所屬科目:胸腔暨重症專科
1.
2.
3.
4.
5.
6.
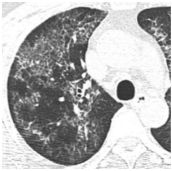
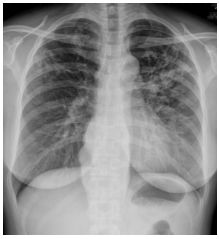
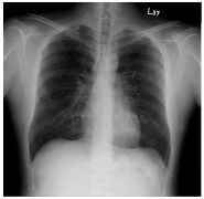
7.CC: cough for one year and back pain
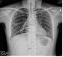
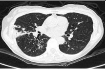
8.右胸痛 3 個月
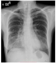
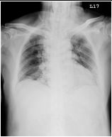
9.CC: 咳嗽 4 周,有痰
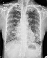
10. CC: 咳嗽 1 周,有痰
11.
12.
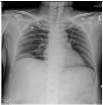
13. 47 y/o male; CC: intermittent fever for 2 weeks
14. 69 years female, recurrent purulent sputum
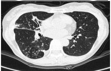
15. 39y/o Female, progressive dyspnea and chest tightness for several days
16.
17. 50 y/o Female, Progressive dyspnea and cough for months.
18.
19.
20.
21.
22.
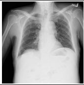
23. 49 y/o male, acute onset of shortness of breath
25. 48 Y/O male, left hip fracture
26.
27.
28.
29.
30.
31.咳嗽 3 週
32.
33.