阿摩線上測驗
登入
首頁
>
醫學五:80題 ( 包括外科,骨科,泌尿科等科目及其相關臨床實例與醫學倫理 )
> 96年 - 96-2 專技高考_醫師(二):醫學(五)(包括外科、骨科、泌尿科等科目及其相關臨床實例與醫學倫理)#38851
96年 - 96-2 專技高考_醫師(二):醫學(五)(包括外科、骨科、泌尿科等科目及其相關臨床實例與醫學倫理)#38851
科目:
醫學五:80題 ( 包括外科,骨科,泌尿科等科目及其相關臨床實例與醫學倫理 ) |
年份:
96年 |
選擇題數:
80 |
申論題數:
0
試卷資訊
所屬科目:
醫學五:80題 ( 包括外科,骨科,泌尿科等科目及其相關臨床實例與醫學倫理 )
選擇題 (80)
1 一位 30 歲的男性因為右腳脛腓骨粉碎骨折,經過骨髓內鋼釘固定治療後發現,右踝關節、以及腳趾 頭無法背屈(dorsiflexion),請問最有可能受傷的組織構造是下列何者? (A) 淺部腓神經(superficial peroneal nerve) (B)深部腓神經(deep peroneal nerve) (C)後脛骨神經(posterior tibial nerve) (D)坐骨神經(sciatic nerve)
2 下列那條神經與食道上括約肌(upper esophageal sphincter)的開合動作最有關連? (A) thoracic portion of vagus nerve (B) recurrent laryngeal nerve (C) external laryngeal nerve (D) internal laryngeal nerve
3 下肢外傷後膝蓋以下之重建手術,最困難的是那一部位? (A)小腿上 1/3 (B)小腿中段 (C)小腿下 1/3 (D)足部
4 腱鞘囊腫是上肢最常見的良性腫瘤,它最常見的位置是在: (A) 手腕背側中間 (B)手腕腹橈側(volar radial site) (C)掌骨彎曲皺摺(metacarpal flexion crease) (D)末端指尖關節背側
5 下列有關手部掌骨(metacarpal)骨折之敘述,何者錯誤? (A) 掌骨骨折約占手部(hand)及手腕骨折的 1/3 (B)掌骨骨折最常見的症狀是腫脹及疼痛 (C)假如病人是因人類或動物咬傷而造成骨折,手術時要加以沖洗並給予強效抗生素 (D)掌骨骨折最常見的地方是在掌骨頭(metacarpal head)的部分
6 有關 40%大面積燒傷的治療,下列何者不是早期切除早期植皮的好處? (A) 縮短住院天數 (B)減少清創手術的次數 (C)減緩高代謝率(hypermetabolism) (D)降低死亡率
7 賴先生是一位 86 歲的退休公務人員,左側下肢於三年前因周邊血管阻塞疾病,於他院施行膝下截肢, 能夠使用義肢行走。這次因右足冰冷、潰瘍不癒住院擬接受股動脈繞道手術。預定開刀日當天凌晨 四時左右,護理人員發現遺書、雙側手腕有邊緣整齊的傷口、大量出血、意識不清,收縮壓 40 mmHg、 舒張壓測不到,經彈性繃帶壓迫止血、氣管內插管、輸液急救、轉送加護病房,血壓回穩後,下列 處置順序何者最為恰當? (A) 手術探查雙側手腕傷口,縫合修補斷裂的血管、神經、肌腱後,不論如何必須進行原訂的繞道手術 (B)先照會精神科醫師,釐清其自殺意圖,取消所有手術 (C)手術探查雙側手腕傷口,縫合修補斷裂的血管、神經、肌腱,照會精神科醫師,再評估血管繞道 手術之適當時機 (D)按照原訂計畫先進行右下肢的血管繞道手術後,再進行手腕傷口縫合修補手術
8 急性期的腦動脈瘤破裂合併蜘蛛網膜下腔出血,則下述何者是快速及確定診斷的檢查? (A) 核磁共振血管掃描(MR angiography) (B)電腦斷層血管掃描(CT angiography) (C)電腦斷層掃描(CT brain) (D)腰椎穿刺(lumbar puncture)
