阿摩線上測驗
登入
首頁
>
醫學三:80題 ( 包括內科,家庭醫學科等科目及其相關臨床實例與醫學倫理 )
> 105年 - 105-1 專技高考_醫師(二):醫學(三)(包括內科、家庭醫學科等科目及其相關臨床實例與醫學倫理)#41260
105年 - 105-1 專技高考_醫師(二):醫學(三)(包括內科、家庭醫學科等科目及其相關臨床實例與醫學倫理)#41260
科目:
醫學三:80題 ( 包括內科,家庭醫學科等科目及其相關臨床實例與醫學倫理 ) |
年份:
105年 |
選擇題數:
80 |
申論題數:
0
試卷資訊
所屬科目:
醫學三:80題 ( 包括內科,家庭醫學科等科目及其相關臨床實例與醫學倫理 )
選擇題 (80)
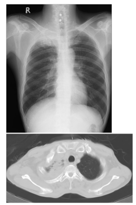
1.51歲男性病患,因為近半年來右上背酸痛和右上肢麻痹和無力到院就醫。他因這些病症在他 院接受止痛藥物治療和手術治療頸椎椎間盤突出開刀,但症狀未見改善。到院前三個月,他開始出現右眼皮下垂和視力模糊。他過去抽菸,一天一包達三十年之久。到院胸部X光和電腦斷層檢查如圖。多次痰液微生物顯微鏡檢和培養均為陰性。以下何者是最有可能的診斷?
(A)pancoast tumor(B)過敏性肺部氣管麴菌感染(allergic bronchopulmonary aspergillosis)(C)肺膿瘍(lung abscess)(D)肺部動脈靜脈畸形(arterio-venous malformation of the lung)
2.85歲的陳婆婆最近3個月內跌倒了3次,還好都沒有明顯的受傷,今天來到門診做跌倒評估, 醫師發現她有使用安眠藥的習慣,白內障導致她視力不佳,下肢肌力也不足,下列各項醫療建議,何者最不合適?(A)藥物調整,減少安眠藥使用,教導正確的睡眠衛生習慣(B)尋求眼科醫師幫忙,考慮開刀治療白內障(C)利用運動與復健增加下肢肌力(D)服用維生素B增加下肢肌力
3.胡女士64歲,有糖尿病和瓣膜性心臟病病史,一週前拔牙後便開始高燒合併運動氣促,尿量 減少。於急診室量得病人血壓為114/80 mmHg,體溫39℃,脈搏速128/min,呼吸速率 26/min,且在病人心尖(apex)可聽到明顯之收縮期雜音,由以上初步病史與身體診察,那一個瓣膜最可能被感染?(A)主動脈瓣 (B)肺動脈瓣 (C)二尖瓣 (D)三尖瓣
4.65歲男性患者二週前因急性心肌梗塞住院接受冠狀動脈支架置放後出院,今日因為胸痛與輕 微發燒(37.8攝氏度)而回診。沒有呼吸窘迫,肺部聽診沒有囉音,心臟沒有出現新的雜 音、奔馬音(gallop)或心包摩擦音(friction rub)。初步檢查排除了感染情況,心電圖與出 院之前做比較沒有變化。下列那一項治療較恰當? (A)給予類固醇 (B)給予高劑量aspirin (C)給予抗凝血劑(anticoagulant) (D)加重狹心症藥品(antianginal drugs)
5.門診來了一位52歲男性進行體檢,身高167公分,體重87公斤,平日沒有不適。身體診察發 現血壓132/84毫米汞柱,心跳每分鐘72次,身體質量指數(BMI)31 kg/m
2
,其他身體檢查 正常。在目前的血壓值所處的範圍,考慮前面的敘述,下列那一種生活型態修正對於降低血 壓數值的效果最明顯? (A)每天慢走十分鐘,每週四次 (B)每天作息正常 (C)減重大約九公斤 (D)每日限鹽小於六公克
6.病人在門診自訴吞嚥困難已有一年之久,且常伴隨中段胸骨後方有東西卡住的感覺。吞嚥困 難僅限於固態食物,喝流質東西則沒有困難。但並非每餐都會出現,時好時壞。病人也沒有 體重減輕之現象。身體診察沒有異常發現。關於這位病人之診斷,下列各項敘述,何者正 確? (A)本病人之診斷,很可能是achalasia (B)本病人之致病機轉可能在於食道蠕動異常 (C)鋇劑攝影(barium meal study)對本病人之診斷很有效益 (D)此等病人雖非食道癌,其治療仍以手術為主
7.許先生有肝硬化合併腹水,也出現肝腦病變。最近被發現有日夜昏睡、意識不清的現象,抽 血檢查發現NH3 = 110 µg/dL(normal range:19~60),下列何者不是此等病情常見的誘發 因子? (A)便秘 (B)血鉀過高 (C)腸胃道出血 (D)感染
8.69歲男性退休高中老師,沒有糖尿病史,但是有慢性腎臟病史,3年前的血液肌酸酐2.6 mg/dL。4週前打噴嚏後出現眼眶周圍紫斑,3週前腹瀉、瀝青便(tarry stool)、少尿、水 腫、端坐呼吸。現在理學檢查身高160 cm,體重60 kg,肝脾明顯腫大,胸部X光心臟擴大, 兩側中心肺泡浸潤。腎臟超音波左腎長度11.5 cm,右腎長度11.0 cm,血中血色素7.5 g/dL,血中肌酸酐4.8 mg/dL,補體正常,尿液紅血球4~6/HPF,尿液蛋白質 4+。下列何者 是最可能的診斷? (A)類澱粉症(amyloidosis) (B)冷凝球蛋白血症(cryoglobulinemia) (C)韋氏肉芽腫(Wegener’s granulomatosis) (D)全身性紅斑性狼瘡(SLE)
