所屬科目:胸腔暨重症專科
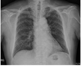
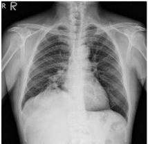
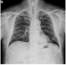
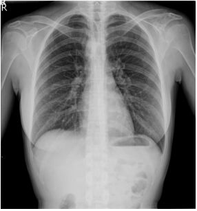
1. A 39-year-old man had this chest X-ray on his health exam. No any clinical symptoms.
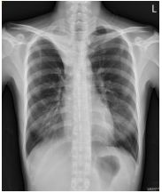
2. A 27-year-old woman had productive cough for one month.
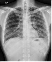
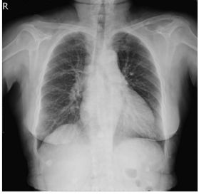
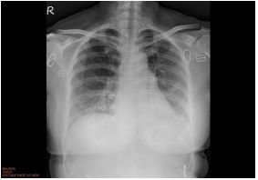
3. This 72-year-old diabetic man was taken to ER for productive cough for 10 days, and rapid progressive dyspnea for 2 days. He also had fever and chill for a week.
4. 39 y/o female, productive cough for 2 months
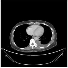
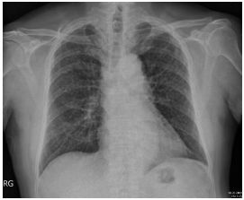
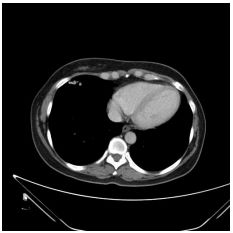
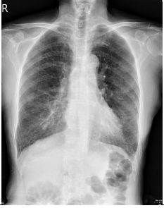
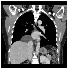
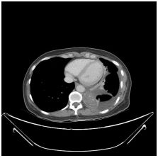
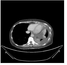
5. 57 y female, breast ca for survey
6. 61y/o F, dyspnea, productive cough for 2 months
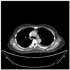
7. 27 y/o male, progressive DOE for weeks
8. 44 y/o male ,no discomfort
9. 73y/o female , allergic rhinitis, sneery
10.
11.
12.
13.
14.
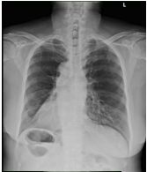
15. Fever and general weakness for one week
16. Recurrent dyspnea and fever
17. Mild DOE
18. 男性,56 歲,呼吸急 促、咳嗽、發燒、咽 喉疼痛。
19. 男性,51 歲,咳 嗽、胃酸逆流、飯後 胸悶。
20. 76 years old female, mild dyspnea.
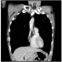
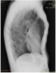
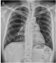
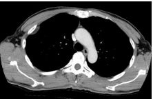
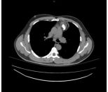
21. 18 years old male. Sudden onset dull chest pain 1 day.
22.
23. 44 y/o, PHx: anemia
24.
25.
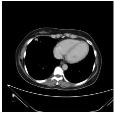
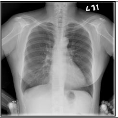
26. 70 y/o female
27. 25/F Asthma history
28. 68/F Cough for 3 days
29. 33/F Mild shortness of breath for three days
30. 50 y/o Male, with chest pain
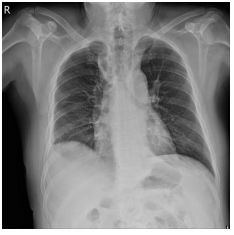
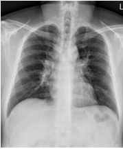
31. 61 y/o male, physical check up
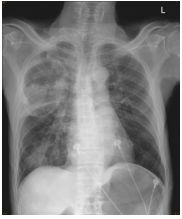
32. 72 y/o male with back pain for 3 months
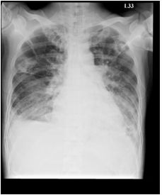
33. 43 y/o female with S.O.B for months