9 正常情況下,人類每天由迴腸排入盲腸之液體量約多少? (A) 500~1000 毫升 (B) 1000~1500 毫升 (C) 1500~2000 毫升 (D) 2000~3000 毫升
10 Appendiceal tip 的位置在以下那一處為最常見? (A) subcecal (B) retrocecal (C) pelvic (D) preileal
11 下列有關臍膨出(omphalocele)與腹裂(gastroschisis)的比較,何者正確? (A)臍膨出有膜覆蓋,且比較少機會合併其他異常 (B)臍膨出有膜覆蓋,且比較多機會合併其他異常 (C)臍膨出沒有膜覆蓋,且比較少機會合併其他異常 (D)臍膨出沒有膜覆蓋,且比較多機會合併其他異常
複選題
12 有一兒童疑患有隱睪症,醫師無法用觸診發現其睪丸,則下列何項檢查是手術前最常用的定位方法? (A) 超音波 (B)電腦斷層 (C)磁振造影 (D)腹腔鏡
13 下列何者不是乳癌的危險因子? (A) 初經早或停經晚 (B)未曾生育或 30 歲後生第一胎 (C)母親或姐妹曾患乳癌 (D)子宮頸癌患者
14 下列何種疾病是導致成人自發性甲狀腺機能低下(spontaneous hypothyroidism)最常見的原因? (A) Plummer’s disease (B)格雷夫氏甲狀腺機能亢進(Graves’ disease) (C)甲狀腺癌 (D)橋本氏甲狀腺炎(Hashimoto’s thyroiditis)
15 膽囊動脈(cystic artery)通常來自於: (A) common hepatic artery (B) right hepatic artery (C) left hepatic artery (D) supraduodenal artery
16 下列有關肝細胞腺瘤(liver cell adenoma)敘述,何者為非? (A) 最常發生在 20 歲至 40 歲女性 (B)長期服用口服避孕藥可能增加其發生機率 (C)主要的危險在於破裂導致內出血 (D)沒有惡性轉化(malignant transformation)的可能
17 以下何者是主動脈氣球幫浦(intra-aortic balloon pump)之禁忌症? (A) AR(aortic regurgitation) (B) MR(mitral regurgitation) (C) PR(pulmonary regurgitation) (D) TR(tricuspid regurgitation)
複選題
18 在大多數 nonseminomatous germ cell tumor 病人血中,那些指標會上升?① CEA ②β-HCG ③α-FP ④ LDH (A) ①②③④ (B)①② (C)②③ (D)②③④
19 三心房症(cor triatriatum)的病人,左心房內有一薄膜將之分為上下二個腔室,則下列敘述何者為誤? (A)上腔室連接肺靜脈血流 (B)下腔室和二尖瓣開口相通 (C)左心耳(left atrial appendage)開口和上腔室相通 (D)一般會合併有心房中膈缺損
20 二尖瓣瓣膜置換時,在後葉的環部(annulus of posterior leaflet)下針時不可太深以免傷及那一個構造? (A)左迴旋支冠狀動脈 (B)主動脈的瓣葉 (C)房室結 (D)支氣管
21 上頜 Le Fort 式骨折一共有幾種? (A)一 (B)二 (C)三 (D)四
複選題
22 併指畸形(syndactyly)在西半球較為流行,治療方式是開刀將手指分開,開刀時間是在什麼時間最 適宜? (A) 6 個月內 (B) 1 歲以內 (C) 1 歲半以內 (D) 2 歲以內
23 最好發在兒童的腦瘤為下列何者? (A) 髓母細胞瘤(medulloblastoma) (B)室管膜瘤(ependymoma) (C)星狀細胞瘤(astrocytoma) (D)腦膜瘤(meningioma)
