阿摩線上測驗
登入
首頁
>
醫學五:80題 ( 包括外科,骨科,泌尿科等科目及其相關臨床實例與醫學倫理 )
> 105年 - 105-2 專技高考_醫師(二):醫學(五)(包括外科、骨科、泌尿科等科目及其相關臨床實例與醫學倫理)#54839
105年 - 105-2 專技高考_醫師(二):醫學(五)(包括外科、骨科、泌尿科等科目及其相關臨床實例與醫學倫理)#54839
科目:
醫學五:80題 ( 包括外科,骨科,泌尿科等科目及其相關臨床實例與醫學倫理 ) |
年份:
105年 |
選擇題數:
80 |
申論題數:
0
試卷資訊
所屬科目:
醫學五:80題 ( 包括外科,骨科,泌尿科等科目及其相關臨床實例與醫學倫理 )
選擇題 (80)
1.小兒甲狀腺舌骨囊腫(thyroglossal duct cyst),為了減少復發,手術中除了囊腫外,還要切除那個結構的中央部分? (A)甲狀軟骨(thyroid cartilage)(B)環狀軟骨(cricoid cartilage)(C)舌骨(hyoid bone)(D)杓狀軟骨(arytenoid cartilage)
2.下列敘述,何者正確? (A)植入物(prosthesis)相關的感染通常發生在肺部(B)手術後發燒需立即給予抗生素(C)尿路感染(urinary tract infection)是手術後最常見的非手術感染(nonsurgical infection)(D)選擇抗生素做經驗性治療(empirical treatment)時,最好是同時使用抗厭氧菌的抗生素
3.嚴重外傷之病患,術後需要足量營養補充,以維持各項生理功能與組織復原。營養補充是否足夠,可藉由下列各種生化檢定來 評估,何者除外?(A)白蛋白(albumin)(B)球蛋白(globulin)(C)前白蛋白(prealbumin)(D)轉鐵蛋白(transferrin)
4.嚴重多重外傷病患經積極治療及手術後,如能夠存活超過一星期,最常見之晚期死亡原因為何? (A)嚴重頭部外傷(B)多重器官衰竭(C)出血性休克(D)急性腎衰竭
5.有關高齡病人急性闌尾炎(acute appendicitis)之敘述,下列何者錯誤? (A)發生急性闌尾炎之機率,較年輕人高(B)較年輕族群症狀表現較不典型,診斷容易延遲(C)較年輕族群,穿孔(perforation)機率大,合併症較多(D)與盲腸憩室炎(cecal diverticulitis)鑑別診斷不易
6.有關全身性發炎反應症候群 SIRS(systemic inflammatory response syndrome)的定義,下列何者錯誤? (A)心跳每分鐘大於90下(B)收縮壓小於90 mmHg(C)在正常呼吸下呼吸速率每分鐘大於20下或是血液中二氧化碳分壓(PaCO
2
)小於32 mmHg(D)白血球大於12,000 cells/mm
3
或小於4000 cells/mm
3
或在周邊血液抹片有大於10% immature(Band)cells
7.42歲男性病人有低血壓並懷疑有敗血症,接受中央靜脈導管(central venous catheter)插入後應如何給予輸液? (A)輸注晶體輸液(crystalloid fluid)100毫升/小時(B)輸注晶體輸液(crystalloid fluid)200毫升/小時(C)輸注晶體輸液(crystalloid fluid)500毫升/15分鐘,如果仍為低血壓而且中央靜脈壓力(CVP)<8〜12 mmHg時,再給予 500毫升的輸液(D)輸注晶體輸液(crystalloid fluid)500毫升/15分鐘,如果仍為低血壓而且中央靜脈壓力(CVP)>15 mmHg 時,再給予 500毫升的輸液
8.導致手術部位感染(surgical site infections)的危險因子,下列何者錯誤? (A)手術部位有血腫(B)低氧血症(C)不抽菸的年輕病人(D)營養不良
9.下列關於癌症和它的腫瘤標記(tumor markers)之配對,何者錯誤? (A)carbohydrate antigen 19-9(CA19-9)and ovarian cancer(B)alpha fetoprotein(AFP)and hepatocellular carcinoma(C)carcinoembryonic antigen(CEA)and colon cancer (D)human chorionic gonadotropin(HCG)and choriocarcinoma
