所屬科目:醫學五:80題 ( 包括外科,骨科,泌尿科等科目及其相關臨床實例與醫學倫理 )
1.對於calcineurin inhibitors的敘述,下列何者正確? (A)tacrolimus(FK-506)和sirolimus都屬於calcineurin inhibitors,都作用在FK binding protein之上 (B)cyclosporine會有禿頭(alopecia)和牙齦增生(gingival hypertrophy)的副作用 (C)FK-506所引起的糖尿病有時候會在停藥之後恢復 (D)FK-506和cyclosporine都屬於腎臟移植術後用藥,不會有腎毒性的副作用
2.外傷病人的眼睛受痛刺激時會睜開,對刺激無言語反應(no response),對痛的刺激只有退縮反應 (withdrawal)。昏迷指數(Glasgow coma scale, GCS)為何? (A)8 (B)9 (C)10 (D)7
3.下列與大量輸血相關的敘述,何者錯誤? (A)大量輸血時,常規性給予碳酸氫鹽(bicarbonate)可以防止輸血後鹼中毒(alkalosis) (B)檸檬酸鹽血液製品(citrated blood products)的大量輸血,會導致鈣離子濃度短暫下降 (C)大量輸血後會發生稀釋性血小板減少症(thrombocytopenia) (D)使用非新鮮的血液製品大量輸血時,有可能發生高鉀血症(hyperkalemia)
4.下列有關營養補充的敘述,何者錯誤? (A)腸胃道有功能時應儘可能使用腸道餵食(enteral feeding) (B)從鼻胃管餵食時,為了防止餵食物反流和吸入,病人上半身應保持在90° 的坐姿 (C)最常做的鼻胃管灌食是在開始時以10至20 毫升/小時灌食,每4至6小時檢查胃殘留量,再決定是否增加灌 食量 (D)使用胃造瘻或空腸造瘻灌食的病人,可能會有肉芽組織在造瘻處過度積聚的情形
5.Pilocytic astrocytoma屬於WHO classification system of glioma中的: (A)Grade 1 (B)Grade 2 (C)Grade 3 (D)Grade 4
6.下列關於原發性腦瘤(primary brain tumor)的敘述,何者錯誤? (A)glioma中,惡性度最高的是glioblastoma multiforme(GBM) (B)ependymoma好發於老年人 (C)medulloblastoma是孩童primary brain tumor最常見的種類 (D)medulloblastoma可能隨著CSF轉移至中樞神經系統的其他位置
7.下列關於腰椎椎間盤突出(HIVD)的敘述,何者正確? (A)發生位置多在椎間盤的後外側(posterolateral) (B)最常見的發生部位為腰椎第1-2節(L1-2)的椎間盤 (C)位於腰椎第4-5節(L4-5)發生的 HIVD 通常會壓迫L4的神經根(nerve root) (D)所有的HIVD都一定需要手術處理
8.下列有關脊髓空洞症(syringomyelia)的敘述,何者錯誤? (A)症狀類似中央脊髓症候群(central cord syndrome) (B)感覺喪失以本體感覺(proprioceptive)為主,痛及觸覺正常 (C)上肢較下肢無力 (D)核磁共振掃描(MRI)是檢查選擇之一
9.最常見的單一顱骨縫合過早(single-suture craniosynostosis)是何種? (A)冠狀縫(coronal) (B)人字縫(lambdoid) (C)矢狀縫(sagittal) (D)蝶顳縫(sphenozygomatic)
10.關於下圖類型的病人,下列敘述那些是正確的?①約5000個活嬰可能會出現一個②可能有14%的病人伴隨 其他先天性的畸型③病人後續的照顧需要多科專業的合作,包含整形外科、耳鼻喉科、小兒科、牙科、口腔外科、語言師、營養師、精神科醫師、社工等 ④通常建議嘴唇在3個月修復,上顎於12個月修復⑤若伴隨小耳症或耳朵缺失建議在7歲左右開始重建 (A)①②③④(B)②③④⑤(C)①③⑤(D)①④⑤
