阿摩線上測驗
登入
首頁
>
牙醫學(六)(包括齒顎矯正學、兒童牙科學、牙科公共衛生學等科目及其相關臨床實例與醫學倫理)
> 105年 - 105-2 專技高考_牙醫師(二):牙醫學(六)(包括齒顎矯正學、兒童牙科學、牙科公共衛生學等科目及其相關臨床實例與醫學倫理)#54703
105年 - 105-2 專技高考_牙醫師(二):牙醫學(六)(包括齒顎矯正學、兒童牙科學、牙科公共衛生學等科目及其相關臨床實例與醫學倫理)#54703
科目:
牙醫學(六)(包括齒顎矯正學、兒童牙科學、牙科公共衛生學等科目及其相關臨床實例與醫學倫理) |
年份:
105年 |
選擇題數:
80 |
申論題數:
0
試卷資訊
所屬科目:
牙醫學(六)(包括齒顎矯正學、兒童牙科學、牙科公共衛生學等科目及其相關臨床實例與醫學倫理)
選擇題 (80)
1.人類顱顏面骨在嬰兒期生長時,以下何部位屬於軟骨生長(cartilaginous growth)? (A)上顎骨(maxilla bone) (B)下顎體(mandible body) (C)鼻中膈(nasal septum) (D)腭正中骨縫(midpalatal suture)
2.從胚胎發育晚期到出生時,影響nasomaxillary complex生長的主要因素不包括下列何者? (A)腦部跟頭顱的擴張(expansion of the brain and cranial vault) (B)前顱底的生長(growth of the anterior cranial base) (C)鼻腔的擴張(expansion of the nasal cavity) (D)下顎骨的生長(growth of the mandible)
3.下列那一種先天異常最容易合併有「多生牙」的表現? (A)外胚層發育異常(ectodermal dysplasia) (B)鎖骨顱骨發育不全(cleidocranial dysplasia) (C)克魯遜氏症候群(Crouzon's syndrome) (D)半邊小臉症(hemifacial microsomia)
4.關於顏面軟組織隨年齡增加所發生的變化,下列敘述何者錯誤? (A)上下唇厚度減少 (B)上唇至鼻下(subnasion)之長度減少 (C)唇紅緣露出(vermillion display)程度減少 (D)微笑時上顎門齒露出程度減少
5.Moorrees發現,在混合齒列期有關牙弓周長(arch circumference)的變化,下列敘述何者錯誤? (A)在6~14歲,上顎牙弓周長持續減少 (B)牙弓周長的變化主要發生於第二大臼齒萌發時 (C)在男孩混合齒列期,下顎牙弓周長約減少3.5mm (D)在女孩混合齒列期,下顎牙弓周長約減少4.5 mm
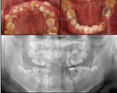
6. 20歲患者的口內齒列檢查與環口X-光影像如下圖,其最可能的臨床診斷為何?
