所屬科目:醫學五:80題 ( 包括外科,骨科,泌尿科等科目及其相關臨床實例與醫學倫理 )
72.40歲男性病人因上腹部不適,上腹部超音波檢查發現右腎上方腫瘤如圖,最可能的診斷為何? (A)adrenal myelolipoma (B)adrenal pheochromocytoma (C)adrenal cortical adenoma (D)adrenal cortical carcinoma
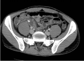
73.20歲男性因急性腹痛、高燒求診,接受對比劑注射後之電腦斷層掃描檢查如圖,最可能之診斷為何? (A)急性闌尾炎 (B)大腸憩室炎 (C)尿路結石 (D)胰臟炎