61.下圖之超音波影像中,編號51的區域最可能屬於下列何種假影?
(A)section-thickness artifact
(B)comet tail artifact
(C)distal acoustic enhancement
(D)acoustic shadow
答案:登入後查看
統計: A(1081), B(128), C(393), D(402), E(0) #1383927
統計: A(1081), B(128), C(393), D(402), E(0) #1383927
詳解 (共 4 筆)
#5997738
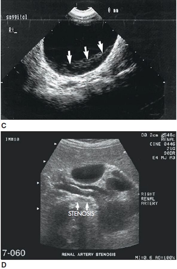
截面厚度假影(section-thickness artifacts)又稱切片厚度假影(slice-thickness artifact)或部分體積假影(partial-volume artifact)。
1.產生原因:由於超音波脈衝在掃描平面中的長度和寬度有限,使得接收到的回波不只來自光束中心,還包含偏離中心(off-center)的回波,再加上除了軸向與橫向以外的第三維度之解析度—仰角解析度(elevational resolution;如下圖,與切片厚度有關)會因為要「塌陷」成二維圖像而無法呈現,導致產生假影。
2.圖片:截面厚度假影如下兩圖箭頭處,在本應無回聲的區域出現回聲。
3.考古題:診斷 96-2-70, 器材 97-1-26
資料來源:Hagen-Ansert, S. L. (2018). Textbook of diagnostic ultrasonography (8th edition). Mosby Elsevier. 第七章. p120.
2
0