(A)鎖骨顱骨發育不全(cleidocranial dysplasia) (B)唇腭裂 (C)半邊小臉症(hemifacial microsomia) (D)Treacher Collins症候群
7.關於顱顏面骨(craniofacial complex)的正常生長形態之敘述,下列何者錯誤? (A)後顱底部生長造成上顎骨移位 (B)上顎骨前緣主要為骨吸收 (C)下顎骨在青春期開始時即停止生長 (D)下顎骨向前向下生長
8.有關異位萌發(ectopic eruption)的上顎犬齒之敘述,下列何者錯誤? (A)可能造成上顎犬齒阻生 (B)若輕微異位,適時將乳犬齒拔除,將有助於萌發 (C)常造成上顎恆側門齒的牙根吸收 (D)常造成上顎小臼齒的牙根吸收
9.下列何者是最需要及早治療的混合齒列期咬合的問題? (A)單顆前牙轉位 (B)門齒排列不整 (C)犬齒萌發空間不足 (D)齒源性後牙錯咬
10.關於吸吮習癖對咬合發育的影響,下列何者錯誤? (A)吸吮習癖在混合齒列期前改正,則輕微移位的乳門牙有機會改善 (B)吸吮習癖一直持續到混合齒列期,易造成異常咬合 (C)乳齒列前期有吸吮習癖,易造成恆齒列前牙開咬 (D)長期吸吮大拇指導致開咬,是由於門牙正常萌發受到干擾
11.測顱分析(cephalometric analysis)中的McNamara Analysis是用下列那一個測量項目來評估上顎前突(maxillary protrusion)? (A)SNA (B)上顎門牙到NA line的距離 (C)piont A到nasion perpendicular line的距離 (D)上顎門牙到nasion perpendicular line的距離
12.下列何種骨性異常咬合,東方人的罹患率高於西方人? (A)上顎前突(maxillary prognathism) (B)上顎後縮(maxillary retrognathism) (C)下顎前突(mandibular prognathism) (D)下顎後縮(mandibular retrognathism)
13.下列何者為舌前推(tongue thrusting)最可能導致之異常咬合特徵? (A)深咬 (B)開咬 (C)下顎門齒舌側內傾 (D)上顎門齒舌側內傾
14.關於安格氏異常咬合分類之敘述,下列何者正確? (A)安格氏一級異常咬合出現的機率最低 (B)安格氏三級異常咬合在白種人比亞洲黃種人較常見 (C)安格氏三級異常咬合的上顎第一大臼齒近心頰側咬頭,咬在下顎第一大臼齒的頰側溝之近心側 (D)安格氏三級異常咬合的上顎第一大臼齒近心頰側咬頭,咬在下顎第一大臼齒的頰側溝之遠心側
15.下列何者非治療Class III咬合不正的方式? (A)facemask (B)chin cap (C)high-pull headgear (D)ClassⅢelastics
16.下圖中何者為Wits測顱分析法中所使用之參考平面?
(A)平面A (B)平面B (C)平面C (D)平面D
17.在現代臨床齒顎矯正診斷工具之中,以下那一種方式最可以清晰完整呈現TMJ disc之立體影像? (A)cephalometric radiography (B)computed tomography scans(CT) (C)magnetic resonance imaging(MRI) (D)panoramic radiography
18.下列那一個測顱X光的界標(landmark)位於下顎骨? (A)Gn (B)Ba (C)Bo (D)Ptm
19.此為成年女性患者之正面笑容照片,下列敘述何者錯誤?
(A)該病例呈現過度微笑露齦(gummy smile) (B)齒列矯正配合正顎手術可以是本病例治療計畫之其中一種模式 (C)此病例可能診斷之一為上顎垂直過長(vertical maxillary excess)及前突 (D)頰側廊帶(buccal corridors)不會因上顎前後及上下移動而改變
20.下顎齒列的牙弓長度(arch length)及牙弓周長(arch circumference),10歲以後之變化情形為何? (A)牙弓長度(arch length)持續減少,牙弓周長(arch circumference)持續增加 (B)牙弓長度(arch length)持續增加,牙弓周長(arch circumference)持續減少 (C)都持續增加 (D)都持續減少
21.如圖所示為下顎齒列移動關閉第一小臼齒拔牙的空間,白色為移動前,紅色為移動中。在此階段,下列何者為正中門牙移動的 方式?
(A)控制傾斜(controlled tipping) (B)舌向牙根扭矩(lingual root torque) (C)下壓內縮(intrusion) (D)前突(protraction)
22.下圖是有關牙齒基本移動原理,實心點代表牙齒之抗力中心(center of resistance),空心點代表牙齒移動時之旋轉中心 (center of rotation),直線箭頭代表施力方向,曲線箭頭代表力矩(moment)之大小。圖中,牙齒施力後,產生移動現象, 下列敘述何者錯誤?
