阿摩線上測驗
登入
首頁
>
醫學五:80題 ( 包括外科,骨科,泌尿科等科目及其相關臨床實例與醫學倫理 )
> 104年 - 104-2 專技高考_醫師(二):醫學(五)(包括外科、骨科、泌尿科等科目及其相關臨床實例與醫學倫理)#36276
104年 - 104-2 專技高考_醫師(二):醫學(五)(包括外科、骨科、泌尿科等科目及其相關臨床實例與醫學倫理)#36276
科目:
醫學五:80題 ( 包括外科,骨科,泌尿科等科目及其相關臨床實例與醫學倫理 ) |
年份:
104年 |
選擇題數:
80 |
申論題數:
0
試卷資訊
所屬科目:
醫學五:80題 ( 包括外科,骨科,泌尿科等科目及其相關臨床實例與醫學倫理 )
選擇題 (80)
1.70歲男性,機械性人工二尖瓣瓣膜置換手術後,術後三小時,胸腔引流管之流量逐漸減少, 但是中心靜脈壓逐漸上升,尿量逐漸減少,心跳逐漸加快,動脈壓逐漸下降。此時要鑑別診 斷是心包填塞(cardiac tamponade)或是術後心臟失能(myocardial dysfunction),最好的 診斷工具為下列何者? (A)心臟超音波 (B)胸部X光 (C)胸動脈導管(swan ganz catheter) (D)動脈血氣體分析
2.一名墜樓的傷患,抵達急診時,檢查發現以下徵候:①氣管往右側偏移 ②左側胸部呼吸聲 微弱 ③左側胸壁出現皮下氣腫(subcutaneous emphysema) ④收縮壓低於90 mmHg ⑤呼吸速率每分鐘26次。則下列何種診斷最為可能? (A)右側大量血胸(right massive hemothorax) (B)右側張力性氣胸(right tension pneumothorax) (C)左側張力性氣胸(left tension pneumothorax) (D)心包膜填塞(cardiac tamponade)
3.對於疑似敗血症伴有低血壓的成人急救流程(protocol for resuscitation of adult hypotensive patients with suspected sepsis),下列何者不適當? (A)做體液培養,包括血液 (B)放中央靜脈或是肺動脈導管,保持CVP/PAWP level<8 mmHg (C)復甦的目標定在平均血壓大於65 mmHg或是脈搏小於120 beats/min (D)監測靜脈氧氣濃度和尿量
4.下列敘述,何者錯誤? (A)營養不良會導致傷口癒合延遲 (B)傷口蓋上敷料之目的為保護傷口、防止細菌感染及吸收傷口之滲液 (C)污染傷口(contaminated wounds)最適當的治療方法是清創(debridement)後立即縫合 傷口 (D)巨噬細胞(macrophages)和嗜中性粒細胞(neutrophils)是傷口癒合炎症期的主要細胞
5.下列對於再餵食症候群(refeeding syndrome) 的敘述,何者錯誤? (A)refeeding syndrome又稱為magnesium steal syndrome (B)為避免refeeding syndrome,在給予大量營養時要添加鎂(magnesium)、鉀 (potassium)和磷(phosphate) (C)避免refeeding syndrome最好的方法是隨時調整TPN(total parenteral nutrition)的量和電 解質 (D)當病患大量嘔吐時要補充鉀(potassium)
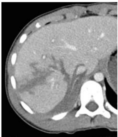
6.50歲男性,無明顯症狀,影像檢查如圖所示,請選出最合適的描述:
(A)肝臟有一囊腫,位於肝門附近 (B)有一腫瘤位於後縱膈腔 (C)超音波抽吸可改善其壓迫症狀 (D)需考慮手術的可能
複選題
7.一般而言,顱縫早閉(craniosynostosis)的病童,何時進行手術治療較適當? (A)三個月內 (B)三到六個月內 (C)六到十八個月 (D)兩歲以上
8.Glioblastoma multiforme(GBM)屬於WHO classification system of glioma中的: (A)Grade Ⅰ (B)Grade Ⅱ (C)Grade Ⅲ (D)Grade Ⅳ
9.下列有關頸椎脫位性骨折治療的敘述,何者錯誤? (A)牽引的重量依不同的頸椎而有不同 (B)牽引後須密切觀察病人神經學症狀 (C)牽引後須追蹤病人的頸椎X-ray (D)調整重量後若無神經學的改變,不須再追蹤頸椎X-ray
10.下列何種顱縫早閉(craniosynostosis )最常見? (A)人狀縫骨縫早閉(lambdoid synostosis) (B)冠狀縫骨縫早閉(coronal synostosis) (C)矢狀縫骨縫早閉(isolated sagittal synostosis) (D)額骨骨縫早閉(metopic synostosis)
