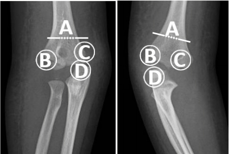
62.顯示此女童發生了何種骨折?
(A)肱骨髁上骨折(humeral supracondylar fracture)
(B)肱骨外髁骨折(humeral lateral condyle fracture)
(C)肱骨內上髁骨折(humeral medial epicondyle fracture)
(D)尺骨鷹嘴突骨折(ulnar olecranon fracture)
答案:登入後查看
統計: A(21), B(87), C(34), D(115), E(0) #1843733
統計: A(21), B(87), C(34), D(115), E(0) #1843733