10.下列有關腕隧道症候群(carpal tunnel syndrome)的描述,何者錯誤? (A)由腕隧道經過的神經為橈神經(radial nerve)(B)Tinel's sign positive(C)病人若出現魚際肌(thenar muscle)萎縮或無力代表嚴重的運動神經壓迫(D)可透過神經傳導速度(nerve conduction velocity)檢查來確定診斷
11.下列有關神經性休克(neurogenic shock )之敘述,何者錯誤? (A)低血壓(B)心跳慢(C)周邊血管灌流變差(D)可使用α agonist治療
12.下列有關脊髓的感覺神經分布之配對,何者正確? (A)T4-腋下(B)T6-乳頭附近(C)T10-肚臍周圍(D)L5-腳踝外側
13.下列何者是最常見之脊椎硬脊膜上轉移(spinal epidural metastasis)初期症狀? (A)神經根病變(radiculopathy)(B)局部疼痛(local pain)(C)尿液滯留(urinary retension)(D)下肢麻木(numbness of lower limbs)
14.下列腦膜瘤(meningiomas)中,何者不由內頸動脈(internal carotid artery)供應血流 ? (A)嗅溝腦膜瘤(olfactory groove meningioma)(B)蝶骨翼腦膜瘤(sphenoid wing meningioma)(C)側腦室腦膜瘤(lateral ventricle meningioma)(D)顱凸處腦膜瘤(cranial convexity meningioma)
15.根據Hunt and Hess SAH classification,一個蜘蛛膜下腔出血(SAH)病人,臨床上只有輕微頭痛及輕微頸部僵硬,且無其他 神經學檢查異常(focal neurological deficit),其grade應為下列何者?(A)1(B)2(C)3(D)4
16.下列有關腦部偽腫瘤(pseudotumor cerebri)的敘述,何者錯誤? (A)常伴隨腦室變大(B)腦壓增高,作腰椎穿刺壓力往往超過200 mmH
2
O(C)會有視乳突水腫(papilledema)(D)內科治療以類固醇及利尿劑為主
17.17歲的陳大雄左手腕背面摸到一顆突起腫瘤,媽媽帶他到整形外科門診求診時,醫師會跟他說這顆腫瘤最常見是什麼? (A)腱鞘囊腫(ganglion cyst)(B)巨大細胞瘤(giant cell tumor)(C)脂肪瘤(lipoma)(D)內生軟骨瘤(enchondroma)
18.神經的損傷依據Sunderland的分類可以分為幾類? (A)三(B)四(C)五(D)六
19.大部份血管瘤(hemangioma)在多少歲開始退化? (A)1個月(B)3~6個月(C)6~9個月(D)12~18個月
20.下列關於燒燙傷深度(burn depths)的判斷,下列敘述何者錯誤? (A)國中生到海水浴場玩,被太陽曬傷造成背部發紅及疼痛。發紅的皮膚受到壓迫會變白(blanch to the touch),壓力釋放後又變紅。這是一度燒燙傷(B)老人家燒熱水洗澡。水太熱又忘了加冷水。一腳踏進浴缸的熱水裡被燙傷。患處皮膚蒼白、起水泡、受到壓迫不變色(donot blanch to touch),但是碰觸尖細物品仍會疼痛(painful to pinprick)。這是淺二度燒燙傷(C)機車騎士出車禍。小腿遠端內側被灼熱的排氣管壓住造成灼傷。患處皮膚形成不痛的皮革狀焦痂(leathery eschar),這是三度燒燙傷(D)情侶分手,女方極度沮喪而燒炭自殺。女方昏迷後被發現,送醫成功挽回生命。但患者在燒炭昏迷的過程中,右腳太靠近炭火,連肌肉都被烤焦了。這是四度燒燙傷
21.關於褥瘡的分級,下列敘述何者錯誤? (A)第一級,皮膚完整但出現下壓不會反白的發紅區(B)第二級,部分皮層缺損,呈現表淺性潰瘍,臨床上可看到擦傷、水泡、淺的火山口狀傷口(C)第三級,部分皮層缺損,可看到組織被破壞與壞死(D)第四級,全皮層缺損,可看到組織被嚴重破壞與壞死,壞死深及肌肉層、骨骼、支持性結構
22.與顯微組織皮瓣(microvascular free flaps)比較之下,局部皮瓣(local flaps)有下列限制,何者錯誤? (A)局部皮瓣(local flaps)的覆蓋範圍是受限制的(B)局部皮瓣(local flaps)的遠端之血液循環可能不好(C)在外傷的情況下局部皮瓣(local flaps)可能受傷,不一定可靠(D)老人的局部皮瓣(local flaps)與年輕病患的局部皮瓣一樣可靠