11.軸式皮瓣(axial pattern flap)的血液循環來自: (A)皮動脈及靜脈(cutaneous artery and vein) (B)只靠組織液之滲透供應其所需之營養 (C)靠肌肉之血管(myocutaneous perforators) (D)只靠真皮之微血管(subdermal plexus)
12.關於臉部縫合技巧與如何減少疤痕增生之敘述,下列何者錯誤? (A)臉部皮膚之切口(incision)須經詳細計畫與設計,不可任意切割傷口 (B)臉部皮膚之切口須與皮膚鬆弛線(relax skin tension line)儘量平行 (C)臉部皮膚之切口須儘量與皺紋方向垂直切開 (D)臉部傷口之縫合需消除皮下死腔(dead space),使用較細之縫線縫合傷口
13.下列有關靜脈竇型(sinus venosus)心房中隔缺損(atrial septal defect,ASD)之敍述,何者錯誤? (A)常合併肺靜脈回流異常 (B)缺損的位置,有時是在心房中隔底部接近下腔靜脈開口 (C)手術修補時,一般需使用布塊(patch)修補 (D)可以使用導管手術來關閉缺損
14.下列關於心臟瓣膜置換手術中,置換瓣膜(prosthetic valve)的選擇,何者正確?①計畫生育之年輕女性患者 可選擇機械型瓣膜(mechanical prosthesis) ②年齡大於70歲患者可選擇生物組織型瓣膜(bioprosthesis) ③血友病患者可選擇機械型瓣膜 ④尿毒症患者且須長期血液透析,可選擇組織型瓣膜 (A)①②③ (B)僅①③ (C)②④ (D)僅④
16.下列有關冠狀動脈疾病病人之處置,何者錯誤? (A)三條冠狀動脈疾病之糖尿病病人接受冠狀動脈繞道手術,比接受支架置放術具有較好的長期存活 (B)多條血管冠狀動脈疾病病人的治療方面,經皮冠狀動脈處置(percutaneous coronary intervention)與冠狀 動脈繞道手術皆比藥物治療有顯著的生存利益 (C)高嚴重性冠狀動脈疾病病人若以經皮冠狀動脈處置治療,其再處置率較接受冠狀動脈繞道手術者為高 (D)具有高風險的特徵(例如:糖尿病、左心室功能異常、腎功能異常、年老、慢性肺病、周邊動脈疾病)的多 條血管冠狀動脈疾病病人接受冠狀動脈繞道手術比接受經皮冠狀動脈處置具有較差的長期存活率
17.下列有關胸腺瘤(thymoma)之Masaoka staging之敘述,何者錯誤? (A)Stage IVa:胸腔外轉移 (B)Stage I:腫瘤之capsule完整,無capsule invasion (C)Stage II為capsule invasion (D)Masaoka Stage III為macroscopic invasion至周圍的器官,如心包膜、大血管或肺
18.氣管分岔處(carina)在胸部 X 光所在的高度約相應於脊椎那一個部位? (A)C6 (B)T1-2 (C)T4-5 (D)L2-3
19.有關肺癌的描述,下列何者正確?①adenocarcinoma是最常見的細胞型 ②squamous cell carcinoma 的發生 與抽菸最有關聯 ③squamous cell carcinoma常位於靠近肺門中央的位置 ④小細胞肺癌常可以經由手術切 除得到治療 (A)①③④ (B)①②③ (C)①②④ (D)②③④
20.對於胃食道逆流疾病(gastroesophageal reflux disease)的外科手術適應症,何者錯誤? (A)以proton pump inhibitor(PPI)治療無效的病人 (B)預期proton pump inhibitor(PPI)治療會超過 5 年的病人 (C)病人合併有嚴重ulcer (D)病人有Barrett's mucosa