11.下列何種做法,無法讓嚴重頭部外傷病人的腦壓降低? (A)平躺 (B)止痛 (C)使用鎮定劑 (D)腦脊髓液引流
12.下列關於脊椎病理性骨折(pathologic fracture)的敘述,何者錯誤? (A)多為轉移性腫瘤(metastatic tumor)造成 (B)常見的腫瘤來源為肺癌、乳癌等 (C)判斷腫瘤對於脊髓壓迫的嚴重程度時,CT比MRI更適合 (D)當病患下肢日漸無力或有大小便失禁等症狀時應考慮手術減壓
13.在兒童受虐(child abuse)的表現中,下列何者為最少見之臨床表徵? (A)長骨同時可見急性及癒合骨折(acute and healing long-bone fractures) (B)腦半球間硬腦膜下血腫(interhemispheric subdural hematoma) (C)顱骨頂骨骨折(parietal skull fracture) (D)視網膜出血(retinal hemorrhages)
14.下列何者不適於斷指重接(replantation)? (A)全手掌(complete plam)截斷 (B)部份大拇指(partial thumb)截斷 (C)多層(multiple levels)截斷 (D)多指(multiple digits)截斷
15.關於脛骨開放性骨折的Gustilo classification,下列敘述何者錯誤? (A)第I級,開放性骨折,傷口小於1公分 (B)第II級,開放性骨折,傷口大於1公分,未合併廣泛的軟組織損傷 (C)第IIIB級,開放性骨折,合併廣泛的軟組織損傷,但軟組織仍足夠覆蓋傷口 (D)第IIIC級,開放性骨折,合併廣泛的軟組織損傷及任何需要修補的動脈損傷
16.重建手術時,小血管的吻合(anastomosis)最常使用的方式是: (A)末端與末端吻合(end-to-end anastomosis) (B)末端與側面的吻合(end-to-side anastomosis) (C)末端與靜脈移植段(vein graft)之間的吻合 (D)末端與動脈移植段(arterial graft)之間的吻合
17.扳機指(trigger finger)為一種stenosing tenosynovitis ,發生在下列那一個pulley的位置? (A)A1 (B)A2 (C)A3 (D)A4
18.肌肉組織是對缺血(ischemia)最敏感的組織之一,則約在缺血多少小時後,肌肉組織將發 生不可逆(irreversible)的變化 ? (A)2小時 (B)4小時 (C)6小時 (D)8小時
19.關於頭頸部重建,下列敘述何者錯誤? (A)胸大肌肌皮瓣(pectoralis major myocutaneous flap)由胸肩峰動脈(thoracoacromial artery)供應血流,可以用來重建鼻咽處的組織缺損 (B)肩胸皮瓣(deltopectoral flap (Bakamjian flap))由內乳動脈(internal mammary artery) 的肋間穿通支(intercostal perforating branches)供應血流,目前仍被廣泛應用於頭頸部 重建 (C)橈側前臂皮瓣(radial forearm flaps)為目前重建頭頸部軟組織的重要來源 (D)1998年,在顯微手術的輔助下,成功完成第一例的人類異體喉移植
20.下列有關心包膜疾病之敘述,何者錯誤? (A)正常人的心包膜液約為20 mL,創傷性急性心包膜填塞積液一旦達40 mL,壓力便會急速 上升 (B)窄縮性心包膜炎(constrictive pericarditis)與限制性心肌病變(restrictive cardiomyopathy)的鑑別診斷往往需要藉由右側心導管的壓力追蹤圖來區分 (C)在次發性惡性心包膜積液(secondary malignant pericardial effusion)的病人中,男性及 女性皆以肺癌最為常見 (D)因為窄縮性心包膜炎(constrictive pericarditis)而接受心包膜切除手術 (pericardiectomy)的病人中,以radiation-induced的窄縮性心包膜炎(constrictive pericarditis)預後最佳
21.單純性主動脈窄縮症(isolated coarctation of aorta)之手術治療,可以包括下列那些術式? ①開放性動脈導管置放支架(stent) ②鎖骨下動脈皮瓣主動脈成形術(subclavian flap aortoplasty) ③布塊擴大術(patch augmentation) ④廣泛切除窄縮部分再兩端吻合 (extended resection with primary anastomosis) (A)①② (B)①③ (C)①④ (D)②③④