23.下列關於心臟瓣膜疾病,何者正確?①暈厥(syncope)為重度主動脈瓣狹窄之手術適應症之一 ②僧帽瓣修補術可用於擴張 性心肌症(dilated cardiomyopathy)患者的手術治療 ③心臟移植手術可用於心臟瓣膜疾病患的手術治療 ④僧帽瓣修補的手術死亡率比僧帽瓣置換術的手術死亡率高(A)①②③(B)僅①③(C)②④(D)僅④
24.關於冠狀動脈繞道手術,下列何者之長期暢通率(long-term patency rate)最差? (A)右內胸動脈(right internal thoracic artery)(B)大隱靜脈(greater saphenous vein)(C)右網膜動脈 (right gastroepiploic artery)(D)左橈動脈(left radial artery)
25.下列有關開心手術術中的心肌保護,何者錯誤? (A)心臟一旦停止跳動,需留滯大量血液在腔室內,使含氧血可經由心內膜進入心肌細胞,達到心肌保護的效果(B)心肌保護液為高鉀離子之溶液,可降低心肌細胞的代謝(C)藉由體外循環的全身血液降溫以及心臟冰浴,可達到心肌保護的效果(D)心肌保護液可以藉由順行性或逆行性路徑灌注心肌細胞,兩者皆可達到心肌保護的效果
26.有關大動脈轉位伴隨正常心室中隔(transposition of great arteries with intact ventricular septum)之敘述,下列何者正確? ①prostaglandin E1靜脈輸注可增加肺動脈血流量 ②心房中隔氣球打洞術(balloon atrial septostomy)無法改善動脈血氧飽和度(oxygen saturation) ③大動脈移轉手術(arterial switch operation)之最佳時機為出生後一至二星期內 ④手術前確實瞭解冠狀動脈之分布情況是大動脈移轉手術的成敗關鍵(A)①②(B)①③(C)②④(D)僅④
27.一位20歲男性因持續性胸痛2個月求診,胸部X-ray及電腦斷層檢查顯示:前縱隔腔腫瘤併主動脈侵犯,alpha-fetoprotein和 beta-HCG為正常,下列何者錯誤?(A)應先切除腫瘤,之後要以化學治療為輔助性治療(adjuvant treatment)(B)治療前應先做切片檢查(C)應檢查生殖腺是否有病變(D)這種腫瘤對放射線治療可能有反應
28.有關adenoid cystic carcinoma of lung之敘述,下列何者正確?①大部分發生於肺周邊組織 ②大部分腫瘤的治療以局部氣管手術切除即可 ③大部分腫瘤都是以局部生長緩慢的氣管支氣管病灶為表現 ④腫瘤絕不會有遠端轉移的現象(A)①②(B)②③④(C)①③④(D)僅②③
29.關於食道弛緩不能(esophageal achalasia)的外科手術,下列何者正確?①可經由開胸與開腹手術施行 ②大部分必須施行 食道切除與重建手術才能解決吞嚥困難的問題 ③下食道括約肌的肌肉切開術是最常使用的方法 ④胃底折疊手術(fundoplication) 有助於減少術後胃液逆流的產生(A)①②③(B)①②④(C)②③④(D)①③④
30.有關pectus excavatum(funnel chest)的手術矯正時機,下列何者最正確? (A)剛出生時(B)2~8歲(C)成年之後(D)12~18歲
31.急性膽管炎指的是膽道系統細菌性感染,臨床症狀從輕微自癒到危及生命都有可能,何者非Charcot’s triad? (A)發燒(fever)(B)黃疸(jaundice)(C)腹痛(abdominal pain)(D)意識譫妄(delirium)
32.下列有關Mallory-Weiss tears之敘述,何者錯誤? (A)常常需要外科手術止血(B)可以用endoscope確診(C)病人大部分為男性(D)典型的位置位於胃小彎(lesser curvature)靠近食道與胃交界處(esophagogastric junction)