21.關於胸腺瘤的敘述,下列何者錯誤? (A)前上縱隔腔最常見的縱隔腔腫瘤 (B)第二期的胸腺瘤開刀切除後,常須加上放射治療 (C)cisplatin 的化療效果對其治療效果不佳 (D)大部分重肌無力症(myasthenia gravis)無合併胸腺瘤
22.一位63歲男性到門診主訴發現皮膚泛黃已三週,尿液呈深褐色,最近有灰白色大便,無腹部疼痛及不適,食 慾稍差。下列何種檢查能快速做鑑別診斷? (A)抽血驗B型、C型肝炎 (B)測血中總膽紅素/直接型膽紅素指數 (C)腹部超音波檢查 (D)腹部電腦斷層檢查
23.下圖是一位肝癌病人的電腦斷層攝影,根據Couinaud等所提出,依照門脈分枝的肝臟解剖學分葉,則腫瘤位 於肝臟的那一個小葉? (A)第Ⅱ分葉 (B)第Ⅳ分葉 (C)第Ⅵ分葉 (D)第Ⅷ分葉
24.下列有關疝氣(hernia)的敘述,何者錯誤? (A)75%的疝氣發生在腹股溝區域(inguinal region) (B)以腹股溝疝氣(inguinal hernia)而言,三分之二屬於間接型疝氣(indirect hernia) (C)以腹股溝疝氣發生率而言,女性多於男性 (D)以股疝氣(femoral hernia)發生率而言,女性多於男性
25.下列有關急性腹症(acute abdomen)之敘述,何者錯誤? (A)身體檢查發現肚臍周圍瘀青(periumbilical bruising)稱為Courvoisier’s sign (B)急性膽囊炎(acute cholecystitis)之轉移痛 (referred pain)會轉移至右胸 (C)消化性潰瘍穿孔(perforated peptic ulcer)之轉移痛 (referred pain)會轉移至右側腰部 (D)mesenteric thrombosis or embolism引起之急性腹症需立刻施行手術
26.影響胃排空(gastric empty)速率的因素,下列何者錯誤? (A)熱量含量 (B)營養成分 (C)鹽分含量 (D)食物固態或液態
27.關於嚴重 diabetic gastroparesis 的手術治療方式,下列何者最不適當? (A)胃切除 (B)胃造口 (C)空腸造口 (D)胰臟移植
28.下列有關胃腸間質瘤(gastrointestinal stromal tumors,GIST)之敘述,何者正確? (A)發生部位以大腸的比率最高,迴腸其次,胃最少見 (B)約80%的胃腸間質瘤會表現k-ras抗原 (C)約40%的胃腸間質瘤在診斷時已經有淋巴腺轉移 (D)對於轉移或無法手術切除的胃腸間質瘤,使用imatinib mesylate標靶治療的效果良好
29.一名84歲男性,因四天未解,出現腹脹、陣發性腹痛等症而被送到急診。病患先前有慢性便秘病史,沒 有接受過腹部手術,腹部X光檢查可看到明顯脹大之乙狀結腸,有bent inner tube sign。生命徵象穩定,理學 檢查腹部有輕微壓痛,但無腹膜炎症狀,無腹股溝疝氣,下列初步處置何者最?想? (A)立即剖腹探查 (B)胃鏡檢查 (C)乙狀結腸鏡檢查並減壓 (D)腹部超音波檢查
30.52歲女性病人診斷有甲狀腺乳突癌(papillary carcinoma),術前臨床分期為T3N1aMx,下列何種術式為最 佳選擇? (A)甲狀腺全切除術 (B)甲狀腺全切除術及頸部第六區淋巴廓清術 (C)甲狀腺全切除術及頸部第四、五、六區淋巴廓清術 (D)甲狀腺全切除術及頸部第二、三、四、五、六區淋巴廓清術
31.下列何者不是因胚胎發育異常造成的甲狀腺組織位置變異? (A)舌後甲狀腺(lingual thyroid) (B)異位性甲狀腺(ectopic thyroid) (C)迷路甲狀腺(lateral aberrant thyroid) (D)甲狀腺舌骨囊腫(thyroglossal duct cyst)