9.一位罹患僵直性脊椎炎的患者,有一天突覺左眼腫脹、怕光及視力模糊。下列何者為首選治 療藥物? (A)methotrexate (B)hydroxychloroquine (C)local glucocorticoid administration (D)azathioprine
10.63歲男性為HBV帶原者。5年前開始有兩手小關節、手腕、手肘、膝蓋及腳踝關節酸痛,抽
血檢查發現RF:29.7 IU/mL(normal< 10 IU/mL),ESR:18 mm/1h,CRP:1.0 mg/dL (normal<0.8 mg/dL),ALT:62 U/L。下列何種檢查結果陽性對患者的鑑別診斷最有幫 助? (A)anti-nuclear antibody (B)anti-SSA/anti-SSB antibody (C)anti-cyclic citrullinated peptide antibody (D)C3 and C4
11.60歲的女病患主訴右膝關節腫脹及輕微疼痛已2週。抽出關節液檢驗,其外表黃色透明,黏 稠度(viscosity)甚高,白血球濃度為250 cells/mm
3
。最適宜的診斷為何? (A)痛風性關節炎 (B)退化性關節炎 (C)細菌性關節炎 (D)乾癬性關節炎
12.一位36歲女性,過去無特殊不適,亦未服用任何藥物,最近兩天出現左下肢腫脹、疼痛,經 血管超音波檢查發現是深層靜脈栓塞。其周邊血檢查顯示血紅素12.1 gm/dL,白血球 8750/µL,血小板123000/µL,prothrombin time INR 1.1,partial thromboplastin time 55”(control:28”),thrombin time 14.7”(control:5.1”),以下何者是最優先要做的檢 查? (A)lupus anticoagulant (B)factor VIII (C)protein S (D)protein C
13.一位65歲男性主訴倦怠、無力,手腳有刺痛感。身體檢查發現臉色蒼白,有輕微黃疸,舌頭 表面平滑,味蕾萎縮;神經學檢查顯示對振動(vibration)的感覺變差。血液檢查顯示血紅素 7.2 gm/dL,平均紅血球體積110 fL,網狀紅血球1.1%,白血球2780/µL,分類正常,血小板 98000/µL;全膽紅素(bilirubin)2.3 mg/dL,直接型0.5 mg/dL,AST 52 U/L(正常0~ 37),ALT 38 U/L (正常0~41),LDH 780 IU/L(正常140~271)。這位病人最可能的 診斷為? (A)aplastic anemia (B)iron deficiency anemia (C)pernicious anemia (D)hemolytic anemia
14.一位53歲家庭主婦,未曾抽菸,最近被發現有肺癌,且有肋膜侵犯及積水,無法開刀清除乾 淨。其腫瘤細胞有epidermal growth factor receptor(EGFR)激活突變(activation mutation)。此時最適當的治療為? (A)gefitinib (B)bevacizumab (C)sunitinib (D)trastuzumab
15.一位70歲男性病人因右側肋膜積液(pleural effusion)掛胸腔科門診,經胸腔超音波檢查並 做肋膜積液抽吸送檢,肋膜積液分析發現白血球1280/mm
3
,neutrophil/lymphocyte ratio: 8/92,蛋白質(protein)數值為3.8 g/dL,血清蛋白質為5.2 g/dL,細胞學檢查無惡性細胞, adenosine deaminase(ADA)為70 IU/L,在臺灣最可能的診斷是: (A)惡性肋膜積液 (B)結核性肋膜積液 (C)肺炎併發肋膜積液 (D)膿胸
16.64歲男性有糖尿病和高血壓病史,五天來有發燒、寒顫、右上腹痛,無解尿困難或疼痛情 形;腹部超音波發現右肝有4.5公分的異質性病灶,肝內膽道無擴大情形。需氧和厭氧血液培 養瓶皆長出革蘭氏陰性桿菌。依此病況,最可能之病原菌為何? (A)Pseudomonas aeruginosa (B)Bacteroides fragilis (C)Enterobacter cloacae (D)Klebsiella pneuomoniae