33.有關於消化性潰瘍(peptic ulcer) 的分泌之敘述,何者錯誤? (A)致病原因(pathogenesis) 包括幽門螺旋桿菌感染(Helicobacter pylori infection),非類固醇性抗發炎藥(nonsteroidal antiinflammatorydrugs,NSAID)及胃酸(gastric acid)(B)90%的十二指腸潰瘍(duodenal ulcer)及75%的胃潰瘍(gastric ulcer)是和幽門螺旋桿菌感染(Helicobacter pyloriinfection)有關(C)胃潰瘍的病人較常見的分泌異常(secretory abnormalities)有重碳酸鹽分泌減少(decreased bicarbonate secretion),夜間胃酸分泌增加 (increased nocturnal acid secretion)及日間胃酸分泌增加(increased daytime acid secretion)(D)胃酸過度分泌(gastric acid hypersecretion)在type II及type III的胃潰瘍病人比type I及type IV的胃潰瘍病人較常見
34.急性胰臟炎局部合併症中,下列何者最不常見? (A)pancreatic phlegmon(B)pancreatic abscess(C)pancreatic pseudocyst(D)renal artery thrombosis
35.戴先生最近覺得腹部間歇性腹痛,並有呼吸急促的現象,抽血檢查血色素為7 mg/dL,胃內視鏡檢查發現一潰瘍腫瘤且切片檢 查證實為胃腸間質瘤(gastrointestinal stromal tumor,GIST)。下列敘述何者正確?(A)手術切除範圍包括部分胃切除與局部淋巴清除(B)胃腸間質瘤淋巴轉移的機率約20%(C)術後化學治療可以提升存活率(D)男性病患復發風險較女性病患高
36.50歲劉先生因胃癌,1個半月前接受根除性次全胃切除手術(radical subtotal gastrectomy & Billroth-II gastrojejunostomy, ante-colic,病理檢查為T2b N1M0。恢復過程順利,術後10天出院。兩天前腹部不適,3小時前開始腹痛加劇及嘔吐,急診時生命徵象穩定,但冒冷汗。身體檢查上腹部有明顯壓痛,疑似觸摸到腹部腫塊,腸蠕動增加,除serum amylase 867 U/L,WBC 16290 /mm
3
外,血液檢查正常。放入鼻胃管後只有少量胃液回流,此時最可能的診斷為何?(A)gastric cancer recurrence(B)anastomotic leakage(C)acute pancreatitis(D)afferent loop syndrome
37.有關消化性潰瘍手術後的早期併發症,下列敘述何者錯誤? (A)術後出血(B)縫線處滲漏(sutureline leakage)(C)胰臟損傷(D)吻合處功能遲緩(stomal delay)
38.王先生因為急性胰臟炎入院,下列何者最不像是他該有的症狀或檢查結果? (A)腹痛位於上腹並且輻射到背部(B)持續性嘔吐(C)血鈣上升(D)發燒
39.55歲男性,一個月來食慾不振,體重減少6公斤,家人發現其小便顏色變成茶色,帶來醫院檢查,抽血發現total bilirubin level 為7.8 mg/dL, direct form bilirubin level為6.9 mg/dL,腫瘤指數也升高,下列何者最不可能為病因?(A)膽管癌(B)胰臟癌(C)空腸癌(D)壺腹癌
40.臨床常見膽囊切除的適應症中,下列何者錯誤? (A)膽囊息肉(polyp)>10 mm(B)無症狀單顆膽結石>2 cm(C)急性無膽結石性膽囊炎(acute acalculous cholecystitis)(D)有症狀之膽結石(symptomatic cholelithiasis)
41.有關ansa cervicalis之敘述,何者錯誤? (A)分布於infrahyoid muscles(B)舌下神經(hypoglossal nerve)與第一、第二頸椎神經(C1,C2)anastomosis後形成(C)由下方進入sternocleidomastoid muscle(D)radical surgery可清除
42.38歲女性因尿毒症接受透析治療已有8年,於一年多前接受腎移植手術後情況良好,在例行檢查時發現血中intact parathyroid hormone(iPTH)濃度為205 pg/mL,血鈣為12 mg/dL,此時可診斷為:(A)原發性副甲狀腺機能亢進(primary hyperparathyroidism)(B)繼發性副甲狀腺機能亢進(secondary hyperparathyroidism)(C)三發性副甲狀腺機能亢進(tertiary hyperparathyroidism)(D)復發性副甲狀腺機能亢進(recurrent hyperparathyroidism)