(A)牙齒之抗力中心,不因施力大小而改變 (B)牙齒之旋轉中心,在移動過程中,隨時在變 (C)牙齒之抗力中心一定位於牙根處 (D)牙齒施力時,牙齒之旋轉中心與抗力中心一致
23.牙周膜(PDL)持續承受壓力時,下列敘述何者錯誤? (A)小於1秒,PDL未被壓縮,齒槽骨彎曲,產生壓力電位 (B)1~2秒,PDL內組織液被擠出,但牙齒在PDL內不會產生位移 (C)3~5秒,PDL內血管受到局部壓縮 (D)3~5秒,若壓力過大會有立即疼痛感
24.下列那些是陶瓷托架(ceramic bracket)的缺點?①摩擦阻力(frictional resistance)大 ②易脆的(brittle) ③容易被食物 染色(discoloration) ④不易拆除(debond) (A)①②③ (B)①②④ (C)①③④ (D)②③④
25.下列何者不屬於固定矯正裝置? (A)edgewise裝置 (B)Begg裝置 (C)Fränkel裝置 (D)上顎快速擴大裝置
26.功能性矯正裝置(activator)用於治療安格氏二級異常咬合時,常造成: (A)上顎門齒前傾(proclined) (B)下顎門齒前傾(proclined) (C)下顎門齒舌側傾斜(lingual tipping) (D)下顎門齒過度壓入(intrusion)
27.在下列口腔顎面外科手術中,何者是用於上顎骨的正顎手術? (A)bilateral sagittal split osteotomy (B)LeFort I osteotomy (C)genioplasty (D)intraoral vertical ramus osteotomy
28.依據醫療法規定,下列何者錯誤? (A)患者病歷至少保存7年,但未成年者之病歷至少應保存至20歲即可 (B)人體試驗之病歷應永久保存 (C)醫師不得無故拖延或拒絕患者要求提供病歷複製本 (D)除法令另有規定外,醫師不得拒絕開立診斷書
29.對兒童以midazolam做靜脈鎮靜(IV sedation)時,若使用過量,下列那一種藥劑是最好的解藥? (A)Flumazenil (B)Fentanyl (C)Hydroxyzine (D)Benadryl
30.Ludwig氏口峽炎(Ludwig’s angina),是侵犯到下列那些空間的感染? (A)頦下隙(submental space)、舌下隙(sublingual spaces)和顎下隙(submandibular spaces) (B)舌下隙(sublingual spaces)、顎下隙(submandibular spaces)和咽隙(pharyngeal spaces) (C)頦下隙(submental space)、顎下隙(submandibular spaces)和翼狀隙(pterygoid spaces) (D)舌下隙(sublingual spaces)、頦下隙(submental space)和犬齒隙(canine spaces)
31.若自來水含氟量在多少濃度以上時,兒童即可不必使用氟錠來預防齲齒? (A)0.06 ppm (B)0.1 ppm (C)0.3 ppm (D)0.6 ppm
32.牙齒的生長週期(life cycle of the tooth),下列何者為組織分化(histodifferentiation)及型態分化(morphodifferentiation) 的階段? (A)牙蕾期(bud stage) (B)鐘形期(bell stage) (C)帽狀期(cap stage) (D)沈積期(apposition)
33.爪形咬頭(talon cusp)常見於下列那一種牙齒? (A)上顎前牙 (B)下顎前牙 (C)上顎小臼齒 (D)下顎小臼齒
34.新生兒牙(neonatal teeth)的好發部位為何? (A)上顎門齒 (B)上顎犬齒 (C)下顎門齒 (D)下顎犬齒
