所屬科目:牙醫學(三)(包括齒內治療學、牙體復形學、牙周病學等科目及其相關臨床實例與醫學倫理)
5.52歲男性患者自述右上第一大臼齒頰側牙齦反覆腫脹已經持續1個月,臨床檢查發現患齒頰側牙齦有明顯的腫 脹(swelling)並有輕微的觸痛感,此外在附連牙齦(attached gingiva)有竇管(sinus tract)出現,同時患 齒咬合面有明顯磨耗現象,於近心頰側牙根的頰側與舌側均有深且窄(8~10 mm)的牙周囊袋,並有敲痛與 咬痛的問題,放射線學檢查結果如下圖所示。則患齒的問題最有可能是下列何者所引起?
(A)慢性根尖周圍炎(chronic apical periodontitis) (B)牙根穿孔(root perforation) (C)垂直牙根斷裂(vertical root fracture) (D)側邊牙周囊腫(lateral periodontal cyst)
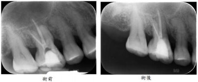
18.下圖為右側上顎第一大臼齒手術前與手術後的X光片,則其所接受的治療術式為何? (A)根尖切除術(apicoectomy) (B)半切斷術(hemisection) (C)牙根切斷術(root amputation) (D)蓄意再植術(intentional replantation)
25.10歲男童因左上顎小臼齒區腭側牙齦腫脹1週而來求診,臨床檢查發現第一小臼齒對冷刺激有感覺,但第二 小臼齒對冷刺激沒有反應,電髓活性檢查(electric pulp test)時小臼齒都有輕微的酸痛感,腭側觸診檢查時 兩顆小臼齒皆有明顯不適,敲診檢查發現第一小臼齒有輕微不適感,而第二小臼齒有明顯的敲痛症狀,患齒 的臨床影像紀錄與放射線學檢查結果如下圖所示。則下列診斷何者最有可能?
(A)第一小臼齒慢性根尖膿腫(chronic apical abscess) (B)第二小臼齒慢性根尖膿腫(chronic apical abscess) (C)第一小臼齒急性根尖膿腫(acute apical abscess) (D)第二小臼齒急性根尖膿腫(acute apical abscess)
41.如下圖,用於移除多餘銀汞合金充填材料的手持器械(hand instrument)為何? (A)hoe (B)gingival margin trimmer (C)amalgam knife (D)enamel hatchet
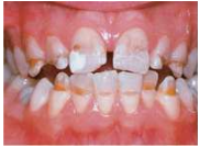
47.改善牙釉質發育不全(enamel hypoplasia)(如附圖)的美觀問題,下列治療計畫何者最恰當? (A)輕微磨除(microabrasion) (B)深度磨除(macroabrasion) (C)活性漂白(vital bleaching) (D)陶瓷貼面(porcelain veneers)