43.分化良好的甲狀腺癌其頸部淋巴結轉移,依統計以那一區最常見及那一區最少見? (A)第一區(level I)及第二區(level II)(B)第三區(level III)及第四區(level IV)(C)第五區(level V)及第六區(level VI)(D)第六區(level VI)及第一區(level I)
44.王女士現年47歲,有乳癌的家族病史,最近接受衛生所安排乳癌篩檢。檢查後接到回信告知左側乳房有異常結果,邀請她到醫 院接受進一步檢查。王女士到外科門診,她和醫師對檢查結果提出相關問題討論,下列敘述何者錯誤?(A)乳房攝影檢查通常包含兩種檢視影像,其一為craniocaudal view,另一為mediolateral oblique view(B)數位式的乳房攝影相較傳統式的優點,主要是能加強判讀乳房緻密的年輕族群(C)乳房超音波檢查可以判斷病灶是否為實質性(solid)或囊狀性(cystic),也可以判斷病灶的外型,因此乳房超音波成為無症狀婦女篩檢乳癌的影像檢查首選(D)乳房磁振照影檢查則對乳房緻密的年輕患者評估病灶,如侵襲性小葉癌(invasive lobular carcinoma)的範圍很有助益
45.喉返神經(recurrent laryngeal nerve)受傷切斷時,何者錯誤? (A)聲帶麻痺,處於近中央位置(paramedian)(B)聲音沙啞(C)不宜縫補受傷之神經(D)環狀甲狀腺肌肉(cricothyroid muscle)不會麻痺
46.針對乳房的Mondor’s disease最佳的處置為何? (A)手術切除(B)放射線治療(C)荷爾蒙治療(D)支持性治療
47.35歲女性乳癌,接受乳房改良性根除性乳房切除術(modified radical mastectomy)後的病理報告為T1N2M0女性荷爾蒙接受器(estrogen receptor,ER) 陰性,黃體素荷爾蒙接受器(progesterone receptor,PR)陰性,HER-2/neu陽性,下列何者是最適合的治療?(A)不需治療(B)只需要放射線治療(C)只需要標靶治療(D)化學治療,標靶治療、放射線治療全部均需要
48.乳癌手術後,手臂內側感覺麻木乃因下列何種神經受到傷害? (A)胸背神經(thoracodorsal nerve)(B)肋間肱神經(intercostobrachial nerve)(C)長胸神經(long thoracic nerve)(D)肋間神經(intercostal nerve)
49.乳癌手術執行前哨淋巴結摘取術(sentinel node biopsy)的最重要目的為何? (A)預防乳癌再發(B)減少因全腋下淋巴結廓清術引起之併發症(C)美觀(D)乳房無法全切除手術才做
50.有一個十個月大的男嬰,持續有嘔吐及間歇性的哭鬧;醫師檢查後發現有腹脹並在右下腹有一可觸摸到的腫塊。最可能的診斷 是:(A)闌尾炎破裂形成腫塊(B)腸扭轉不全(malrotation)(C)腸套疊(intussusception)(D)糞便阻塞(stool impaction)
51.有關兒童腹股溝疝氣(inguinal hernia)的敘述,下列何者正確?①早產兒發生率較高 ②多為直接型疝氣(direct type) ③ 手術以疝氣袋高位結紮為主 ④手術年齡需大於一歲(A)②④(B)僅①③(C)①③④(D)①②③
52.關於總膽管囊腫(choledochal cyst)的敘述,下列何者錯誤? (A)女性的比例較高(B)手術的方法以囊腫全切除併Roux-en-Y膽管空腸吻合(C)很少有黃疸(jaundice)的現象(D)若不全切除囊腫,日後有惡性變化的可能
53.針對肛門灰形溼疣(condyloma acuminatum),目前最廣用且有效的治療方式為下列那一項? (A)CO2雷射(B)interferon-β的局部注射(C)podophyllin或dichloroacetic acid的局部腐蝕(D)局部切除加上電燒灼
54.關於人工肛門(ostomies)的敘述,何者錯誤? (A)人工肛門的位置對病人的生活品質很重要(B)人工肛門應被置於腹直肌內並且容易被肉眼所見及方便操作(C)人工肛門應避免被置於先前手術的疤痕處及骨頭凸出的位置(D)直腸癌的患者術後都需要永久性人工肛門