24 單側脊髓背側神經根進口區(dorsal entry root lesion)手術治療疼痛控制,臨床應用常見的合併 症(complication)是: (A)同側運動功能減弱 (B)對側運動功能減弱 (C)同側感覺功能消失 (D)對側感覺功能消失
25 脊椎轉移性腫瘤最常侵犯那一部位脊椎? (A) 頸椎 (B)胸椎 (C)腰椎 (D)薦椎
26 下列何項因素和術後腹部傷口裂開較無關係? (A) 腹內感染 (B)營養不良 (C)高血壓 (D)長期使用類固醇
27 一位 24 歲女性,乳房摸到有腫塊,宜先採用下列何種檢查? (A) 切片手術 (B)乳房超音波 (C)乳房熱像學 (D)乳房 X 光攝影
28 除影像學檢查外,臨床上常用那種侵入性方法來鑑別囊腫和實質性腫瘤? (A) 細針穿刺 (B)粗針切片 (C)麥瑪通乳房切片(mammatome) (D)傳統切片手術
29 則在下列檢查中,何種診斷膽道閉鎖最可靠? (A) 核醫 DISIDA 肝掃描 (B)腹部超音波 (C)經皮肝切片 (D)十二指腸液分析
30 承上題,如上述各檢查無法排除膽道閉鎖,則下一步處置為何? (A) 電腦斷層或核磁共振造影 (B)腹腔鏡 (C)逆行性膽管胰管攝影(ERCP) (D) operative cholecystocholangiography
31 承上題,該病患手術後的預後與下列何者較無關? (A) 手術時的年齡 (B)手術前黃疸指數 (C)術後的黃疸指數 (D)術後的膽管炎(cholangitis)
32 猛爆性 B 型肝炎,病人已是肝昏迷,但血壓、心跳仍在正常範圍。病人最可能呈現以下何種數據? (A) SvO2:80%;serum lactate:3 mmole/L (B) SvO2:80%;serum lactate:0.8 mmole/L (C) SvO2:40%;serum lactate:4 mmole/L (D) SvO2:40%;serum lactate:0.8 mmole/L
33 有一位 27 歲男子,因有輕度胸痛接受胸部 X 光檢查,發現前縱膈腔有 15 公分大的腫瘤,而血清檢 查發現α-fetoprotein 有異常升高,試問此病人最好之治療為何? (A)手術切除腫瘤,再追加化學治療 (B)手術切除腫瘤,再追加放射線治療 (C)先化學治療後,看情況再追加手術切除 (D)先放射線治療後,看情況再追加化學治療或手術切除
34 28 歲的重度憂鬱症女性因一時想不開而喝下 500 mL 清潔劑,病患送到急診處時,下列的建議處置 中何者不恰當? (A)請家屬回家帶來清潔劑的空瓶 (B)胸部 X 光檢查 (C)予以催吐,以降低黏膜受傷的範圍及程度 (D)安排胃鏡檢查
35 急診來了一位 35 歲女性,主訴突然出現頭痛、視力模糊以及看東西有黑影,追溯她的病史,患者無重大疾病或重大手術病史,已結婚五年,沒有懷孕史,常因月經週期不規則求醫,身體檢查發現眼球活動正常,但視野有兩顳側半盲,根據上列發現最有可能的診斷為:(A)高血壓性腦內血腫(hypertensive intracranial hematoma)(B)動靜脈畸型破裂出血(arteriovenous malformation rupture and bleeding)(C)松果體腫瘤出血(pineal region tumor bleeding)(D)腦下垂體腦瘤出血(pituitary apoplexy)
36 本病人的症狀最大可能原因為: (A) 血糖過高 (B)敗血症 (C)傷口疼痛 (D)肺部血管栓塞
37 承上題,本病人的症狀下列何項檢查可得到較正確的診斷? (A) 血液氣體分析 (B)心電圖 (C)生化學檢查 (D)肺部血管攝影