17.下列有關評估營養狀態之敘述,何者錯誤? (A)blood urea nitrogen(BUN)若低於8 mg/dL,代表蛋白質的攝取可能不足 (B)serum creatinine若低於0.6 mg/dL,代表因長期能量攝取不足而肌肉耗損(muscle wasting) (C)prothrombin time延長,表示可能有維生素 K 缺乏 (D)serum total iron binding capacity(TIBC)> 500 µg/dL代表蛋白質攝取不足,可能有惡性 營養不良(kwashiorkor)
18.一位因中風長期臥床之病友,平日由看護自製流質飲食經鼻胃管餵食。一個月前更換看護 後,家人發現病友尾骶骨(sacrum)附近長出一個直徑3公分之壓瘡(pressure sore)。一 個月來雖然每日早晚擦藥治療、勤於翻身,傷口反而擴大為直徑8公分。此病友最不可能缺 乏下列何種營養素? (A)維生素A (B)維生素C (C)鋅 (D)蛋白質
19.下列有關吸煙之敘述,何者錯誤? (A)吸煙者相較於未吸煙者,罹患胰臟癌與膀胱癌之風險較高 (B)吸煙會減緩theophylline、propranolol、oxazepam等藥之代謝速率,吸煙者使用此等藥物 宜減量 (C)吸二手煙之小孩相較於未吸煙者,易發生中耳積水(effusion)與氣喘 (D)吸煙者相較於未吸煙者,使用口服避孕藥更容易發生缺血性中風與心肌梗塞之不良反應
20.有一位急性中風病友四肢完全癱瘓,肌力為0分,也無法說話,但雙眼可依指令睜眼或閉 眼。為此病友評估昏迷指數(Glasgow coma scale)時,運動反應(motor response)之得 分為幾分? (A)0 (B)1 (C)5 (D)6
21.一位酗酒的病人有神經病變、肌肉無力、心臟肥大、水腫,給予下列何種維生素最可能對病 情有幫助? (A)thiamine (B)riboflavin (C)niacin (D)folate
22.下列何種藥物,非例行使用於治療非ST節段上升急性冠心症(non-ST elevation acute coronary syndrome)的病患? (A)抗血小板藥物(aspirin,clopidogrel) (B)靜脈注射硝酸鹽(nitrate) (C)血栓溶解劑(fibrinolytic agent) (D)靜脈注射肝素(heparin or low molecular weight heparin)
23.對於急性心肌梗塞的患者,考慮給予血栓溶解藥物(fibrinolytic agents,如tPA)時,下列那 一項不是絕對禁忌症? (A)年齡超過75歲 (B)曾有過腦出血病史 (C)血壓超過180/110毫米汞柱 (D)最近3個月曾有梗塞性腦中風病史
24.僧帽瓣狹窄(mitral valve stenosis)最常見的心律不整為: (A)心房早期收縮(atrial premature contraction) (B)心室早期收縮(ventricular premature contraction) (C)心房顫動(atrial fibrillation) (D)心房撲動(atrial flutter)
25. 70歲女性因食慾變差、上腹不適、體重減輕,接受胃鏡檢查,結果如圖,下列敘述何者正 確?
(A)此疾病目前的發生率增加中 (B)去除幽門螺旋桿菌可以治癒此疾病 (C)O型血型者罹患此病機會較高 (D)腸化生(intestinal metaplasia)為此病之前驅病灶(precursor lesion)
26.下列何者不會產生腹水? (A)肥胖 (B)肝硬化 (C)心臟衰竭 (D)腹膜發炎
27.一位50歲男性,近日無使用任何藥物,日前接受國民健康保險局推行之定量免疫法糞便潛血 檢驗後,接到通知告知其糞便呈現陽性潛血反應,則以下的各種情形何者的建議正確? ①若患者於檢驗前三天內曾進食富含動物血色素食物,可能造成偽陽性,建議重新檢驗 ②若患者無排便異常情形,可觀察並建議2年後再檢驗一次 ③患者自述於檢驗前一天曾有流鼻血情形,可能因此而陽性,建議重新檢驗 ④若患者告知半年前曾自費接受相同檢查,但報告為陰性,建議仍須接受大腸鏡檢查或大腸 攝影檢查 (A)①②③④ (B)僅①③④ (C)僅①② (D)僅④
28.下列那些藥物可能會加重逆流性食道炎(reflux esophagitis)?①降血脂藥(HMG-CoA reductase inhibitor) ②高血壓用藥(calcium channel blocker) ③氣喘用藥 (theophylline) ④抗過敏藥物(antihistamine) (A)①②③ (B)僅②③ (C)③④ (D)①②④
29.一位34歲男性病人,因急性上腹痛至急診室求診。病人有長期飲酒史,父親有大腸癌之家族 史。身體診察顯示病人無發燒、無腹瀉、無輻射性疼痛,但有輕微冒冷汗,身體向前傾可減 輕疼痛,上腹有廣泛性觸痛,無shifting dullness。下列何者並非對此病人所須之第一線血液 檢查? (A)ALT(GPT),AST(GOT) (B)WBC (C)amylase (D)CEA