32.下列有關甲狀腺舌管囊腫(thyroglossal duct cyst)之敘述,何者錯誤? (A)生長在頸部中央 (B)不會發生乳突癌 (C)有時會有細菌感染 (D)手術時要將舌骨中央切除
33.下列有關乳房 MRI 檢查之敘述,何者錯誤? (A)對於ductal carcinoma in situ(DCIS)之敏感度 ( sensitivity ) 可達 90% (B)特異性 ( specificity) 屬中等 ( moderate ) 而已 (C)對於occult breast cancer之病人為相當有用的檢查 (D)對於高風險 ( high risk ) 病人可作為篩檢 ( screening ) 檢查 (E)一律給分
34.乳癌病患接受改良式根治性乳房切除術(modified radical mastectomy)後,發生肩胛畸形(winged scapula deformity),表示下列何神經受損? (A)胸背神經(thoracodorsal nerve) (B)長胸神經(long thoracic nerve) (C)內胸神經(medial pectoral nerve) (D)肋間臂神經(intercostal brachial nerve)
35.乳房X光攝影之篩檢報告為breast imaging reporting and data system(BI-RADS)category 0,下列的處置何 者最適當? (A)一年後再追蹤 (B)直接手術切片 (C)細胞針刺檢查 (D)加做乳房超音波
36.有關乳癌危險因子之敘述,下列何者錯誤? (A)母親或姊妹曾患乳癌者,罹患危險性較高 (B)家族史或個人病史有子宮頸癌者,罹患危險性較高 (C)家族史或個人病史有卵巢癌者,罹患危險性較高 (D)初經早或停經晚者罹患危險性較高
37.有關食道閉鎖(esophageal atresia)常合併的畸型,下列何者錯誤? (A)肛門直腸異常(anorectal malformation) (B)腎臟及橈骨異常(renal or radius malformation) (C)小腸閉鎖(intestinal atresia) (D)脊柱缺損(vertebral defects)
38.一個三週大的男嬰,因嘔吐而做了一些檢查;下列檢查結果,何者會發生在嬰兒型幽門肥厚狹窄(infantile hypertrophic pyloric stenosis)①腹部X光影像顯示有“double-bubble sign” ②腹部超音波發現胃幽門肌肉 的厚度超過 0.4公分 ③上消化道攝影(upper GI series)有string sign ④上腹部摸到一個像橄欖的腫塊 (olive mass) (A)①③④ (B)①②④ (C)②③④ (D)僅①③
39.在 HNPCC(hereditary nonpolyposis colorectal cancer)患者中,最常見的腸道外腫瘤為何? (A)膀胱癌 (B)胃癌 (C)子宮內膜癌 (D)卵巢癌
40.有關大腸pseudo-obstruction的描述,下列何者錯誤? (A)又稱為Ogilvie’s syndrome,是在西元1948被提出的診斷 (B)臨床上常見的大腸pseudo-obstruction原因以secondary為主,主要和合併使用嗎啡類止痛藥、甲狀腺機能異 常、糖尿病、腎毒症等因素有關 (C)治療方式可以考慮利用大腸鏡做診斷和減壓,不過要小心慎選病患,若懷疑大腸壞死就不可以施行 (D)藥物治療可以考慮neostigmine,不過要小心病患施打藥物後會有bradycardia,需要仔細觀察心率變化,和 準備dopamine作為緊急解毒劑
41.關於抑癌基因APC gene(adenomatous polyposis coli gene)的敘述,何者錯誤? (A)只要APC gene突變就能產生大腸直腸癌 (B)是家族性大腸息肉症的成因 (C)是顯性遺傳 (D)家族性大腸息肉症是大腸直腸癌的高危險群