38 某天早上,家人發現她昏睡不起,緊急將她送醫。檢查發現胰島素與血糖 比率(I/G)超過 1;在禁食後,病人異常精神狀況變的更加明顯。核磁共振掃描檢查以及動脈刺激 肝靜脈血液採樣術(selective arterial calcium stimulation with hepatic venous sampling)發現有胰臟尾 部的腫瘤,且腫瘤位置非常接近胰管。下列何者,為最可能的診斷? (A)胃泌素瘤(gastrinoma) (B)胰島素瘤(insulinoma) (C)血糖激素瘤(glucagonoma) (D)生長抑制素瘤(somatostatinoma)
39 承上題,患者此時較適合的治療方式為何? (A)血管栓塞治療 (B)酒精注射治療 (C)遠端胰臟切除 (D)惠普爾手術(Whipple operation)
40 急性腎衰竭是手術常見的併發症之一。導致急性腎衰竭的原因常常是腎前因素,也就是血量不足以 致腎灌流不足。診斷腎前急性腎衰竭可以藉助檢測尿液鈉離子濃度得知。下列何項敘述是符合腎前 因素造成腎衰竭的診斷? (A)每公升尿液鈉離子含量小於 20 meq (B)每公升尿液鈉離子含量介於 20~30 meq (C)每公升尿液鈉離子含量介於 30~40 meq (D)每公升尿液鈉離子含量大於 40 meq
41 陳先生是一位 28 歲的電力公司新進員工,1 個小時前受到 11000 伏特電擊傷,尿液常規檢查 (urinalysis)顯示,外觀呈暗褐色,pH 值 7.28,潛血反應 4+,蛋白質 2+,酮體-,紅血球 2~6/高 倍視野(high power field, HPF),細菌(-) 。下列診斷何者最適當? (A)急性腎衰竭(acute renal failure) (B)低容積性休克(hypovolemic shock) (C)肌球蛋白尿症(myoglobulinuria) (D)代謝性酸中毒(metabolic acidosis)
42 42 歲女性病人,前頸部吞嚥異物感 2 年,沒有心悸或怕熱等症狀,無咳嗽,頸部中央靠近喉結下有 一腫塊,近一星期左右增大約 2 公分,微痛,身體檢查觸診微軟有彈性,無壓痛,無淋巴腺腫大。 該腫塊位於甲狀軟骨前下方,並有吞嚥時位移及抬舌位移現象,下列何者是最正確的診斷? (A) 淋巴瘤(lymphoma) (B)甲狀腺囊腫(thyroid cyst) (C)甲狀舌骨囊腫(thyroglossal cyst) (D)食道腫瘤(esophageal tumor)
43 您認為對謝先生而言,下列處置何者應該最優先進行? (A) 建立輸液管道 (B)放置留存式導尿管 (C)放置連續性心電圖監測裝置 (D)放置連續性動脈壓監測裝置
44 承上題,主治醫師判斷謝先生合併右上肢腔室症候群(compartment syndrome),應進行焦痂切開手術(fasciotomy)以挽救右上肢血流,但事出突然,謝先生無家屬在場簽署同意書,身為新進醫師,應該如何協助處理後續治療?(A)提醒主治醫師不可違反知情同意原則,應暫停治療(B)病患意識狀態尚清楚,於徵得其同意後,迅速進行必要的侵入性處置(C)電話聯絡,等家屬趕到醫院後再處理,先服務其他的病患(D)請醫院社工人員代簽同意書
45 一位有多年酗酒史的 30 歲男性,三天前因喝酒後發生劇烈上腹部疼痛症狀持續沒改善而至急診室就醫,身體檢查發現上腹部有壓痛與輕微的反彈痛,病人有輕微發燒(38.1℃),血液檢查白血球 16500/μL,血色素 10.5g /dL,腹部電腦斷層發現胰臟發炎,胰臟旁邊有液體存留。請問下一步最適切的處置決策為何?(A)直接剖腹手術並行胰臟清創手術(B)立即安排逆行性膽道攝影(C)由電腦斷層引導下抽取胰臟旁液體做檢驗,細菌培養 (D)行腹腔鏡手術並引流液體
46 王先生於家中洗澡時不幸發生瓦斯氣爆,經救護車送至急診室,急診醫師身體檢查發現,燒傷範圍 在兩側上肢、前胸及腹部深二度燒傷,於急診室測量體重為 60 公斤;請問依據“rule of nines”及 “Parkland formula”其燒傷面積為何?前 24 小時應如何給予輸液? (A) 36%;8640 mL 乳酸鹽林格氏液(lactated Ringer’s solution) (B) 45%;10800 mL 乳酸鹽林格氏液(lactated Ringer’s solution) (C) 36%;8640 mL 5%葡萄糖液(D5W) (D) 45%;10800 mL 5%葡萄糖液(D5W)