35.下列何者不屬於循序拔牙法(serial extraction)後可能發生的問題? (A)拔牙空間殘留 (B)垂直覆蓋(overbite)加深 (C)下門牙向舌側傾斜 (D)犬齒向近心側傾斜
36.一位8歲女童由家長帶來門診,主訴下顎門齒長在舌側,經測量牙齒近遠心寬度結果分別是:11=9 mm,21=9 mm,12=7 mm,22=7 mm,31=5.5 mm,41=5.5 mm,32=6 mm,42=6 mm,根據Tanaka and Johnston研究觀察,進行混合齒列 分析時,上顎需加11 mm,下顎需加10.5 mm,此女童尚未萌出之下顎恆犬齒及第一、第二小臼齒之近遠心寬度應該是多少 mm? (A)27 mm (B)26.5 mm (C)22 mm (D)22.5 mm
37.就兒童之生長而言,下列敘述何者錯誤? (A)在出生後的第一年,身長增加約50% (B)在出生後的第一年,體重增加約200% (C)一歲以後身高體重的年增率變化與一歲之前的來比較,顯得相當穩定且具可預測性 (D)三歲以前就可以相當準確的預測孩子將來的身高
38.在局部麻醉中,那一種麻醉法會使患者覺得最痛? (A)頦神經阻斷麻醉(mental nerve block) (B)下顎神經阻斷麻醉(inferior alveolar nerve block) (C)大腭神經阻斷麻醉(greater palatine nerve block) (D)鼻腭神經阻斷麻醉(nasopalatine nerve block)
39.乳齒因外傷而打擊到後繼恆齒牙胚而導致恆齒的牙釉質發育不全(enamel hypoplasia),此恆齒稱之為何? (A)牙根彎曲(dilaceration) (B)牙瘤(odontoma) (C)複製齒(duplicated tooth) (D)透納氏牙(Turner’s tooth)
40.母親懷孕初期,若感染下列何種疾病,則可能會產下失聰的障礙兒? (A)德國麻疹 (B)肺結核 (C)氣喘 (D)風濕熱
41.目前在台灣對中重度身心障礙者使用的氟化物為下列何者? (A)每天兩次使用0.4% stannous fluoride含氟牙膏 (B)每週使用一次0.05% sodium fluoride含氟漱口水 (C)每天服用1 mg含氟錠劑 (D)1 ppm飲用水加氟
42.幾歲以上的兒童語言發展能力已經發育到一定程度,看牙齒時才有辦法以語言作為主要的溝通方法? (A)2歲 (B)3歲 (C)4歲 (D)5歲
43.小朋友害怕分離或是害怕陌生人的行為對臨床醫師而言很重要,下列敘述何者正確? (A)7個月大前小朋友會害怕陌生人 (B)36~40個月大的孩子可以控制自己對於家長不在身邊的恐懼感 (C)20~25個月大的孩子可以控制自己對於家長不在身邊的恐懼感 (D)13~18個月大的孩子漸漸可以不害怕陌生人
44.對於笑氣鎮靜在兒童牙科之使用,下列何者錯誤? (A)對兒童使用笑氣鎮靜時,仍需用“說-看-作”(Tell - Show - Do)之方法來輔助 (B)笑氣鎮靜用於兒童沒有太大的副作用 (C)笑氣鎮靜作用快,恢復也快 (D)笑氣鎮靜使用於兒童時,可不需再施打局部麻藥
45.關鍵酸鹼值(critical pH)是在此酸鹼值時,會造成牙釉質的脫鈣,而形成齲齒,請問關鍵酸鹼值是多少? (A)3.5 (B)4.5 (C)5.5 (D)6.5
46.氟化物預防齲齒的機轉,下列何者錯誤? (A)增加牙齒抗酸之能力 (B)增加牙齒再礦化(remineralization)之能力 (C)促進牙齒之去礦化作用(demineralization) (D)降低牙菌斑中致齲菌的活力
47.關於乳牙之完全牙髓切除術(complete pulpectomy)敘述,何者錯誤? (A)若下顎第二乳臼齒神經壞死合併根尖病灶,且第二小臼齒先天缺失時,則第二乳臼齒最好先施行完全牙髓切除術 (B)治療時先清除牙髓腔內及根管內上三分之一之牙髓組織,並避免將感染之組織推出根尖孔外 (C)若仍需追蹤觀察時,可在牙髓腔內放置擠乾之CMCP棉球 (D)若乳臼齒神經壞死且合併疼痛及膿腫之症狀時,通常仍是單次(one appointment)便完成完全牙髓切除術
