所屬科目:醫學六:80題 ( 包括麻醉科,眼科,耳鼻喉科,婦產科,復健科等科目及其及相關臨床實例與醫學倫理 )
28.25歲婦女,有兩胎經陰道生產的產科史,第二胎由於巨嬰及產程遲滯藉由產鉗娩出,生產時有會陰四度撕裂 傷但立即做修補手術,術後卻發生會陰傷口感染的情況。會陰傷口感染改善後,患者常覺得有黃色屎狀分泌 物經由陰道排出,而且放屁時無法控制,常會感覺有氣體由陰道排出之情形。理學檢查施行陰道肛門指診 時,發現如圖所示之情形,依據圖示此患者最適合之診斷為:
(A)膀胱陰道瘻管(vesicovaginal fistula) (B)尿道陰道瘻管(urethrovaginal fistula) (C)直腸陰道瘻管(rectovaginal fistula) (D)子宮膀胱瘻管(uterovesical fistula)
29.子宮內膜會受荷爾蒙之影響而於超音波掃描下有所變化,下圖中那個超音波圖形,其內膜之變化顯示患者目 前之生理情況,最接近於排卵日?
(A) (B) (C)
(D)
31.32歲女性,主訴近年來經痛越來越嚴重,並有性交疼痛及非經期的腹痛。超音波的檢查如圖所示。下列何者 對於確認診斷最有幫助?
(A)腹腔鏡 (B)比較經期中與非經期的血中CA-125濃度 (C)詳細的病史及理學檢查 (D)子宮輸卵管攝影
37.35歲孕婦經轉診至門診,G2P0AA1,無家族病史,目前妊娠22週。該孕婦於產前超音波檢查時,結果如圖 所示,該異常特徵(sign)為何?
(A) double bubble sign (B) banana sign (C) keyhole sign (D) lemon sign
72.57歲女士主訴下樓梯時,突然左腳後跟劇烈疼痛,隔天至骨科門診,接受腳後跟超音波檢查矢狀切面如圖, 最可能之診斷為何?
(A)Achilles tendinitis (B)Achilles tendon fibroma (C)Achilles tendon rupture (D)retro-calcaneal bursitis
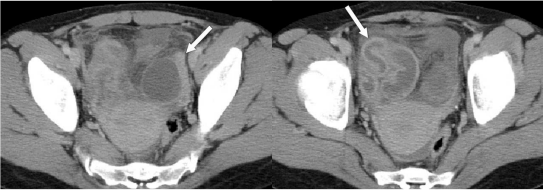
74.28歲女性主訴發燒和下腹疼痛,電腦斷層檢查呈現如圖,箭號所指之敘述何者最正確?
(A)子宮內膜炎 (B)輸卵管卵巢膿瘍 (C)子宮(輸卵管)外孕 (D)子宮頸癌