42.下列有關superior mesenteric artery(SMA)syndrome的敘述,何者錯誤? (A)又名Wilkie’s syndrome (B)指duodenum 3rd portion被SMA壓迫 (C)較易發生於年輕女性 (D)較易發生於肥胖者
43.下列何者是最可能的原因?(A)肺炎(pneumonia)(B)吻合處滲漏(anastomotic site leakage)(C)肺部膨脹不全(lung atelectasis)(D)傷口感染(surgical wound infection)
44.下列何者是最合適的處理方法? (A)做血液培養後給予廣效型抗生素 (B)馬上進行剖腹探查去修補破洞 (C)請病患深呼吸,並加強拍痰和咳痰 (D)把傷口打開清創
45.病患經過處理之後狀況逐漸改善,不幸的是,在術後五天之後又再度高燒不退,下列處置何者錯誤? (A)血球檢查、胸部X光、尿液分析和血液培養 (B)若懷疑是導管相關感染,拔掉導管同時並給予vancomycin 或是linezolid (C)假如懷疑是心內膜炎(endocarditis),至少要給予抗生素四到六週 (D)若是嚴重的敗血症或是免疫抑制(immunosuppression)的病人,抗生素藥效須涵蓋gram-positive cocci和 fungus
46.林同學可能診斷為何?(A)高血壓腦出血(hypertensive intracranial hemorrhage)(B)蜘蛛膜下腔出血(subarachnoid hemorrhage)(C)動靜脈畸形破裂出血(arteriovenous malformation rupture)(D)類澱粉血管病變(amyloid angiopathy)
47.下列何項評估最能預測林同學的預後? (A)Spetzler-Martin grading system (B)Hunt-Hess scale (C)Fischer scale (D)World Federation of Neurosurgical Societies classification
48.若林同學病灶大小為4公分,下列何項處置最為適當? (A)立體定位放射手術(stereotactic radiosurgery) (B)放射線治療(radiotherapy) (C)僅以血管栓塞治療(endovascular embolization)即可 (D)手術完全切除
50.承上題,依Parkland formula,下列敘述何者正確? (A)輸液前8小時給crystalloid溶液4320 mL (B)輸液前12小時給crystalloid溶液4320 mL (C)輸液前8小時給crystalloid溶液2160 mL (D)輸液前12小時給crystalloid溶液2160 mL
51.承上題,若依Curreri formula,則病人一天所需的能量為多少Kcal? (A)1500 kcal (B)1860 kcal (C)2220 kcal (D)3000 kcal
52 (A)急性膽囊炎 (B)急性肝炎 (C)膽囊破裂 (D)十二指腸潰瘍穿孔
53.承上題,何種簡單檢查,即可做診斷? (A)口服水溶劑對比劑檢查(oral water soluble contrast medium study) (B)內視鏡檢查 (C)腹部超音波 (D)胸部X光檢查
54 (A)胎便栓塞症候群(meconium plug syndrome) (B)細小左結腸症(small left colon syndrome) (C)巨結腸症(Hirschsprung's disease) (D)直腸閉鎖症(rectal atresia)
55.承上題,上述疾病的手術治療方法,下列何者錯誤? (A)Soave氏法 (B)Ramstedt氏法 (C)Duhamel氏法 (D)Swenson氏法