30.一位42歲女性病人之血液報告呈現HBsAg:陽性、anti-HBs antibody IgG:陽性。下列何者 之判斷最合理? (A)此病人仍為B型肝炎帶原者 (B)此病人非B型肝炎帶原者,因為已有陽性之anti-HBs (C)實驗檢驗錯誤,HBsAg與anti-HBs不可能均為陽性 (D)宜加作anti-HBc antibody(anti-HBc),才可作判定
31.有關自發性細菌性腹膜炎的敘述,下列何者錯誤? (A)最常見的細菌感染為Escherichia coli (B)腹水感染二種以上細菌,要考慮續發性腹膜炎(如腸穿孔)的可能性 (C)病人可能無發燒及腹痛 (D)肝硬化合併腹水的病人,發生食道靜脈曲張出血時,不會增加自發性細菌性腹膜炎的發生
32. 下列有關下消化道出血的敘述,何者錯誤? (A)出血源不明(obscure)的消化道出血,病變常在小腸,須先排除上消化道及大腸直腸病 變。因此上消化道內視鏡及大腸鏡檢查一定要施行,甚至不只檢查一次即足夠 (B)嚴重的出血病例可以安排血管攝影檢查(angiography),找到出血源時可注射 vasopressin或以血管栓塞(embolization)止血 (C)核醫紅血球掃描(RBC scan),偵測出血較血管攝影術敏感,可以精確定位,幫助治療 (D)如無活動性出血,除非是血管豐富(hypervascular)的腫瘤或是血管發育不良 (angiodysplasia),否則血管攝影術幫助不大
33.下列何者免疫抑制劑與FKBP-12接合,可減少IL-2之產生? (A)cyclosporine (B)tacrolimus (C)mycophenolate mofetil (D)sirolimus
34.一位55歲女性病人,過去無腎臟病史,因最近一週尿量漸減且體重增加而住院。身體診察: 血壓180/110 mmHg,脈搏72/min,呼吸次數16/min,呼吸音正常,心律規則無雜音,腹部 平坦無壓痛,下肢有顯著壓陷性水腫。血液檢查:血紅素10 gm/dL,白血球10500 /µL,白 蛋白2.5 g/dL,尿素氮35 mg/dL,肌酸酐3.0 mg/dL;尿液檢查:蛋白質(3+),紅血球20 ~25顆/高倍視野,並可見到紅血球圓柱體。本病人接受腎臟切片檢查後,最適當治療方式 為? (A)廣效性抗生素(broad-spectrum antibiotics) (B)免疫抑制劑(immunosuppressive therapy) (C)緊急血液透析(emergent hemodialysis) (D)補充白蛋白(albumin infusion)
35.下列藥物可能引起急性腎臟損傷,而主要的作用是腎血管的影響,何者例外? (A)非類固醇消炎劑(nonsteroidal anti-inflammatory drugs) (B)血管張力素阻斷劑(angiotensin-converting enzyme inhibitors) (C)含鉑的抗癌製劑(如cisplatin) (D)腎素抑制劑(renin inhibitors)
36.有關腹膜透析和血液透析的優劣點,下列何者錯誤? (A)血液透析對於超過濾(ultrafiltration)的控制比較正確 (B)腹膜透析比較容易發生血脂肪升高 (C)血液透析比較常有白蛋白流失 (D)腹膜透析比較容易有低血鉀情況
37.有關angiotensin-converting enzyme inhibitors的腎臟保護作用,下列何者錯誤? (A)可以降低血壓 (B)可以降低蛋白尿 (C)可以增加腎絲球過濾速率 (D)可以降低出球小動脈的壓力
38.一位52歲男性因反覆發生下肢癱瘓入院,血壓168/98 mmHg,血液檢查發現:鈉146 mmol/L,鉀2.0 mmol/L,氯100 mmol/L,酸鹼值7.56,重碳酸根38 mmol/L,腎素(renin) 0.1 ng/mL/hr(正常值0.3~3 ng/mL/hr),血清醛固酮(aldosterone)8 ng/dL(正常值2~9 ng/dL);則下列敘述何者錯誤? (A)病患為留鹽激素過多狀態(mineralocorticoid excess state) (B)應補充大量鉀離子直到病患肌肉力量恢復 (C)因血清腎素偏低,可以排除腎素分泌腫瘤(renin-secreting tumor)及續發性高醛固酮症 (D)因血清醛固酮正常,可以排除原發性高醛固酮症
39.55歲男性,有下背痛伴隨晨間僵硬(>30分鐘)已有兩年,骨盆X光無明顯異常,病患曾有 左跟踺(Achilles tendon)發炎病史,以目前病情判斷,何種疾病最有可能? (A)僵直性脊椎炎(ankylosing spondylitis) (B)中軸脊椎關節炎(axial spondyloarthropathy) (C)退化性關節炎(osteoarthritis) (D)乾癬性關節炎(psoriatic arthritis)