55.關於痔瘡(hemorrhoid)的敘述,何者錯誤? (A)痔瘡是肛門黏膜下的構造其中包含動靜脈及平滑肌等組織(B)在維持肛門括約方面扮演重要角色(C)痔瘡切除術可用在保守治療無效的病患(D)所有的痔瘡都需要手術治療
56.14歲男孩主訴於右大腿出現逐漸長大的腫瘤約一年。病史詢問發現局部有痛感,尤其久站後疼痛明顯,經診斷為肌肉內血管瘤 (intramuscular hemangioma)。有關診斷、預後及處置之敘述,下列何者最正確?(A)大部分腫瘤還會繼續增大造成肢體變形(B)往往需要手術切除以解決疼痛(C)可能發生遠處轉移(D)腫瘤越深層愈不易診斷,易誤判為惡性腫瘤
57.58歲女性病患,跌倒後導致右側遠端橈骨骨折(distal radius fracture),在急診室接受閉鎖式復位(closed reduction)後, 以X光檢查復位情形。下列何者不是遠端橈骨骨折復位後可接受的放射參數(radiographic parameters)?(A)患側的橈長(radial length)和健側相比,其差異在2mm以內(B)患側的關節內降差(intra-articular step-off)小於2mm(C)患側的背傾(dorsal tilt)角度為15度(D)患側的橈角(radial angle)和健側相比,其差異在5度以內
58.開放性骨折(open fracture)是骨科急症之一,下列敘述何者正確? (A)根據Gustilo-Anderson分類,開放性傷口小於1公分,同時沒有嚴重的軟組織傷害者,為 type III injury(B)所有的開放性骨折病患送至急診時,在完成初步傷口清洗後,骨科醫師應在第一時間在急診做傷口探查、清創及縫合;即便1小時內即可安排手術,也不可拖延到手術室後才行清創(C)傷口沖洗、清創及抗生素治療是預防開放性骨折後發生感染最重要的處理原則。若傷口清創不完全,靠大量抗生素的使用可完全避免感染的發生(D)對於type I及type II開放性骨折,在急診室時可選用第一代頭孢菌素(first-generation cephalosporins)治療;對於typeIII開放性骨折建議再加上氨基配醣體類抗生素(aminoglycosides)
59.35歲男性從高處跌落,造成背部嚴重疼痛及下肢無力,且從身體乳線(nipple line)以下有感覺異常情形。初步診斷為脊椎骨 折脊髓損傷。經理學檢查,此患者最可能的脊髓損傷部位?(A)第四胸椎(T4)(B)第八胸椎(T8)(C)第十胸椎(T10)(D)第十二胸椎(T12)
60.有關膝關節內之半月板(meniscus)的特性,下列何者錯誤? (A)它們協助承載體重,也增加了股骨脛骨間之吻合度(congruency)(B)提供膝關節本體位覺(proprioceptive)訊息,幫助關節之運動功能(C)通常內側半月板比起外側半月板較為彎曲,也覆蓋較大部分的脛骨平臺(tibial plateau)之面積(D)半月板(menisus)之white-white zone血液灌注差,破裂時即使加以縫合癒合能力亦很差
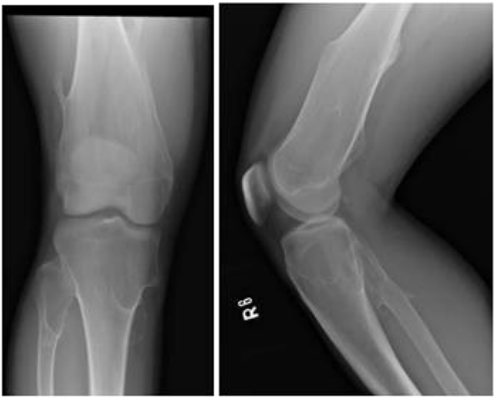
61.10歲男童從滑梯跌落以左膝著地,由於膝部疼痛腫脹,父母帶他來急診求診,並接受X光檢查,由此X光影像,顯示他發生了 何種的生長板傷害?
(A)Salter-Harris第一型(B)Salter-Harris第二型(C)Salter-Harris第三型(D)Salter-Harris第四型
62.45歲男性,5年前接受右側第四、五腰椎椎間盤突出切除手術,近一個月來,右側坐骨神經痛復發。初步診斷為椎間盤突出復 發或硬膜上神經粘黏。下列何項檢查,最能區別此兩者?(A)電腦斷層加顯影劑檢查(computed tomography with contrast enhancement)(B)電腦斷層加椎間盤造影檢查(computed tomographic discography)(C)電腦斷層加脊髓造影檢查(computed tomographic myelography)(D)磁振造影加顯影劑檢查(magnetic resonance imaging with gadolinium)