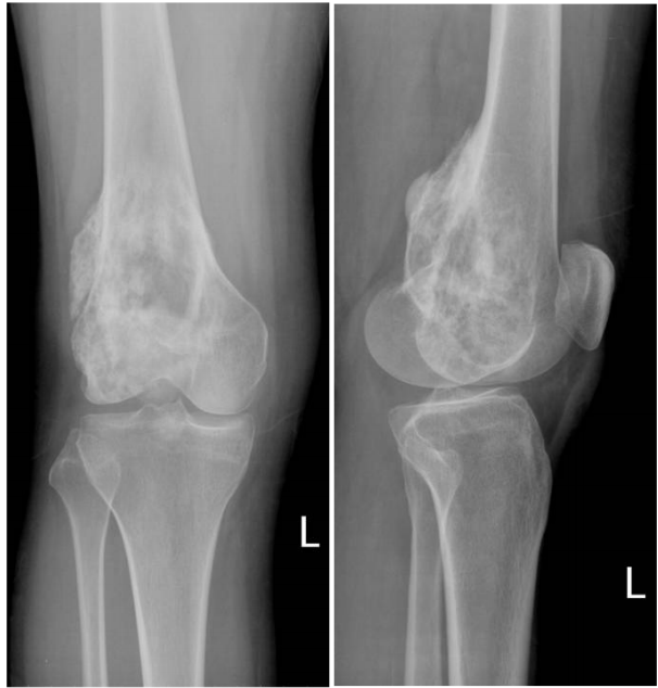
56.一位22歲女性抱怨左膝疼痛3個月,問診時發現夜間疼痛加劇。身體檢查發現明顯局部壓痛,觸診時發現有組 織腫塊。膝部X光片如下,此病患最有可能的診斷為: (A)單純性骨囊腫(simple bone cyst) (B)骨肉瘤(osteosarcoma) (C)纖維性發育不全(fibrous dysplasia) (D)骨軟骨瘤(osteochondroma)
57.關於遠端肱骨骨折(distal humeral fracture)之敘述,下列何者錯誤? (A)健康成年人的移位性遠端肱骨的關節內骨折(displaced distal humeral intra-articular fracture)採用保守治 療,其功能預後(functional outcome)不佳,故目前多建議手術治療 (B)若使用後側入路(posterior approach)進行手術治療時,不需例行性地找出並保護尺神經(ulnar nerve) (C)對於較複雜的骨折,除了使用X光檢查之外,可輔以三度空間重建的電腦斷層掃描(computerized tomography with three-dimensional reconstruction)協助判讀骨折型態 (D)對健康情況不良的老年人而言,若對於肘關節的功能需求不高時,則不論其遠端肱骨骨折的型態為何,皆可 考慮保守治療
58.有關痙攣雙下肢型(spastic diplegia)腦性麻痺(cerebral palsy)之敘述,下列何者錯誤? (A)大部分病童能走路 (B)通常較晚才開始走路 (C)若到7歲還不能走路,則日後能走路的機會變少 (D)智能發展遲緩常會影響走路的能力
59.50歲的男性,有肝癌病史。約在兩天前,突然發生嚴重的背痛且無法行走,磁振造影(MRI)檢查顯示在第十 二胸椎出現腫瘤轉移,且有嚴重神經壓迫情形。病患亦被醫師告知有馬尾症候群(cauda equina syndrome)。下列何者不是馬尾症候群的典型症狀? (A)大小便失禁或滯留 (B)下肢深層肌腱反射(deep tendon reflex)增強 (C)肛門周圍麻木 (D)下肢無力
60.關於脊椎的爆裂性骨折(burst fracture)之敘述,下列何者正確? (A)發生機轉與脊椎的Chance氏骨折相同 (B)容易發生在骨質疏鬆症的病人 (C)脊椎體塌陷大於50%為不穩定骨折 (D)與脊椎的壓迫性骨折(compression fracture)相比,較少發生神經損傷 .
61.有關急性肌腔室症候群(acute compartment syndrome)之敘述,下列何者錯誤? (A)組織缺血(ischemia)常導致疼痛 (B)施與被動式伸展時會疼痛(pain on passive stretch)與休息時會疼痛(rest pain)對診斷之敏感性 (sensitivity)及特異性(specificity)差不多 (C)神經缺血(ischemia)常導致感覺異常(paresthesia)及感覺遲鈍(hypoesthesia) (D)如果發現周邊脈搏(peripheral pulse)還存在,幾乎可以排除其可能性
62.一位50歲左右的男性,雙手因無名指、小指屈曲攣縮影響功能來求診,手掌可摸到纖維性索條(fibrous cord)及變厚的皮膚,但無麻痺現象,下列何者正確? (A)可能是正中神經麻痺(median nerve palsy) (B)手術無法治癒 (C)好發於女性 (D)可能是尺神經麻痺(ulnar nerve palsy)
63.有關各種抗生素作用機轉的敘述,下列何者正確? (A)cephalosporins是抑制細菌細胞壁的合成與發展 (B)vancomycin是抑制細菌蛋白質的合成 (C)rifampin是抑制細菌去氧核醣核酸(DNA)的合成 (D)quinolones是抑制細菌核糖核酸(RNA)的合成
