醫學倫理)#114980
112年 · #114980
112年 - 112-1 專技高考_醫師(二):醫學(六)(包括麻醉科、眼科、耳鼻喉科、婦產科、復健科等科目及其相關臨床實例與醫學倫理)#113157
112年 · #113157
111年 - 111-2 專技高考_醫師(二):醫學(六)(包括麻醉科、眼科、耳鼻喉科、婦產科、復健科等科目及其相關臨床實例與醫學倫理)#108743
111年 · #108743
111年 - 111-1 專技高考_醫師(二):醫學(六)(包括麻醉科、眼科、耳鼻喉科、婦產科、復健科等科目及其相關臨床實例與醫學倫理)#106188
111年 · #106188
110年 - 110-2 專技高考_醫學(二):醫學(六)(包括麻醉科、眼科、耳鼻喉科、婦產科、復健科等科目及其相關臨床實例與醫學倫理)#99915
110年 · #99915