47 王先生 62 歲,因解血便而至急診處求診,到院時躺在病床上的心跳是每分鐘 110 下,血壓為 120/60 mmHg,肛門指診檢查發現有紅色血狀物。經過初步的評估及處置,王先生接受鼻胃管置入、沖洗,但未有異常發現。在這過程中王先生又排便出了大量的血便,經輸注了 1500 毫升生理食鹽水靜脈輸液,但是心跳為每分鐘 130 下,血壓為 90/60 mmHg。此時王先生應優先接受下列何種檢查或處置?(A)胃鏡(B)腹部電腦斷層攝影(C)核醫 Technetium-99m RBC scan(D)腹部血管攝影檢查
48 女性 78 歲胰臟癌病患,於昨天接受胰十二指腸切除手術,今天下午發燒至 38.4℃、呼吸較淺、腹部 引流(drainage)為 80 c.c.血水(serosanguineous discharge),血壓為 130/86 mmHg。請問下列何者 為優先考慮處置方式? (A)急做腹部電腦斷層檢查 (B)緊急聯絡開刀房進行再剖腹手術止血 (C)請病人多咳痰及深呼吸,考慮照肺部 X 光 (D)立即給予類固醇退燒,並會診感染科醫師更換抗生素
49 李小姐曾經自行服用止痛藥,但是情況未能改善。下列何者是最適當的進一步處置? (A) 乳房超音波粗針(core needle)穿刺檢查 (B)乳房超音波檢查 (C)乳房 X 光攝影檢查 (D)乳房腫瘤切除術
50 承上題,下列何者是最可能的診斷? (A) 乳癌 (B)乳房膿瘍 (C)乳房纖維囊腫病變 (D)乳房纖維腺瘤
51 依據肌肉之血管解剖(vascular anatomy)分類,下列肌肉何者非第四類血管支配(type IV vascular pattern)? (A)長腳趾伸肌(extensor digitorum longus;EDL) (B)長大腳趾伸肌(extensor hallucis longus;EHL) (C)股薄肌(gracilis) (D)前脛肌(tibialis anterior)
52 30 歲少婦,已婚,婚後 6 年來並無節育計畫,但並未生小孩,月經時有時無,最近因乳房分泌乳汁,至一般外科看診,再轉診至婦科,經抽血檢查,發現血中某數值增高,醫師隨即安排腦部核磁共振造影,結果在顱底鞍凹(sella turcica)處,發現約 1 公分大小之腦瘤。請問此患者抽血檢查數值偏高的 是下列那一項?(A) HCG(human chorionic gonadotropin)(B) growth hormone(C) prolactin(D)α-fetoprotein
53 請問他最有可能是得了什麼病? (A)多發性腦退化之巴金森氏症(multiple systemic atrophy-parkinsonian type; MSA-P) (B)皮質基底核退化症(cortico-basal degeneration, CBD) (C)帕金森氏病(Parkinson’s disease) (D)多發性硬化症(multiple sclerosis)
54 承上題,下列何種腦部立體定位手術,是最有證據(evidence)之治療方式? (A) 皮質刺激術(cortical stimulatin) (B)視丘刺激術(thalamic stimulation) (C)視丘下核刺激術(subthalamic stimulation) (D)脊髓刺激術(spinal cord stimulation)
55 女性乳房最常見的良性腫瘤為: (A) adenoma (B) lipoma (C) fibroadenoma (D) fibroma