40.下列對於全身性紅斑性狼瘡(SLE)病人血清中的各種自體抗體的描述,何者最為正確? (A)anti-RNP對於診斷SLE的特異性最高 (B)anti-histone抗體與SLE的腎炎最有相關 (C)anti-Sm與SLE的psychosis最有相關 (D)anti-phospholipid與habitual fetal loss最有相關
41.一位65歲女性10年前停經後得到第一期乳癌,只以外科治療。最近發現蝕骨性骨骼病灶,證 實為乳癌轉移ER+,HER2-negative,此外無其他臟器轉移,下列何者為最適當的治療? (A)芳香環轉化酶抑制劑+雙磷酸鹽 (B)多種藥劑化學治療 +雙磷酸鹽 (C)capecitabine +雙磷酸鹽 (D)單一藥劑化學治療 +strontium-89
42.下列何種病人發生缺鐵性貧血的機會最小? (A)gastrectomy (B)menorrhagia (C)paroxysmal nocturnal hemogblobinuria (D)thalassemia
複選題
43.以下何者被視為造血幹細胞(hematopoietic stem cell)最重要的特徵? (A)自我更新(self-renewal) (B)增殖(proliferation) (C)分化(differentiation) (D)計畫凋亡(programmed death)
44.一位30歲平常健康良好的男性,主訴2~3週來易倦。理學檢查發現結膜蒼白無黃疸、頸部兩 側多個不足一公分大小淋巴結、無肝脾腫大,下肢出現無癢紅色細小斑點;末梢血檢查結果 顯示:WBC 1280/µL,N/L/Mo = 5/94/1,Hb 7.5 gm/dL,MCV 86 fL,Platelet 8,000/µL, ALT 42 U/L,T. Bil 0.6 mg/dL,Cr 1.1 mg/dL,Alb 3.7 g/dL。下列何種檢驗最有利於正確診 斷? (A)淋巴結切片(biopsy) (B)正子造影(positron emission tomography, PET) (C)骨髓切片 (D)血液培養(blood culture)
45.cyclosporine-A(CsA)是異體造血幹細胞移植(allogeneic hematopoietic stem cell transplantation)用來預防移植物反宿主疾病(graft-versus-host disease)的重要免疫抑制 劑,下列何者不是CsA常見的副作用? (A)hypertension (B)hyperlipidemia (C)hyperglycemia (D)nephrotoxicity
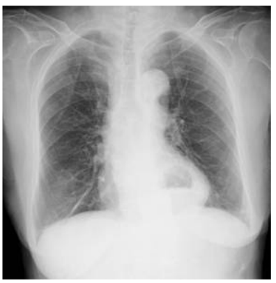
複選題
46.下列何者為抗癌化學藥物cisplatin之副作用? (A)血鈣過高症 (B)血鎂過低症 (C)血鈉過低症 (D)血氯過高症
47.凝血因子X(coagulation factor X)活化為Xa的反應中,下列何因子沒有參與? (A)factor Va (B)factor VIIa (C)factor VIIIa (D)factor IXa
48.胸部電腦斷層發現毛玻璃狀病灶(ground glass opacity, GGO),有關其臨床意義的敘述, 下列何者錯誤? (A)有可能是早期adenocarcinoma (B)有可能是atypical adenomatous hyperplasia (C)如果是solid GGO,很可能是慢性發炎,定期追蹤即可 (D)有可能是肺腺癌的前身,應積極正確診斷
49.60歲男性,主述長期咳痰,呼吸不暢,最近有關節痠痛症狀。身體檢查時看到杵狀指 (clubbing fingers)。下列那些疾病應優先列入鑑別診斷?①肺癌 ②急性肺炎 ③支氣管擴張症 ④先天性心臟病 ⑤肝硬化 ⑥克隆氏症(Crohn's disease) (A)①②③④⑤⑥ (B)僅③④⑤⑥ (C)僅②④⑤⑥ (D)僅①③⑤
複選題
50.肺癌患者出現下列何種表徵時,仍可考慮接受根除性手術治療? (A)咳血 (B)腫瘤侵犯造成上腔靜脈症候群(superior vena cava syndrome) (C)腫瘤或淋巴腺壓迫造成聲帶麻痺、聲音沙啞 (D)惡性肋膜積水
51.下列關於theophylline在慢性阻塞性氣道疾病(chronic obstructive airway disease)的治療 敘述,何者錯誤? (A)抽煙與喝酒會增加theophylline的代謝 (B)支氣管擴張效果主要來自於抑制呼吸道平滑肌之phosphodiesterase (C)低劑量theophylline有抗發炎效果,主要是直接抑制細胞核內histone deacetylase-2的活性 (D)做為附加(add-on)治療,效果比吸入型長效性乙二型增效劑(long acting β2-agonist) 弱