22.完全型的房室瓣中隔缺損(complete form of atrioventricular septal defect)的病童,常因頑 固性的心衰竭,需早期(出生後6個月內)手術治療,其手術步驟包括下列那些? ①房室 瓣狹窄之切開術 ②心房中隔缺損之修補 ③心室中隔缺損之修補 ④房室瓣逆流之修補術 (A)僅①② (B)僅①③ (C)①②③ (D)②③④
23.下列病人需要接受二尖瓣膜置換手術,何者建議使用生物組織瓣膜(bioprosthetic tissue valve)? (A)18歲的年輕人 (B)40歲病人合併長期規則洗腎以及高血鈣症 (C)40歲病人合併慢性心房震顫且長期規則服用抗凝血劑 (D)70歲病人合併慢性肺氣腫
24.食道弛緩不能(esophageal achalasia)的標準診斷工具為食道張力測試,關於esophageal achalasia之食道張力測試的診斷發現,下列何者錯誤? (A)食道無正常之蠕動(peristalsis) (B)下食道括約肌(lower esophageal sphinter,LES)無正常之放鬆 (C)食道的蠕動壓力過高 (D)下食道括約肌(lower esophageal sphinter,LES)壓力過高
25.上段食道癌多為? (A)鱗狀細胞癌(squamous cell carcinoma) (B)腺癌(adenocarcinoma) (C)sarcoma (D)adenosquamous cell carcinoma
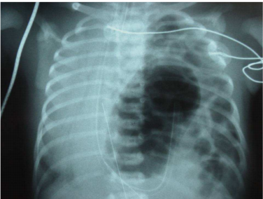
26.惡性氣管腫瘤的組織型態,下列何者最常見? (A)adenoid cystic carcinoma (B)adenocarcinoma (C)squamous cell carcinoma (D)small cell carcinoma
27.縱隔腔腫瘤最少發生於下列何處? (A)前縱隔腔(anterior mediastinum) (B)上縱隔腔(superior mediastinum) (C)後縱隔腔(posterior mediastinum) (D)中縱隔腔(middle mediastinum)
28.正常的食道在食道攝影中,通常有三處狹窄之處,下列何者正確? ①鄰近左心房處 ②在 會厭軟骨附近 ③近橫膈膜處 ④近主動脈或氣管分岔處 (A)①②③ (B)②③④ (C)①③④ (D)①②④
29.關於胃酸(gastric acid) 分泌之敘述,何者錯誤? (A)受到乙醯膽鹼(acetylcholine),胃泌素(gastrin)及組織胺(histamine)的調控 (B)胃酸的分泌可分為頭期(cephalic phase),胃期(gastric phase)及腸期(intestinal phase) (C)胃期(gastric phase)所分泌的胃酸佔所有胃酸分泌的 60%~70% (D)D細胞(D cell)所分泌的somatostatin會增加組織胺(histamine)及胃泌素(gastrin)的 分泌,進而增加胃酸的分泌
30.下列何者不是胃癌(gastric carcinoma)的致病因子? (A)高脂肪與蛋白質攝取(high fat or protein consumption) (B)慢性萎縮性胃炎(chronic atrophic gastritis) (C)腺瘤息肉(adenomatous polyp) (D)以前接受過胃部分切除術(prior partial gastrectomy)
31.fibrolamellar hepatocellular carcinoma(FHCC)是一種變異型的肝細胞癌,和傳統的肝細 胞癌比較起來,有關 FHCC的敘述,何者正確? (A)男性較女性常見 (B)發生的年紀較大 (C)易合併有肝硬化 (D)侵犯性較小
32.細菌性肝膿瘍(pyogenic liver abscess)的病人最常見的症狀是發冷、發燒,下列何項解剖 構造或原因較不可能是肝臟暴露於細菌的途徑? (A)biliary tree (B)hepatic vein (C)portal vein (D)trauma
33. 五十歲阿嬤騎機車載三歲小男孩坐在前面,在十字路口被汽車從右方撞倒,緊急送醫後發現 阿嬤右大腿骨折,小男孩有右腹擦傷,小男孩受驚嚇不停哭鬧,全身冒汗,血壓95/55 mmHg,心跳數每分鐘130下,Hb 10.5 g/dL,電腦斷層檢查如下圖所示,下列敘述何者正 確?