56 下列何症狀與 achalasia 無關? (A) 胃酸逆流 (B)吞嚥困難 (C)體重減輕 (D)吸入性肺炎
57 有關 chronic ulcerative colitis 之敘述,何者為非? (A) 通常不侵犯小腸 (B)很少有肛門方面的病變 (C)直腸不一定會有問題 (D)不會有 skipped area 的情形發生
58 以下何者不是第七頸椎神經根病變(C7 radiculopathy)之症狀? (A) 中指酸麻 (B)腕伸展(wrist extension)無力 (C)腕屈曲(wrist flexion)無力 (D)手指伸展(finger extension)無力
59 在檢查骨髓和軟組織的腫塊時,何項檢查最合適? (A) 電腦斷層掃描檢查 (B)磁振造影檢查 (C)一般 X 光檢查 (D)骨骼同位素掃描檢查
60 一位 14 歲少年,每日打籃球 2 小時以上,近日感覺右膝疼痛,於診間發現他的右膝前脛骨結節有隆 起及觸痛,他最可能罹患何種疾病? (A) Legg-Calvé-Perthes disease (B) Osgood-Schlatter disease (C) Freiberg’s disease (D) Panner’s disease
61 下列何種青春期特發性脊椎側彎(adolescent idiopathic scoliosis),最適合用背架治療? (A) 小於 20 度 (B) 20 至 29 度的側彎,但沒有進行性的惡化 (C) 30 至 40 度的側彎 (D)大於 40 度的側彎
62 有關骨盆骨折的敘述,下列何者為非? (A) 骨盆骨折最危險的併發症為出血(hemorrhage) (B)骨盆骨折病患死亡最常見的原因是因為腹部同時傷害(abdominal injury) (C)約 15%骨盆骨折病患合併泌尿生殖系統傷害(urologic injuries) (D)在男性骨盆骨折患者尿道口有出血時(blood at urethral meatus),施行逆行性膀胱尿道攝影 (retrograde cystourethrogram),可診斷尿道受傷與否
複選題
63 一個 60 歲的帕金森氏病患者,不慎滑倒,造成股骨頸移位性骨折(displaced subcapital fracture of femoral neck),病人沒有髖關節退化病史,亦沒有其他傷害,那種處置最適合? (A) 拿杖 12 週 (B)臥床休息 8 週 (C)封閉性復位及內固定 (D)人工髖關節置換術
64 一位機車騎士,車禍撞擊造成右膝受傷,身體檢查發現右膝正前方有撞擊傷,合併輕微膝關節腫脹, 膝後拉測試(posterior drawer test)呈陽性,X 光顯示無骨折,表示他何處韌帶損傷? (A) 膝內側韌帶 (B)膝外側韌帶 (C)膝前十字韌帶 (D)膝後十字韌帶
65 當一位孩童的腹部摸到腫塊(abdominal mass)時,應先作下列何種檢查以鑑別診斷? (A) 電腦斷層(CT) (B)超音波(sonography) (C)靜脈腎盂攝影(IVP) (D)血管攝影(angiography)
66 80 歲糖尿病女性患者抱怨最近半年來常有不自覺尿失禁的情形,患者描述每次排尿量均不多,且每 小時可能要上廁所 1~2 次,身體檢查發現小腹微脹,但患者沒有尿脹的感覺。請問患者的尿失禁最 可能是下列何種? (A)滿脹型尿失禁(overflow incontinence) (B)急尿型尿失禁(urge incontinence) (C)應力型尿失禁(stress incontinence) (D)真性尿失禁(true incontinence)
67 9 歲男童陳述白天有頻尿、急尿,甚至會尿濕褲子的現象,而且每夜尿床,此病例尿床的治療法最佳 選擇是: (A)睡前使用 desmopressin(DDAVP) (B)白天與睡前使用 alpha adrenergic antagonist,如 doxazosin (C)白天與睡前使用 anticholinergic,如 oxybutynin (D)只在睡前使用 imipramine