64.Penicillamine常用來治療下列何種結石? (A)草酸鈣結石(calcium oxalate stone) (B)尿酸結石(uric acid stone) (C)腎石灰沈著症(nephrocalcinosis) (D)胱氨酸結石(cystine stone)
65.前列腺特定抗原(PSA)在不同的年齡層,有不一樣的正常值範圍,下列敘述何者錯誤? (A)40~49歲,PSA正常值範圍是0.0~2.5 ng/mL (B)50~59歲,PSA正常值範圍是0.0~4.0 ng/mL (C)60~69歲,PSA正常值範圍是0.0~4.5 ng/mL (D)70~79歲,PSA正常值範圍是0.0~6.5 ng/mL
66.下列何種癌症基因與「侵犯型」膀胱癌較無關連? (A)p16 (B)p21 (C)p53 (D)Rb gene
67.下列有關前列腺癌之敘述,何者錯誤? (A)多攝食含lycopene、selenium、Omega-3 fatty acid及vitamin E的食物,具有保護作用,比較不會產生前列 腺癌 (B)增加動物性脂肪或紅色肉類的攝取量會增加前列腺癌之發生 (C)增加vitamin D及鈣之攝取會減低前列腺癌之發生 (D)多吃魚肉或植物性食物可以減低前列腺癌發生
68.下列有關良性前列腺肥大接受經尿道前列腺切除手術治療,產生TUR syndrome的敘述,何者錯誤? (A)病人會有nausea、vomiting、confusion、 hypertension、bradycardia、visual disturbance等症狀 (B)主要是因手術時間太久,病人吸收太多之hypotonic irrigation solution所致 (C)治療方法是應立即停止手術,給予病人利尿劑、normal saline或 hypertonic saline (D)TUR syndrome發生時,病人正處於hypervolemic及hypernatremic狀態
69.有關生殖內分泌的描述,下列何者為非? (A)男性荷爾蒙是由Leydig cells所分泌 (B)男性荷爾蒙的分泌是受濾泡刺激激素FSH(follicle stimulating hormone)調控 (C)腦下垂體性腺激素(pituitary gonadotropins)的分泌是受GnRH(gonadotropin releasing hormone)的調 控 (D)腦下垂體性腺激素的分泌也受男性荷爾蒙的負迴饋控制
70.有關成人型多囊腎(adult polycystic kidney)的敘述,下列何者錯誤? (A)是末期腎衰竭的原因之一 (B)經常合併有肝囊腫(hepatic cysts) (C)症狀常在30至50歲之間才變得明顯 (D)多數病人屬於退化性疾病,與遺傳無關
71.一位30歲無精蟲的病人,兩側睪丸長徑約1 cm,血清中FSH、LH及testosterone都低於正常值,則最適當的 檢查或治療為何? (A)卵細胞質內精蟲注射(ICSI) (B)先做睪丸切片看有無精蟲 (C)HCG + recombinant FSH注射治療 (D)testosterone補充療法
72.病人主訴右下腹逐漸悶痛、腹脹、反胃一整天。腹部電腦斷層檢查呈現如附圖。箭號所指之異常最符合下列 那一項初診斷? (A)cecal diverticulitis (B)acute appendicitis (C)mesenteric adenitis (D)colon cancer
73.65歲林先生,近日來感覺疲倦、食慾減退、皮膚發黃。血液檢查肝功能異常、CA-199值升高。醫師為他做CT 檢查,影像如圖示。林先生最可能患了什麼病? (A)肝內膽管癌(intrahepatic cholangiocarcinoma) (B)肝細胞癌(hepatocellular carcinoma) (C)胃癌(gastric cancer) (D)胰臟頭癌(pancreatic head cancer)