(A)此幼兒為右腎撕裂傷 (B)幼兒有大量失血,需馬上輸紅血球補充 (C)若幼兒血行動力方面穩定(hemodynamic stable),可嘗試非手術(non-operative)的支 持療法 (D)此時宜進行緊急開腹手術
34.下列關於pancreatic pseudocysts的治療,何者錯誤? (A)治療目的在緩和症狀及預防併發症 (B)必須和胰臟囊狀腫瘤(cystic neoplasm)做鑑別診斷 (C)假如檢查結果顯示有下游的胰管阻塞,應優先考慮做外引流(external drainage)手術 (D)若沒有任何症狀,也沒有增大的情況下,可考慮先觀察
35.76歲男性患者,因為中風長期臥床,無解便、腹脹兩天被送至急診,X光片如下圖,其診斷 為何?
(A)升結腸扭結 (B)橫結腸扭結 (C)乙狀結腸扭結 (D)十二指腸扭結
36.下列何者是成人機械性腸阻塞(mechanical obstruction)最主要的成因? (A)疝氣 (B)癌症 (C)手術後沾黏 (D)腸扭轉(malrotation)
37.格雷氏病(Graves' disease)合併下列何種情況時,甲狀腺次全切除術為最合理的選擇? (A)併有嚴重凸眼症狀 (B)併有抗甲狀腺藥物嚴重併發症,如白血球降低及黃疸等 (C)併有中度智障 (D)併有大於2公分的甲狀腺惡性結節
38.副甲狀腺腺瘤併副甲狀腺機能亢進的手術,術前定位以何種為最有效的選擇? (A)超音波(ultrasound) (B)MIBI掃描(sestamibi scan) (C)正子掃描(PET) (D)核磁共振(MRI)
39.關於甲狀腺乳突癌(papillary carcinoma),何者正確? (A)男性較女性發生率高 (B)較多肺轉移,較少淋巴轉移 (C)較少多發性 (D)高細胞(tall)、島細胞(insular)、圓柱形細胞(columnar)之類型預後較差
40.下列何種方法是最常用為測定乳癌前哨淋巴結摘除術(sentinel node biopsy)之方法? (A)同位素掃描法 (B)X放射線光定位方法 (C)肉眼觀看法 (D)物理檢查法
41.有關乳癌的治療,下列何者錯誤? (A)腋下淋巴有無癌轉移是乳癌最重要的預後指標之一 (B)乳癌estrogen receptor存在(陽性),應給抗荷爾蒙治療 (C)乳癌病人術後均應給予化學治療,避免復發 (D)第一期和第二期乳癌,若無多發性病灶,保留乳房與切除乳房的存活率兩者相當
42.有關歐美乳癌死亡率下降歸功的原因,下列何者錯誤? (A)breast self examination (B)mammography screening (C)adjuvant hormonal therapy (D)adjuvant chemotherapy
43.有關小腸閉鎖(intestinal atresia)的病人,對於其可能發生的症狀,下列何者錯誤? (A)腹部腫脹 (B)羊水過少 (C)有膽汁的嘔吐物 (D)稀疏的胎便
44.關於甲狀腺舌骨囊腫(thyroglossal duct cyst),下列敘述何者錯誤? (A)多位於前頸部上方中央部分 (B)可隨著吞嚥動作而上下移動 (C)切除該囊腫,需把舌骨中段部分一併切去 (D)常發現於新生兒
45.嬰兒型幽門肥厚狹窄(infantile hypertrophic pyloric stenosis)的病人,其電解值的變化為 何? (A)低血鉀症鹼中毒 (B)高血鈉症鹼中毒 (C)低血鉀症酸中毒 (D)低血氯症酸中毒
46. 一個剛出生的嬰兒有呼吸窘迫的現象,胸部X光顯示如下,對此病人的處置下列何者錯誤?