68 目前大多數臨床 T3 期攝護腺癌之病人所採用治療方式為: (A)攝護腺根除術 (B)攝護腺根除術加上放射線治療 (C)輔助性荷爾蒙治療加上放射線治療 (D)荷爾蒙治療
69 33 歲女性患者,因高血壓症多年而住院,住院期間之血壓 150~162/90~98 mmHg 之間,electrolytes: Na+ 145 mmol/L(正常值 135~147),Cl- 107 mmol/L(正常值 98~107),K+ 2.4 mmol/L(正常 值 3.4~4.7)。腹部超音波檢查發現右側腎上腺有 1 cm 大小的腫瘤。你認為做下列那一項檢查對診斷 最有幫助? (A) 血中 cortisol (B)血中 aldosterone (C)尿中 catecholamine 及 VMA (D)血中 androgen 及 DHEA
70 一位 63 歲的男性接受經尿道攝護腺切除(transurethral resection of prostate, TURP)手術治療其攝護 腺肥大(BPH),術中患者發生視幻覺及語無倫次的現象。術後在恢復室中有氣促(shortness of breath)的現象,抽血檢驗發現其血中鈉離子為 120 meq/L,creatinine 為 2.7 mg/dL,尿量變少,胸 部 X 光可見兩側肋膜積水。請問以下最有可能的診斷是: (A)併發 TURP syndrome (B)併發急性心肌梗塞 (C)併發肺栓塞 (D) TURP 後尿管被血塊堵住
71 男性不孕症最常見的染色體遺傳疾病為何? (A) 45XO (B) 46XX/46XY (C) 47XXY (D) 47XYY
72 一位多重外傷的病人,為避免發生低體溫,除了給與烤燈、溫毛毯外,也可用加溫的 crystalloid 溶液 來避免發生低體溫,此種 crystalloid 溶液最好加溫到幾度 C? (A) 37 (B) 39 (C) 41 (D) 43
73 一位 27 歲男性工人體重 79 kg,不慎在工地墜落造成失血性休克,送到醫院後急診醫師給予 2000 mL 等張輸液(isotonic solution)後,生命徵候有暫時改善,但不久血壓又下降,心跳又上升,請問此病 人約流失多少的血液? (A)<550 mL (B) 550~1100 mL (C) 1500~2000 mL (D) 2500~3000 mL
74 嚴重頭部外傷病人,在發生典型的鉤回疝脫(uncal herniation)時的臨床表現為何? (A)同側的瞳孔擴張與同側的肢體無力 (B)同側的瞳孔擴張與對側的肢體無力 (C)對側的瞳孔擴張與同側的肢體無力 (D)對側的瞳孔擴張與對側的肢體無力
75 依據醫療法的規定,醫療機構實施手術,應向病人或其法定代理人、配偶、親屬或關係人說明手術 原因、手術成功率或可能發生之併發症及危險,並經其同意,簽具手術同意書及麻醉同意書,始得 為之。但什麼樣的情況不在此限? (A) 情況緊急者 (B)自費病人 (C)門診手術 (D)內視鏡手術
76 手術前告知同意的內容不包括那一項? (A) 手術的內容步驟及可能的結果 (B)手術可能產生的合併症 (C)是否有其他的治療方式 (D)手術團隊輝煌歷史
77 有關醫師施行手術取得病患告知後同意之過程中,最常忽略而引起糾紛的是: (A)未簽署手術同意書 (B)未獲病人同意 (C)未說明醫療費用 (D)未提供病人足夠諮詢及病情說明
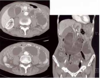
78 92 歲的張三老先生 在 10 年前因胃癌而接 , 受胃次全切除和胃空腸吻合手術。術後情 況良好。日前他又感到腹部脹痛而被家人 送醫。醫師診察發現腹部不正常,眼睛稍 黃,而為他做 CT 檢查。影像顯示小腸和膽 管不正常,如圖示。請問張三最有可能罹 患何症?