63.有關骨髓炎(osteomyelitis)的敘述,何者最正確? (A)成人骨髓炎最常見的原因是血行性感染(hematogenous infection)(B)當細菌在骨內形成菌落繁殖會破壞骨組織的血液循環,產生壞死,稱為包殼骨(involucrum)(C)慢性骨髓炎的病人,其血中白血球大多會超過 12000/mm
3
(D)對於靜脈注射毒癮者感染骨髓炎,優先考慮的致病菌種分別為金黃色葡萄球菌(Staphylococcus aureus),綠膿桿菌(Pseudomonas aeruginosa)和格蘭氏陰性菌(gram-negative organisms)
64.下列關於胱氨酸結石(cystine stone)的敘述,何者錯誤? (A)自體隱性遺傳(autosomal recessive)(B)發生率為 1~2%(C)預防結石生長及復發要酸化尿液(D)沒有已知的結石抑制因子
65.一位懷孕30週婦女有尿路結石過去病史,因左側腰痛至急診求診,腎臟超音波呈現左側腎臟水腫,醫師診斷為疑似左側輸尿管 結石,下列何者不是適當的處置?(A)體外震波碎石術(B)半身麻醉下施行輸尿管鏡碎石術(C)局部麻醉下施行經皮腎臟造瘻術(D)內視鏡置放輸尿管導管
66.關於高期別之非精細胞胚胎細胞癌(nonseminoma germ cell carcinoma),下列何者不是預測其化學治療之反應指標? (A)血清LDH(B)血清β-hCG(C)血清CEA(D)轉移部位總數
67.下列何者不是造成老年人夜尿症(nocturia)的原因? (A)睡眠呼吸中止症候群(sleep apnea syndrome)(B)逼尿肌活性過強(C)前列腺肥大症併膀胱出口阻塞(D)應力性尿失禁(stress urinary incontinence)
68.良性前列腺肥大手術的絕對適應症為何? (A)每晚夜尿7次,嚴重影響生活品質(B)急性尿滯留(C)因膀胱出口阻塞造成的兩側腎水腫(D)尿路感染
69.77歲中風病患,長期臥床且使用留置性導尿管。其看護發現尿液變臭且混濁持續三天,病患生命徵狀穩定,尿液檢查發現 WBC > 100/HPF,尿路培養為念珠球菌(Candida albicans),下列何項處置最不適當?(A)給予口服fluconazole(B)移除導尿管,改成每天定時間歇性清潔導尿(intermittent clean catheterization)(C)給予amphotericin-B膀胱連續沖洗(D)給予amphotericin-B靜脈注射
70.有關多囊腎(polycystic kidney)之敘述,下列何者錯誤? (A)於新生兒時期就診斷出來的,多是自體隱性(autosomal recessive)的多囊腎。自體顯性(autosomal dominant)的多囊腎則多在30到50歲才被確認(B)自體隱性多囊腎與第6對染色體上的PKHD1基因有關(C)自體顯性多囊腎與PKD1基因和PKD2基因有關,PKD
1
基因在第16對染色體,而PKD2基因在第4對染色體(D)有PKD2基因缺陷的病人,通常比有PKD1基因缺陷的病人惡化快速
71.下列敘述那些正確?①陰莖骨折(penile fracture)多發生在陰莖懸韌帶(suspensory ligament)遠側 ②陰莖骨折如果採取 保守治療會有10%以上發生勃起時陰莖彎曲(penile curvature) ③陰莖穿透傷(penetrating injury)要考慮做逆行性尿道攝影(retrograde urethrography) ④急診發現車禍受傷男性的尿道口有出血時,必須馬上放置導尿管治療(A)①②③(B)①②④(C)①③④(D)②③④
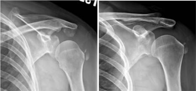
72.59歲女性一個月前跌倒後出現左肩疼痛的症狀,影響睡眠,肩關節X光檢查如附圖,最可能的診斷為何?
(A)avulsion fracture of greater tuberosity(B)calcified tendinosis(C)bone metastasis (D)primary osteoblastic bone tumor
73.51歲女性病人主訴右髖關節疼痛約3週,附圖為骨盆X光片,箭號所指處最可能的診斷為:
(A)fibrous dysplasia(B)bone metastasis(C)chondrosarcoma(D)osteosarcoma
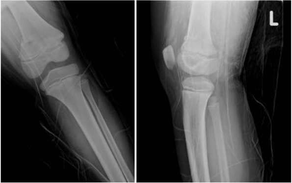
74.20歲男性,因右膝受傷接受X光攝影。附圖為X光攝影影像,最可能的診斷為何?
