所屬科目:胸腔暨重症專科
9. 關於胸管與胸瓶的敘述何者正確?① 胸管大小的號碼是以「4」進位為主,即 12, 16, 20, 24 Fr 等。② 胸管大小的單位為「Fr」。1「Fr」= 1/3 mm;是用來標示胸管「圓周長」的單 位。③ 「水封瓶」中管子在水面下的長度,以 1.5 公分最適當。④ 「水封瓶」中管子的直徑和瓶子的直徑比為 1:20。⑤ 「水封瓶」和正壓呼吸器的發明,讓胸腔外科開始進步。 (A) ①,②,⑤ 。 (B) ①,③,⑤ 。 (C) ①,②,④,⑤ 。 (D) ①,④,⑤。
19. 若依下列的各項臨床表現,哪一個述敘組合「最符合」非結核分枝桿菌肺病(NTM-PD)診斷要件? ① 病人有呼吸道症狀,但也有合併其他慢性肺病。 ② 病人有相關症狀,但經治療呼吸道共病後症狀仍持續。 ③ 不同天的痰液分別培養長出 NTM 至少三套。 ④ 不同天的痰培養長出 NTM 至少二套,二套鑑定都是鳥型分枝桿菌(Mycobacterium avium complex)。 ⑤ 肺病電腦斷層有支氣管擴張症及多處肺結節,有些肺結節有開洞。 ⑥ 抽血檢測麴菌屬抗體(Aspergillus IgG)為陰性以排除肺麴菌病。 (A) ①、③、⑥ 。 (B) ②、④、⑥。 (C) ②、④、⑤ 。 (D) ①、③、⑤ 。
49. 一位 70 歲女性,因 ARDS 插管使用呼吸器,在 Volume controlled mode 之下病人呈現呼吸急促,相關呼吸圖形如圖所示,請問為解決呼吸急促情況,下列那個呼吸器參數設 定會優先做調整?(A) 調整吐氣期時間。 (B) 調整吸氣期壓力。 (C) 調整吸氣期氣流流速。 (D) 調整給予 PEEP 程度。
54. 依照肺高壓的流行病學研究,如圖示相關 WHO group 依照盛行率多寡佔比,下列組合何者正確?① Group 2。② Group 3。③ Group 1。④ Group 5。 (A) ① ② ③。 (B) ① ② ④。 (C) ① ③ ④。 (D) ② ③ ④。
59. 下列圖形中,a 是正常的 flow volume curve,請問 bcd 可能會是下列何種疾病 (依照 bcd 的順序)(A) large thyroid goiter,kyphoscoliosis,COPD。 (B) Pulmonary fibrosis,COPD,asthma。 (C) COPD,pulmonary fibrosis,vocal cord paralysis。 (D) Kyphoscoliosis,COPD,bronchiectasis。
60. 下列那幾項肺功能變化,可能出現在肺氣腫(emphysema)患者?① 全肺容量(total lung capacity;TLC)增加。② 殘餘肺容積(residual volume;RV)增加。③ 功能餘氣量(Functional Residual Capacity,FRC)增加。④ 肺活量(vital capacity;VC)增加。⑤ FEV1/FVC 減少。⑥ 最大吸氣壓力(maximal inspiratory pressure; MIP)增加。⑦ 擴散能力(diffusing capacity, DLCO)下降。 (A) ①,③,⑤ ,⑦ 。 (B) ②,④,⑥ ,⑦ 。 (C) ①,②,③,⑤ ,⑦ 。 (D) ①,②,③,④,⑤ ,⑥ 。
61. 陳小姐,71 歲,身高:157cm,體重 42kg,職業是家庭主婦,此次至門診就醫的主述長期呼吸喘,運動時的呼吸喘會加重,門診醫師安排肺功能檢查如圖,下列何者是他最可能的診斷?(A) 氣喘。 (B) 慢性肺阻塞。 (C) 過度換氣症候群。 (D) 肺纖維化。
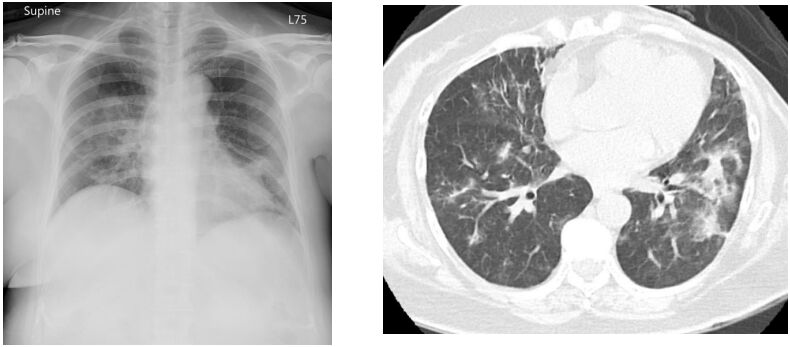
62. 一位 70 歲乳癌患者,接受 Trastuzumab-Deruxtecan 一段時間後,產生呼吸喘的狀況, 其 CXR 和 CT scan 如圖,關於其肺功能變化,下列何者錯誤?(A) FEV1/FVC 正常。 (B) FVC 下降。 (C) FEV1 下降。 (D) DLCO 上升。
67. 病患在接受睡眠多項生理檢查 polysomnography (PSG)呈現圖中的呼吸狀況超過 10 秒鐘,病患整晚進入睡眠時間為 6 個小時,總共出現 240 次這樣的狀況,請問下列何者正確?(A) 病患呼吸中止-淺.呼吸指數(apnea-hypopnea index,AHI)為 240,屬重度阻塞型睡眠呼吸中止症。 (B) 病患 AHI 為 240,屬重度中樞型睡眠呼吸中止症。 (C) 病患 AHI 為 40,屬重度阻塞型睡眠呼吸中止症。 (D) 病患 AHI 為 40,屬重度中樞型睡眠呼吸中止症。
76. 54 歲男性,因肺炎引發 ARDS 合併呼吸器使用,A/C mode,VT:6mL/kg,Respiratory rate:26/min,Ti:0.5s,peak flow 48L/min,square-wave flow pattern,FiO260%,患者出現呼吸困難情形, BP 138/98 mmHg. SpO2 92%, 病人使用的呼吸器圖形顯示如上,下列敘述何者為非?(A) 病人與呼吸器不同步,double trigger。 (B) 建議給予 sedation_。 (C) 增加 Ti。 (D) 發生自發性吐氣末正壓。