(A)氣管內插管(endotracheal tube) (B)放置胃管 (C)面罩呼吸 (mask) (D)給與動脈及靜脈導管
47.一般有插入鼻胃管的成年病人,發現有多量類似膽汁的鼻胃管分泌物,下列何種輸液補充最 為恰當? (A)食鹽水(normal saline) (B)葡萄糖水(glucose water) (C)林格氏乳酸液(lactated Ringer's solution) (D)半食鹽水(half saline)
48.有關肛門內痔瘡(internal hemorrhoids)的描述,下列何者錯誤? (A)根據internal hemorrhoids嚴重程度的分級,會prolapse with spontaneous reduction的痔瘡 是屬於第三級 (B)大部分痔瘡症狀是可以藉由飲食調整改善,包含多喝水、攝食食物纖維 (C)針對痔瘡病患就診時必須做digital examination,以排除其他肛門腫瘤的可能性 (D)若是病患年紀大於40歲且有家族大腸癌病史,痔瘡並不嚴重但有血便,必須考慮安排大腸 鏡排除大腸癌的可能性
49.有關rectosacral fascia的敘述,下列何者錯誤? (A)它在S4位置連接presacral fascia和直腸的fascia propria (B)若是手術過程不慎穿破這個landmark,將會往後進入presacral fascia引起venous plexus受 傷大流血 (C)若是手術分離組織過程沒有沿著rectosacral fascia,往前會破壞fascia propria,造成癌細 胞局部轉移的風險 (D)rectosacral fascia又稱做Denonvilliers fascia
50.依Goodsall's rule,肛門瘻管外口位於8點鐘方向,則其內口應在幾點鐘方向? (A)3點 (B)6點 (C)9點 (D)12點
複選題
51.大腸癌最常見的轉移路徑為何? (A)經腸壁轉移 (B)經穿透腹膜轉移 (C)經由淋巴系統轉移 (D)經由血管轉移
52.則此病人目前最可能的診斷及症狀發生的原因為何?(A)慢性胰臟炎併胰臟鈣化及胰管內結石(B)急性胰臟炎(C)胰臟癌(D)膽結石
53.承上題,此病人後續的檢查也發現主胰管(main pancreatic duct)徑大於 1 公分, 如果選 擇開刀治療,針對這病人最可能採取下列何種手術方式? (A)惠普式手術 (Whipple operation) (B)Puestow手術並清除主胰管內結石 (C)膽囊切除術 (D)引流管置放引流術
54.下列敘述何者錯誤? (A)選擇乳房全切除手術或乳房保留手術合併輔助治療,兩者在存活率上並沒有太大差別 (B)乳房保留手術者相對於全切除者,在同側乳房有較高的局部復發率 (C)乳房保留手術的邊緣只要能乾淨無虞(clear margins),是否有非典型增生或小葉原位癌 並不影響局部復發 (D)乳房切除術後接受乳房重建手術最好間隔兩年,因為即時的重建手術(immediate reconstruction)會降低存活率與增加局部復發
55.承上題,關於乳癌的改良式根治性乳房切除手術(modified radical mastectomy)治療,下 列何者錯誤? (A)改良式根治性乳房切除包含清除腋下的淋巴結,通常清除level 1 與 level 2的範圍 (B)腋下淋巴結清除的解剖位置,上界為腋靜脈(axillary vein),內界為胸壁,外界為背闊肌 (latissimus dorsi muscle) (C)腋下淋巴清除手術的合併症包括疼痛、減少關節活動範圍、淋巴水腫等 (D)前哨淋巴結切片(sentinel lymph node biopsy)無法避免腋下淋巴結清除手術的合併症, 通常用於縮短手術時間
56.下列有關惡性軟組織腫瘤之敘述,何者最正確? (A)滑液囊肉瘤(synovial sarcoma)是指從滑液囊細胞(synovium)分化而成的腫瘤,常見 於關節附近 (B)透明細胞肉瘤(clear cell sarcoma)在組織學上可見到兩相形式(biphasic pattern),包 括柱狀細胞及梭狀細胞 (C)惡性脂肪肉瘤(liposarcoma)好發於後腹腔、大腿、臀部 (D)在磁振攝影下呈現異形性腫塊(heterogenous mass), 可利用此特徵來分辨是良性還是 惡性腫瘤
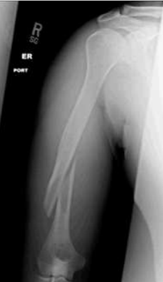
57.22歲男性於軍中練習投擲手榴彈時,採用錯誤的過頂投擲(overhead throwing)方式,在擲 出手榴彈後,感到右上臂劇烈疼痛,送醫照射X光片結果如下圖。關於此種骨折型態,最容 易合併何種神經傷害?