74.15歲男生因鼠蹊部疼痛跛行而求診,其青蛙姿勢X光如圖示,則最可能診斷為何? (A)肌肉拉傷 (B)股骨頭近端生長板滑脫症 (C)腹股溝疝氣 (D)外陰部挫傷
75.一位70歲老先生沒繫妥安全帶,開小轎車撞上電線桿,顏面直接撞擊前面擋風玻璃,到達急診時顏面嚴重腫 脹,口腔內有血絲,主訴頭部疼痛,下列敘述何者錯誤? (A)治療老年外傷的傷患,病患的評估順序與一般外傷病患相同 (B)老年人如有頭部外傷,症狀常延遲出現 (C)隨著年齡增加,老年人的生理代償功能降低 (D)老年人外傷的預後,與罹患之慢性病無關
76.當你接收到一位嚴重創傷已插有氣管內管插管(endotracheal tube)的轉診病人時,於下列所有情況都需懷 疑有氣管插管誤入食道(esophageal intubation),那項除外? (A)end-tidal CO2值近乎零 (B)擠甦醒球(bag-valve-mask)時聽不到呼吸聲 (C)聽得見胃有雜聲(borborygmus) (D)可見到氣管內管內有霧氣進出
77.一位4歲女童被時速60公里機車撞擊,摔離5公尺之遠,送到急診時主訴腹痛,血壓68/40 mmHg,心跳每分鐘200下,女童體重20公斤,何種輸液最恰當? (A)生理食鹽水800 ml加上400 ml全血 (B)生理食鹽水800 ml加上200 ml全血 (C)生理食鹽水200 ml重複3次,加上100 ml全血 (D)生理食鹽水400 ml重複3次,加上200 ml全血
78.小玉是17歲女學生,與已離婚的媽媽同住,親子關係良好。不幸地家裡發生火災,小玉因為逃生不及,被消 防員救出時,全身皮膚有90%的燒燙傷,她媽媽傷心欲絕,在燒傷加護病房外等候,經歷3次清創,看到女兒 全身包裹紗布處在鎮靜止痛的無意識狀態,主治醫師向她說明這麼大面積燒傷的感染與敗血症機會及死亡率 很高。第4次要再進手術房清創時,媽媽拒絕進一步手術治療,因為她說女兒最愛漂亮,如果看到自己現在的 樣子,一定寧可死了算了,於是簽署DNR(不予急救)。下列處置何者不恰當? (A)應評估小玉行為能力,若判定有行為能力,則不能因應母親要求不予急救 (B)不論決策者為媽媽或是小玉本人,都應考量此決策是否符合小玉之最大醫療利益 (C)因為小玉沒有完全行為能力,可由媽媽決定不予急救 (D)持續地與小玉媽媽溝通,確認她了解不予急救的意涵與可能後果
79.下列何者不是構成知情同意(informed consent)的要素? (A)隱私(privacy) (B)告知(disclosure) (C)決定能力(capacity) (D)自願(voluntariness)
80.一位65歲女性病患因為血便,到胃腸科門診求診。經問診及理學檢查後,醫師建議進行大腸鏡檢查,也告知 大腸鏡檢查的相關風險,經病患同意後進行大腸鏡檢查。大腸鏡發現乙狀結腸處有1.5公分大小瘜肉,黏膜呈 不規則狀,有接觸性出血,懷疑可能為大腸癌。醫師當場切除該大型瘜肉,並在切除處用金屬夾,做出血或 穿孔的預防性處理,手術進行順利。病患回家後,隔天開始覺得腹痛、胃口變差、噁心感。到急診就醫,發 現大腸穿孔。下列關於醫師是否有醫療過失的相關敘述,何者最為正確? (A)該醫師僅告知大腸鏡檢查的相關風險,並未告知大腸瘜肉切除的相關風險,已經明顯違反了醫師的告知義務 (B)大腸鏡檢查以及大腸鏡合併瘜肉切除術,兩者本來都有大腸穿孔之相關風險,兩者風險種類一致,因此無需 再特別告知大腸穿孔之風險 (C)大腸鏡檢查與大腸合併瘜肉切除術,都一樣有大腸穿孔之風險,但兩者風險程度有別,如果大腸鏡檢查前, 可以分別告知不同的風險會比較妥當,但是否有違反告知義務,應該具體檢視個案相關事實加以認定 (D)該大腸瘜肉切除術,係有利於病患的最佳利益,可以直接加以切除,無需病患同意