48.關於兒童齲齒檢查的牙科拍X光片的準則,下列何者正確? (A)若為乳牙齒列,鄰接面無法視察與用探針檢查,則可採用後牙咬翼片檢查 (B)若為過渡齒列(transitional dentition),則只能使用根尖片,不能使用咬翼片 (C)若為過渡齒列(transitional dentition),且無臨床齲齒也無齲齒的高危險因子,則需24到36月用後牙咬翼片檢查一次 (D)若為恆牙齒列,則環口攝影為適當的檢查
複選題
49.關於顱顏面部生長的原則,下列敘述何者錯誤? (A) 各種不同組織其生長發育速度不同 (B) 原發性軟骨(primary cartilage)影響顱顏面部的生長型態 (C) 原發性軟骨(primary cartilage)首先出現在頭部時約為胚胎期第十週 (D) 梅克氏軟骨日後發育成為下顎骨的顳顎關節
50.有關牙齒大小(mesio-distal dimension)之敘述,下列何者最適當﹖ (A)上顎牙齒由6個基因控制 (B)下顎牙齒由4個基因控制 (C)屬於性聯遺傳(X-linked inheritance) (D)上顎第一小臼齒變異最大
51.七歲時,恆牙門齒萌發中,而第一大臼齒已經萌發。此年齡兒童的理想咬合,何者錯誤? (A)ClassⅠ臼齒與犬齒對咬關係 (B)2 mm的前牙與後牙的水平咬合距離(overjet) (C)2 mm前牙開咬(open bite) (D)牙齒中線有對齊
52.關於提早喪失乳門牙,下列敘述何者錯誤? (A)乳犬齒皆已完全萌發,此時上顎乳門牙提早脫落,會導致犬齒間距(intercanine dimension)的減少 (B)上顎乳犬齒提早脫落,最主要的影響是上顎恆牙繼生牙萌發延後 (C)乳門牙提早脫落時,給予前牙假牙(kiddy denture),主要的考量是美觀及功能因素 (D)於Baume閉鎖型乳牙齒列(closed primary dentition),若乳門牙提早喪失,其特性較易造成牙弓長度喪失
53.關於第一大臼齒異位萌發(ectopic eruption),下列敘述何者錯誤? (A)常導致第二乳臼齒遠心牙根吸收 (B)分類為可逆性及不可逆性兩種 (C)可逆性型態一般7歲前後即自行解決 (D)好發於下顎,具有家族性傾向(familial tendency)
54.要接受拔牙治療的小孩中,下列那一類兒童患者可不必做endocarditis prophylaxis? (A)心室中膈缺損修補手術(surgical repair of ventricular septal defect)超過6個月 (B)後天性心瓣膜不全(acquired valvar dysfunction) (C)人工心瓣膜(prosthetic cardiac valves) (D)發紺性先天性心臟病(cyanotic congenital heart disease)
55.血友病患者拔牙後幾個小時內最好食用流質飲食? (A)24小時 (B)48小時 (C)72小時 (D)96小時
56.關於鎖骨顱骨發育不全(cleidocranial dysplasia)的症狀,下列敘述何者正確? (A)囟門(fontanel)早期關閉 (B)先天缺牙 (C)智能障礙 (D)牙齒延遲萌發
57.兒童牙齒受傷之病史及檢查,下列敘述何者錯誤? (A)臨床檢查應在受傷區域已被仔細的將殘餘物清除之後執行 (B)因溫度改變造成的疼痛是明顯的牙髓發炎徵象 (C)嚴重受創的牙齒常常顯得比較暗或帶紅色 (D)作活性測試時只需檢測受傷的那顆牙齒
58.處理一位10歲男童左上顎正中門齒,因外傷脫落(avulsion)施行牙齒再植入(replantation)手術後,為預防它產生牙根吸收 的現象,下列何種抗生素最被推薦使用? (A)Doxycycline (B)Amolin (C)Clindamycin (D)Vancomycin