(A)fibrous dysplasia(B)hereditary multiple exostoses(C)osteogenic sarcoma(D)eosinophilic granuloma
75.一位男性病人腹壁疼痛去看門診,醫師說這是從腹直肌外側跑出來的疝氣,此種疝氣稱為? (A)Littre's hernia(B)Richter's hernia(C)Spigelian hernia(D)Obsturator hernia
76.一位50歲男性的卡車司機,因打瞌睡於高速公路追撞前方聯結車,卡在前座達20分鐘,到達急診時,血壓80/40 mmHg、意識 清楚但躁動不安、腹部脹大、左腿變形,下列何項敘述最不適當?(A)應立即進行腦部電腦斷層檢查(B)床邊腹部超音波可用於加速手術的決定(C)中心靜脈導管的放置不應拖延進手術室的時間(D)血氧飽和度92%可因為血壓低,故僅供參考
77.一輛學校校車和卡車對撞後,一位6歲小孩被送到急診室,這時小孩已生命垂危,但是二次施打周邊靜脈都失敗,此時最佳給 予輸液路徑為:(A)建立一個腹內導管(intraperitoneal catheter)(B)脛骨的骨內針置入術(intraosseous cannulation)(C)建立中心靜脈導管(D)繼續嘗試建立周邊的靜脈導管
78.尊重病人自主是醫學倫理的重要原則。何謂尊重病人自主? (A)醫院建立標準作業流程,確保病人在手術前一定要親筆簽署手術同意書,就是尊重病人自主(B)送到急診的頭部外傷病人,意識不清,在家屬沒有到院簽字前,絕對不可以進行手術,就是尊重自主(C)只要送進加護病房的病人,一律發給家屬病危通知書,好讓家屬預先做好心理準備以及相關生活規劃,就是尊重自主(D)以病人能了解的語言,主動告知病人相關病情資訊,確保病人理解醫療行為的相關風險與利益,協助病人做出一個符合其最佳利益的醫療決策,就是尊重自主
79.63歲的楊先生在車禍後送到急診,電腦斷層檢查為急性硬腦膜下出血,此時加護病房滿床,醫師檢視每一床的病歷,沒有找到 可以轉出加護病房的病患,醫師考慮把楊先生留在急診暫留區,但知道照顧楊先生不是暫留區醫護人力能夠負荷,目前附近也找不到其他機構可代為收治這種隨時可能要手術的神經外科病患;此時醫師應如何處理最適當?(A)將楊先生放在暫留區,也只能以現有的醫護人力照顧他(B)請院方向政府提出地區層次資源分配問題(C)聯絡值班行政人員,調度具相關能力的額外人員至急診給予楊先生暫時性照護(D)每個病人都有平等競爭有限資源的機會,讓楊先生與加護病房病人們抽籤,抽到一位轉出加護病房
80.安寧緩和醫療條例中,有關不施行心肺復甦術或維生醫療之規定,下列敘述何者錯誤? (A)應由二位領有執業執照之醫師診斷確為末期病人(B)應有意願人簽署之意願書(C)有意願人為未成年人簽署意願書時,應得其法定代理人之同意(D)有意願人為未成年人無法表達意願時,則應由法定代理人簽署意願書
申論題 (0)
相關試卷
115年 - 115-1 專技高考_醫師(二):醫學(五)(包括外科、骨科、泌尿科等科目及其相關臨床實例與醫學倫理)#137338
115年 · #137338
114年 - 114-2 專技高考_醫師(二):醫學(五)(包括外科、骨科、泌尿科等科目及其相關臨床實例與醫學倫理)#127923
114年 · #127923
114年 - 114-1 專技高考_醫師(二):醫學(五)(包括外科、骨科、泌尿科等科目及其相關臨床實例與醫學倫理)#125088
114年 · #125088
113年 - 113-2 專技高考_醫師(二):醫學(五)(包括外科、骨科、泌尿科等科目及其相關臨床實例與醫學倫理)#120655
113年 · #120655
113年 - 113-1 專技高考_醫師(二):醫學(五)(包括外科、骨科、泌尿科等科目及其相關臨床實例與醫學倫理)#118719
113年 · #118719
112年 - 112-2 專技高考_醫師(二):醫學(五)(包括外科、骨科、泌尿科等科目及其相關臨床實例與醫學倫理)#114977
112年 · #114977
112年 - 112-1 專技高考_醫師(二):醫學(五)(包括外科、骨科、泌尿科等科目及其相關臨床實例與醫學倫理)#113148
112年 · #113148
111年 - 111-2 專技高考_醫師(二):醫學(五)(包括外科、骨科、泌尿科等科目及其相關臨床實例與醫學倫理)#108727
111年 · #108727
111年 - 111-1 專技高考_醫師(二):醫學(五)(包括外科、骨科、泌尿科等科目及其相關臨床實例與醫學倫理)#106181
111年 · #106181
110年 - 110-2 專技高考_醫師(二):醫學(五)(包括外科、骨科、泌尿科等科目及其相關臨床實例與醫學倫理)#99917
110年 · #99917