(A)正中神經(median nerve) (B)橈神經(radial nerve) (C)尺神經(ulnar nerve) (D)腋神經(axillary nerve)
58.28歲年輕男性騎乘機車不慎摔車,右大腿腫痛變形,送至急診後,X光檢查顯示右股骨中段 螺旋性骨折(femoral midshaft spiral fracture)。病患無合併其他外傷,周邊循環良好,同 時沒有發生神經傷害。此時應採下列何種固定方式,可獲得最佳的治療效果? (A)骨骼牽引固定(skeletal traction) (B)石膏固定(casting) (C)鎖定式骨髓內釘固定(intramedullary interlocking nail) (D)骨外固定(external fixation)
59.彈響髖(snapping hip)是因為髖關節周邊某些軟組織因纖維化或硬化,而在髖關節活動時 與骨骼摩擦所致。下列這些軟組織,何者最不可能造成彈響髖? (A)股外側肌(vastus lateralis muscle) (B)髂脛束(iliotibial band) (C)臀大肌(gluteus maximus muscle) (D)髂腰肌鍵(iliopsoas tendon)
60.一位67歲的女性,無特別病史、發燒或營養不良狀況。主訴一個月來有持續性背痛,X光顯 示在第七、十、十一胸椎壓迫性骨折,椎莖(pedicle)及椎間盤完整。血液檢驗顯示 Albumin: 2.5 gm/dL ; Total protein: 10.1 gm/dL ; Ca(calcium): 11.0 mg/dL。針對血液檢 驗及X光結果,最有可能的診斷為何? (A)脊椎細菌感染(infectious spondylitis) (B)惡性腫瘤轉移(malignant tumor metastases) (C)多發性骨髓瘤(multiple myeloma) (D)脊椎骨肉瘤(vertebral osteosarcoma)
61.60歲的男性,被診斷腰椎有腫瘤轉移,其脊椎X光顯示在第一、二、四腰椎有椎體塌陷及成 骨性影像(osteoblastic image)。依據脊椎X光結果判斷,最有可能是從下列何者轉移到腰 椎? (A)大腸癌(colon cancer) (B)胃癌(gastric cancer) (C)肝癌(hepatic cell carcinoma) (D)攝護腺癌(prostate cancer)
複選題
62.有關體內鈣質的描述何者錯誤? (A)骨骼系統儲存體內99%的鈣,血鈣則佔略少於1% (B)鈣質的來源主要為飲食攝取,大多於十二指腸(duodenum)及空腸(jejunum)吸收 (C)98%的鈣會被腎臟再吸收,主要是在遠端腎小管 (D)1,25-(OH)2 vitamin D可增加腸道的鈣結合蛋白(calcium binding protein)來增進鈣質吸 收
複選題
63.有關股骨頭缺血性壞死(osteonecrosis of femoral head),下列敘述何者最正確?(一律給分) (A)股骨頭X光出現subchondral cyst是初期的變化 (B)當病人出現軟骨下崩塌(subchondral collapse)時,中心減壓術(core decompression) 是最好的治療方法 (C)最常見的原因是創傷性引起 (D)股骨頭內骨髓腔壓力(intraosseous pressure)通常不會升高
