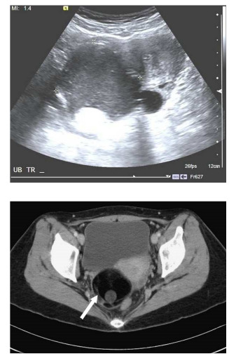
75. 43歲女性病人,健檢時發現CA-199升高,接受腹部影像檢查,上圖為骨盆處橫切超音波,下圖為CT最可能之診斷為何?

(A)卵巢癌(ovarian cancer)
(B)卵巢畸胎瘤(ovarian teratoma)
(C)子宮內膜異位(endometriosis)
(D)卵巢濾泡囊腫(ovarian follicular cyst)
答案:登入後查看
統計: A(45), B(120), C(25), D(64), E(0) #1843666
統計: A(45), B(120), C(25), D(64), E(0) #1843666