59.下列何者是使用肢體固定(stabilization)的禁忌症(contraindication)? (A)非緊急但需要長時間治療,且不合作的法洛氏四氏症(tetralogy of Fallot)患者 (B)初診檢查時看到約束板大聲狂叫的自閉症患者 (C)右臉蜂窩性組織炎的肢體扭曲腦性麻痺患者 (D)有癲癇發作既往歷的智能障礙患者
60.對小孩做牙科治療時,下列的突發狀況,何者不必給予氧氣 ? (A)換氣過度(hyperventilation) (B)暈厥(syncope) (C)過敏反應(allergic reaction) (D)大發作暈厥(grand mal seizures)
61.下列何者對於假設檢定之敘述是錯誤的? (A)H1稱為虛無假設 (B)H0稱為虛無假設 (C)通常設定第一類型的錯誤(type I error)為0.05 (D)1-β通常又稱為檢力(power of the test)
62.下列關於「標準差(standard deviation,SD)」的敘述,何者錯誤? (A)是描述資料的分散情形(dispersion)的指標之一 (B)其值等於變異數(variance)的平方 (C)常以符號σ或S來表示 (D)不能視為描述資料分散性最標準的指標
63.關於咬合不正而未矯治時,對身體產生影響之敘述,下列何者錯誤? (A)易使牙菌斑堆積導致齲齒 (B)影響臉型的美感 (C)妨礙發音 (D)導致口腔癌
64.關於氟化物的使用,下列敍述何者錯誤? (A)含氟牙膏其含氟量應在1000 ppm左右才合標準 (B)每天每人每公斤體重的適當氟攝取量為0.05到0.07 mg (C)牙醫師在門診為患者塗氟使用的1.23%APF凝膠相當於12,300 ppm F (D)每天使用的NaF漱口水含氟濃度為0.2%
65.做口腔衛生計畫的第一步為何? (A)確認問題 (B)決定優先順序 (C)實施 (D)評估
66.根據我國中央標準局等單位於1997年針對含氟牙膏所修訂的標準,下列何者錯誤? (A)1500 ppm以上為「超氟牙膏」 (B)800~1000 ppm為「含氟牙膏」 (C)500~800 ppm為「低氟牙膏」 (D)250~500 ppm為兒童含氟牙膏
67.日本的「8020運動」是一項全國性口腔保健運動,它是指以下何項內容? (A)80歲仍保有20顆以上健康牙齒 (B)20歲以上的日本民眾80%沒有齲齒 (C)8,020萬的日本民眾都沒有牙周病 (D)20歲以上的日本民眾80%沒有牙周病
68.下列有關懷孕婦女的口腔健康照護之敘述,何者錯誤? (A)懷孕初期若常有噁心、嘔吐後,不宜用含氟漱口水漱口 (B)懷孕期間必要時仍可進行根管治療 (C)懷孕期中間三個月發生下顎骨骨折,仍可施行手術治療 (D)懷孕過程中,孕婦牙齒鈣、磷的含量不會有所改變
69.「拒嚼檳榔」之策略,屬於三段五級預防層級(level of prevention)中之那一級? (A)健康促進 (B)特殊保護 (C)限制傷殘 (D)復健
70.有關氟斑齒之敘述,下列何者正確?①為牙釉質的永久性礦質化不良 ②為牙釉質的永久性礦質化過度 ③在台灣主要分布於 高山地區 ④和氟化物濃度呈現劑量-反應關係 (A)①③ (B)②③ (C)①④ (D)②④
71.下列何者不屬於公共衛生之重點任務? (A)照顧對象包括健康群眾 (B)以社區為焦點,推動健康促進計畫 (C)對個別病患之醫療 (D)推動大眾衛生教育
72.考慮聽眾的可塑性及學習能力,下列口腔保健推廣之場所中,以何處為最佳選擇? (A)賣場 (B)學校 (C)醫療院所 (D)廟宇、教會
73.對民眾進行刷牙方法之口腔衛生教育,以何種教學法有較佳的效果? (A)講述法 (B)示範法 (C)參觀法 (D)討論法
74.有關社區牙周治療需求指數(CPITN)之檢查要點,下列敘述何者錯誤? (A)檢視代碼3時,需接受牙周手術治療 (B)檢視代碼1時,僅需口腔清潔訓練 (C)檢視代碼2時,無需接受牙周手術治療 (D)檢視代碼2時,仍需要接受牙結石清除