52.下列關於胸腺惡性腫瘤(malignant thymoma)的敘述,何者錯誤? (A)最常見於前縱膈腔,好發於中年者,男女約各半 (B)約有1/3合併重症肌無力 (C)有心包膜(pericardium)或肋膜(pleura)侵犯時,治療以手術切除合併化學治療為主 (D)重症肌無力患者實施胸腺切除手術,會比單獨內科治療有較高的症狀緩解率
53.一位68歲男性病患抽菸50年,10年前開始咳嗽且有黃痰,5年前開始出現運動性呼吸困難, 最近3年有6次因為嚴重呼吸困難住院治療,其中4次被診斷為細菌性肺炎。本次住院在急診 動脈血呈現PaO
2
= 45 mmHg,PaCO
2
= 70 mmHg,Resp. Rate = 30/min,病患被放置氣 管內管後使用呼吸器(ventilator)來維持呼吸。住院後一星期病患出現發燒、黃痰增多,胸 部X光片於右下肺葉出現新的浸潤,痰液培養為Pseudomonas aeruginosa,下列敘述何者錯 誤? (A)診斷可為ventilator-associated pneumonia (B)應該再輔以bronchoalveolar larvage或protected brush取得distal airways的檢體做 quantitative culture來證明為Pseudomonas aeruginosa感染 (C)使用monotherapy時aminoglycoside是首選有效的藥物 (D)tobramycin(300 mg)inhaled daily可以提供氣管支氣管mucosa有效的drug-level,是施 行抗生素吸入治療的推薦藥物
54.下列對於支氣管性氣喘的特性敘述,何者錯誤? (A)支氣管反應過度(hyperresponsiveness) (B)陣發性產生呼吸困難、咳嗽或是哮鳴音 (C)最常見之危險因子(risk factor)是過敏 (D)因過敏性產生氣喘,常容易發生於40歲以後
55. 下列何種病因,並非造成第二型糖尿病主要致病機轉? (A)胰島素阻抗性 (B)胰島素分泌不足 (C)昇糖激素分泌不足 (D)游離脂肪酸過多
56.關於遺傳學原理應用於臨床醫學上之敘述,下列何者錯誤? (A)粒線體基因突變造成之疾病為父系遺傳(paternal transmission) (B)對於單基因孟德爾式遺傳疾病(monogenic Mendelian disorders),遺傳模式(mode of inheritance)一般以族譜分析(pedigree analysis)決定之 (C)基因體印記(genomic imprinting)現象,會使某些疾病遺傳模式不符單基因孟德爾式遺傳 模式 (D)複雜性遺傳疾病(complex genetic disorders),其臨床表現易受環境因素所影響
57.關於肥胖(obesity)之敘述,下列何者錯誤? (A)在臺灣,肥胖的定義是身體質量指數(BMI)大於等於30 Kg/m
2
(B)在臺灣,腹部肥胖的定義是女性腰圍大於80 cm,男性大於90 cm (C)肥胖很常見於Cushing’s syndrome (D)craniopharyngioma會引發多食症而造成肥胖
58.關於非自主體重減輕(involuntary weight loss)之敘述,下列何者錯誤? (A)一般臨床上有意義之體重減輕,定義為在6~12個月內,體重減輕>5% (B)只有第一型糖尿病患控制不佳時,會有體重減輕;第二型糖尿病患控制不佳時仍多肥胖, 不會體重減輕 (C)病患沒有刻意節食或運動減重 (D)合併有心悸或高血壓時,要考慮甲狀腺機能亢進或嗜鉻細胞瘤
59.下列那一種口服降血糖藥可能引起乳酸血症? (A)metformin (B)sitagliptin (C)pioglitazone (D)acarbose
60.下列那一項是調控 arginine vasopressin(AVP)增加分泌最重要的機制? (A)下視丘的osmoreceptors感受血液滲透壓的增加 (B)心臟的壓力感受器(pressure receptors)感受血液容積或血壓的下降 (C)噁心或嘔吐刺激髓腦的催吐中樞(emetic center in the medulla) (D)血管升壓素(angiotensin)增加
61.病毒性出血熱可能隨著國際旅遊而傳播,下列何者死亡率最高? (A)Hantavirus (B)Ebola virus (C)Dengue virus (D)Yellow fever
