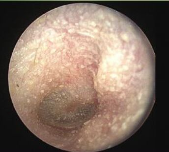
20.一中年男性長年四季晨泳,耳鏡檢查發現如圖,下列何者為最可能之診斷?
(A)otomycosis
(B)exostosis
(C)chronic otitis externa
(D)acute otitis externa
答案:登入後查看
統計: A(76), B(436), C(462), D(49), E(0) #3198358
統計: A(76), B(436), C(462), D(49), E(0) #3198358
詳解 (共 3 筆)
#6110641
ㅤㅤ
Exostoses, sometimes called surfer's ear, are bony overgrowths in the ear canal.
ㅤㅤ
Exostoses are most commonly found in people with a history of cold water exposure.
ㅤㅤ
Multiple smooth, round, bony overgrowths are seen, and often in both ears.
5
0
#6461687


exostosis只要看到骨頭向外長就算歐~
多刷點圖片有印象
ㅤㅤ
AOE: 會整個耳道變腫不會那樣從中間突起,並且患者沒有耳痛、搔癢、分泌物增加

5
0