64.懷孕婦女因輸尿管結石產生腰痛求醫處理時,下列何者較不合適? (A)必須立即以IVU(intravenous urography)找出石頭位置,加以碎石處理免得繼續妊娠時 症狀加劇 (B)利用雙J輸尿管導管(double-J ureter stent)以解除輸尿管之阻塞 (C)局部麻醉下超音波定位置放經皮腎造廔管(percutaneous nephrostomy tube insertion) (D)在懷孕的第一個trimester時應該盡量避免X光照射
65.下列何者不是引起膀胱結石的好發因子? (A)手術穿過膀胱的絲質縫線 (B)良性前列腺肥大 (C)高蛋白飲食 (D)神經性膀胱
66.晚期或轉移性腎細胞癌常用的單一藥物治療,經證實可能有效者,不包括下列何種藥物? (A)interferon-alpha (B)steroids (C)sunitinib (D)sorafenib
67.下列有關尿路分流(urinary diversion)手術的敘述,何者錯誤? (A)手術前的心肺功能評估很重要 (B)手術前必須做腸道清洗準備 (C)當膀胱癌有前列腺段尿道侵犯時,尿路分流手術最好採用neobladder方式 (D)迴腸因為長度最長,最常被選用於尿路分流手術
68.交感節後神經(sympathetic postganglionic nerve)釋放下列何種神經傳導物質,以控制下 泌尿道? (A)乙醯膽鹼(acetylcholine) (B)一氧化氮(nitric oxide) (C)正腎上腺素(norepinephrine) (D)腎上腺素(epinephrine)
69.一位65歲男性主訴最近兩星期開始有排尿困難及便秘,三天前因下腹腫脹、疼痛至急診室。 經置放導尿管導出800 mL清澈的尿液;今天早上至診所拔除導尿管,到中午仍解不出尿液, 來到醫院門診,再置放導尿管後,導出400 mL尿液。身體檢查發現肛門括約肌鬆弛,前列腺中等程度肥大(約60公克左右)。經詢問得知三個月來下背部疼痛並會傳到右腳,下列何者是最適當的檢查或治療?(A)經尿道前列腺切除手術(TURP)(B)經直腸超音波及前列腺切片(C)給予5 alpha還原酶抑制劑(D)神經學檢查
70.下列有關phosphodiesterase-5(PDE5)inhibitors 治療勃起功能障礙之敘述,何者錯誤? (A)sildenafil、vardenafil及tadalafil均為美國FDA核准治療勃起功能障礙的PDE5 inhibitors (B)頭痛,臉潮紅為服用PDE5 inhibitors常見的副作用 (C)PDE5 inhibitors可與nitrates同時服用 (D)服用PDE5 inhibitors後須有性刺激才可達到勃起
71.下列何者不是理想的腎臟捐贈者? (A)腎功能正常者 (B)同時罹患原發性腦瘤的病人 (C)出現全身性病毒或細菌感染 (D)梅毒、肝炎檢查正常者
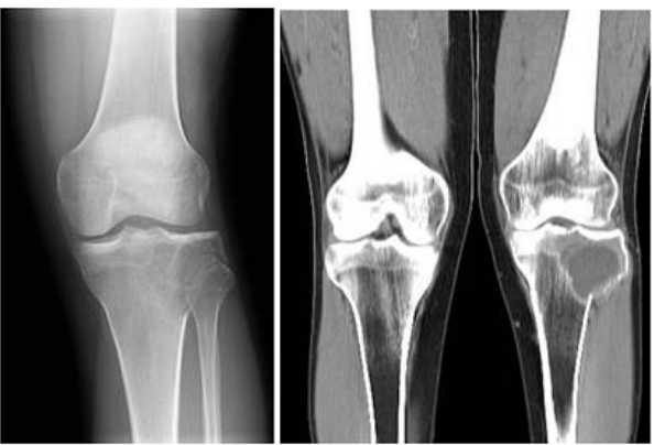
72.23歲男性,無特殊病史。因左膝扭傷,意外發現骨骺(epiphysis)腫瘤。附圖為X光攝影及 電腦斷層影像,最可能的診斷為何:
(A)fibrous dysplasia (B)giant cell tumor (C)osteogenic sarcoma (D)bone metastasis
73.關於肝細胞癌(hepatocellular carcinoma),下列何者錯誤? (A)分為多發性結節型、單獨結節腫塊型和浸潤型 (B)以多發性結節最常見 (C)不適合手術治療之肝癌,可藉由其他方法,如肝動脈栓塞法(TAE)治療 (D)接受肝動脈栓塞法(TAE)治療之患者,其肝功能不宜太差,且其門靜脈血流最好暢通
74.一位30歲女性至急診就醫,主訴突發性胸痛,長期呼吸困難,胸部電腦斷層影像如附圖,下列 敘述何者錯誤?