62.下列關於cephalosporin用於治療細菌感染之敘述,何者正確? (A)第一代cephalosporin可治療沙門氏桿菌(Salmonella)感染 (B)第二代cephalosporin可治療腸球菌(Enterococcus)感染 (C)第三代cephalosporin可治療克雷白氏桿菌(Klebsiella)腦膜炎 (D)第三代cephalosporin可治療李斯德菌(Listeria)腦膜炎
63.退伍軍人菌(Legionella)肺炎若有適當痰液可供革蘭氏染色,則最不易有下列何種發現? (A)每低倍鏡視野WBC多於25 (B)每低倍鏡視野上皮細胞少於10 (C)痰中細菌極少 (D)痰中易看到細長之革蘭氏陰性桿菌
64. 梅毒血清檢驗包括nontreponemal tests(如VDRL或RPR test),及treponemal tests(如 FTA-ABS test,TP-PA test或TPHA)。下列敘述何者錯誤? (A)大規模篩檢建議用VDRL或RPR test (B)確定診斷建議用FTA-ABS test,TP-PA test或TPHA (C)評估治療反應建議用FTA-ABS test,TP-PA test或TPHA (D)診斷神經性梅毒,腦脊髓液建議用VDRL檢查
65.一位26歲男性病人發生腸道感染,下列何種情形不須使用抗微生物製劑治療? (A)nontyphoidal salmonellosis (B)giardiasis (C)有發燒和血便現象之 traveler’s diarrhea (D)病人有發燒及糞便中很多白血球
66.60歲女性因血壓較高至門診追蹤,無其它異常。平日不抽菸,每日睡前喝紅酒30 mL。父親 死於腦中風、母親有糖尿病。血壓170/100 mmHg,身體質量指數(BMI)27.1 kg/m2。應 建議她如何作生活型態改變? (A)應減輕體重 (B)每日鈉攝取量應低於6 gm (C)每日酒精攝取量應降低 (D)生活型態對血壓的影響,目前尚無實證支持
67.一位35歲男性,初次被診斷為高血壓,血壓為140/96 mmHg,脈搏為70拍/分,病人並無任 何症狀,過去亦無特殊病史,理學檢查除血壓高之外,並無特殊異常發現。下列何者不是初 步評估此病人所需安排之檢查? (A)尿液常規檢查 (B)鉀離子 (C)甲狀腺刺激素 (D)空腹血糖
68.有一位妊娠32週的孕婦前來接受產前檢查,醫師除了要問診本胎不適症狀、過去孕產史、家 庭疾病史及進行身體檢查外,還需要安排實驗室檢查。下列那項檢查是此懷孕時程所必需安 排的? (A)甲狀腺功能 (B)葡萄糖-6-磷酸去氫酶(蠶豆症檢查) (C)口服葡萄糖耐性試驗 (D)B型肝炎表面抗原檢查(E)一律送分
69.有關大腸癌各項篩檢方式的敘述,下列何者正確? (A)大便潛血反應的特異性約可達80-90% (B)少於10%的大腸直腸癌可藉由肛門指診摸到 (C)乙狀結腸鏡檢查(sigmoidoscope)可發現超過90%的大腸直腸癌 (D)大腸鏡檢查(colonoscope)對發現小息肉的敏感度可達95%以上
70.50歲男性高血壓患者,本次回診時告訴醫師,有一位自然療法的朋友告訴他「每天吃玉米可 以降血壓」,他生活的社區中也有許多人在使用,他解釋高血壓是「熱」的疾病,而玉米是 「冷」的食物。假設吃玉米對此病人健康沒有危害,下列何者是醫師最適當的回應? (A)「吃玉米不能降血壓,如果你堅持吃玉米,我無法繼續提供治療。」 (B)「你那位朋友有接受過醫學訓練嗎?」 (C)「那就先試吃玉米且暫停降血壓藥,等一個月後,如果血壓仍高,我再開降血壓藥給 你。」 (D)「藥物可以有效的降血壓,你可以跟玉米一起使用。」
71.林醫師是H鎮的衛生所主任,他依據Sidney Kark社區導向之基層醫療(community-oriented primary care)作H鎮的青少年吸菸防治工作;調查發現H鎮的青少年吸菸由國中時開始。經 過與鎮民代表商議後,選擇某國中為試辦對象;林醫師下一步的工作為何? (A)界定社區的範圍 (B)利用流行病學方法找尋健康問題 (C)擬定解決健康問題之方案 (D)邀請社區參與評估
72.一位55歲男性患有肺癌及全身骨轉移,已使用高量嗎啡,病人仍感受無法忍受的不適,要求 醫師讓他睡著就好了,下列那一項是不當的敘述? (A)使用更高量的嗎啡止痛 (B)給予足量的鎮靜劑協助病人入睡 (C)給予鎮靜劑或止痛劑可能會影響病人的呼吸 (D)若給予藥物後病人可能會死亡,等於是給病人安樂死,故不宜再給藥
73.下列何者不是安寧緩和醫療中常用的鎮靜或止痛藥物? (A)Morphine (B)Demerol(pethidine, meperidine) (C)Dormicum(midazolam) (D)Valium(diazepam)
74. 病人主訴胸骨後和上腹部疼痛且食慾不佳,胸部X光檢查呈現如圖,下列那一項診斷最正 確?
