所屬科目:牙醫學(六)(包括齒顎矯正學、兒童牙科學、牙科公共衛生學等科目及其相關臨床實例與醫學倫理)
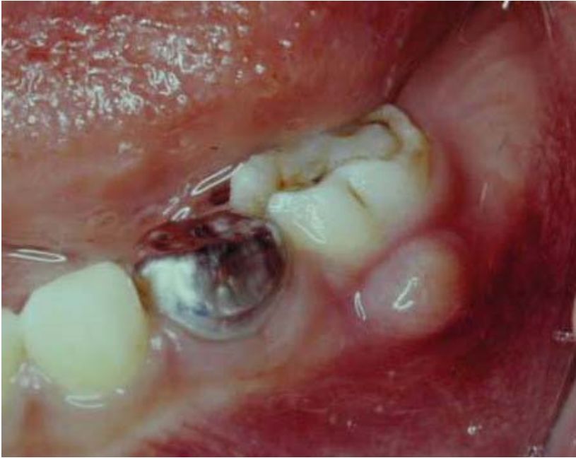
49. 下圖所示,左下第二乳臼齒之可能的治療選擇中,下列何者不合適? (A)拔除,做活動式空間維持器 (B)拔除並做固定式空間維持器 (C)冠髓切除術(pulpotomy) (D)牙髓切除術(pulpectomy)
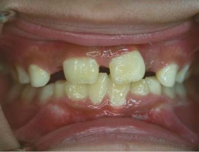
50. 如下圖所示牙齒萌出狀況,該男孩患者之合理實際年齡為何? (A)5-6 歲 (B)7-8 歲 (C)9-10 歲 (D)11-12 歲
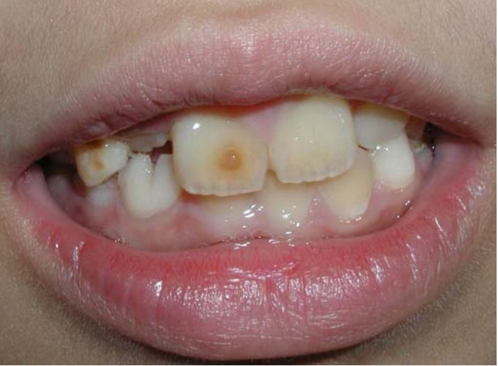
54. 下列何者最可能是下圖的右上門齒顏色變化之原因? (A)乳齒外傷 (B)恆牙牙髓壞死 (C)恆牙齲齒 (D)病毒感染