(A)影像表現與 tuberous sclerosis在肺部的病灶相似度高 (B)此病人可能發生自發性氣胸 (C)男性的發生率與女性相當 (D)除了肺部之外,也可能會在腎臟、神經系統等部位出現異常
75.有關脊椎損傷,下列何者錯誤? (A)只要下肢仍有感覺就屬於不完全性的損傷 (B)Central cord syndrome指病人理學檢查時上肢比下肢無力 (C)Brown-Séquard syndrome指對側運動功能及對側感覺功能喪失 (D)Anterior cord syndrome指下肢無力及對痛和溫度的感覺喪失
76.關於骨骼肌肉系統的創傷,下列敘述何者錯誤? (A)截肢病人若出現休克現象就要立即進行接合手術(replantation) (B)骨折固定可減少疼痛及避免進一步軟組織傷害 (C)懷疑有動脈血管損傷必須考慮安排血管攝影檢查 (D)近關節處的傷口不要嘗試從傷口注入生理食鹽水來檢查是否與關節腔相通
77.一位40歲男性在車禍中受傷被送急診,當時意識清醒,但有大量的血尿,經靜脈給予兩公升 的Crystalloid並輸血,腹部斷層掃描(CT scan)顯示左側腎臟撕裂傷合併巨大血腫,病人的 血壓一直維持在70/40 mmHg無法再上升,下一步要作的處置為何? (A)腎臟血管造影 (B)施行經皮腎造瘻術(percutaneous nephrostomy) (C)緊急手術 (D)照KUB
78.下列何者不是面對舉發「不當研究行為」應採取的作為? (A)研究者必須對自己的行為負責,要正視不當行為的嚴重性,而且對於其他研究人員的明顯 不當研究行為要勇於檢舉 (B)不當研究行為的指控不得在尚未經完整調查與確認前公諸於世 (C)研究機構和研究人員絕對不可以對基於善意而舉發不當研究行為之人,採取任何報復或懲 處 (D)研究者有義務在第三公正者的主持下與舉發者進行面對面的辯證
79.82歲的男性,近日服用感冒藥,因解尿困難來到泌尿外科門診,經你單次導尿,導出750毫 升的尿液,病人懷疑是其他科醫師開立感冒藥的關係,你發現的確含有抗副交感神經 (anticholinergic)類的藥物,依你的專業與經驗判斷也懷疑是該藥物所造成的。此時應該要 如何告知病人? (A)儘量幫其他的同僚隱瞞,告訴病人不可能,以維護你與同儕的關係 (B)告訴病人這種藥依經驗從來不會有尿滯留的問題,應是病人的特殊體質 (C)與病人站在同一陣線,指責前一位醫師的錯誤與疏忽,甚至告知病人可以向醫院申訴 (D)誠實告訴病人,以後儘量不要使用這類藥物,同時告知病人,看病時要告訴醫師原有的疾 病,才能避免不必要的副作用
80.依據「安寧緩和醫療條例」之規定,末期病人無簽署意願書且意識昏迷或無法清楚表達意願 時,由其最近親屬出具同意書代替之。有①配偶 ②成年孫女 ③父 ④弟弟,四位最近親 屬,意見不一時,優先次序為: (A)①③②④ (B)①④③② (C)①③④② (D)①②③④
申論題 (0)
相關試卷
115年 - 115-1 專技高考_醫師(二):醫學(五)(包括外科、骨科、泌尿科等科目及其相關臨床實例與醫學倫理)#137338
115年 · #137338
114年 - 114-2 專技高考_醫師(二):醫學(五)(包括外科、骨科、泌尿科等科目及其相關臨床實例與醫學倫理)#127923
114年 · #127923
114年 - 114-1 專技高考_醫師(二):醫學(五)(包括外科、骨科、泌尿科等科目及其相關臨床實例與醫學倫理)#125088
114年 · #125088
113年 - 113-2 專技高考_醫師(二):醫學(五)(包括外科、骨科、泌尿科等科目及其相關臨床實例與醫學倫理)#120655
113年 · #120655
113年 - 113-1 專技高考_醫師(二):醫學(五)(包括外科、骨科、泌尿科等科目及其相關臨床實例與醫學倫理)#118719
113年 · #118719
112年 - 112-2 專技高考_醫師(二):醫學(五)(包括外科、骨科、泌尿科等科目及其相關臨床實例與醫學倫理)#114977
112年 · #114977
112年 - 112-1 專技高考_醫師(二):醫學(五)(包括外科、骨科、泌尿科等科目及其相關臨床實例與醫學倫理)#113148
112年 · #113148
111年 - 111-2 專技高考_醫師(二):醫學(五)(包括外科、骨科、泌尿科等科目及其相關臨床實例與醫學倫理)#108727
111年 · #108727
111年 - 111-1 專技高考_醫師(二):醫學(五)(包括外科、骨科、泌尿科等科目及其相關臨床實例與醫學倫理)#106181
111年 · #106181
110年 - 110-2 專技高考_醫師(二):醫學(五)(包括外科、骨科、泌尿科等科目及其相關臨床實例與醫學倫理)#99917
110年 · #99917