(A)hiatal hernia (B)aortic dissection (C)myocardial infarction (D)pneumomediastinum
75.一位體重50公斤有C型肝炎及憂鬱症病史之中年婦人,與丈夫吵架後服用36顆 500mg之普拿疼(acetaminophen)企圖自殺,2小時後出現噁心、嘔吐、全身 乏力的症狀,丈夫立刻將其妻子送醫治療。病人抵達急診時血壓、呼吸、心跳、 體溫正常,意識清楚可交談。病人自述嘔吐完後,精神已經較佳,下列處置何者 最不恰當? (A)考慮給予acetylcysteine (B)口服活性碳(activated charcoal) (C)檢測血中鉀離子濃度 (D)保守觀察,不需進一步處理
76.針對突發性心跳停止病人,使用治療性低溫療法,下列何者是最佳適應症(indication)? (A)初始心律為心室顫動(ventricular fibrillation),急救後病人神智恢復 (B)初始心律為心搏停止(asystole),急救後病人神智恢復 (C)初始心律為心室顫動(ventricular fibrillation),急救後病人神智昏迷 (D)初始心律為無脈搏電氣活動(pulseless electrical activity),急救後病人神智昏迷
77.對於急性氣喘發作,下列何者藥物不是第一線的治療選項? (A)β-2 Adrenergic agents (B)Anticholinergics (C)Corticosteroids (D)Theophylline
78.你目睹一位約30歲女性跳河自殺,經救起後發現無意識與呼吸,於是開始幫她做心肺復甦術 (cardiopulmonary resuscitation)。依照2010版美國心臟醫學會指引(American Heart Association guidelines),做心肺復甦術時胸部按壓與吹氣做幾個循環後需再確認脈搏? (A)5個循環 (B)10個循環 (C)隨時可再確認 (D)待病人有呼吸時
79.陳姓老翁1個月前因為罹患胰臟癌末期而簽署了安寧緩和醫療意願書,希望病危的時候可以 放棄急救。3天前,陳老先生出現發燒、頻尿的情況,而被送往醫院救治,經過醫師的診察 確認陳老先生為尿路感染合併敗血症,陳老先生於住院中因為血壓不穩,經過輸液治療而導 致肺水腫,醫師建議進行氣管插管併用呼吸器治療,以緩解其肺水腫。此時是否應同意陳老 先生接受插管? (A)反對,因為陳老先生已經簽署了安寧緩和醫療意願書,不應該違反其意願而為其插管 (B)反對,因為陳老先生為胰臟癌末期,不要再進行過於侵入性的治療,免得增加其痛苦 (C)贊成,雖然陳老先生為胰臟癌末期,也簽署了安寧緩和醫療意願書,但本次住院的原因為 泌尿道感染合併敗血症,並非不可治癒的疾病,醫師應該為其插管治療 (D)贊成,雖然陳老先生為胰臟癌末期,也簽署了安寧緩和醫療意願書,但只要屬於病危的患 者,均應該依醫師法定急救義務而加以急救
80.甲醫師受邀到藥廠所贊助的研討會擔任講師,支領鐘點費5,000元,擔心有利益衝突的問 題。有關利益衝突的敘述與處理,下列何者錯誤? (A)有效處理利益衝突第一個要件,就是察覺其存在 (B)公開是處理利益衝突的金科玉律 (C)核准與審核,也是處理利益衝突的方式之一 (D)利益衝突本身就不道德,應全面禁止
申論題 (0)
相關試卷
115年 - 115 專技高考_醫師(二):醫學(三)(包括內科、家庭醫學科等科目及其相關臨床實例與醫學倫理)#137317
115年 · #137317
114年 - 114-2 專技高考_醫師(二):醫學(三)(包括內科、家庭醫學科等科目及其相關臨床實例與醫學倫理)#127920
114年 · #127920
114年 - 114-1 專技高考_醫師(二):醫學(三)(包括內科、家庭醫學科等科目及其相關臨床實例與醫學倫理)#125089
114年 · #125089
113年 - 113-2 專技高考_醫師(二):醫學(三)(包括內科、家庭醫學科等科目及其相關臨床實例與醫學倫理)#120658
113年 · #120658
113年 - 113-1 專技高考_醫師(二):醫學(三)(包括內科、家庭醫學科等科目及其相關臨床實例與醫學倫理)#118724
113年 · #118724
112年 - 112-2 專技高考_醫師(二):醫學(三)(包括內科、家庭醫學科等科目及其相關臨床實例與醫學倫理)#114972
112年 · #114972
112年 - 112-1 專技高考_醫師(二):醫學(三)(包括內科、家庭醫學科等科目及其相關臨床實例與醫學倫理)#113147
112年 · #113147
111年 - 111-2 專技高考_醫師(二):醫學(三)(包括內科、家庭醫學科等科目及其相關臨床實例與醫學倫理)#108729
111年 · #108729
111年 - 111-1 專技高考_醫師(二):醫學(三)(包括內科、家庭醫學科等科目及其相關臨床實例與醫學倫理)#106186
111年 · #106186
110年 - 110-2 專技高考_醫師(二):醫學(三)(包括內科、家庭醫學科等科目及其相關臨床實例與醫學倫理)#99914
110年 · #99914