(A)無力性腸阻塞(adynamic ileus) (B)入端腸環症候群(afferent loop syndrome) (C)上腸繫膜動脈症候群(superior mesenteric artery syndrome) (D)環胰(annular pancreas)
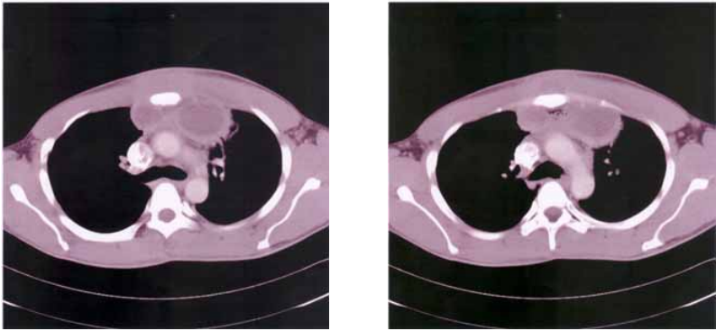
79 35 歲男性,有藥癮病史且 HIV 陽性,主訴胸痛和發燒,CT 如圖示,最正確的診斷應為:
(A)胸腺瘤(thymoma) (B)胸腺囊腫(thymic cyst) (C)肺癌(lung cancer) (D)縱膈腔膿瘍(mediastinal abscess)
80 33 歲風濕性心臟病患者(rheumatic heart disease),最近二天突然發生左側肢體無力,意識不清、發 燒、白血球增加,根據此注射含碘顯影劑的 CT,則其診斷是:
(A) 腦炎(acute encephalitis) (B)腦膿瘍(brain abscess) (C)腦出血(cerebral hemorrhage) (D)硬腦膜上腔膿瘍(epidural empyema)
申論題 (0)
相關試卷
115年 - 115-1 專技高考_醫師(二):醫學(五)(包括外科、骨科、泌尿科等科目及其相關臨床實例與醫學倫理)#137338
115年 · #137338
114年 - 114-2 專技高考_醫師(二):醫學(五)(包括外科、骨科、泌尿科等科目及其相關臨床實例與醫學倫理)#127923
114年 · #127923
114年 - 114-1 專技高考_醫師(二):醫學(五)(包括外科、骨科、泌尿科等科目及其相關臨床實例與醫學倫理)#125088
114年 · #125088
113年 - 113-2 專技高考_醫師(二):醫學(五)(包括外科、骨科、泌尿科等科目及其相關臨床實例與醫學倫理)#120655
113年 · #120655
113年 - 113-1 專技高考_醫師(二):醫學(五)(包括外科、骨科、泌尿科等科目及其相關臨床實例與醫學倫理)#118719
113年 · #118719
112年 - 112-2 專技高考_醫師(二):醫學(五)(包括外科、骨科、泌尿科等科目及其相關臨床實例與醫學倫理)#114977
112年 · #114977
112年 - 112-1 專技高考_醫師(二):醫學(五)(包括外科、骨科、泌尿科等科目及其相關臨床實例與醫學倫理)#113148
112年 · #113148
111年 - 111-2 專技高考_醫師(二):醫學(五)(包括外科、骨科、泌尿科等科目及其相關臨床實例與醫學倫理)#108727
111年 · #108727
111年 - 111-1 專技高考_醫師(二):醫學(五)(包括外科、骨科、泌尿科等科目及其相關臨床實例與醫學倫理)#106181
111年 · #106181
110年 - 110-2 專技高考_醫師(二):醫學(五)(包括外科、骨科、泌尿科等科目及其相關臨床實例與醫學倫理)#99917
110年 · #99917