75.某國小有學生2500人,經口腔檢查發現,其中有750人完全無齲齒,有齲齒之1750人中,未矯治齲齒有1830顆,因齲齒而拔 除者有770顆,因矯正需要而拔除者有550顆,已填補完成者有950顆,請問該國小學生之齲齒盛行率(caries prevalence) 為: (A)30.8% (B)70.0% (C)73.2% (D)26.8%
76.有關O'Leary牙菌斑控制指數(O'Leary plaque control record),下列敘述何者錯誤? (A)以0、1、2、3分數記錄 (B)計算有牙菌斑牙面之百分比 (C)每顆牙分四面或六面記錄 (D)可做為牙菌斑控制之監測工具
77.依滅菌消毒原理,將器械分成三大類,下列何者屬於需要絕對滅菌(critical)的物品? (A)矯正鉗 (B)口鏡 (C)拔牙鉗 (D)探針
78.根據行政院衛生署國民健康局2005年「台灣地區國民健康促進知識、態度與行為調查」資料顯示:有關國人潔牙行為的敘述, 下列何者錯誤? (A)晚上睡覺前無潔牙習慣者占50% (B)晚上睡覺前無潔牙習慣的百分率,男性高於女性 (C)國人平均每天潔牙次數為1.87次 (D)國人平均每天潔牙次數,女性高於男性
79.對於具有高齲齒率之身心障礙者,下列何者是最適合的齲齒窩洞填補材料? (A)汞齊(amalgam) (B)複合樹酯(composite resin) (C)玻璃離子體(glass ionomer) (D)氧化鋅及丁香油(zinc oxide and eugenol)
80.全人口腔照護屬於下列何種醫療模式? (A)專科醫療模式 (B)以病人為中心的醫療模式 (C)不包含系統性疾病治療考量的全牙科醫療模式 (D)針對有病痛的牙齒實施治療的醫療模式
申論題 (0)
相關試卷
115年 - 115-1 專技高考_牙醫師(二):牙醫學(六)(包括齒顎矯正學、兒童牙科學、牙科公共衛生學等科目及其相關臨床實例與醫學倫理)#137337
115年 · #137337
114年 - 114-2 專技高考_牙醫師(二):牙醫學(六)(包括齒顎矯正學、兒童牙科學、牙科公共衛生學等科目及其相關臨床實例與醫學倫理)#128942
114年 · #128942
114年 - 114-1 專技高考_牙醫師(二):牙醫學(六)(包括齒顎矯正學、兒童牙科學、牙科公共衛生學等科目及其相關臨床實例與醫學倫理)#125112
114年 · #125112
113年 - 113-2 專技高考_牙醫師(二):牙醫學(六)(包括齒顎矯正學、兒童牙科學、牙科公共衛生學等科目及其相關臨床實例與醫學倫理)#121683
113年 · #121683
113年 - 113-1 專技高考_牙醫師(二):牙醫學(六)(包括齒顎矯正學、兒童牙科學、牙科公共衛生學等科目及其相關臨床實例與醫學倫理)#118738
113年 · #118738
112年 - 112-2 專技高考_牙醫師(二):牙醫學(六)(包括齒顎矯正學、兒童牙科學、牙科公共衛生學等科目及其相關臨床實例與醫學倫理)#115906
112年 · #115906
112年 - 112-1 專技高考_牙醫師(二):牙醫學(六)(包括齒顎矯正學、兒童牙科學、牙科公共衛生學等科目及其相關臨床實例與醫學倫理)#113152
112年 · #113152
111年 - 111-2 專技高考_牙醫師(二):牙醫學(六)(包括齒顎矯正學、兒童牙科學、牙科公共衛生學等科目及其相關臨床實例與醫學倫理)#109857
111年 · #109857
111年 - 111-1 專技高考_牙醫師(二):牙醫學(六)(包括齒顎矯正學、兒童牙科學、牙科公共衛生學等科目及其相關臨床實例與醫學倫理)#106189
111年 · #106189
110年 - 110-2 專技高考_牙醫師(二):牙醫學(六)(包括齒顎矯正學、兒童牙科學、牙科公共衛生學等科目及其相關臨床實例與醫學倫理)#99937
110年 · #99937