所屬科目:牙醫學(三)(包括齒內治療學、牙體復形學、牙周病學等科目及其相關臨床實例與醫學倫理)
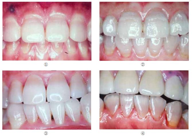
51 下列是①②③④四位病友的病例圖,那一病例曾接受過不可逆性的牙科治療來矯治其變色問題? (A)① (B)② (C)③ (D)④
56 下列是有關診斷測試(diagnostic testing)的表格,下列敘述何者不正確? (A) d(--)又稱真陰性(true negative) (B) b(+-)又稱假陰性(false negative) (C)正預測值(positive predictive value)為 a / (a+b) (D)負預測值(negative predictive value)為 d / (c+d)
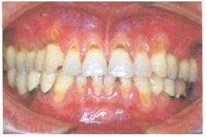
76 如下圖,患者四顆犬齒頰側已無附連牙齦,依 Miller 牙齦退縮分類屬第幾級? (A)Ⅰ (B)Ⅱ (C)Ⅲ (D)Ⅳ
79 下圖是一位四十五歲男性慢性中至重度牙周病患者的臨床與放射線檢查結果。左上第一大臼齒頰側 中間與遠心面之探測深度分別是 7 mm 與 12 mm,其餘齒面探測深度小於 5 mm。牙髓無活性,有第 一級動搖且頰側與遠心根叉間有第三級根叉侵犯。請問臨床探測根叉侵犯是用何種器具? (A)肉眼 (B)密西根探測計(Michigan probe) (C)奈氏探測計(Nabers probe) (D)牛角探針(cowhorn explorer)