52.則此病人目前最可能的診斷及症狀發生的原因為何?
(A)慢性胰臟炎併胰臟鈣化及胰管內結石
(B)急性胰臟炎
(C)胰臟癌
(D)膽結石
(A)慢性胰臟炎併胰臟鈣化及胰管內結石
(B)急性胰臟炎
(C)胰臟癌
(D)膽結石
答案:登入後查看
統計: A(117), B(5), C(0), D(0), E(0) #1041005
統計: A(117), B(5), C(0), D(0), E(0) #1041005
詳解 (共 1 筆)
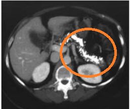
#6113104

蠻明顯的胰臟形狀的鈣化點
酗酒抽菸超過10年→急性胰臟炎的危險因子
斷斷續續嚴重腹痛→暗示急性胰臟炎反覆發作
此病人目前最可能的診斷
沒事多個目前,又沒有體重減輕,只好選(A)不選(B)
https://www.liver.org.tw/journalView.php?cat=16&sid=244&page=3
過去的大規模研究認為,急性胰臟炎以膽結石引起佔最大宗,但隨著飲食習慣改變,現在國人常見的原因與西方國家相同,都以喝酒為主;中年女性則以膽結石較多,兩者佔急性胰臟炎成因7到8成,其他原因還包括高三酸甘油酯過高、腫瘤壓迫胰管、胰管先天構造異常(通常兒童或青少年期就會發作)、藥物或病毒感染等。
ㅤㅤ
0
0