所屬科目:醫學五:80題 ( 包括外科,骨科,泌尿科等科目及其相關臨床實例與醫學倫理 )
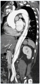
20.50歲男性病患主訴,有高血壓病史,未接受規則性之治療,3星期前有突發性撕裂性背痛至今仍舊無法緩 解。電腦斷層顯示如下圖,下列診斷及治療何者錯誤?
(A)其主動脈剝離由降主動脈至腹主動脈,但入口位於降主動脈近端處,診斷為史丹佛B型主動脈剝離 (Stanford type B) (B)需考慮手術治療 (C)症狀發生超過14天,屬於慢性主動脈剝離 (D)雖腔內血管修補術式(TEVAR)發展迅速,但手術仍以傳統開胸置換手術為主
29.張奶奶已經76歲了,B型肝炎帶原多年,這次被診所醫師發現肝臟有三顆腫瘤,合併有甲型胎兒蛋白 (AFP)上升,懷疑是肝癌而住院。抽血報告如下。若考慮為患者進行手術,下列何項措施最不恰當?
(A)肝癌嚴重,應逕行開刀 (B)血小板過低,須矯正之 (C)肝臟手術易出血,要預先準備packed RBC (D)PT異常,必須先矯正coagulopathy
44.下圖為一個足月的新生女嬰,檢查發現其薦尾椎有一個巨大的腫瘤,下列敘述何者錯誤? (A)最可能的診斷為薦尾椎畸胎瘤(sacrococcygeal teratoma) (B)不論在懷孕過程或是嬰兒出生之後,都要嚴密觀察嬰兒有無因為此巨大腫瘤產生的盜血現象(tumor- induced vascular steal syndrome) (C)需再進一步的安排影像學檢查,如CT或MRI等,以了解除了外部看到的範圍之外,向內延伸到骨盆腔的範 圍有多大 (D)手術的原則是要將腫瘤完全切除,過程中要避免傷害到肛門直腸及周邊的正常結構,並將尾骨保留
73.32歲男性病人右下腹痛2天,來到急診,身體檢查有明顯局部壓痛,白血球在正常值內但略偏高,C-reactive protein上升。未注射顯影劑的電腦斷層如圖示,下列何項診斷最有可能? (A)epiploic appendagitis (B)acute ileus (C)ascending colon intusussception (D)colon cancer with perforation
74.34歲男性,車禍外傷,劇烈頭痛,意識混亂,CT影像圖A可見左臉頰腫脹,根據圖B箭頭所指的是:
(A)contusion parenchymal hemorrhage (B)traumatic subarachnoid hemorrhage(SAH) (C)thin layer acute subdural hematoma(SDH) (D)traumatic pneumoencephalus